Bergung und Replantation verschluckter Frontzähne
Eine 18-jährige Patientin wurde durch den Rettungsdienst über den Schockraum unserer Klinik vorgestellt. Sie war als Fahrschülerin mit dem Motorrad bei circa 25 bis 30 km/h gestürzt und mit dem behelmten Kopf gegen einen Baum geprallt. Die Frau war nicht bewusstlos, sondern zeigte sich in der Rettungsstelle wach und allseits orientiert. Es bestanden keine Vorerkrankungen und es lag ein intakter Tetanusschutz vor.
Klinisch konnten extraoral eine Riss-Quetsch-Wunde der Unterlippe sowie Schürfwunden am Kinn festgestellt werden. Intraoral war die vollständige Avulsion der Zähne 12, 11 und 21 sichtbar. Das im Rahmen des Schockraummanagements durchgeführte Thorax-Röntgen offenbarte drei röntgendichte Strukturen in Projektion auf den linken Oberbauch (Abbildung 1), so dass der Verdacht auf eine Ingestion der drei avulsierten Zähne mit Lage im Magenlumen geäußert wurde.
Aufgrund des Unfallmechanismus wurde ergänzend eine Computertomografie der Kopf-Hals-Region veranlasst (Abbildung 2), die lediglich minimale ossäre Begleitschäden der involvierten Zahnfächer nachwies. Weitere ossäre Traumafolgen und eine akute intrakranielle Blutung konnten somit ausgeschlossen werden. Das OPTG (Abbildung 3) zeigte die leeren Zahnfächer 12, 11, 21. Die übrigen Zähne wurden durch den Sturz nicht beschädigt. Mit Zustimmung der Patientin wurde gemeinsam mit der diensthabenden Gastroenterologin ein endoskopischer Bergungsversuch der Zähne geplant, um diese möglichst zu replantieren.
Zunächst erfolgte in Lokalanästhesie die chirurgische Wundversorgung der Riss-Quetsch-Wunde der Unterlippe. Durch die Kollegin der Gastroenterologie schloss sich eine Ösophagogastroduodenoskopie in ITN zur Bergung der Zähne an. Trotz eines ausreichend langen Nüchternintervalls fand sich ein noch mit vielen festen Speiseresten gefüllter Magen. Das Auffinden der Zähne gelang erst unter Durchleuchtung. Schlussendlich konnten aber alle drei Zähne vollständig mit einem Fangkörbchen aus dem Magen geborgen werden (Abbildung 4). Anschließend wurden die geborgenen Zähne mehrfach mit NaCl gespült und dann für 30 Minuten in einer handelsüblichen Dentosafebox gelagert.
In Lokalanästhesie wurde dann die Replantation der Zähne 12, 11 und 21 in die weitgehend intakten Alveolen vorgenommen. Es folgte die Fixierung der Zähne regio 14–23 mittels Titantraumasplint (TTS) und Komposite. Das postoperative OPTG zeigt ein regelrechtes Repositionsergebnis der Zähne (Abbildung 5).
Die Patientin wurde angesichts des erlittenen Schädel-Hirn-Traumas zur Überwachung stationär in die Klinik für Mund-, Kiefer- und Gesichtschirurgie aufgenommen. Sie erhielt eine Antibiose mit Clindamycin (600 mg 3 x tgl. i. v.) und eine bedarfsangepasste Analgesie mit Ibuprofen und Metamizol. Am Folgetag wurde planmäßig eine Kontroll-Sonografie des Abdomens durchgeführt, der Befund war weiterhin unauffällig. Bei sehr gutem Allgemeinzustand war die Entlassung nach zwei Tagen möglich.
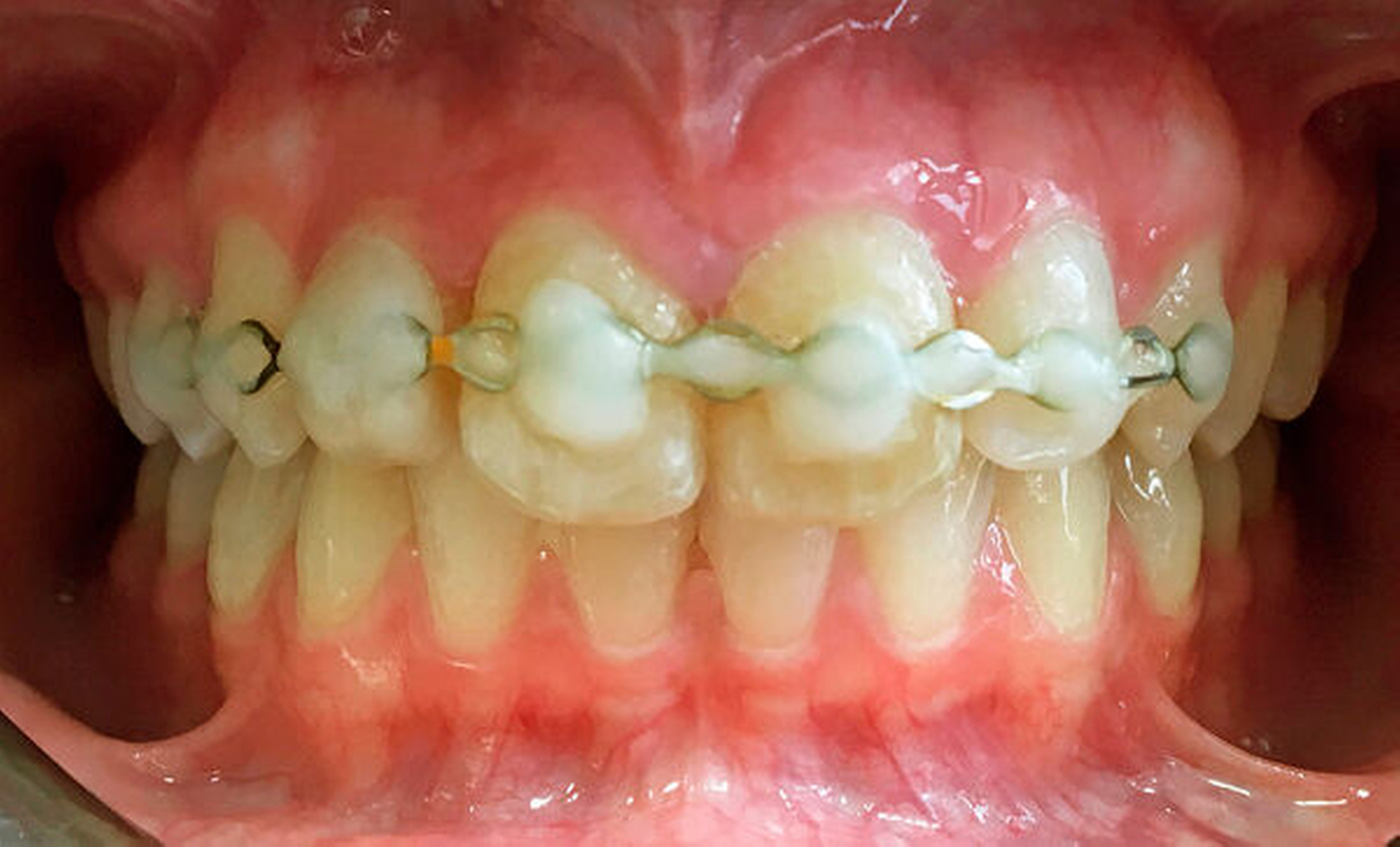
Die Antibiose sollte oral bis zum siebten postoperativen Tag fortgeführt werden. Weiterhin wurde weiche Kost für zwei Wochen empfohlen, die Mundhygiene sollte regulär fortgesetzt werden. Zur klinischen Verlaufskontrolle erfolgte nach 14 Tagen eine ambulante Vorstellung in unserem MVZ für Mund-, Kiefer- und Gesichtschirurgie. Die Wundheilung verlief regelrecht und die replantierten Zähne wiesen unter Schienung einen Lockerungsgrad von 0 auf. Eine Perkussionsempfindlichkeit lag nicht vor. Die Okklusion war subjektiv analog dem Zustand vor dem Unfall. Nach knapp vier Wochen Schienung löste sich der Kompositverbund zu Zahn 12. Der Zahn hatte klinisch einen Lockerungsgrad von 2, daher wurde er erneut adhäsiv an der vorhandenen TTS fixiert (Abbildung 6).
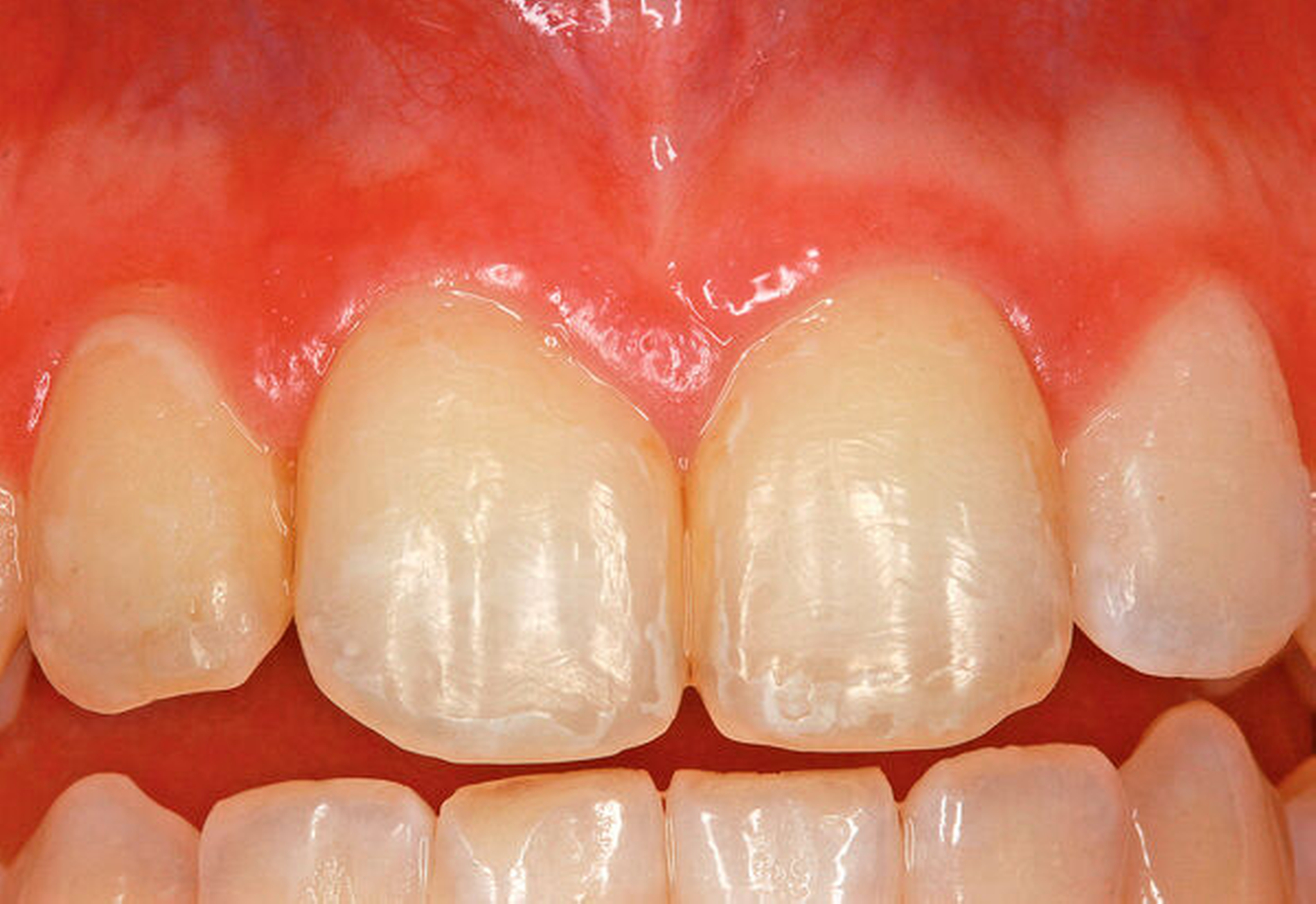
In der fünften postoperativen Woche konnte die dentale Schienung durch den Hauszahnarzt entfernt werden und die replantierten Zähne wiesen keinen Lockerungsgrad auf. Nach zehn Wochen war die Patientin unverändert beschwerdefrei, wobei sie ein minimales Zahnlockerungsgefühl an 11 angab. Klinisch war dies allerdings nicht zu verifizieren. Auch die Gingiva zeigte klinisch einen regelrechten Befund (Abbildung 7).
Diskussion
Die Avulsion beschreibt die vollständige Verlagerung des Zahnes aus der Alveole [Andreasen, 1972]. Sie tritt bei circa 0,5 bis 3 Prozent aller Zahntraumata auf [Glendor, 1996; Andreasen, 2007] und stellt eine prognostisch ungünstige Verletzung des Zahnes dar. Wobei die Prognose entschieden von der Dauer und der Art der extrakorporalen Lagerung des avulsierten Zahnes abhängt [S2k-Leitlinie, 2015].
Der Vitalerhalt desmodontaler Zellen auf der Wurzeloberfläche sollte angestrebt werden und kann nach der Einteilung von Andersson et al. anhand der Verweildauer außerhalb des Mundes eingeschätzt werden [Andersson et al., 2012]. Bei einer extraoralen Verweildauer von weniger als 15 Minuten ist die Vitalität dieser Zellen wahrscheinlich, nach 60 Minuten ist dagegen von einer Avitalität der desmodontalen Ligamentzellen auszugehen.
Durch die Lagerung des avulsierten Zahnes im Zellkulturmedium kann die Vitalität der Zellen bis zu 24 Stunden aufrechterhalten werden. Weniger geeignet sind hingegen Milch, Kochsalzlösung oder Speichel. Insbesondere eine trockene Aufbewahrung des avulsierten Zahnes ist nicht zu empfehlen. Im konkreten Fall betrug die extrakorporale Verweildauer null Minuten, da die Zähne umgehend verschluckt wurden. Die unfreiwillige Lagerung der Zähne erfolgte daraufhin im Magen für eine Dauer von fünf bis sechs Stunden (vom Zeitpunkt des Unfalls bis zur erfolgreichen Bergung). Dort herrscht aufgrund der Magensäure ein saures Milieu, das weder mit Zellkullkulturmedium noch anderen Ausbewährungslösungen zu vergleichen ist.
Grundsätzlich soll eine Zahnreplantation möglichst zeitnah erfolgen [S2k-Leitlinie, 2015]. Nach Entfernung des Koagels und Inspektion der Alveole kann der Zahn anschließend in die intakte Alveole replantiert werden. Es folgt eine flexible Schienung des Zahnes für sieben bis zehn Tage [Berthold, 2005]. Prinzipiell kann bei avulsierten Zähnen mit geschlossenem Apex eine Wurzelkanalbehandlung unmittelbar vor der Schienenentfernung erfolgen [S2k-Leitlinie, 2015]. Es wird zunächst eine temporäre Wurzelkanalfüllung empfohlen. Wenn der Zahn länger als 60 Minuten extraoral trocken gelagert wurde, kann auch schon vor Replantation mit der Wurzelkanalbehandlung begonnen werden, weil von devitalen desmodontalen Zellen auszugehen ist und in der Folge Wurzelresorptionen zu erwarten sind.
Im vorliegenden Fall wurde von einer initialen Wurzelkanalbehandlung abgesehen, weil die Patientin stets eine Sensibilität der vormals avulsierten Zähne angab.
Aktuell liegen keine wissenschaftlichen Studien zu dieser speziellen Art der Zahnavulsion vor und es bleibt abzuwarten, ob die Zähne langfristig erhalten werden können. Wobei bereits ein temporärer Erhalt einen Gewinn für die Patientin darstellen würde, da sie zum Unfallzeitpunkt gerade 18 Jahre alt war und damit auch der psychologische Effekt des Rettungsversuchs der eigenen Zähne eine wichtige Rolle spielte.
Patienten sind im Allgemeinen bereit, die möglichen Komplikationen einer Zahnreplantation in Kauf zu nehmen. Mögliche Spätkomplikationen sind insbesondere Pulpanekrosen und Wurzelresorptionen mit folgenden lokalen Infektionen. Wobei eine Ankylose bei Patienten nach Wachstumsabschluss auch als akzeptables Ergebnis angesehen werden kann [S2k-Leitlinie, 2015].
Fazit für die Praxis
Avulsionen von bleibenden Zähnen bedürfen einer sorgfältigen Anamnese hinsichtlich des Verbleibs der verlorenen Zähne.
Die Möglichkeit des Verschluckens muss bedacht werden und kann durch Röntgenuntersuchungen bestätigt werden.
Bei entsprechender Ausstattung kann eine endoskopische Bergung per ÖGD mit Ziel der Replantation erwogen werden.
Die Leitlinie zur Therapie des dentalen Traumas bleibender Zähne bietet Handlungsempfehlungen für die Versorgung von üblichen dentalen Verletzungen: Grundsätzlich muss die Austrocknung der Zahnwurzeloberfläche unbedingt vermieden werden. Eine Zahnreplantation soll möglichst zeitnah erfolgen, anschließend ist eine temporäre, flexible Schienung erforderlich.
Es existieren keine wissenschaftlichen Studien über den langfristigen Verbleib von replantierten Zähnen, die aus dem Magen geborgen wurden. Im vorliegenden Fall gestaltete sich der mittelfristige Verlauf vorerst vielversprechend.
Die 5-Jahres-Überlebensrate für replantierte Zähne mit initial ungünstiger Prognose für die Zellen des desmodontalen Ligaments liegt bei circa 50 Prozent [Andreasen, 1985; Pohl, 2005]. Da Wurzelresorptionen mit hoher Wahrscheinlichkeit erfolgen werden, sollte die endodontische Behandlung mit bioresorbierbaren Materialien erfolgen.
Grundsätzlich ist nach dentalen Traumata eine regelmäßige zahnärztliche Kontrolle (1 Monat, 3, 6 und 12 Monate nach dem Unfall) zu empfehlen, damit auf die Entwicklung des Befunds zeitnah reagiert werden kann [Andersson, 2012]. Im vorliegenden Fall hat sich die Patientin entschieden, dafür ihren Hauszahnarzt aufzusuchen. Ihre letzte Vorstellung in unserem Haus erfolgte drei Monate nach dem Unfall, zu diesem Zeitpunkt war sie beschwerdefrei, die replantierten Zähne befanden sich weiterhin in situ.
Dr. med. dent. Paula Korn
Klinik für Mund-, Kiefer- und Gesichtschirurgie, Charité – Universitätsmedizin Berlin, corporate member of Freie Universität Berlin, Humboldt-Universität zu Berlin and Berlin Institute of Health, Campus Virchow-Klinikum
Augustenburger Platz 1, 13353 Berlin
paula.korn@charite.de
Anna Voge
Klinik für Mund-, Kiefer- und Gesichtschirurgie, Charité – Universitätsmedizin Berlin, corporate member of Freie Universität Berlin, Humboldt-Universität zu Berlin and Berlin Institute of Health, Campus Virchow-Klinikum
Augustenburger Platz 1, 13353 Berlin
FOÄ Dr. med. Silke Leonhardt
Medizinische Klinik mit Schwerpunkt Hepatologie und Gastroenterologie, Charité – Universitätsmedizin Berlin, corporate member of Freie Universität Berlin, Humboldt-Universität zu Berlin and Berlin Institute of Health, Campus Virchow-Klinikum
Augustenburger Platz 1, 13353 Berlin
Mag. phil. Dr. med. Helena Posch
Klinik für Radiologie, Charité – Universitätsmedizin Berlin, corporate member of Freie Universität Berlin, Humboldt-Universität zu Berlin and Berlin Institute of Health, Campus Virchow-Klinikum
Augustenburger Platz 1, 13353 Berlin
Prof. Dr. med. Dr. med. dent. Max Heiland
Klinik für Mund-, Kiefer- und Gesichtschirurgie, Charité – Universitätsmedizin Berlin, corporate member of Freie Universität Berlin, Humboldt-Universität zu Berlin and Berlin Institute of Health, Campus Virchow-Klinikum
Augustenburger Platz 1, 13353 Berlin
Literaturliste
Andersson L, Andreasen JO, Day P, Heithersay G, Trope M, Diangelis AJ, Kenny DJ, Sigurdsson A, Bourguignon C, Flores MT, Hicks ML, Lenzi AR, Malmgren B, Moule AJ, Tsukiboshi M (2012). International Association of Dental Traumatology guidelines for the management of traumatic dental injuries: 2. Avulsion of permanent teeth. Dent Traumatol 28(3):174-82.
Andreasen FM, Pedersen BV (1985). Prognosis of luxated permanent teeth-the development of pulp necrosis. Endod Dent Traumatol 1(6):207-220.
Andreasen JO (1972). Classification, Epidemiology and Etiology; In: Traumatic Injuries of the Teeth. 1st ed. Munksgaard, Copenhagen, Denmark; Blackwell: pp. 15-39.
Andreasen JO, Andreasen FM. Avulsions. In: Andereasen JO, Andreasen FM, Andersson L, editors. Textbook and color atlas of traumatic injuries to the teeth, 4th edn. Oxford, UK: Wiley-Blackwell; 2007. P.444-88
Berthold C (2005). Schienentherapie nach dentoalveolären Traumata (Stellungnahme der DGZMK). Dtsch Zahnärztl. Z 60(7): 358.
Glendor U, Hallig A, Andersson L, Eilert-Peterson E, Incidence of traumatic tooth injuries in children and adolescents in the country of Västmannland, Sweden. Swed Dent J 1996;20:15-28
Pohl Y, Wahl G, Filippi A, Kirschner H (2005a). Results after replantation of avulsed permanent teeth. III. Tooth loss and survival analysis. Dent Traumatol 21:102-110.
S2k-Leitlinie (Langversion), Therapie des dentalen Traumas bleibender Zähne; AWMF-Registernummer: 083-004; Stand: Mai 2015; Gültig bis: Mai 2020
















