Glasfaserverstärkte Restaurationen
Komposite werden zuweilen in Kombination mit kurzen, mit langen oder mit quer verwebten Glasfasern verwendet, um die mechanischen Eigenschaften zu verbessern. Fasermaterialien in Form von unidirektionalen Strängen kommen zur Stabilisierung von Kompositbrücken [Aktas et al., 2019; Frese et al., 2014; Unlu und Belli, 2006; Wolff et al., 2011; Wolff et al., 2018], als faserverstärkte Wurzelstifte [Scribante et al., 2018], für parodontale Verblockungen sowie als kieferorthopädische Retainer [Kumbuloglu et al., 2011a; Kumbuloglu et al., 2011b] zum Einsatz. Quer verwebte Fasermaterialien und neuartige Bulk-Fill-Komposite mit kurzen Fasern werden unter anderem zur internen Verfestigung von tief zerstörten Zähnen angeboten [Garoushi et al., 2018]. Alle Fasermaterialien bedürfen einer zuverlässigen Überschichtung mit Restaurationskomposit.
Voraussetzung für einen dauerhaften Verbund der Fasern mit dem Kompositmaterial ist eine ausreichende Dimensionierung der Restaurationen, um dem mechanischen Stress in der Mundhöhle standzuhalten [Perea-Lowery und Vallittu, 2018]. Im Rahmen eigener klinischer Studien zu faserverstärkten Kompositbrücken zeigten sich lediglich mittlere Überlebensraten, so dass hier momentan am ehesten der semipermanente Einsatz als sinnvoll erscheint. Unerwünschte Ereignisse kommen beispielsweise in Form von Abplatzungen des Verblendkomposits vom Glasfasergerüst (Chippingfrakturen), von Frakturen im Verbindungsbereich zum Nachbarzahn (Konnektorfläche) sowie von komplettem Verlust der faserverstärkten Kompositbrücken zum Tragen [Frese et al., 2014; Wolff et al., 2011; Wolff et al., 2018]. Die unterschiedliche Natur der beiden Werkstoffe führt offensichtlich zu einer unbefriedigenden Langzeitstabilität des Verbunds zwischen Faser und organischer Matrix – dies ist nach wie vor die wichtigste Schwachstelle. Solange keine relevanten werkstoffkundlichen Verbesserungen in Sicht sind, kann man durch Optimierungen der Gestaltung – einschließlich breiter Adhäsivflächen und größtmöglichem Restaurationsvolumen – die Stabilität erhöhen.
Aufgrund der Problematik stark heterogener Strukturelemente werden mittlerweile in der Literatur auch metall-, keramik- und glasfaserfreie Zahnanhänger aus Komposit zum minimalinvasiven Schließen von Einzelzahnlücken beschrieben, die in Einzelfallbeobachtungen gute Ergebnisse zeigen [Staehle, 2018].
Als etablierte Option im Frontzahnbereich lassen sich ein- oder zweiflügelige metallkeramische Adhäsivbrücken wie auch keramische Adhäsivbrücken aus Zirkonoxid erfolgreich einsetzen [Kern et al., 2017; Wei et al., 2016]. Ohne die Position im Kieferbogen zu berücksichtigen, sind die ermittelten Überlebensraten von Adhäsivbrücken mit denen konventioneller Brücken und implantatgetragener Einzelkronen über einen mittleren Zeitraum von fünf Jahren vergleichbar [Alraheam et al., 2019] und nach zehn Jahren mit 82,9 Prozent nur geringfügig geringer [Thoma et al., 2017]. Seit 2016 werden in Deutschland ein- und zweiflügelige Adhäsivbrücken zum Ersatz eines Schneidezahns auch über das 20. Lebensjahr hinaus als Regelleistung durch die gesetzlichen Krankenkassen bezuschusst beziehungsweise können in der vollkeramischen Variante als gleichartige Versorgung beantragt werden. Eine Übersicht zum Vergleich der Therapieoptionen ist in Tabelle 1 aufgeführt.
Folglich sind die Indikationsbereiche für glasfaserverstärkte Kompositrestaurationen derzeit limitiert. Gleichwohl können sie in speziellen Fällen, beispielsweise bei Kindern und Jugendlichen, bei allgemeinmedizinisch beeinträchtigten Patienten oder bei Patienten mit bestimmten Lückensituationen eine wertvolle Option zur Erweiterung des Therapiespektrums sein. Anhand von klinischen Fallbeispielen werden zwei mögliche Restaurationskonzepte mit faserverstärkten Kompositmaterialien vorgestellt.
Patientenfall 1: Faserverstärkte Kompositbrücke
Faserverstärkte Kompositbrücken
Anamnese und Befunde
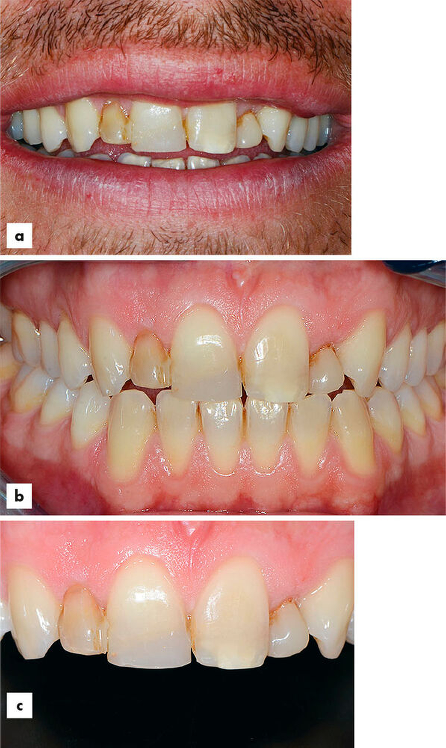
Ein 34-jähriger Lehrer stellte sich bei Nichtanlage der seitlichen Schneidezähne im Oberkiefer mit persistierenden Milchzähnen 52 und 62, die zur besseren Retention mittels Komposit mit den Zähnen 11 und 21 verblockt waren, in der Poliklinik für Zahnerhaltungskunde der Klinik für Mund-, Zahn- und Kieferkrankheiten des Universitätsklinikums Heidelberg vor (Abbildung 1a). Die Zähne 11 und 21 waren nach einem unkomplizierten Frontzahntrauma im Jugendalter mit Kompositrestaurationen versorgt worden. Bei der Erhebung der allgemeinen Anamnese gab der Patient keine Allgemeinerkrankungen an, er rauchte nicht und nahm keine Medikamente ein. Zum Zeitpunkt der Erstvorstellung hatte er keine Schmerzen und keine erhöhten Sondierungstiefen. Die Verblockung zwischen den Zähnen 11 und 52 war gebrochen und es bestand Lockerungsgrad II an Zahn 52 (Abbildung 1b, siehe Pfeil). Die Wurzeln der persistierenden Milchzähne 52 und 62 stellten sich bei röntgenologischer Abklärung als resorbiert dar. Der Röntgenbefund der Zähne 11 und 21 zeigte eine unauffällige periapikale Region sowie koronale Opazitäten im Sinne von Kompositrestaurationen. (Abbildung 1c). Die mesio-distale Breite der persistierenden Milchzähne 52 und 62 betrug circa 4 mm.
Hinsichtlich der Möglichkeiten zum Lückenschluss in Regio 012 und 022 wurde der Patient umfassend beraten (Tabelle 1). Nach einer Entfernung der persistierenden Milchzähne wären die Lücken mit circa 4 mm Breite relativ schmal, daher wurde zunächst eine minimalinvasive Vorgehensweise favorisiert. Der Patient wurde darauf hingewiesen, dass zurzeit ausschließlich mittelfristige Studien hinsichtlich der Haltbarkeit von faserverstärkten Kompositbrücken vorliegen und daher keine Langzeitprognose gegeben werden kann. Dennoch entschied sich der Patient zunächst für zwei einflügelige faserverstärkte Kompositbrücken. Auch die Tatsache, dass eine Rückkehr zum Ausgangszustand jederzeit möglich ist und alle weiteren zahnärztlichen Therapien (zum Beispiel metall-keramische/keramische Adhäsivbrücken, Durchmesser-reduzierte Implantate) offen bleiben, trug zu dieser Entscheidung bei [Frese und Staehle, 2018].
Behandlungsplanung und Vorbereitung
Die wichtigsten für die faserverstärkten Kompositbrücken verwendeten Materialien sind in Tabelle 2 aufgeführt. Es wurden Situationsmodelle hergestellt und die zu ersetzenden Milchzähne wurden auf dem Modell radiert (Abbildung 1d). Anschließend wurden zwei Pontics aus Komposit hergestellt (Abbildung 1e). Zur Aufnahme des faserverstärkten Kompositstrangs wurden in die palatinale Fläche der Pontics mit einem birnenförmigen Diamanten Rillen präpariert (Abbildung 1f) und die gesamte Palatinalfläche wurde mit Aluminiumoxidpulver (27 µm Korngröße) abgestrahlt. Da es die Okklusion erlaubte, mussten die Pfeilerzähne 11 und 21 palatinal nicht präpariert werden.
Herstellung der einflügeligen faserverstärkten Kompositbrücken
Nach Infiltrationsanästhesie wurden die Verblockungen der persistierenden Milchzähne gelöst und die Milchzähne vorsichtig entfernt (Abbildung 2a). Bei stehender Blutung konnte Kofferdam zur absoluten Trockenlegung gelegt werden. Die vorbereiteten Pontics wurden gereinigt und das Adhäsivsystem wurde appliziert und lichtgehärtet (Abbildung 2b). Die für das Einkleben vorbereiteten Pontics lagerten bis zu ihrer Verwendung in einem Lichtschutzgefäß. An den Zähnen 11 und 21 wurden die Reste der Verblockung entfernt. Die Zahnoberflächen wurden mit Phosphorsäure angeätzt, abgespült, getrocknet. Anschließend wurden Primer und Adhäsiv aufgetragen. Nach Lichtpolymerisation wurden die vorbereiteten Pontics positioniert und mithilfe einer kleinen Menge Flowkomposit im Interdentalraum (Abbildung 2c) in ihrer Endlage fixiert (Abbildung 2d). Zu beachten war, dass das Pontic im Hinblick auf die Ästhetik und die Reinigungsfähigkeit während der Polymerisation unter Druck in Kontakt zum Kieferkamm kam – eine Wiederholung der Prozedur zur Korrektur der Position wäre jederzeit möglich gewesen.
An den positionierten Pontics wurde nun die Länge des benötigten Faserstrangs mit einer Parodontalsonde ausgemessen (Abbildung 2e). Um beim Abtrennen des Fasermaterials ein Auffasern zu vermeiden, sollte es in seiner Schutzverpackung verbleiben. Zum Befestigen der faserverstärkten Kompositstränge wurde mit einer Sonde eine weitere kleine Menge Flowkomposit auf die palatinale Fläche der Pfeilerzähne und der Pontics aufgetragen. Der zurechtgeschnittene faserverstärkte Kompositstrang wurde darin eingebettet und mit einem Modellierinstrument vorsichtig Schritt für Schritt angedrückt (Abbildung 2f). Hierbei erfolgte die initiale Fixierung des faserverstärkten Kompositstrangs durch kurzes Lichthärten an jeder Stelle (circa drei bis fünf Sekunden). Nachdem die endgültige Position erreicht war), wurde das Fasermaterial vollständig lichtgehärtet und anschließend mit viskösem Kompositmaterial abgedeckt (Abbildung 2g). Diese Überschichtung war unerlässlich, um Feuchtigkeitszutritt und Hydrolyse des faserverstärkten Kompositmaterials zu vermeiden. Die Kompositrestauration an Zahn 11 wurde im Rahmen dieser Sitzung ebenfalls in Form und Farbe korrigiert.
Die Ausarbeitung der Interdentalräume und der Übergänge erfolgte mit einem sichelförmigen Skalpell (Nr. 12). Um Belastungsspitzen auf dem Pontic zu vermeiden, wurde es aus der dynamischen Okklusion genommen, lediglich leichte statische Okklusionskontakte wurden belassen. Die abschließende Ausarbeitung und Formgebung erfolgte mit Finierdiamanten und einem Brownie (Abbildung 2h), die Hochglanzpolitur mit drei Silikonpolierern, wobei letzterer hier abgebildet ist (Abbildung 2i).
Um weitgehend entzündungsfreie Verhältnisse gewährleisten zu können, wurden in einem letzten Schritt Zahnzwischenraumbürsten entsprechend der Größe der neu entstandenen Zwischenräume individuell ausgesucht. Die korrekte Handhabung wurde dem Patienten eingehend demonstriert.
Kontrolle nach zwei Monaten
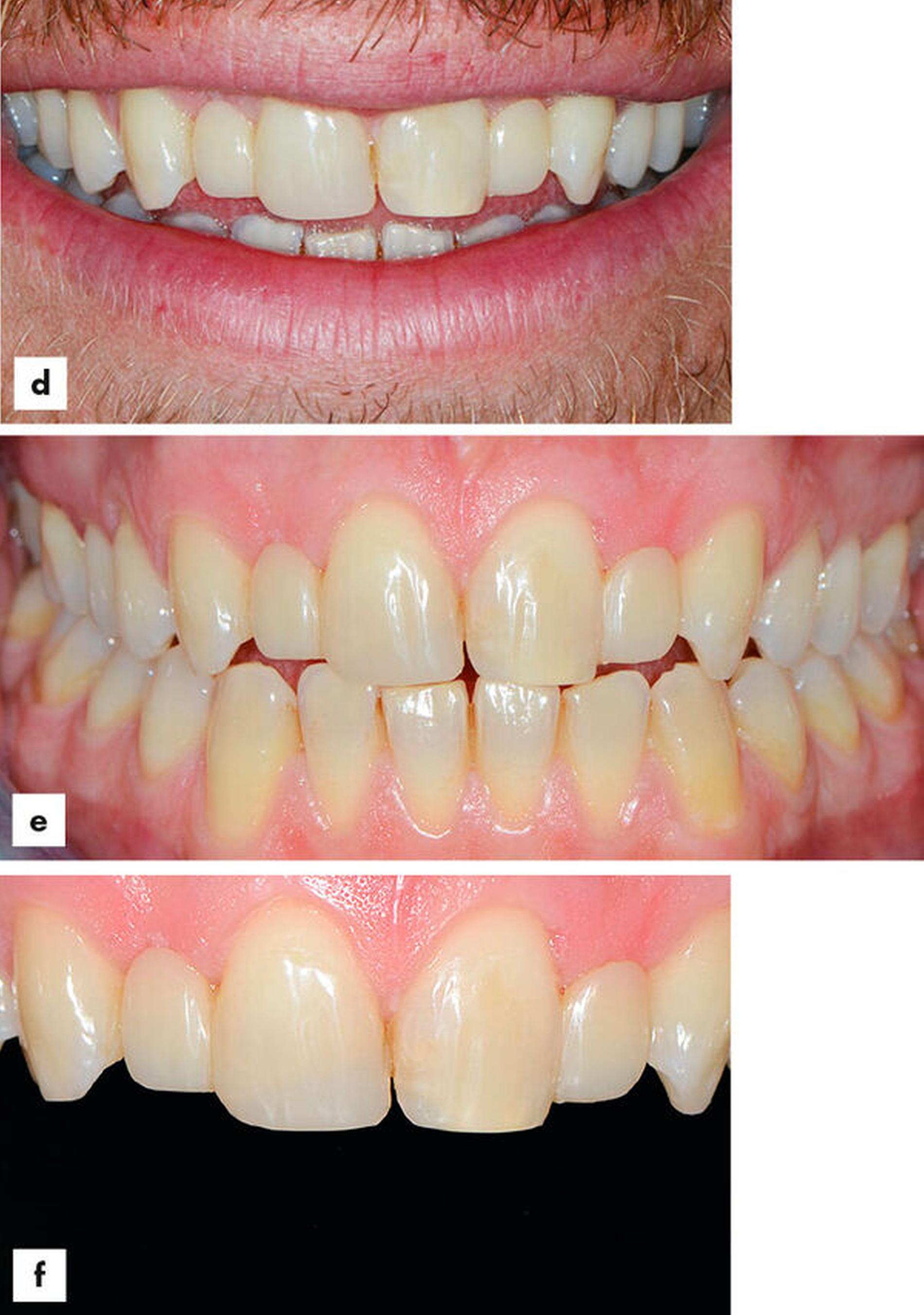
Bei einer Kontrolle nach zwei Monaten zeigte sich das Erscheinungsbild im Vergleich zum Ausgangsbefund ansprechend (Abbildungen 3a–3f). Die faserverstärkten Kompositbrücken unterschieden sich in Farbton und in der Transluzenz nicht von den Nachbarzähnen. Die Sondierungstiefen an den Zähnen 11 und 21 lagen bei 2 mm, es kam nicht zum Bluten nach Sondieren. Der Patient war zufrieden und nutzte täglich die Interdentalraumbürste.
Langzeitbeobachtungen
Die Abbildungen 4a–4c zeigen den Ausgangsbefund einer damals 13-jährigen Patientin nach traumatischem Verlust des Zahns 11. Aufgrund des jungen Alters der Patientin war seinerzeit eine einflügelige faserverstärkte Kompositbrücke zum Ersatz des Zahns 11 eingebracht worden. Nach sieben Jahren befindet sich die Brücke ohne Komplikationen (Fraktur, Verlust et cetera) in situ. Die Patientin ist mit dem Erscheinungsbild sehr zufrieden, es liegen keine erhöhten Sondierungstiefen am Pfeilerzahn vor und es besteht kein erhöhter Lockerungsgrad (Abbildungen 4d–4f).
Patientenfall 1: Faserverstärkte Kompositbrücke
Patientenfall 1: Faserverstärkte Kompositbrücke
Patientenfall 2: Faserverstärkte Kompositbrücke
R3-Restauration
Die meisten Restaurationsverfahren zum Aufbau tief zerstörter, endodontisch vorbehandelter Frontzähne beinhalten ein vorgefertigtes Stiftsystem mit Stumpfaufbau und anschließender indirekter Restauration des Zahns. Prinzipiell ist es jedoch inzwischen auch möglich, mithilfe plastisch verarbeitbarer faserverstärkter Komposite in einem ersten Schritt im Wurzelkanal einen individualisierten formkongruenten Wurzelstift herzustellen. In zwei weiteren Schritten werden ein Stumpfaufbau angefertigt und die Frontzahnkrone direkt aus Komposit aufgebaut. Diese hier als R3-Technik vorgestellte Intervention zur direkten Restauration tief zerstörter endodontisch vorbehandelter Frontzähne mit Kompositmaterialien soll nachfolgend anhand eines klinischen Fallbeispiels beschrieben und erläutert werden.
Anamnese und Befunde
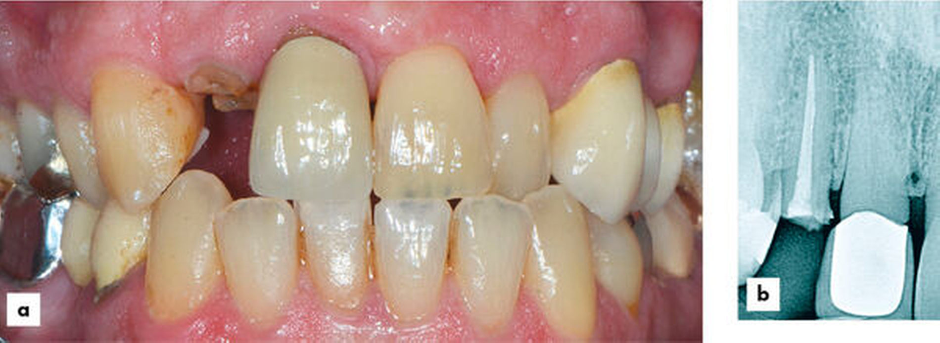
Ein 59-jähriger Mechaniker stellte sich mit frakturiertem Zahn 12 und verlorener Krone in der Poliklinik für Zahnerhaltungskunde der Klinik für Mund-, Zahn- und Kieferkrankheiten des Universitätsklinikums Heidelberg vor (Abbildungen 5a und 5b). Bei der Erhebung der allgemeinen Anamnese gab der Patient eine koronare Herzerkrankung und eine chronisch-obstruktive Lungenerkrankung (COPD) an. Er rauchte nicht, nahm ein Präparat zur Antikoagulation (Xarelto 10 mg) und bei Bedarf ein kortisonhaltiges Asthmaspray (Symbicort 160/4,5 µg/Dosis) ein. Zum Zeitpunkt der Erstvorstellung hatte der Patient keine Schmerzen, keine Zahnlockerungen und keine erhöhten Sondierungstiefen an Zahn 12. Da der Wurzelrest des Zahns 12 nach Verlust der Restauration umgehend mit provisorischem Zement abgedeckt worden war, konnte eine Reinfektion des Kanals nahezu ausgeschlossen werden. Der Röntgenbefund zeigte eine unauffällige periapikale Region und eine intraradikuläre Transluzenz im Sinne einer homogenen Wurzelkanalfüllung nach Restaurationsverlust, die bis etwa 1,0 mm vor das Foramen apikale reichte (Abbildung 5c).
Erste Phase: individueller Wurzelstift
Die wichtigsten für die R3-Technik verwendeten Materialien sind in Tabelle 2 aufgeführt.In der ersten Phase wurden die zugänglichen Oberflächen des Wurzelrests gereinigt, die Karies exkaviert und unter relativer Trockenlegung die Wurzelkanalfüllung um 5 mm gekürzt. Anschließend wurde das faserverstärkte Kompositmaterial, wie im vorherigen Fallbeispiel dargestellt, abgemessen (5 mm Wurzelkanal plus 5 mm koronaler Anteil) und mit einer Schere in der Verpackung zurechtgeschnitten. Nach Anätzen mit Phosphorsäure, Spülen und Trocknen von Wurzeloberfläche und Kanallumen des Zahns 12 erfolgte das Auftragen von Primer und Adhäsiv mit anschließender Lichthärtung. Daraufhin wurde zunächst eine kleine Menge eines fließfähigen Bulk-Fill-Komposits in den Wurzelkanal eingebracht. Im Anschluss wurde das faserverstärkte Kompositmaterial platziert und mit einer Polymerisationslampe mit speziellem Ansatz lichtgehärtet (Abbildungen 5d–5f). Aufgrund der Größe des Kanallumens wurde im vorliegenden Fall lediglich ein Strang des faserverstärkten Kompositmaterials eingebracht, bei großvolumigeren Kanälen hätten problemlos zwei bis drei Stränge fächerförmig in die Kompositmasse eingebracht und polymerisiert werden können.
Zweite Phase: Stumpfaufbau
In der zweiten Phase wurde zunächst zur Einstellung der korrekten Länge im koronalen Strumpfaufbau das faserverstärkte Kompositmaterial mit einem langsam rotierenden Diamanten ohne Wasserkühlung vorsichtig um circa 1,5 mm gekürzt (Abbildung 5g). Um die Sauerstoffinhibitionsschicht zu schützen und eine Kontamination mit Wasser zu vermeiden, wurde der Schleifstaub vorsichtig mit Luft entfernt. Anschließend wurde ein fließfähiges Bulk-Fill-Komposit um den faserverstärkten Kompositstrang herum im Sinne eines Stumpfaufbaus appliziert und lichtgehärtet (Abbildungen 5h–5j). Die aufgrund des Verzichts auf eine Matrize entstandenen marginalen Überhänge konnten mit einem feinkörnigen Separierdiamanten sowie einem sichelförmigen Skalpell (Nr. 12) gezielt entfernt werden.Da sich die Restauration im ästhetisch relevanten Frontzahnbereich befindet, war darauf zu achten, dass das fließfähige Bulk-Fill-Komposit eine passende Zahnfarbe aufweist. Universalfarben, die bei Bulk-Fill-Kompositen oftmals zur Anwendung im Seitenzahnbereich angeboten werden, hätten die direkte Kompositkrone möglicherweise etwas zu grau erscheinen lassen können. Die zweite Restaurationsphase der R3-Technik verfolgte das Ziel, einen zapfenartigen Stumpfaufbau mit einem vollständig bedeckten Kern aus faserverstärktem Kompositmaterial zu erhalten (Abbildung 5j).
Dritte Phase: direkte Kompositkrone
Die dritte Phase der R3-Technik beinhaltete die Herstellung einer direkten Kompositkrone am Frontzahn. Da nach Abschluss der zweiten Phase eine Art „Zapfenzahn“ als Ausgangssituation hergestellt worden war, konnten hier die Prinzipien zur Herstellung einer Zahnformkorrektur Anwendung finden, die hier jedoch nicht im Detail erläutert werden.
Zu Beginn wurde mit einer Schmelzmasse die palatinale Wand geschichtet (Abbildung 5k). Die Herstellung der palatinalen Wand kann nach vorherigem Wax-up am Modell mithilfe eines Silikonschlüssels erfolgen, alternativ kann die Kompositmasse wie in diesem Fall auch gegen den palatinal als Widerlager platzierten Finger des Behandlers geschichtet werden. Die approximalen Wände wurden mit der individuellen Matrizenverschalungstechnik nach Klaiber und Hugo mesial und distal aufgebaut [Klaiber, 2006] (Abbildung 5l). Nach dem Legen der Matrizen wurde zunächst etwas Flowkomposit in den Kontaktpunktbereich eingebracht, anschließend visköses Restaurationsmaterial darüber platziert und nach Verkeilen mit einem kleinen Heidemannspatel lichtgehärtet. Sobald die approximalen Wände aufgebaut waren, konnte der Dentinkern mit Charakterisierungen (Marmelons) geschichtet werden (Abbildung 5m). Zum Schluss wurde ein Überzug mit einer Schmelzmasse modelliert (Abbildung 5n).
Die Ausarbeitung der Kompositrestauration erfolgte nach den üblichen Kriterien. Eine Auswahl von passgenauen Interdentalraumbürstchen mit einer eingehenden Mundhygieneunterweisung fand zum Abschluss der Behandlungssitzung statt.
Nachkontrolle
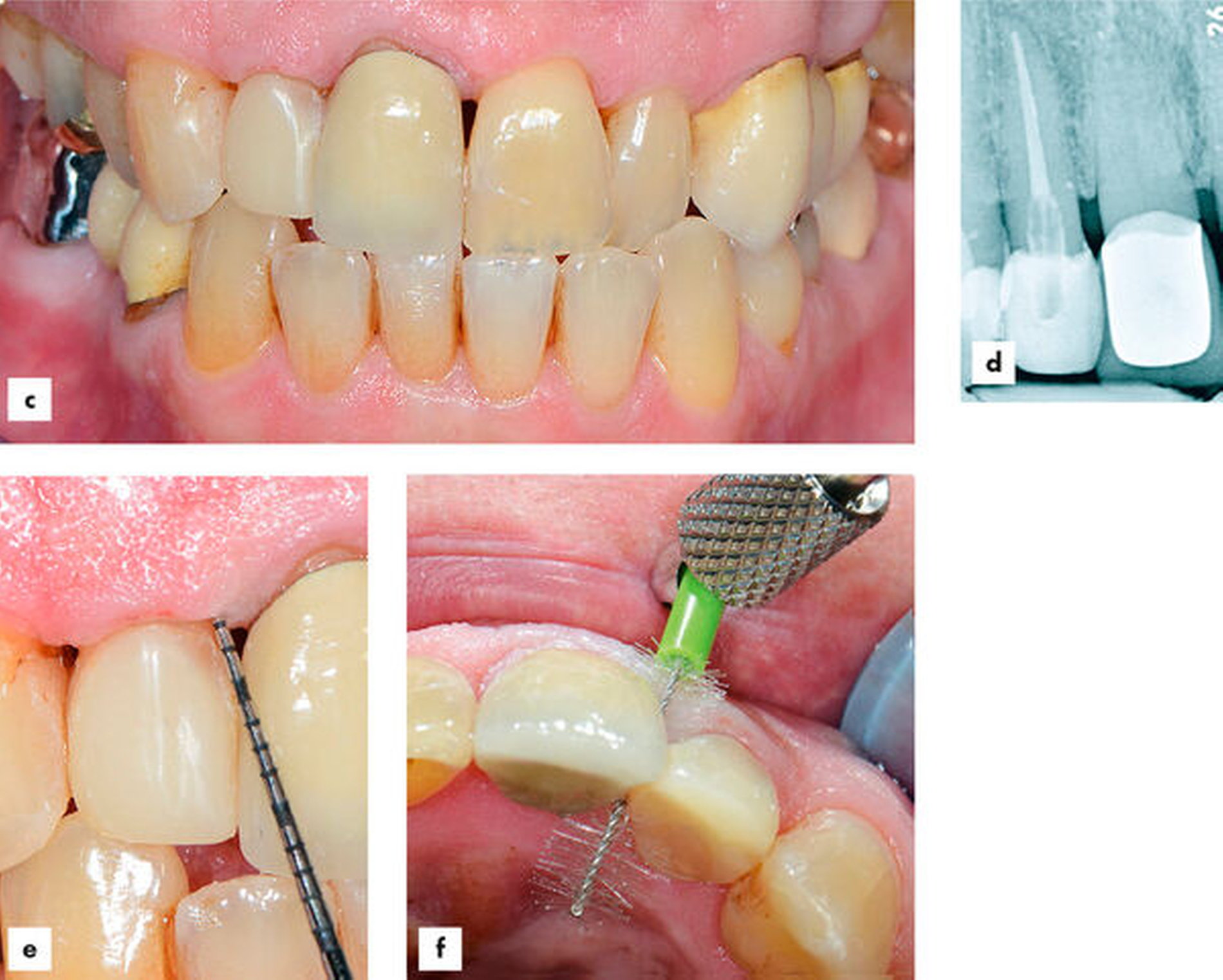
Nach 16 Monaten zeigten sich klinisch entzündungsfreie und reizlose Verhältnisse (Abbildungen 6a–6f). Der Röntgenbefund offenbarte intrakanalikulär eine opake Struktur im Sinne des faserverstärkten Kompositmaterials. Hinweise auf periapikale Veränderungen waren nicht feststellbar (Abbildung 6d). Die Restauration präsentierte sich in einem funktionell und vom Aussehen her guten Zustand ohne jegliche Zeichen endodontischer oder parodontaler Irritationen (Abbildung 6e). Der Patient war zufrieden und nutzte täglich die individuell ausgewählte Interdentalraumbürste (Abbildung 6f).
Patientenfall 3: R3-Restauration
Zusammenfassung
Trotz bekannter materialspezifischer Limitationen weisen glasfaserverstärkte Kompositrestaurationen einige Vorteile auf, die ihren Einsatz in bestimmten Situationen rechtfertigen. Dazu zählen beispielsweise Versorgungen von Kindern und Jugendlichen oder von Patienten, bei denen – aus welchen Gründen auch immer – Implantate, Brücken oder sonstige Interventionen nicht zum Einsatz kommen sollen. Folgende Aspekte sind bei der Indikationsstellung von Belang:
Die Restaurationen können im Bedarfsfall wieder entfernt werden, ohne dass der Status idem verloren geht.
Im weiteren Restaurationszyklus betroffener Zähne stehen alternative Therapieoptionen offen.
Pfeilerzähne können bereits restaurativ versorgt oder unversorgt sein.
Im Fall von Schäden im Laufe der Gebrauchsphase (zum Beispiel Abplatzungen) bestehen Reparaturmöglichkeiten.
Restaurationen mit faserverstärkten Kompositen stellen somit in bestimmten Fällen eine semipermanente Option zur Erweiterung des restaurativen Therapiespektrums dar.
Download
Die Tabelle „Möglichkeiten des Lückenschlusses im Frontzahnbereich“ finden Sie hier hochauflösend zum Download. www.zm-online.de/fileadmin/FBT-Frese-Tabelle-1.pdf
Prof. (apl) Dr. med. dent. Cornelia Frese
Universitätsklinikum Heidelberg Klinik für Mund-, Zahn- und Kieferkrankheiten Poliklinik für Zahnerhaltungskunde
Sektion für Präventive und Restaurative Zahnheilkunde
Im Neuenheimer Feld 40069120 Heidelberg
cornelia.frese@med.uni-heidelberg.de
2001–2006: Studium der Zahnmedizin an der Ruprecht-Karls-Universität Heidelberg
seit 2006: Wissenschaftliche Mitarbeiterin an der Poliklinik für Zahnerhaltungskunde des Universitätsklinikums Heidelberg
2007: Promotion
2010: Ernennung zur Spezialistin der DGZ in Zahnerhaltung (Präventiv-Restaurativ), Ernennung zur Funktionsoberärztin und Erwerb des Zertifikats für Hochschuldidaktik Baden-Württemberg
2012–2017: Leitung des Bereichs Patientenaufnahme und Primärversorgung an der Poliklinik für Zahnerhaltungskunde des Universitätsklinikums Heidelberg und Bestellung zur tarifrelevanten Oberärztin
2015: Verleihung der Venia legendi an der Medizinischen Fakultät der Universität Heidelberg
seit 2017: Leitung der Sektion für Präventive und Restaurative Zahnheilkunde und des Bereichs für Kinder- und Jugendzahnheilkunde
2017: Verleihung der Bezeichnung „Außerplanmäßige Professorin“ der Ruprecht-Karls-Universität Heidelberg
Literaturliste
Aktas G, Burduroglu D, Guncu MB, Keyf F, Ozcan M (2019). Clinical Survival of Indirect, Anterior Surface-Retained Fiber-Reinforced Composite Fixed Dental Prosthesis: Up to 3-Year Follow-up. Eur J Prosthodont Restor Dent 27(2):90-94.
Alraheam IA, Ngoc CN, Wiesen CA, Donovan TE (2019). Five-year success rate of resin-bonded fixed partial dentures: A systematic review. J Esthet Restor Dent 31(1):40-50.
Frese C, Schiller P, Staehle HJ, Wolff D (2014). Fiber-reinforced composite fixed dental prostheses in the anterior area: a 4.5-year follow-up. The Journal of prosthetic dentistry 112(2):143-149.
Frese C, Staehle HJ (2018). How invasive is minimally-invasive? Management of single-tooth gaps from the perspective of conservative dentistry. Der Freie Zahnarzt (German) 3:70-78.
Garoushi S, Gargoum A, Vallittu PK, Lassila L (2018). Short fiber-reinforced composite restorations: A review of the current literature. J Investig Clin Dent 9(3):e12330.
Kern M, Passia N, Sasse M, Yazigi C (2017). Ten-year outcome of zirconia ceramic cantilever resin-bonded fixed dental prostheses and the influence of the reasons for missing incisors. J Dent 65:51-55.
Klaiber B (2006). Alles noninvasiv - Zahnformveränderung, Lückenschluss, Reduktion schwarzer Dreiecke. Zahnärztl Mitt 96:52-59.
Kumbuloglu O, Saracoglu A, Cura C, User A (2011a). Bonded orthodontic retainer and fixed partial denture made with fiber reinforced composite resin. European journal of dentistry 5(2):237-240.
Kumbuloglu O, Saracoglu A, Ozcan M (2011b). Pilot study of unidirectional E-glass fibre-reinforced composite resin splints: up to 4.5-year clinical follow-up. J Dent 39(12):871-877.
Perea-Lowery L, Vallittu PK (2018). Framework design and pontics of fiber-reinforced composite fixed dental prostheses - An overview. J Prosthodont Res 62(3):281-286.
Scribante A, Vallittu PK, Ozcan M, Lassila LVJ, Gandini P, Sfondrini MF (2018). Travel beyond Clinical Uses of Fiber Reinforced Composites (FRCs) in Dentistry: A Review of Past Employments, Present Applications, and Future Perspectives. Biomed Res Int 2018:1498901.
Staehle HJ (2018). Minimalinvasiver Lückenschluss bei Jugendlichen mittels direkt hergestellter, metall-, keramik- und glasfaserfreier Kompositanhänger. Oralprophylaxe und Kinderzahnheilkunde 40:76-82.
Thoma DS, Sailer I, Ioannidis A, Zwahlen M, Makarov N, Pjetursson BE (2017). A systematic review of the survival and complication rates of resin-bonded fixed dental prostheses after a mean observation period of at least 5 years. Clin Oral Implants Res 28(11):1421-1432.
Unlu N, Belli S (2006). Three-year clinical evaluation of fiber-reinforced composite fixed partial dentures using prefabricated pontics. J Adhes Dent 8(3):183-188.
Wei YR, Wang XD, Zhang Q, Li XX, Blatz MB, Jian YT et al. (2016). Clinical performance of anterior resin-bonded fixed dental prostheses with different framework designs: A systematic review and meta-analysis. J Dent 47:1-7.
Wolff D, Schach C, Kraus T, Ding P, Pritsch M, Mente J et al. (2011). Fiber-reinforced composite fixed dental prostheses: a retrospective clinical examination. J Adhes Dent 13(2):187-194.
Wolff D, Wohlrab T, Saure D, Krisam J, Frese C (2018). Fiber-reinforced composite fixed dental prostheses: A 4-year prospective clinical trial evaluating survival, quality, and effects on surrounding periodontal tissues. J Prosthet Dent 119(1):47-52.

















