Bewährte und neue frugale Interventionen in der Zahnmedizin
Wer die zahnärztliche Fortbildungsliteratur überblickt und regelmäßig zahnärztliche Kongresse besucht, wird nicht umhinkommen festzustellen, dass dort zu einem beträchtlichen Teil der sogenannte Premium-Bereich („hochwertige“ Versorgung) thematisiert und vermittelt wird. Es geht um faszinierende Hightech-Verfahren, immer ausgefeiltere CAD/CAM-Technologien, umfangreiche Implantat-Insertionen, die minutiöse Umsetzung von „Super-Ästhetik“, Laser-gestützte Interventionen – die Reihe der aufwendigen und damit auch teuren Interventionen ist lang. Die mit dem Hightech-Image apostrophierten Behandlungen adressieren in erster Linie die Erwartungen und Wünsche eines bestimmten Segments der Bevölkerung. Es gibt aber bekanntlich nicht nur finanzkräftige „Premium-Patienten“. Zuweilen sieht man für einen Teil der übrigen Patienten die Versorgung mit Billigprodukten/-dienstleistungen im Sinne einer „Low-Cost-Strategie“ vor. Eine solche nur an den wirtschaftlichen Möglichkeiten der Patienten orientierte Schwarz-Weiß-Betrachtung kann jedoch nicht die tatsächlichen Bedürfnisse der Gesamtbevölkerung mit ihren vielfältigen Abstufungen und erst recht nicht die Anforderungen an eine patientenindividuell bestmögliche Versorgung abbilden.
Das Problem betrifft dabei nicht nur das Gesundheitswesen, sondern den gesamten Bereich der Wirtschaft. Das „Beste“ ist kein wie auch immer qualitativ beschreibbarer Fixpunkt, sondern definiert sich immer nur unter Einschluss der Voraussetzungen und Erwartungen des Nutzers. An dieser Logik entlang entwickelte sich der Begriff der sogenannten frugalen Innovationen. Frugalis (lat.) bedeutet einfach, sparsam, nutzbar; frugi (lat.) bedeutet tauglich. Der aus der Betriebswirtschaftslehre stammende Begriff wird wie folgt definiert: „Frugale Innovationen können als neue Produkte und Dienstleistungen verstanden werden, die den Einsatz von materiellen und finanziellen Ressourcen im kompletten Produktlebenszyklus von der Entwicklung und Produktion bis hin zur Nutzung und Entsorgung zu minimieren suchen und die Besitz- beziehungsweise Nutzungskosten bei gleichzeitiger Gewährleistung akzeptabler Sicherheits- und Qualitätsstandards beim Verwender substanziell reduzieren“ [Herstatt und Tiwari, 2014]. Obwohl es sich hier nicht um wirklich neue Strategien handelt, sondern eher um einen neuen Begriff für eine alte Fragestellung, könnte er die Diskussion – auch für die Zahnmedizin – beleben. Allgemein werden den oben genannten Autoren zufolge für frugale Innovationen folgende Eckpunkte benannt:
Das Frugale ist keine „Low-Cost“-Strategie, weil es neben dem Preis Qualitätsparameter enthält, ist also nicht zu verwechseln mit bloßen Billigprodukten und -dienstleistungen. Auf der anderen Seite grenzt es sich zum Premium-Segment ab.
Es gibt eine Nachfrage an Produkten und Dienstleistungen, die „nachhaltig“ (sustainable), „bezahlbar“ (affordable) und „adäquat“/„gut genug“ (good enough) sind.
Zielgruppe: Menschen, die sich für Produkte und Dienstleistungen ohne übertriebene Funktionalität (ohne Schnickschnack) interessieren, die haltbar und ressourcenschonend sind.
Es geht nicht nur um Menschen, die teure Produkte/Dienstleistungen nicht zahlen können, sondern vor allem auch um solche, die zu teure, unnötige und eventuell sogar mit Nachteilen verbundene Produkte/Dienstleistungen nicht erwerben (bezahlen) wollen.
Vom (zahn)medizinischen Standpunkt aus betrachtet sollten nicht eindimensional auf den Preis fixierte, sondern wissenschaftlich begründbare Nutzen-Risiko-Betrachtungen im Vordergrund stehen. Die oben genannten Differenzierungen gestalten sich hier etwas anders als bei den Kostenträgern (GKV: wirtschaftlich, ausreichend, notwendig und zweckmäßig; PKV: definierter Leistungskatalog). Zwar kann man erwarten, dass Kostenträger ein sinnvolles Haushalten mit Ressourcen anstreben, aber deren Aktivitäten sind mehr oder weniger deutlich von einer Mischung aus Wachstumszielen ihrer eigenen Unternehmen und politisch-ideologischen Vorstellungen geprägt. Anders ist es beispielsweise kaum zu erklären, dass vonseiten der GKV der Wert von Leistungen wie zum Beispiel der Professionellen Zahnreinigung, die – unter der Voraussetzung, dass sie korrekt und bedarfsgerecht vorgenommen werden – wissenschaftlich anerkannt sind, etwas generalisierend hinterfragt wird, gleichzeitig jedoch wissenschaftlich fragwürdige Behandlungen (zum Beispiel Homöopathie) nicht nur erstattet, sondern neuerdings auch beworben werden, um diese Richtung in möglichst weiten Bevölkerungskreisen salonfähig zu machen. So jedenfalls sollten frugale Interventionen nicht verstanden werden.
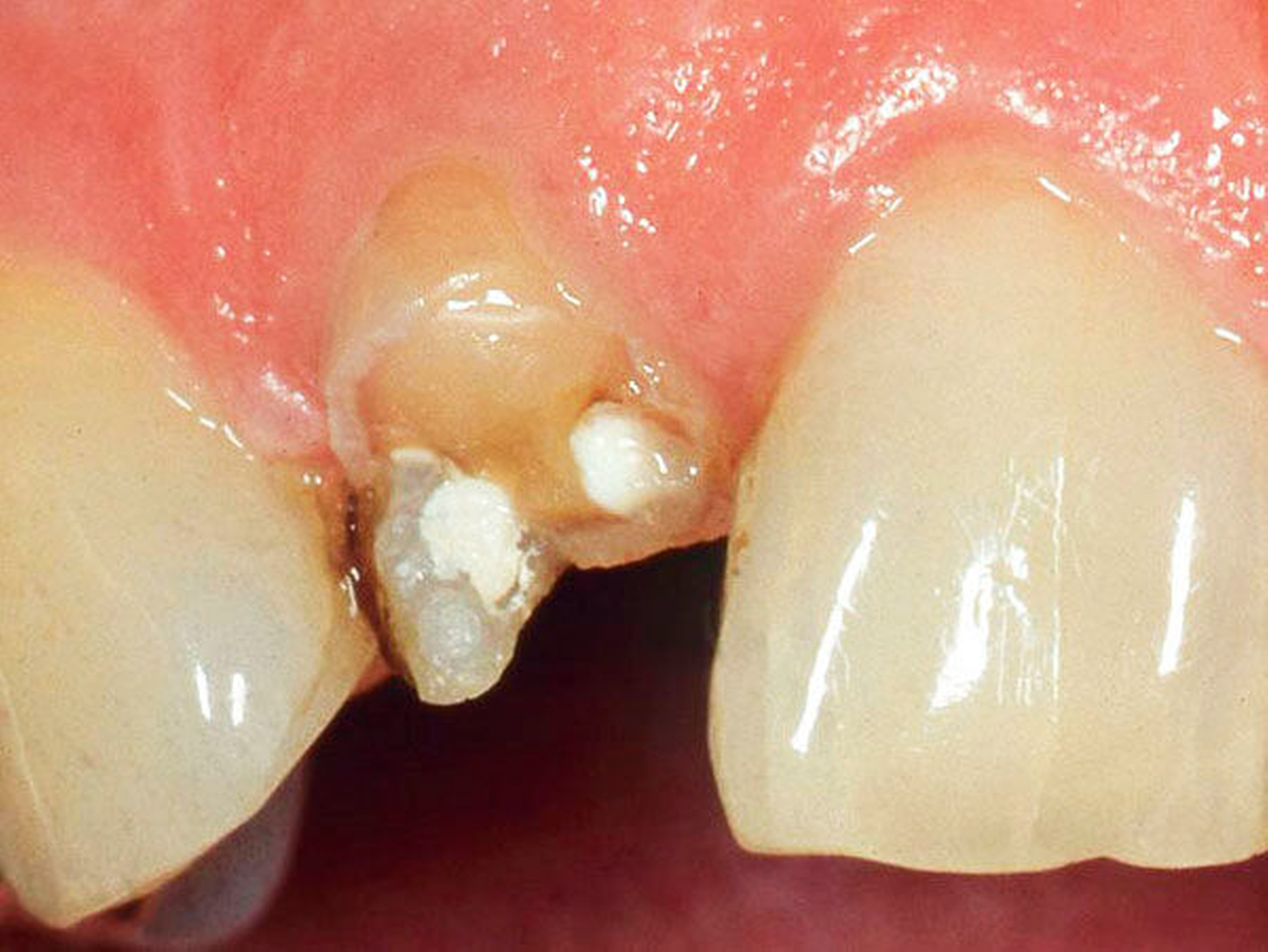
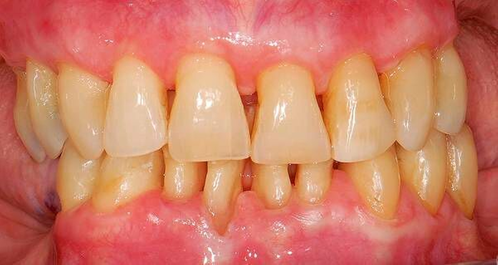
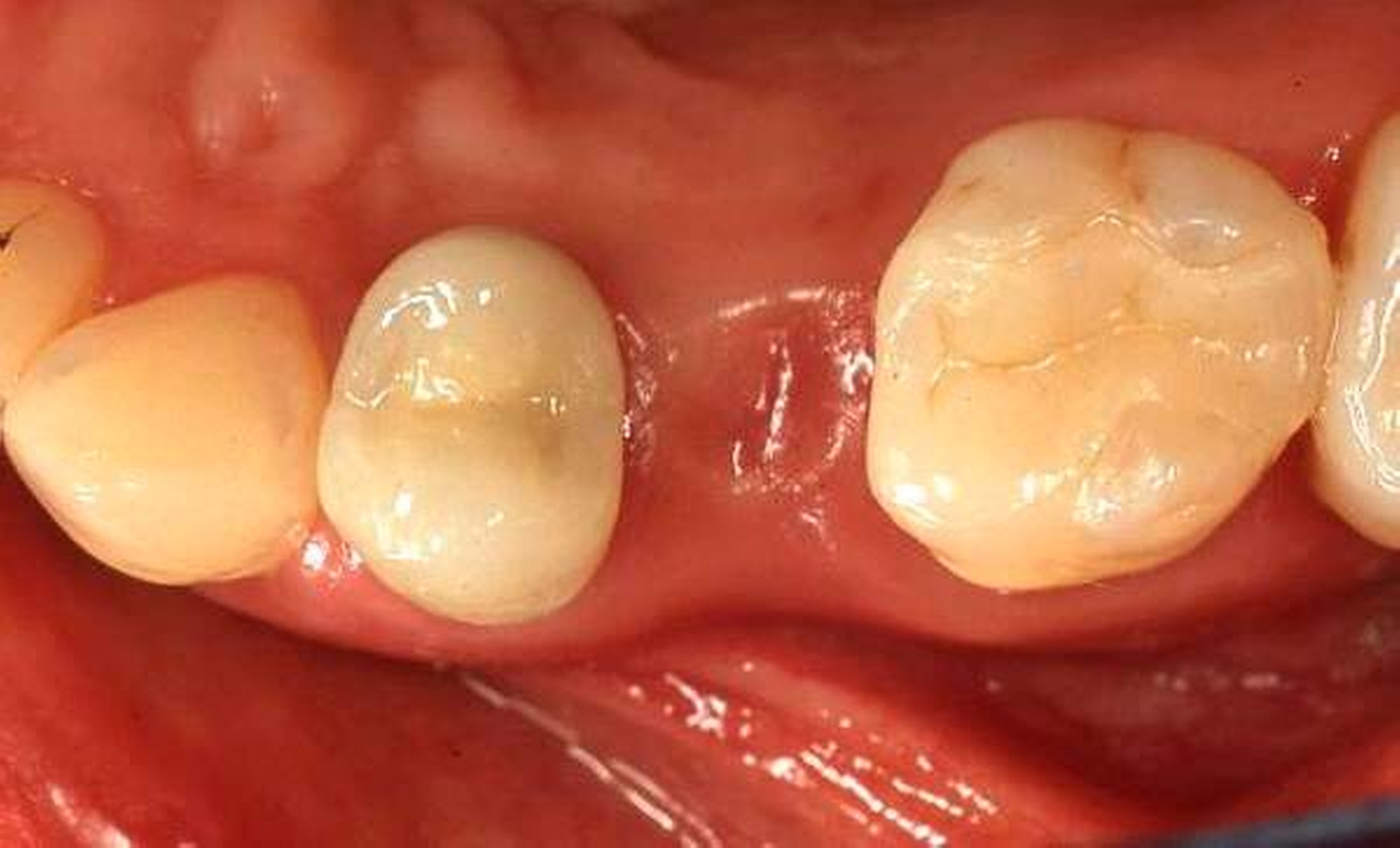
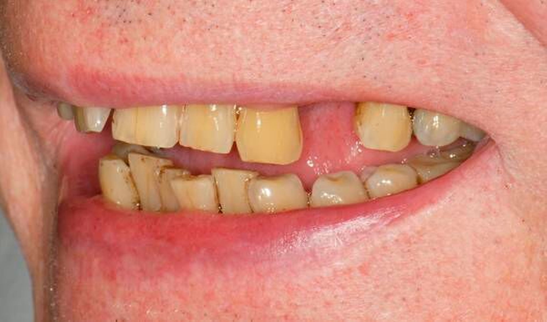
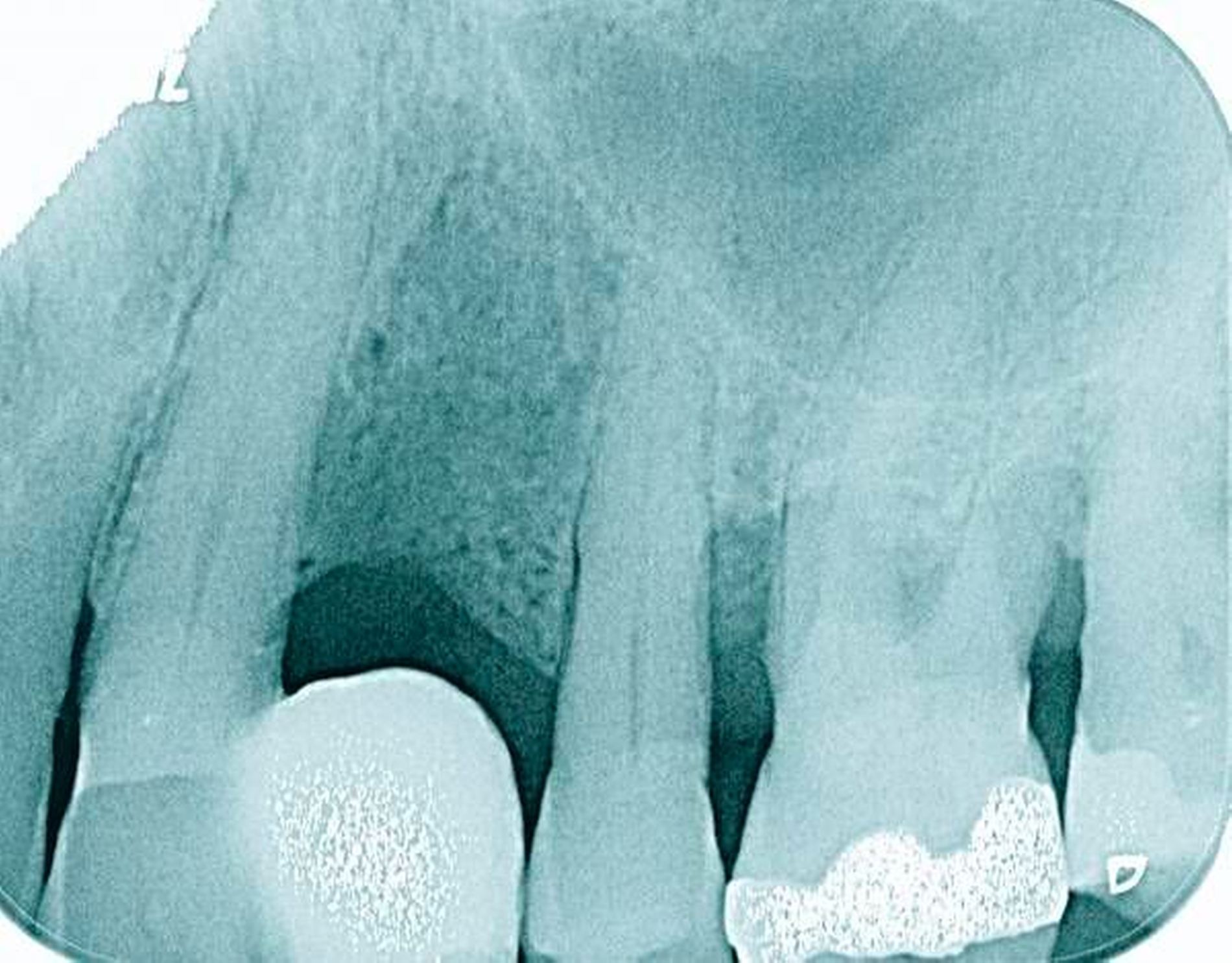
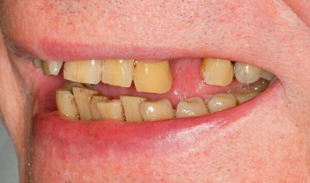
Abbildung 1a bis 1f: Direkte Überkronung im Frontzahnbereich (R1-Technik)
Frugale Interventionen in der Zahnmedizin
Wenn man sich mit der konkreten Übertragung frugaler Maßnahmen auf die Zahnmedizin näher befasst, ergeben sich verschiedene Sachverhalte hinsichtlich zahnmedizinischer Abwägungen von realistisch einzuschätzenden Zielsetzungen, dabei einzugehenden Risiken und entstehenden Kosten, die einer Klärung bedürfen [Staehle, 2016]. Da es nicht nur um Neuentwicklungen wie beispielsweise eine Indikationsausweitung adhäsiver Restaurationsverfahren, sondern auch um bewährte Vorgehensweisen geht (zum Beispiel Amalgamrestaurationen, Monitoring bei Einzelzahnlücken), wird im Folgenden der Begriff „Frugale Interventionen“ bevorzugt. Die Charakteristika frugaler Interventionen lassen sich zusammenfassend wie folgt beschreiben:
schonend (ressourcenschonend, orale Strukturen schonend, hinreichend stabil)
bezahlbar (nicht „billig“, aber auch nicht stark kostentreibend, „sozial verträglich“)
gut genug (adäquat, erfüllt die Erwartungen, gute Nutzen-Risiko-Relation, ohne Schnickschnack)
Es gibt seit jeher eine Fülle von Beispielen für die Zahnmedizin, die alle Fachdisziplinen betreffen. Einige wenige aus den Bereichen der restaurativen Versorgung, des Lückenmanagements und der Mundhygiene sollen hier aufgeführt werden. Zu Beginn werden den Kategorien „Low Cost“, „Frugal“ und „Premium“ jeweils mögliche Behandlungsoptionen zugeordnet.
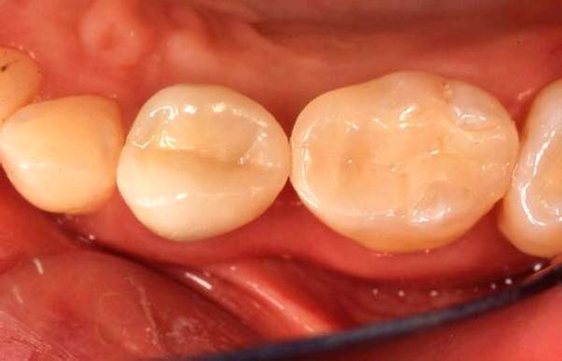
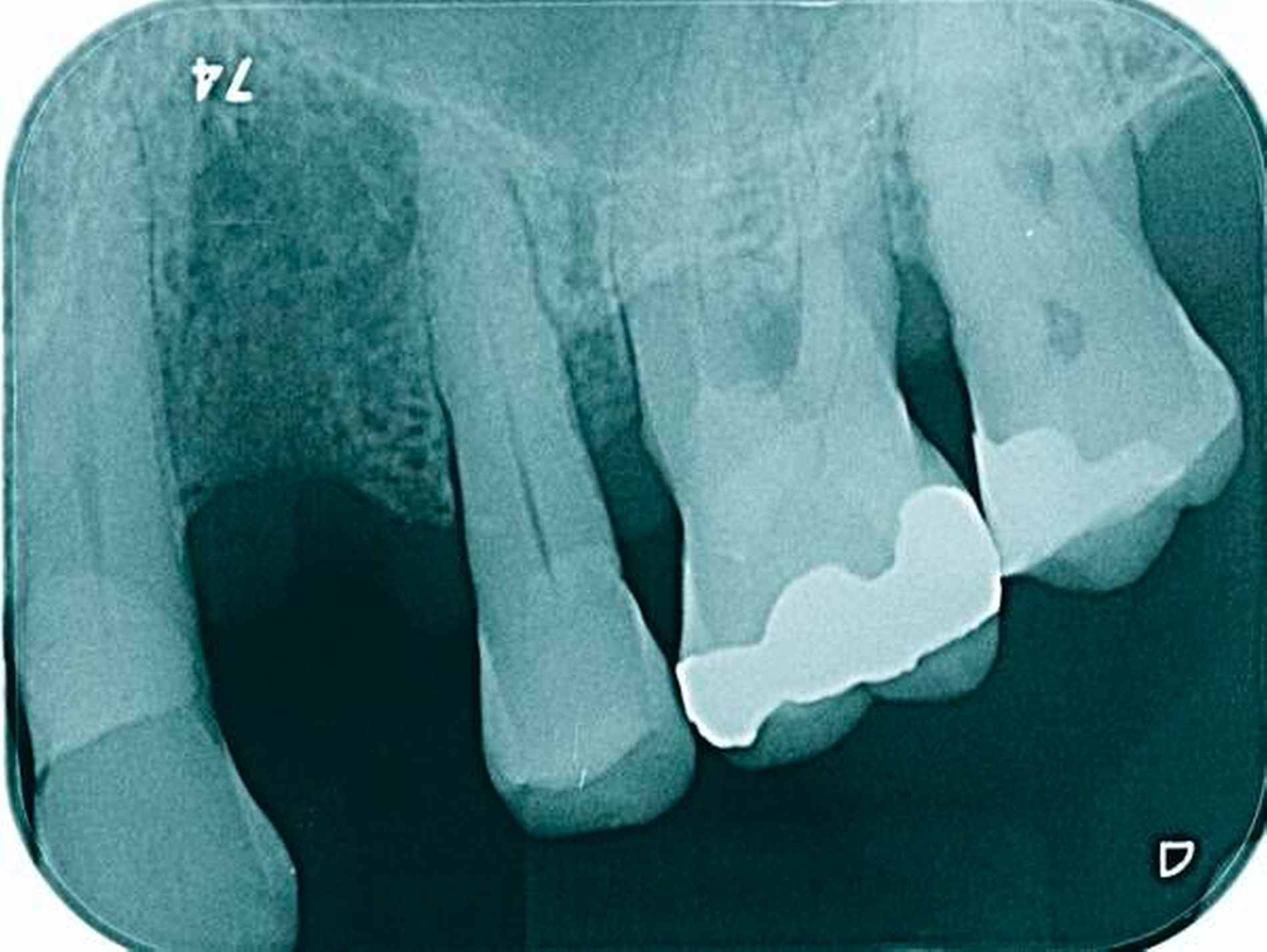
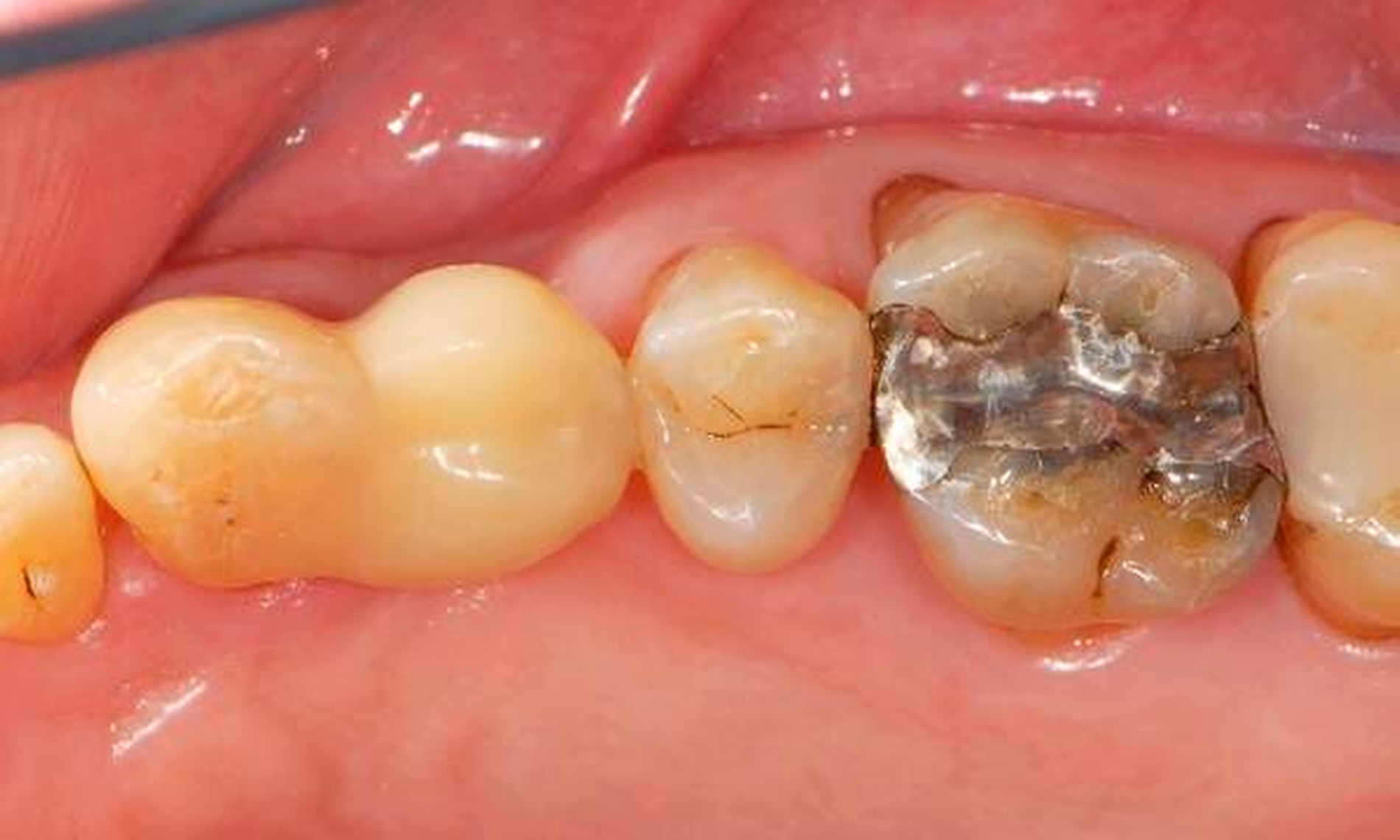
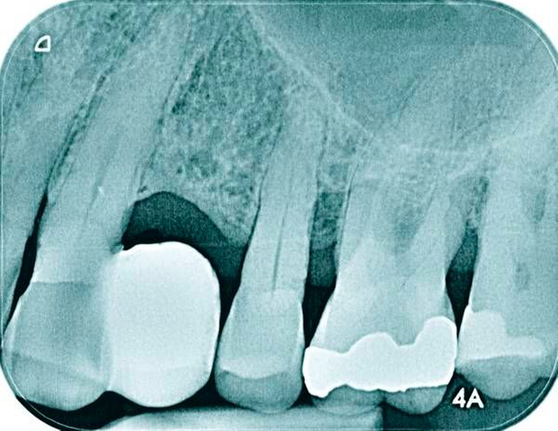
Abbildung 2: Direkte Teilüberkronung im Seitenzahnbereich (R1-Technik)
Restaurative Versorgung
Low Cost: zum Beispiel bestimmte Zementrestaurationen mit begrenzter Haltbarkeit
Frugal: zum Beispiel anspruchsvoll verarbeitetes direktes Komposit in diversen Ausdehnungsgraden (einschließlich direkter Teil- und Vollüberkronungen, Verschalungen, Verbreiterungen/Anhängern, Reparatur-Restauration in R1- oder R2-Technik)
Premium: zum Beispiel „höchstwertige“ indirekt hergestellte Keramikwerkstücke (eventuell mit besonderen Zusatzeffekten wie beispielsweise eingefärbten Fissuren bei Kauflächenrestaurationen mit fraglichem Nutzen?)
In der restaurativen Zahnheilkunde haben in den vergangenen Jahren insbesondere direkt eingebrachte, adhäsiv verankerte Kompositrestaurationen das Behandlungsspektrum vergrößert. Der aktuelle wissenschaftliche Kenntnisstand zu dieser Thematik wurde in einem Sonderband der Fachzeitschrift Operative Dentistry 2016 detailliert aufgezeigt. Einige neue Indikationsbereiche wurden auch in der Poliklinik für Zahnerhaltungskunde am Universitätsklinikum Heidelberg beschrieben und erprobt [Frese et al., 2013 und 2014; Staehle, 1999, 2003, 2009, 2012, 2014; Staehle et al., 2014, 2015a und b, 2016a und b, 2017; Wolff et al., 2010 und 2012]. Es soll nicht verschwiegen werden, dass diese Weiterentwicklungen auch mit etlichen Rückschlägen und Misserfolgen verbunden waren und die im Folgenden beschriebenen Beispiele zum Teil noch auf unsicherem Fundament stehen.
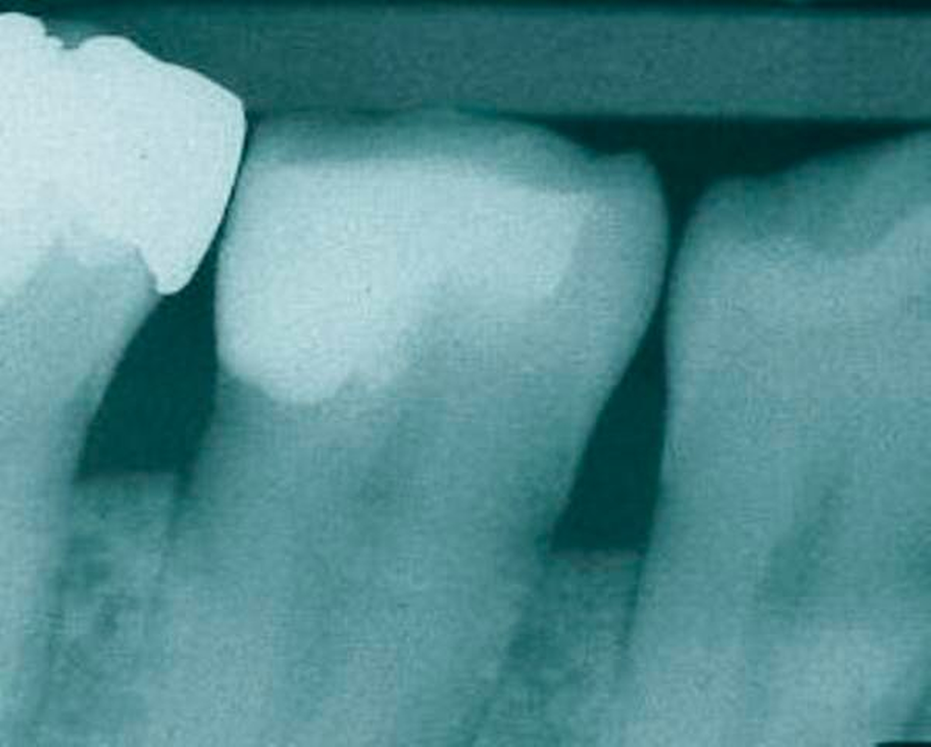
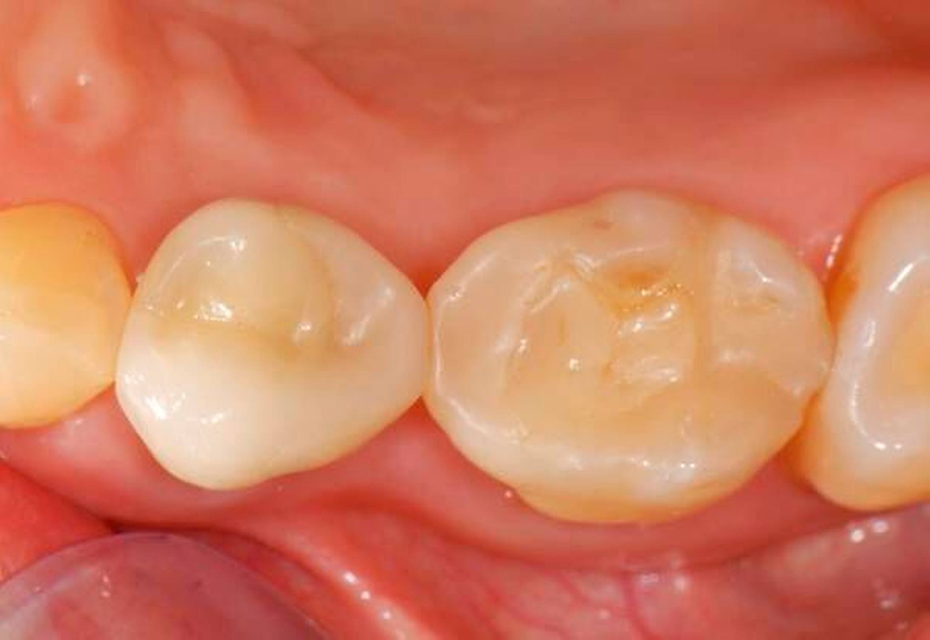
In den Abbildungen 1 bis 3 werden Optionen für frugale Interventionen auf restaurativem Sektor aufgeführt. Es handelt sich um direkte Vollüberkronungen im Frontzahnbereich (hier: hergestellt in R1-Technik / einphasig) (Abbildung 1), direkte Teilüberkronungen im Seitenzahnbereich (hier: hergestellt in R1-Technik / einphasig) (Abbildung 2), Reparatur-Restaurationen im Seitenzahnbereich (hier: hergestellt in R2-Technik / zweiphasig) (Abbildung 3). Technische Einzelheiten zur Vorgehensweise und den Ergebnissen sind an anderer Stelle beschrieben (Literatur siehe oben).
Am Beispiel von Abbildung 1 (stark zerstörte Zahnkrone eines Schneidezahns) kann das Prinzip der frugalen Intervention erläutert werden:
Früher wurde für die hier beschriebene Ausgangssituation folgendes Procedere gewählt:
Wurzelkanalbehandlung des vitalen Zahns als Voraussetzung für eine Stiftversorgung
Einsetzen eines Wurzelkanalstifts
Einsetzen einer indirekt gefertigten Stiftkrone
Durch die Erfolge der Adhäsiv- und Komposittechnik kann heute folgendermaßen vorgegangen werden:
Verzicht auf Wurzelkanalbehandlung / Erhaltung der Vitalität des Zahns
Verzicht auf Wurzelkanalstift
direkte minimalinvasive Kompositkrone (Verzicht auf indirekte Vorgehensweise)
Die potenziellen medizinischen und ökonomischen Vorteile dieser frugalen Intervention sind vielfältig:
Schonend: Die oralen Strukturen werden geschont und die Versorgung ist hinreichend stabil. Durch den Verzicht auf Wurzelkanalstifte wird das Wurzelfrakturrisiko reduziert. Zudem können Material-, Geräte- und Personalressourcen aus Praxis und Techniklabor, die beim klassischen Vorgehen anfielen, reduziert werden.
Bezahlbar: Hier ist anzumerken, dass die Kosten unter anderem von der zahnärztlichen Expertise abhängig sind: Zahnärzte, die mit direkten Restaurationen große Erfahrung haben, können zügiger und mit besserem Erfolg arbeiten als Kollegen mit geringerer Erfahrung auf diesem Gebiet; die Behandlung ist gleichwohl anspruchsvoll und deshalb nicht „billig“. Eine direkte Vorgehensweise kann, muss aber nicht automatisch zeit- und kostensparender sein als eine Versorgung mit indirekt hergestellten Werkstücken.
Gut genug: Ästhetische Feinheiten lassen sich bei direkten Restaurationen nicht immer in gleicher Perfektion einarbeiten wie bei indirekt gefertigten Kronen, auch die Stabilität des Hochglanzes lässt bei einigen Kompositpräparaten noch zu wünschen übrig. Andererseits erlauben die direkten Verfahren inzwischen mitunter sehr flexible Vorgehensweisen, die sich auch mit Farb- und Formkorrekturen von Zähnen kombinieren lassen. Die Erwartungen eines großen Teils der Patienten werden hinreichend erfüllt und die Nutzen-Risiko-Relationen wie auch die Aufwand-Kosten-Relationen erscheinen – wenn auch nicht durchgängig – so doch zumindest in vielen Fällen günstig.
Für die in Abbildung 2 dargestellte Situation eines tief zerstörten Prämolaren gelten ähnliche Charakteristika. Es gibt in der restaurativen Zahnheilkunde viele Neuerungen, die das Behandlungsspektrum vergrößert haben. Dazu zählen unter anderem:
ein- oder zweiphasiges Vorgehen je nach Defektausdehnungen (R1- und R2-Technik),
von Präparationsgrenzen unabhängige Verschalungstechniken, die auch bei nicht-kariesbedingten Zahnhartsubstanzschäden (wie etwa Hypomineralisationen) zum Einsatz kommen können,
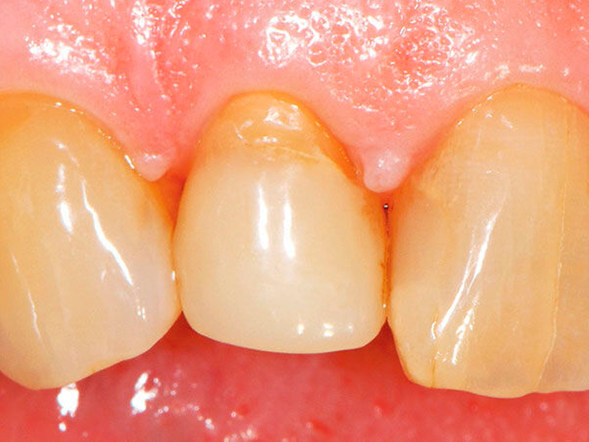
schadensgerechte Reparaturtechniken (Abbildung 3),
neuartige Insertionstechniken, die unter anderem die Anpassung neuer Restaurationen an vorhandene prothetische Versorgungen (Reziproktechnik) erlauben.
Abbildung 3: Direkte Reparatur im Seitenzahnbereich (R2-Technik)
Lückenmanagement
Low Cost: zum Beispiel herausnehmbare Klammerprothese
Frugal: zum Beispiel Lückenschluss durch direkte Zahnverbreiterung oder -anhänger; regelmäßiges Monitoring mit Belassen einer Lücke (falls keine ästhetischen oder funktionellen Argumente dagegen sprechen)
Premium: zum Beispiel Implantat oder indirekt hergestellte Brücke, zuweilen mit der Gefahr einer Überbehandlung und/oder unerwünschten Folgeerkrankungen
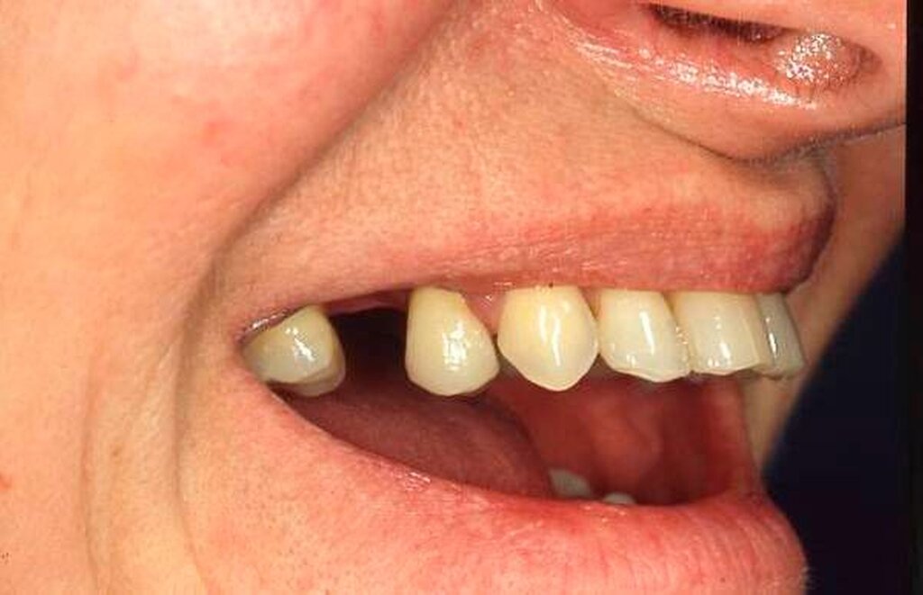
In der Zahnmedizin ist ein Dogma weit verbreitet: „Jede Lücke muss rasch geschlossen werden.“ Tatsächlich gibt es jedoch viele Situationen, in denen es ohne relevante funktionelle und ästhetische Einbußen vertretbar erscheint, eine Lücke zu belassen und regelmäßig zu beobachten (Monitoring). Derzeit erfolgt die Entscheidung „Lücke belassen versus Lücke schließen“ oftmals subjektiv. Sie ist zuweilen weniger von den Patientenvariablen abhängig als von den Schwerpunkten der betreuenden Zahnärzte (Abbildung 4) [Listl et al., 2016]. Ein fachlich fundiertes Vorgehen, das eine Entscheidung unter einer Nutzen-Risiko-Abwägung trifft und ein Monitoring in die Überlegungen einbezieht, kann ebenfalls in die Kategorie der frugalen Interventionen eingeordnet werden. Gleiches gilt für ein Vorgehen im Sinne des Prinzips der verkürzten Zahnreihe, das inzwischen wissenschaftlich gut evaluiert ist [Walter, 2016] und zu dessen Realisierung auch konservierende Maßnahmen beitragen können (Abbildung 5).
Falls ein Lückenschluss nach Gegenüberstellung der Vor- und Nachteile als angemessen angesehen wird, stellt sich die Frage, mit welchen Hilfsmitteln dies erfolgen soll. Derzeit stehen Implantate und klassische Brückenversorgungen im Vordergrund. Es gibt aber auch etliche nicht- oder minimal-invasive Alternativen, die zum Beispiel bei Einzelzahnlücken in Erwägung gezogen werden können. Dazu zählen unter anderem direkte Verfahren wie Zahnverbreiterungen oder -anhänger (Abbildungen 6 und 7) [Staehle, 2009 und 2012; Staehle et al., 2015]. Zurzeit kommen derartige Maßnahmen nur in Einzelfällen in Betracht, es bedarf noch weiterer Evaluationen, um ihr Indikationsspektrum genauer abgrenzen zu können. Es zeichnet sich aber jetzt schon ab, dass sie ein gewisses Potenzial als frugale Interventionen besitzen. Auch wenn momentan vielfach Implantate favorisiert werden, erscheint es dennoch sinnvoll, wenn die Zahnärzteschaft auch diverse Implantat-Alternativen vorhalten kann. Ungeklärte Probleme periimplantärer Entzündungen [Chrcanovic et al., 2016] und die zu erwartende Diskussion über Beziehungen zwischen periimplantären Entzündungen und der Allgemeingesundheit lassen es als sinnvoll erscheinen, solchen Fragen intensiver als bisher nachzugehen. Bislang wird zwar nur über Einflüsse der Allgemeingesundheit auf den Erfolg beziehungsweise Misserfolg von Implantaten diskutiert. Es ist aber nicht auszuschließen, dass man künftig die Fragestellung in umgekehrter Richtung dahingehend erweitert, inwieweit Implantate ihrerseits nicht nur positiven, sondern auch negativen Einfluss auf die Allgemeingesundheit nehmen können.
Abbildung 4: Überwachtes Monitoring (Belassen und Beobachten) von Zahnlücken

Mundhygiene
Low cost: zum Beispiel Handzahnbürste ohne individuell ausgewählte Interdentalraumbürsten (IDR-Bürsten)
Frugal: zum Beispiel Handzahnbürste und zusätzlich individuell ausgewählte IDR-Bürsten
Premium: zum Beispiel elektrische Zahnbürste (oftmals wird dabei bemerkenswerterweise auf IDR-Bürsten verzichtet, wobei eine so herbeigeführte Kostenreduktion für viele Menschen allerdings keine gute Entscheidung wäre, siehe unten)
Wenn man die die Zahnmedizin betreffenden direkten und indirekten Werbeaktivitäten von Industrieunternehmen beobachtet, fällt auf, dass zwei Bereiche dominieren und zwar nicht nur im Hinblick auf PR-Maßnahmen aller Art für die Profession, sondern auch für die Bevölkerung. Zum einen handelt es sich um umfangreiche Aktivitäten zur Steigerung von Implantatversorgungen, zum anderen um die Verkaufsausweitung elektrischer Zahnbürsten. In beiden Fällen wird oftmals der Hightech-Charakter herausgestrichen. Unter bestimmten Versuchsbedingungen schneiden elektrische Zahnbürsten zwar etwas besser ab als Handzahnbürsten. Sichtet man allerdings die Literatur genauer, ist man gut beraten, mit der Interpretation vorsichtig zu sein. Ganß schrieb dazu in einer aktuellen Übersichtsarbeit zum Thema „Zähneputzen – Mythen und Wahrheiten“: „Die Überlegenheit elektrischer Bürsten gegenüber Handzahnbürsten konnte bislang nicht nachgewiesen werden“ [Ganß, 2016]. Bedenklich erscheint es, wenn Hersteller elektrischer Zahnbürsten suggerieren, man könne mit diesen Hilfsmitteln die Interdentalräume suffizient reinigen. Dies ist nämlich nicht ganz korrekt. Viele Menschen benötigen besondere zusätzliche Hilfsmittel zur Interdentalraumhygiene, wobei individuelle Instruktions- und Trainingsmaßnahmen unabdingbar sind. Da diese oftmals nicht in Anspruch genommen werden (können), verwundert es kaum, dass sich hier Effekte kaum aussagekräftig messen lassen.
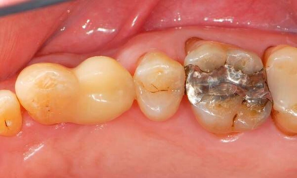
Wenn beispielsweise ein Patient mit tiefen Zahnfleischtaschen Interdentalraumbürsten anwendet, die ohne nennenswerten Widerstand die Zahnzwischenräume passieren, kann man nicht erwarten, dass ihm dies zu einem großen Nutzen für die Zahngesundheit verhilft. Dies betrifft auch Implantatträger [Staehle et al., 2016]. In Abbildung 7 ist ein Patient gezeigt, der trotz Parodontalbehandlung und regelmäßiger Reinigung mit einer – zu dünnen – Interdentalraumbürste hohe Sondierungstiefen und Bluten nach Sondieren aufwies. Erst nach Umstellung auf eine größere Interdentalraumbürste mit längeren Seitenborsten und einem genügend hohen Passagewiderstand durch den Interdentalraum wurde der Taschenfundus mit den Borsten besser erreicht und es kam zu einem deutlichen Entzündungsrückgang.
Eine zahnmedizinisch sinnvolle frugale Intervention für viele Menschen wäre, ihnen eine Handzahnbürste zu empfehlen und dies bedarfsgerecht durch geeignete Interdentalraumbürsten zu ergänzen. Dies wäre in manchen Fällen wesentlich besser, als jemanden durch die alleinige Empfehlung einer elektrischen Hightech-Zahnbürste in einer falschen Sicherheit zu belassen und auf Interdentalraumbürsten zu verzichten. Allerdings muss man einräumen, dass derzeit Interdentalraumbürsten relativ teuer und verschleißanfällig sind und dass das oft sehr unübersichtliche und unvollständige Produktangebot nicht den tatsächlichen Erfordernissen genügt. Insofern besteht hier auch von Herstellerseite Handlungsbedarf.
Abbildung 5: 63-jährige Patientin, Migrantin, geringe deutsche Sprachkenntnisse, allein lebende Witwe, arbeitete früher als Putzfrau, sehr schwierige psycho-soziale und ökonomische Situation, schlechter Allgemeinzustand, diverse Erkrankungen (unter andere




Abschließende Überlegungen
Wie die aufgezeigten Beispiele zeigen, ist es nicht sachgerecht, Hightech-lastigen „Premium“-Interventionen per se immer die höchsten Qualitätsstandards und die höchsten Outcome-Werte zuzuordnen. Im Einzelfall kann sich die Situation sogar umdrehen, so dass eine frugale Intervention einer sehr umfangreichen und aufwendigen Versorgung vorzuziehen ist.
(Zahn)medizinische Eingriffe haben bekanntlich unterschiedliche Gewinnmargen. Der Umstand, dass zurzeit Hightech-Verfahren (beispielsweise mit Einsatz von Implantaten) sehr großes Interesse finden, könnte nicht nur dem (zahn)medizinischen Nutzen geschuldet sein, sondern unter anderem auch damit zusammenhängen, dass dort höhere Gewinnmargen als in anderen Bereichen erwartet werden. Eine gute zahnmedizinische Versorgung muss jedoch nicht automatisch und ausschließlich über Hightech-Verfahren erfolgen. Man kann durchaus in vielen Fällen auch mit Lowtech-Verfahren und frugalen Interventionen zu einem beachtenswerten Erfolg kommen.
Abbildung 6: Direkter Lückenschluss (Zahnverbreiterungs-Technik) im Seitenzahnbereich
Dazu bedarf es jedoch auch ausgewogener Forschungsanstrengungen und deren angemessener Vermittlung. Wenn man vergleicht, wie viele Mittel in den vergangenen Jahren in die implantologische Forschung, Fortbildung und Vermarktung geflossen sind und wie wenig für die Entwicklung von Implantat-Alternativen getan wurde, dann wird (zumindest was konservierende Interventionen angeht) ein krasses Missverhältnis deutlich. In der Forschung ist die selektive Evidenzproduktion überdeutlich. Evidenz sollte aber nicht nur dort, wo es sich ökonomisch lohnt, produziert werden, sondern auch dort, wo medizinische Vorteile zu erwarten sind.
Es gibt bekanntlich in fast allen klinischen Situationen Behandlungsalternativen. Eine Herausforderung besteht unter anderem darin, möglichst gut standardisierte und patientenzentrierte Outcome-Maße zu nutzen und bei Bedarf weiterzuentwickeln, um Patienten möglichst adäquat informieren und beraten zu können. Wenn man als übergeordnetes Ziel die Optimierung der (Mund)gesundheit in der Bevölkerung akzeptiert, so müssen auch Überlegungen erlaubt sein, ob und wo Ressourcen eingespart werden können, die an anderer Stelle mit höherem Zusatznutzen Verwendung finden. Auch die Frage, ob bei frugalen Interventionen eventuelle Kostenersparnisse an den Patienten weitergegeben werden können oder zumindest dazu beitragen, Differenzen in den Gewinnmargen diverser Disziplinen auszugleichen, sollte dabei Berücksichtigung finden.
Frugale Interventionen in der Zahnmedizin können problematisch sein, wenn sie dazu missbraucht werden, das Niveau der zahnmedizinischen Versorgung abzusenken. Andererseits können sie eventuell dazu beitragen, bedenklichen Polarisierungen entgegenzuwirken und festgefahrene Denkansätze – zum Beispiel von Kostenträgern – aufzubrechen. Wichtig dabei ist, nicht nur die Kostenseite zu thematisieren, sondern auch die (zahn)medizinische Nutzen-Risiko-Relation herauszuarbeiten. In diesem Kontext spielen auch Überlegungen zu den sogenannten Opportunitätskosten (entgangener Nutzen durch nicht wahrgenommene, aber vorhandene bessere Alternativen) eine Rolle. Es gibt zwar etliche Entwicklungen in Richtung frugaler Interventionen, insgesamt finden sie jedoch zurzeit noch relativ wenig Interesse. Bislang sind nur begrenzte Forschungsanstrengungen erkennbar, die Drittmittelförderung ist vergleichsweise gering. In Lehre und Weiterqualifikation sind die Überlegungen unterrepräsentiert und im Praxisalltag werden sie zuweilen nur unsystematisch umgesetzt.
Trotz aktueller Limitationen wird die Bedeutung wahrscheinlich steigen. Man sollte die Gefahr einer Instrumentalisierung in Richtung reiner Kostendämpfung abwehren, gleichzeitig aber auch die Chancen frugaler Interventionen für eine bedarfsgerechtere und niedrigschwelligere Versorgung ergreifen.
Prof. Dr. Dr. Hans Jörg Staehle
Poliklinik für Zahnerhaltungskunde der Klinik für Mund-,
Zahn- und Kieferkrankheiten des Universitätsklinikums Heidelberg
Im Neuenheimer Feld 400, 69120 Heidelberg
hansjoerg.staehle@med.uni-heidelberg.de
Abbildung 7: Direkter Lückenschluss (metall-, keramik- und glasfaserfreie Anhängertechnik)
Maximal? Frugal? Optimal? Was ist gute zahnmedizinische Versorgung?
Höher, schneller, weiter – im Jahr 2019 kann die Zahnmedizin technisch und therapeutisch mehr als je zuvor. Und doch sehen wir immer wieder, dass sich Fortschritt nicht automatisch in Patientennutzen umsetzt. Maximal-Zahnmedizin kann optimal für den Patienten sein, muss aber nicht! Der alte Satz, nach dem „aufwendig“ und „teuer“ immer auch „besser“ bedeutet, war ohnehin in dieser Kausalität nie richtig, wird aber heute durch die steigende Zahl an Behandlungsoptionen, über die die Zahnmedizin verfügt, neu zur Disposition gestellt. In der zm wollen wir darüber diskutieren.
Wohl kaum einem Bereich der Zahmedizin ist in der letzten Dekade so viel Aufmerksamkeit zuteil geworden wie der Implantologie. Durch einen weitgehend digitalen Workflow mit 3-D-Planung und geführter Implantation können Eingriffe heute vorhersagbarer und sicherer durchgeführt werden. Das ist nicht zuletzt auf die Initiative der Dentalindustrie zurückzuführen, die in der zunehmenden Verbreitung der Versorgung mit Implantaten Wachstumschancen sieht.
Im Gefolge dieser zunächst positiven Entwicklung entsteht jedoch das imageträchtige Bild einer Hightech-Zahnmedizin, die die herkömmlichen und weit weniger schillernden Behandlungsalternativen in der (fach)öffentlichen Wahrnehmung allmählich in den Hintergrund drängt. Dagegen regt sich nun Widerspruch. Auf den folgenden Seiten finden Sie einen Beitrag von Prof. Dr. Dr. Hans Jörg Staehle, Heidelberg, der sich mit „frugalen“ Interventionen in der Zahnmedizin auseinandersetzt und für die Stärkung einer „Lowtech-Dentistry“ plädiert. Es sei „nicht sachgerecht, Hightech-lastigen „Premium“-Interventionen per se immer die höchsten Qualitätsstandards und die höchsten Outcome-Werte zuzuordnen.“ Im Gegenteil, die Situation könne sich sogar umdrehen.
Neben der rein medizinischen Betrachtung spielen in dieses Thema natürlich auch wirtschaftliche Aspekte hinein. Hightech ist „Premium“ und generiert damit entsprechende Umsätze. Im Lichte der Tatsache, dass sich seit geraumer Zeit Konzentrationsprozesse in der zahnärztlichen Versorgung vollziehen und Dentalketten in Deutschland auf dem Vormarsch sind, gewinnt eine Diskussion über die Rolle von Hightech in der Zahnmedizin zusätzlich an Bedeutung. Anfang dieses Jahres hatte die Kassenzahnärztliche Bundesvereinigung (KZBV) eine Analyse des Abrechnungsverhaltens von Z-MVZ gegenüber Einzelpraxen und BAG vorgelegt. Ergebnis: Beim Zahnersatz liegen die Honorare in den MVZ „um rund 35 Prozent oberhalb der Durchschnittswerte in Einzelpraxen.“ Die Unterschiede in den Abrechnungsdaten „lassen insgesamt auf eine verstärkte Orientierung hin zu kostenintensiveren Behandlungen und hiermit verbunden besonders gewinnversprechenden Leistungen in MVZ schließen“, schreibt die KZBV in ihrer Analyse. Das TSVG hat den Aktionsradius der Dentalketten zwar eingegrenzt, nichtsdestotrotz werden weiterhin Investoren auf den Dentalmarkt drängen, die für ihre Investitionen eine Rendite auf das eingesetzte Kapital sehen wollen. Hier wachsen Versorgungsstrukturen heran, die a priori durch das Geschäftsmodell Maximalversorgungen zulasten minimalinvasiver Behandlungsoptionen fördern.
Wenn von den Vorteilen einer „Lowtech-Dentistry“ die Rede ist, werden auch die Krankenkassen genau hinhören – warum teures Hightech bezahlen, wenn auch weniger geht. Aber es geht bei dieser Diskussion nicht eindimensional um monetäre Aspekte und um die Frage von Einsparmöglichkeiten, sondern um die im Sinne des Patienten bestmögliche zahnmedizinische Versorgung. Es ist ein primär zahnmedizinischer Diskurs, der bei der Erörterung der verschiedenen Behandlungsoptionen erst einmal die Schonung der oralen Gewebe, der natürlichen Zahnsubstanz im Sinn hat und unter Berücksichtigung der jeweils Patienten-individuellen Gegebenheiten einen minimalinvasiven Ansatz in den Vordergrund rückt.
Zu den Dogmen der GKV gehört die Auffassung, den Versicherten die gesamte Palette medizinisch sinnvoller Interventionen zur Verfügung zu stellen. Dass dieser Vollversorgungsanspruch in der Zahnmedizin nicht einlösbar ist, zeigen die zahlreichen Limitationen im GKV-System und das weite Feld von Zuzahlungen, Mehrkostenvereinbarungen und Privatleistungen. Zu den Abwehrstrategien der Kassen gehört die mittlerweile etablierte Praxis, öffentlichkeitswirksam sinnvolle medizinische Leistungen als nicht evidenzbasiert zu diskreditieren und sich als Patientenschützer gegen zahnärztliche „Abzocke“ zu profilieren.
Es gibt sicher mannigfaltige Möglichkeiten, einen fachlich-zahnmedizinischen Diskurs um High- und Lowtech-Dentistry misszuverstehen und für gesundheitspolitische Zwecke zu instrumentalisieren. Doch das sollte uns nicht daran hindern, im Lichte eines durch den Fortschritt erheblich erweiterten Behandlungsspektrums über die für den Patienten bestmögliche zahnmedizinische Versorgung nachzudenken. (br)
Literaturliste
1. Chrcanovic BR, Kisch J, Albrektsson, Wennerberg A: Factors influencing early dental implant failures. J Dent Res 2016; 95 (9):995-1002.
2. Frese C, Schiller P, Staehle HJ, Wolff D. Recontouring teeth and closing diastemas with direct composite buildups: a 5 year follwo-up. J Dent 2013;41: 979-85.
3. Frese C, Wolff D, Staehle HJ. Proximal Box Elevation With Resin Composite and the Dogma of Biological Width: Clinical R2-Technique and Critical Review. Oper Dent 2014; 39 (1):22-31.
4. Ganß C: Zähneputzen – Mythen und Wahrheiten. Quintessenz 2016;67 (9):1061-1067.
5. Herstatt C, Tiwari R: Frugale Innovation: Wissenschaftliche Einordnung eines neuen Innovationsbegriffs. Technologie- und Innovationsmanagement an der Technischen Universität Hamburg-Harburg, Arbeitspapier Nr. 88, März 2015. www.frugal-innovation.net
6. Listl S, Faggion Jr CM, Staehle HJ: Professional variability in decision making in modern dentistry – a pilot study. Oper Dent (Spec Iss) 2016.
7. Operative Dentistry, Supplement No. 7, September 2016
8. Platt JA (Editor): Operative Dentistry, Supplement No. 7, September 2016. www.jopdent.org
9. Staehle HJ. Minimally invasive restorative treatment (invited position paper). J Adhesive Dent 1999;1:267-284.
10. Staehle HJ. Prophylaxeorientierte Füllungstherapie. In: Roulet J-F, Zimmer S (Hrsg). Prophylaxe und Präventivzahnmedizin. Farbatlanten der Zahnmedizin 16. Stuttgart: Thieme 2003.
11. Staehle HJ. Eine neue Methode zum Lückenschluss im Seitenzahnbereich durch direkt vorgenommene Zahnverbreiterungen. Quintessenz 2009; 60:145-154.
12. Staehle HJ. Lückenschluss im Seitenzahnbereich durch direkte Zahnverbreiterungen als Alternative zu prothetischen und implantologischen Eingriffen. Stomatologie 2012;109:103-110.
13. Staehle HJ: Mehr Zahnerhaltung! Problemlösungen in der Restaurativen Zahnheilkunde. Quintessenz, Berlin 2014.
14. Staehle HJ, Frese C, Wolff D. Die zweiphasige direkte Kompositrestauration (R2-Technik). Dtsch Zahnärztl Z 2014;69(4):182-191.
15. Staehle HJ, Wolff D, Frese C: More conservative dentistry: Clinical long-term results of direct composite resin restorations. Quintessence Int 2015;46:373-380.
16. Staehle HJ, Wohlrab T, Saure D, Wolff D, Frese C. A 6.5-year clinical follow-up of direct resin composite buildups in the posterior dentition: Introduction of a new minimally invasive restorative method. J Dent 2015;43(10):1211-7.
17. Staehle HJ: Frugale Innovationen in der Zahnmedizin. Zahnmedizin up2date 2016 (3); 10:197-198.
18. Staehle HJ, Wolff D, Frese C: Restaurationsunterhalt durch Umrissoptimierungen und Reparaturen. Quintessenz 2016; 67(9):1077-1091.
19. Staehle HJ, El Sayed N, Bäumer A: Mechanische Interdentalraumhygiene bei Implantatträgern. Zahnmedizin up2date 2016; 10 (6): 539-558.
20. Staehle HJ, Frese C, Wolff D: Neue konservierend-restaurative Optionen in der Gerontostomatologie. Zahnmedizin up2date 2017; 11 (2):127-151.
21. Walter MH: Umgang mit Lückengebisssituationen – Konzept verkürzte Zahnreihe – wo stehen wir 2016? Zahnärztl Mitt 2016; 106 (18A): 78-88 (2100-2110).
22. Wolff D, Kraus T, Schach C, Pritsch M, Mente J, Staehle HJ, Ding P: Recontouring teeth and closing diastemas with direct composite buildups: A clinical evaluation of survival and quality parameters. J Dent 2010;38:1001-1009.Wolff D, Hahn P, Ding P, Kraus T, Schach C, Doerfer C, Staehle HJ: Proximal contact strength between direct-composite additions in the posterior dentition: an in vitro investigation. Oper Dent 2012;37:272-80.
































































