Dentogene nekrotisierende Halsphlegmone
Der Patient gab an, dass er wegen Schmerzen und Schluckbeschwerden seit Tagen nicht mehr essen und trinken könne. In der klinischen Untersuchung imponierte eine massive Schwellung und Rötung des gesamten anterioren und lateralen Halses. Der Zahnstatus war klinisch mit multiplen zerstörten Zähnen und Wurzelresten desolat (Abbildung 1).
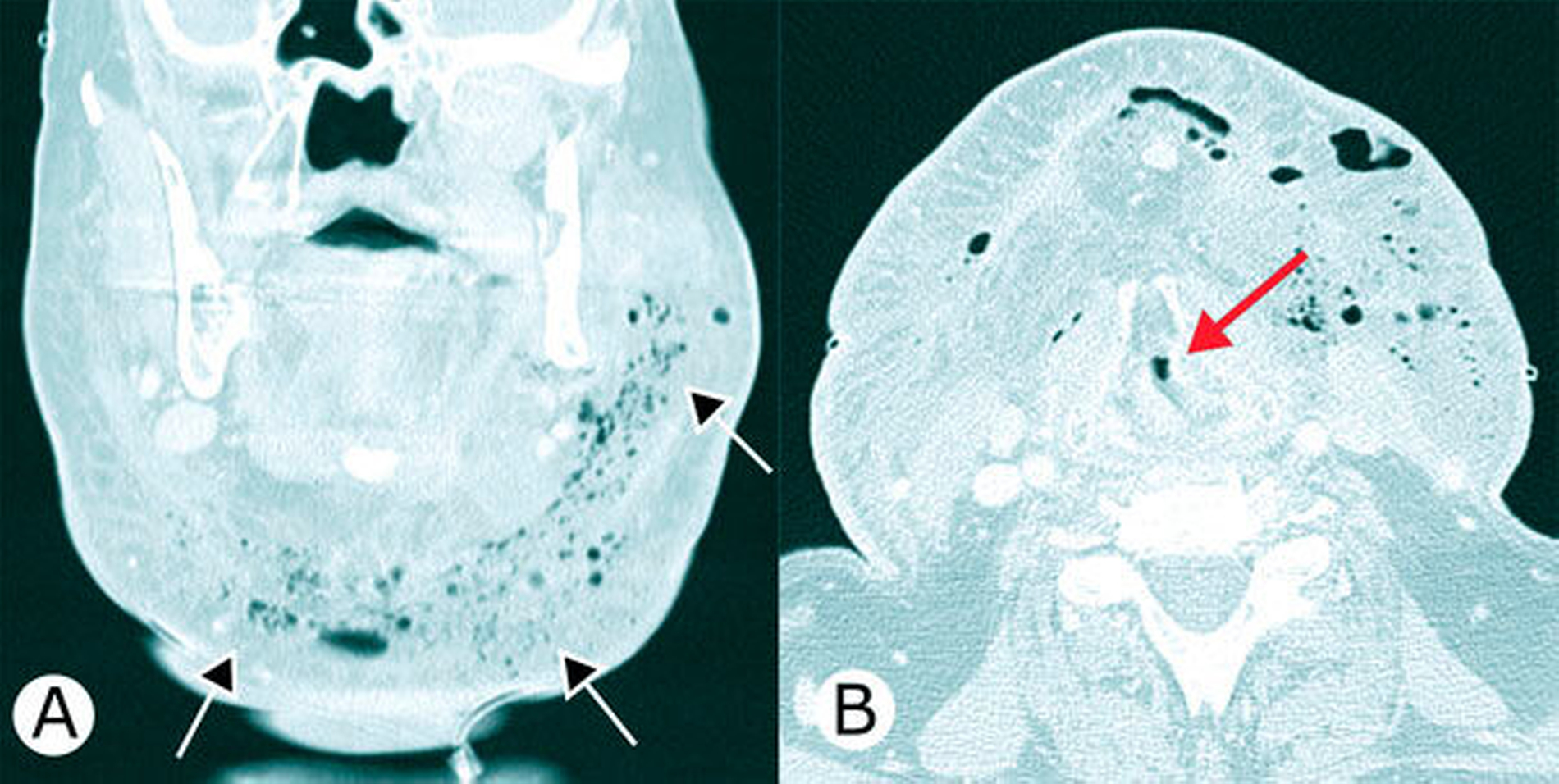
Die Computertomografie zeigte in den Halsweichgeweben beidseits eine ausgedehnte Abszedierung mit Gasbildung und Einengung des Atemwegs (Abbildung 2).
Der Patient wurde umgehend notfallmäßig operiert, wobei die Intubation durch die Atemwegsverlegung nur fiberoptisch möglich war. Zur Fokussanierung wurde eine Totalsanierung mit Entfernung aller Zähne und Wurzelreste durchgeführt. Zudem erfolgten mehrere Abzessinzisionen von extraoral, wobei sich insgesamt 700 Mililiter Pus entleerten. Zur Drainage und Spülung des Abszesses wurden insgesamt zehn Drainagen nach submandibulär, perimandibulär, parapharyneal, submental und supraklaviculär eingebracht (Abbildung 3).
Da der Abszess bereits zu einer Sepsis geführt hatte, verblieb der Patient nach der Operation intubiert und beatmet auf der Intensivstation. Trotz intravenöser Antibiose und intensiver Lokaltherapie zeigte sich keine Besserung des Befunds, sodass der Patient noch am selben Tag erneut operiert wurde. Um eine Sicherung der Atemwege zu ermöglichen, wurde eine Tracheotomie durchgeführt. Anschließend wurde die bereits nekrotische Haut des Halses entfernt. Darunterliegend zeigte sich grünlich verfärbtes, nekrotisches Halsweichgewebe, das ebenfalls abgetragen wurde (Abbildung 4). Die Wundfläche wurde zunächst offen gelassen und mit antiseptischen Verbänden bedeckt.
Der Patient wurde postoperativ erneut auf der Intensivstation behandelt, wo eine Aspirationspneumonie festgestellt wurde, die auf die schwellungsbedingte Schluckstörung zurückzuführen war. Zudem führte die schwere Sepsis zu einem Nierenversagen, das durch Dialyse behandelt werden musste.
Die Wundheilung verlief unter intravenöser Antibiose und antiseptischer Lokaltherapie regelrecht, sodass sich sowohl die Rötung als auch die Schwellung zurückbildeten und die Wundoberfläche granulierte (Abbildung 5). Aufgrund der Größe des Gewebedefekts und der Exponierung der Halsgefäße erfolgte am 40. postoperativen Tag eine Defektdeckung mit einem mikrovaskulär anastomosierten, septomyokutanen Transplantat vom Oberschenkel (ALT-Lappen). Erneut wurde der Patient aufgrund des schlechten Allgemeinzustands postoperativ auf der Intensivstation weiterbehandelt. Insgesamt dauerte der intensivmedizinische Aufenthalt 50 Tage, davon 1.000 Stunden mit künstlicher Beatmung.
Nach der Verlegung auf die Normalstation zeigte sich ein regelrechter Heilungsverlauf, sodass der Patient nach insgesamt 70 Tagen stationärer Behandlung in gutem Allgemeinzustand mit zeitgerecht abgeheilten Wundverhältnissen entlassen werden konnte (Abbildung 6).
Diskussion
Eine Halsphlegmone ist eine eitrige Infektion der Halsweichteile, die sich diffus ausbreitet und oft mehrere Bereiche des Halses gleichzeitig befällt. Meist sind dabei eine oder mehrere Logen betroffen, beispielweise sublingual, submandibulär, perimandibulär, parapharyngeal oder retropharyngeal [Gutmann/Wustrow, 1994].
Die häufigste Differenzialdiagnose zur Halsphlegmone ist der Abszess, der lokal abgrenzbar ist und durch Inzision und Drainage therapiert wird. Eine weitere Differenzialdiagnose stellt das Erysipel dar, das – auch Wundrose genannt – auf die obere Schicht der Dermis begrenzt ist. Das Erysipel wird meist durch Streptococcus pyogenes verursacht und konservativ durch Antibiotikagabe behandelt.
Wesentlich bedrohlicher ist die Differenzialdiagnose einer nekrotisierenden Fasziitis, die sich in der Tiefe entlang der Muskelfaszien ausbreitet und eine rasche, radikale operative Therapie erfordert [Elvers et al., 2013]. Die Diagnosestellung einer nekrotisierenden Fasziitis kann anhand der sechs Kriterien nach Fisher erfolgen, von denen insgesamt fünf zur Diagnosestellung vorliegen müssen: Septisches Syndrom, keine periphere arterielle Verschlusskrankheit Grad IV, ausgedehnte Nekrosen der Faszien und des umgebenden Gewebes, keine primäre Muskelbeteiligung, kein Nachweis von Clostridien sowie Leukozyteninfiltration mit fokaler Fasziennekrose und Nekrose des umgebenden Gewebes mit mikrovaskulären Thromben [Hungerer et al., 2018].
Im geschilderten Fall konnte eine nekrotisierende Fasziitis durch die histopathologische Untersuchung ausgeschlossen werden. Es zeigten sich floride, phlegmonöse und teils mikroabszedierende Entzündungen von Dermis und Subkutis sowie Nekrosen von Fettgewebe und quergestreifter Muskulatur, jedoch keine Fasziennekrosen, sodass die Diagnose einer Halsphlegmone gestellt wurde.
Die häufigste Ursache für eine Halsphlegmone ist mit 23 bis 43 Prozent der Fälle eine Zahnerkrankung. Die zweithäufigste Ursache stellen Infektionen der oberen Atemwege dar (10 bis 17 Prozent), seltener verursachen aber auch Speichelsteine, Traumata, Tumoren oder intravenöser Drogenabusus eine Halsphlemone [Huang et al., 2004; Parhiscar/Har-El, 2001]. Als typische Erreger gelten beta-hämolysierende Streptokokken, Streptococcus viridans, Staphylococcus epidermidis, Staphylococcus aureus und Klebsiella pneumoniae, die sich alle auch in der Mundflora von gesunden Patienten nachweisen lassen. Im geschilderten Fall wurden aus der mikrobiologischen Probe der Abszessinzision als Erreger Streptococcus anginosus, Fusobacterium gonidiaformans und Prevotella buccae nachgewiesen.
Zu den Risikofaktoren zählen, neben einer schlechten Mundgesundheit, vor allem Diabetes mellitus, hohes Alter und systemische Erkrankungen [Huang et al., 2004]. Die Letalität der Halsphlegmone wird mit 0,5 bis 11 Prozent angegeben, wobei diese bei Vorliegen einer Mediastinitis nochmals ansteigt [Suehara et al., 2008; Parhiscar/Har-El, 2001].
Leichte Formen einer Halsphlegmone können zunächst durch intravenöse Gabe eines penicillinasefesten Penicillins konservativ therapiert werden, bei ausbleibender Besserung ist jedoch zusätzlich eine operative Therapie notwendig [Huang et al., 2004].
Schwere Formen der Halsphlegmone sollten ohne Verzögerung operativ therapiert werden. Dies gilt insbesondere, wenn Komplikationen wie Nekrosen, eine Atemwegsverlegung, eine Sepsis, ein Schock, Organversagen oder eine Mediastinitis vorliegen. Bei der Operation werden über die entsprechenden intra- und extraoralen Zugänge der Infektfokus sowie nekrotisches Gewebe entfernt und Vereiterungen drainiert. Abschließend werden Drainagen eingelegt, um neues Wundsekret und Eiter auszuleiten und antiseptische Spülungen durchführen zu können. Dabei sollte ebenfalls ein Abstrich zur Bestimmung des Keimspektrums genommen werden, der die Auswahl des bestmöglichen Antibiotikums erlaubt. Im geschilderten Fall wurden zur antibiotischen Therapie Cefuroxim, Metronidazol, Clindamycin, Tazobactam, Penicillin G, Meropenem und Vancomycin verwendet. Bei Verlegung des Atemwegs und voraussichtlich langer Beatmungsdauer erfolgte zusätzlich eine Tracheotomie.
Nach der Ausheilung kann es notwendig sein, entstandene Hautdefekte mittels autologem Gewebetransfer zu versorgen, um Narbenzüge zu verhindern und die tieferliegenden Halsstrukturen zu decken. Hierzu kommen häufig lokale Lappenplastiken, Spalthauttransplantate oder Vollhauttransplantate zum Einsatz. Bei ausgedehnten Defekten mit tiefem Gewebeverlust kann, wie im geschilderten Fall, mit einem mikrovaskulär anastomosierten Transplantat Haut, Unterhaut oder sogar Muskulatur rekonstruiert werden. Das Transplantat wird dabei bewusst überdimensioniert, um die physiologisch eintretende Schrumpfung auszugleichen. Wenn es bereits zum Verlust von Kieferknochen gekommen ist, gelingt es mit dieser mikrochirurgischen Technik auch, Knochen vom Becken, Wadenbein oder Schulterblatt zur Kieferrekonstruktion zu transplantieren.
Dr. med. Dr. med. dent. Philipp Winterhalder
Klinik für Mund-, Kiefer- und Gesichtschirurgie
Universitätsklinikum Aachen
Pauwelsstr. 30, 52074 Aachen
pwinterhalder@ukaachen.de
PD Dr. med. Dr. med. dent. Ali Modabber, MBA, FEBOMFS
Klinik für Mund-, Kiefer- und Gesichtschirurgie
Universitätsklinikum Aachen
Pauwelsstr. 30, 52074 Aachen
amodabber@ukaachen.de
Univ.-Prof. Dr. med. Dr. med. dent. Frank Hölzle
Klinik für Mund-, Kiefer- und Gesichtschirurgie
Universitätsklinikum Aachen
Pauwelsstr. 30, 52074 Aachen
fhoelzle@ukaachen.de
Fazit für die Praxis
Erkrankungen der Zähne und des Zahnhalteapparats sind die häufigsten Ursachen für eine Halsphlegmone, die zu gravierenden Komplikationen führen kann und lebensbedrohlich ist. Therapiegrundlage sind die operative Entfernung des Infektfokus und der Nekrosen sowie die Gabe eines Antibiotikums. Durch die zahnärztliche Sicherstellung der Mundgesundheit können viele dieser schweren Erkrankungsfälle verhindert werden.
Literaturliste
Elvers, D., Walter, T.P., Braunschweig, T., Hölzle, F. (2013): Nekrotisierende cervikale Fasziitis als Folge einer odontogenen Infektion. in: Zahnärztliche Mitteilungen, 6, 42-45.
Gutmann, R., Wustrow, T.P. (1994): Seltene Komplikationen von Weichteilinfekten im Kopf-Hals-Bereich: Tiefe Halsphlegmone, Thrombophlebitis und Mediastinitis mit Perikarderguss. in: Laryngorhinootologie, 73, 4, S. 227–30.
Huang, T.-T., Liu, T.-C., Chen, P.-R., Tseng, F.-Y., Yeh, T.-H., Chen, Y.-S. (2004): Deep neck infection: analysis of 185 cases. in: Head Neck, 26, 10, S. 854–60.
Hungerer, S., Ziegler, P., Bühren, V., Friederichs, J. (2018): Nekrotisierende Weichteilinfekte. in: Trauma und Berufskrankheit, 20, 1, S. 67–72.
Parhiscar, A., Har-El, G. (2001): Deep neck abscess: a retrospective review of 210 cases. in: Ann Otol Rhinol Laryngol, 110, 11, S. 1051–54.
Suehara, A.B., Gonçalves, A.J., Claret Alcadipani, F.A.M., Kavabata, N.K., Menezes, M.B. (2008): Deep neck infection - analysis of 80 cases. in: Brazilian Journal of Otorhinolaryngology, 74, 2, S. 253–59.












