Nekrotisierende Fasziitis nach Zahnextraktion
Ein 39-jähriger Mann stellte sich notfallmäßig mit Schwellungssymptomatik, Luftnot und Schluckbeschwerden in unserer mund-, kiefer- und gesichtschirurgischen Hochschulambulanz vor. Ein niedergelassener Kollege hatte zwei Tage zuvor den Zahn 36 komplikationsfrei extrahiert. Die allgemeine Anamnese ergab keine akuten oder chronischen Erkrankungen, Medikamente wurden nicht eingenommen. Nikotin- und regelmäßiger Alkoholkonsum verneint.
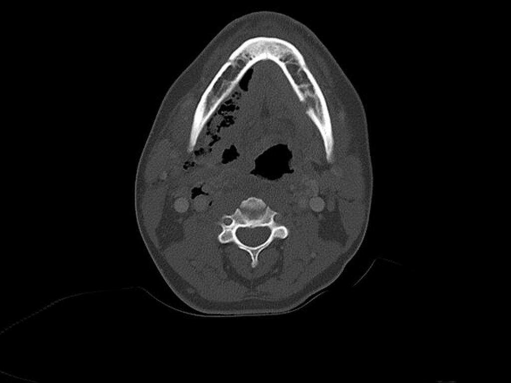
Bei der klinischen Untersuchung zeigte sich eine teigige, schwer abgrenzbare Schwellung submental und submandibulär beidseits, die bis zur Clavicula reichte (Abbildung 1). Weiterhin war ein deutliches Luftemphysem tastbar. Die Mundöffnung war eingeschränkt, die Uvula im Sinne des Kulissenphänomens nach rechts verlagert und der Mundboden schwellungsbedingt angehoben. In der OPG-Aufnahme zeigte sich ein Zustand nach Entfernung des Zahnes 36 mit einliegender Tamponade (Abbildung 2). Aufgrund des ausgedehnten Befunds mit reduziertem Allgemeinzustand wurde zusätzlich eine Computertomografie durchgeführt. Dabei war neben der ausgedehnten Flüssigkeitsansammlung beidseits im Bereich des Mundbodens eine ausgedehnte phlegmonöse Entzündungsreaktion parapharyngeal und paralaryngeal entlang der Gefäß-Nervenstraße bis ins obere Mediastinum sichtbar (Abbildung 3). Zusätzlich waren beidseits erhebliche Lufteinschlüsse vom Mundboden über die Halsweichteile bis ins Mediastinum erkennbar. Im Laborbefund zeigten sich deutlich erhöhte Entzündungswerte mit einem CRP von 56,2 mg/dl und Procalcitonin von 7,6 ng/ml.
Im Anschluss an die radiologische Diagnostik wurde bei Verdacht auf eine ausgedehnte Abszedierung mit Anaerobier-Beteiligung die notfallmäßige Revision von extra- und intraoral durchgeführt mit Sicherung der Atemwege über ein Tracheostoma. Dazu erfolgten zunächst Inzisionen submandibulär, submental sowie supraclaviculär beidseits. Im Rahmen der Austastung der Abszesshöhlen wurden beidseits die perimandibuläre, die massetericomandibuläre die submentale, die parapharyngeale und linksseitig die pterygomandibuläre Loge sowie der gesamte Halsbereich mit Eröffnung der Hals-Gefäß-Scheide revidiert.
Interessanterweise entleerte sich aber kein Pus, sondern grau gefärbte, übel riechende seröse Flüssigkeit. Zudem stellten sich Anteile der infrahyoidalen Muskulatur nekrotisch verändert dar, so dass der klinische Verdacht auf eine nekrotisierende Fasziitis bestand (Abbildung 4). Daraufhin wurden neben multiplen Abstrichen auch Proben zur histopathologischen Mitbeurteilung genommen. Die konsiliarisch hinzugezogenen Thoraxchirurgen sahen bei fehlender Leukozytose zunächst keine Indikation zur operativen Revision. Der Patient wurde anschließend intensivmedizinisch betreut und konnte einen Tag später bei zwischenzeitlicher Besserung der Symptomatik auf die Normalstation verlegt werden. Die Kontrollbildgebung zeigte eine suffiziente Eröffnung der Logen.
Nachdem das histopathologische Ergebnis die Verdachtsdiagnose „nekrotisierende Faszitis“ bestätigt hatte, erfolgten tägliche Revisionen mit zwischenzeitlicher Rückverlegung auf die Intensivstation. Klinisch zeigten sich fortschreitende Nekrosen, so dass im Verlauf die Resektion der beidseitigen suprahyoidalen und der rechtsseitigen infrahyoidalen Muskulatur erfolgte. Weiterhin wurden das Platysma, der rechtsseitige M. sternocleidomastoideus und M. omohyoideus, der Isthmus der Schilddrüse, der rechte kaudale Parotispol sowie ebenfalls rechtsseitig die Mm. masseter und pterygoideus medialis reseziert. Die rechtsseitige Vena jugularis war durch einen Thrombus vollständig obliteriert. Zusammenfassend wurde somit im Wesentlichen das Weichgewebe der Level 1–5 rechts ausgeräumt.
Wegen der Beteiligung der Gefäßscheide und des Progresses der Nekrose ins Mediastinum wurden die Kollegen der Thoraxchirurgie erneut zur interdisziplinären Mithilfe hinzugezogen. Durch sie erfolgte zunächst die Eröffnung bis ins Mediastinum. Da es im weiteren Verlauf zur Leukozytose und Fieber sowie zu einem erneuten Anstieg des Troponin T kam, lag der Verdacht einer infektiösen Perikarditis bei fortschreitender Mediastinitis nahe. Somit erfolgte die mediane Sternotomie mit Perikardiotomie zum Ablassen von putridem Sekret aus dem Perikard. Dabei wurde bei intensivem Debridement auch das Thymusrestgewebe entfernt.
In den folgenden acht Wochen wurde der Wundsitus mund-, kiefer-, gesichtschirurgisch wie thoraxchirurgisch insgesamt 21 Mal revidiert (Abbildung 5).
In der mikrobiologischen Auswertung der Wundabstriche wurden zu Beginn in erster Linie pathologische und physiologische Bakterien der Mundflora nachgewiesen (Streptococcus constellatus, Prevotella intermedia), im weiteren Verlauf auch Bakterien der physiologischen Hautflora (Staphylococcus epidermis). In Abstrichen aus dem Mediastinum wurde auch Escherichia coli nachgewiesen.
Aufgrund der umfangreichen Entfernung funktioneller anatomischer Strukturen war ein regelrechter Schluckakt anfänglich nicht auslösbar. Dementsprechend erfolgte die Ernährung vorübergehend ausschließlich enteral. Erst durch regelmäßige physiotherapeutische Maßnahmen konnte ein langsamer Kostaufbau erfolgen. Was die Mobilisierung betrifft konnte der Patient anfangs nur kurze Distanzen mit dem Rollator zurücklegen. Bei stetiger Verbesserung sind dennoch rehabilitative Maßnahmen im Anschluss an die stationäre Behandlung notwendig.
Zusammenfassend ist zu erwähnen, dass anfänglich von einem letalen Verlauf ausgegangen werden musste. Im Verlauf besserte sich die Symptomatik deutlich (Abbildung 6). Der Patient konnte letztlich nach drei Monaten stationärem Aufenthalt in die häusliche Umgebung respektive in die rehabilitative Nachsorge entlassen werden.
Trotz des vermeintlich guten Ausgangs sind die Konsequenzen und Beeinträchtigungen erheblich. Zunächst sind durch die Entfernung vieler Muskeln Bewegungseinschränkungen zu erwarten. Weiterhin wird es trotz physiotherapeutischer Behandlung wegen der Kontraktion des Narbengewebes am rechten Hals vermutlich zu einem dauerhaften Schiefstand des Kopfes kommen. Durch die umfangreichen thoraxchirurgischen Maßnahmen ist der Patient weiterhin in seiner Atmung behindert und verspürt dauerhaft einen Spannungsschmerz im Bereich des rechten Brustkorbs.
Diskussion
Die nekrotisierende Fasziitis ist grundsätzlich definiert als foudroyant fortschreitende Nekrose des subkutanen Bindegewebes sowie der Faszien und oberflächlichen Muskeln. Hingegen sind Dermis, Epidermis und tiefer liegende Muskelstränge erst im späteren Krankheitsverlauf betroffen [Barker et al., 1987]. Weiterhin kommt es häufig zu mikrovaskulären Thrombosen, sekundären Entzündungsprozessen in benachbarten Gefäßen, Gaseinschlüssen im Weichgewebe und bei fulminanten Verläufen zu Hämorrhagien [Keller et al., 2018].
Prädisponierende Faktoren für die Entstehung einer nekrotisierenden Fasziitis sind Diabetes mellitus, Alkoholismus, Tumorerkrankungen, Immunsuppression, Neutropenie, Malnutrition und Infektionen mit dem HI-Virus, wobei sich ein insulinabhängiger Diabetes mellitus als häufigster Prädispositionsfaktor bei bis zu 70 Prozent der Patienten findet [Camino Junior et al., 2014)]. Im Gesichts- und Halsbereich tritt sie vergleichsweise selten auf, ist aber mit einer Mortalitätsrate von 30 Prozent die gefährlichste Infektion im Mund-, Kiefer-, Gesichtsbereich, bei manifester Mediastinitis oder später chirurgischer Intervention beträgt die Mortalität bis zu 80 Prozent [Song et al., 2014].
Ursächlich für die nekrotisierende Fasziitis der Gesichts- und Halsweichteile ist meist eine vorangegangene odontogene Infektion, insbesondere der Unterkiefermolaren [Subhashraj, 2008]. In den meisten Fällen ist die submandibuläre Loge initiale anatomische Ausbreitungsregion [Juncar et al., 2016]. Von dort kommt es zu einer diffusen Progredienz in die angrenzenden Logen und Weichteile [Flynn et al., 2006]. Klinisches Erscheinungsbild der nekrotisierenden Fasziitis ist zunächst eine akute Ödembildung, einhergehend mit einer teigigen Schwellung und Rötung bei ausgeprägten Schmerzen.
Mikrobiologisch betrachtet geht die nekrotisierende Fasziitis in den meisten Fällen von einer synergistisch wirkenden aerob/anaeroben Mischinfektion aus [Brook & Frazier, 1995]. Hierbei wurden fakultativ aerobe/anaerobe grampositive Bakterien am häufigsten in Abstrichen identifiziert. In einigen Fällen gesellten sich fakultativ aerobe/anaerobe gramnegative Bakterien hinzu. Selten waren lediglich anaerobe gramnegative Bakterien im Situs präsent [Juncar et al., 2016]. Die zweite ursächliche Bakteriengruppe sind Gruppe-A-Streptokokken (GAS) [Andreoni et al., 2017]. Mit Blick auf den vorliegenden Patientenfall ist bei Berücksichtigung der nachgewiesenen Bakterienspezies von einer aerob/anaeroben Mischinfektion auszugehen.
Die dentogen induzierte nekrotisierende Fasziitis ist somit nicht einer bestimmten Bakterienspezies zuzuordnen. Da alle nachgewiesenen Spezies zur normalen Mundflora gehören, somit bei Zahnextraktionen immer in den Wundsitus gelangen und auch in Abszessen häufig präsent sind, stellt sich die Frage, weshalb einige wenige Patienten eine nekrotisierende Fasziitis ausbilden und andere nicht. Hierzu gibt es noch keine abschließende Erklärung. In der Literatur wird aber am ehesten davon ausgegangen, dass ein Mangel oder eine Malfunktion spezifischer Antikörper gegen Streptokokken oder andere Bakterien der Mundflora ursächlich sind [Wolf et al., 2010)].
Hinsichtlich der Therapie der nekrotisierenden Fasziitis stehen neben der frühzeitigen Diagnostik insbesondere die unmittelbare radikale chirurgische Intervention und ein striktes, hochpotentes Antibiotikaregime im Fokus der Therapie [Bali et al., 2012)]. Dies ist die einzige Möglichkeit, bei schweren Verläufen die Wahrscheinlichkeit eines letalen Ausgangs zu verringern.
Fazit für die Praxis
Die nekrotisierende Fasziitis ist eine seltene, lebensbedrohliche Weichteilinfektion, die auch als Komplikation einer Zahnentfernung auftreten kann.
Bei der Diagnostik odontogener Infektionen sollte auf klinische Anzeichen einer Infektionsausbreitung geachtet werden.
Auch wenn die ambulante Zahnentfernung in der Praxis grundsätzlich gut und sicher durchführbar ist, können schwere Komplikationen auftreten. Regelmäßige postoperative Kontrollen sind daher essenziell.
Die frühe Diagnostik, eine unmittelbare radikal-chirurgische Intervention und eine suffiziente Antibiotikatherapie sind Schlüsselfaktoren, um die Wahrscheinlichkeit eines letalen Ausgangs zu verringern.
Literaturliste
Andreoni, F., Zurcher, C., Tarnutzer, A., Schilcher, K., Neff, A., Keller, N., . . . Zinkernagel, A. S. (2017). Clindamycin Affects Group A Streptococcus Virulence Factors and Improves Clinical Outcome. J Infect Dis, 215(2), 269-277. doi:10.1093/infdis/jiw229
Bali, A., Chadha, I., & Sharma, A. (2012). Necrotizing fasciitis of the chest wall caused by infected dentigerous cyst: a case report. J Maxillofac Oral Surg, 11(3), 347-350. doi:10.1007/s12663-011-0214-0
Barker, F. G., Leppard, B. J., & Seal, D. V. (1987). Streptococcal necrotising fasciitis: comparison between histological and clinical features. J Clin Pathol, 40(3), 335-341. doi:10.1136/jcp.40.3.335
Brook, I., & Frazier, E. H. (1995). Clinical and microbiological features of necrotizing fasciitis. J Clin Microbiol, 33(9), 2382-2387. doi:10.1128/jcm.33.9.2382-2387.1995
Camino Junior, R., Naclerio-Homem, M. G., Cabral, L. M., & Luz, J. G. (2014). Cervical necrotizing fasciitis of odontogenic origin in a diabetic patient complicated by substance abuse. Braz Dent J, 25(1), 69-72. doi:10.1590/0103-6440201302336
Flynn, T. R., Shanti, R. M., Levi, M. H., Adamo, A. K., Kraut, R. A., & Trieger, N. (2006). Severe odontogenic infections, part 1: prospective report. J Oral Maxillofac Surg, 64(7), 1093-1103. doi:10.1016/j.joms.2006.03.015
Hietbrink, F., Bode, L. G., Riddez, L., Leenen, L. P., & van Dijk, M. R. (2016). Triple diagnostics for early detection of ambivalent necrotizing fasciitis. World J Emerg Surg, 11, 51. doi:10.1186/s13017-016-0108-z
Juncar, M., Bran, S., Juncar, R. I., Baciut, M. F., Baciut, G., & Onisor-Gligor, F. (2016). Odontogenic cervical necrotizing fasciitis, etiological aspects. Niger J Clin Pract, 19(3), 391-396. doi:10.4103/1119-3077.179278
Keller, N., Andreoni, F., Reiber, C., Luethi-Schaller, H., Schuepbach, R. A., Moch, H., . . . Zinkernagel, A. S. (2018). Human Streptococcal Necrotizing Fasciitis Histopathology Mirrored in a Murine Model. Am J Pathol, 188(7), 1517-1523. doi:10.1016/j.ajpath.2018.03.009
Khamnuan, P., Chongruksut, W., Jearwattanakanok, K., Patumanond, J., Yodluangfun, S., & Tantraworasin, A. (2015). Necrotizing fasciitis: risk factors of mortality. Risk Manag Healthc Policy, 8, 1-7. doi:10.2147/RMHP.S77691
Lancerotto, L., Tocco, I., Salmaso, R., Vindigni, V., & Bassetto, F. (2012). Necrotizing fasciitis: classification, diagnosis, and management. J Trauma Acute Care Surg, 72(3), 560-566. doi:10.1097/TA.0b013e318232a6b3
Song, C. W., Yoon, H. J., Jung, D. W., & Lee, S. H. (2014). Cervical Necrotizing Fasciitis Caused by Dental Infection. Maxillofac Plast Reconstr Surg, 36(2), 67-72. doi:10.14402/jkamprs.2014.36.2.67
Stamenkovic, I., & Lew, P. D. (1984). Early recognition of potentially fatal necrotizing fasciitis. The use of frozen-section biopsy. N Engl J Med, 310(26), 1689-1693. doi:10.1056/nejm198406283102601
Subhashraj, K. J., Naveen; Ravindran, Chinnasamy. (2008). Cervical necrotizing fasciitis: An unusal sequel of odontogenic infection. Med Oral Patol Pral Cir Bucal
Wolf, H., Rusan, M., Lambertsen, K., & Ovesen, T. (2010). Necrotizing fasciitis of the head and neck. Head Neck, 32(12), 1592-1596. doi:10.1002/hed.21367










