Wo bleibt der Zahn? Dentinom blockiert den Zahndurchbruch
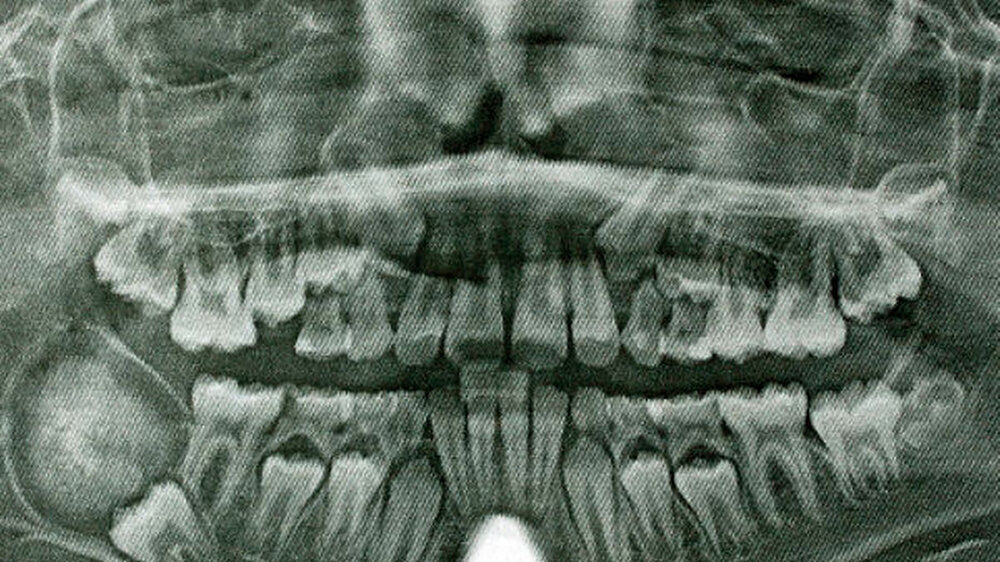
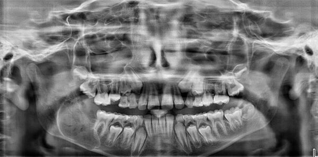
Zur Vorstellung brachte der Patient eine von seinem Hauszahnarzt angefertigte Panoramaschichtaufnahme mit, auf der sich der Zahn 47 retiniert und nach kaudal verlagert zeigte (Abbildung 1). Des Weiteren befand sich im Bereich des rechten Kieferwinkels eine ausgedehnte rundliche Verdichtung mit transluzentem Randbereich. Diese Raumforderung stand in direktem Kontakt zur Krone des retinierten und verlagerten Zahnes 47. Der Canalis mandibularis stellte sich nicht dar.
Anamnestisch berichtete der Junge von keinerlei Einschränkungen, Schmerzen oder sonstigen Auffälligkeiten. Im Rahmen der klinischen Untersuchung zeigten sich zudem keine Auffälligkeiten im Bereich des N. alveolaris inferior / N. mentalis rechts. Intraoral war die Schleimhaut im Bereich des Kieferwinkels intakt, ohne Anhalt für eine entzündliche Veränderung. Palpatorisch stellte sich eine dezente, schmerzlose knöcherne Auftreibung vestibulär dar. Zur weiteren Diagnostik und OP-Planung wurde eine digitale Volumentomografie angefertigt.
Bei Verdacht auf einen odontogenen Tumor planten wir eine stationäre Aufnahme zur Enukleation des Befunds in toto sowie eine Osteotomie des retinierten und verlagerten Zahnes 47 in Allgemeinanästhesie.
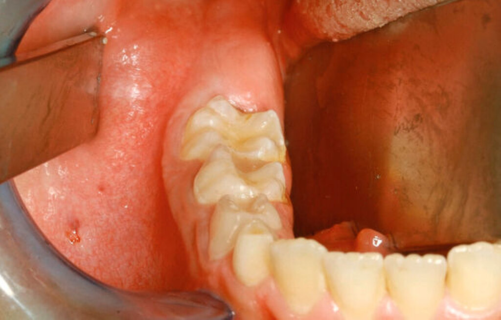
Unter der Vollnarkose erfolgte zunächst eine gründliche intraorale Inspektion, wobei sich im Bereich des Kieferwinkels rechts die knöcherne Ausbuchtung nach vestibulär deutlich darstellte (Abbildung 2). Es folgten eine Infiltrationsanästhesie im Bereich des rechten Kieferwinkels und anschließend eine marginale Inzision regio 85–46 mit Fortführung nach distal-vestibulär sowie anteriorer Entlastung. Nach Bildung eines Mukoperiostlappens wurde die Raumforderung in regio 47 mittels Osteotomie unter Schutz des N. lingualis dargestellt.
Hier zeigte sich zunächst eine bindegewebige Hülle (Abbildung 3), von der zusammen mit dem darunter liegenden Gewebe eine Probe zur intraoperativen histopathologischen Schnellschnittdiagnostik eingesendet wurde. Nach Entfernung der bindegewebigen Hülle im Bereich der Osteotomie folgte die Darstellung der sich darunter befindlichen festen Raumforderung. Diese konnte in toto enukleiert werden (Abbildungen 4 und 5). Darunter zeigte sich der retinierte und verlagerte Zahn 47. Dieser konnte im Anschluss problemlos mittels Hebel nach Bein gelöst und geborgen werden (Abbildung 6).
Mittlerweile hatte die Schnellschnittdiagnostik den Befund eines Odontoms ergeben. Daraufhin folgte die behutsame Kürettage im Bereich der ossären Kavität (Abbildung 7) unter Schonung des dargestellten N. alveolaris inferior. Im Anschluss wurde der Kieferwinkel manuell und visuell auf eine mögliche Fraktur überprüft. Bei noch gutem Knochenangebot konnte eine Fraktur ausgeschlossen werden. Die knöchern begrenzte Höhle wurde mit Kollagenflies augmentiert, dann folgte der plastische Wundverschluss mit einer resorbierbaren Naht. Die postoperative Panoramaschichtaufnahme zeigte eine vollständige Entfernung der Raumforderung sowie des Zahnes 47. Es gab keinen Anhalt für eine Fraktur (Abbildung 8).
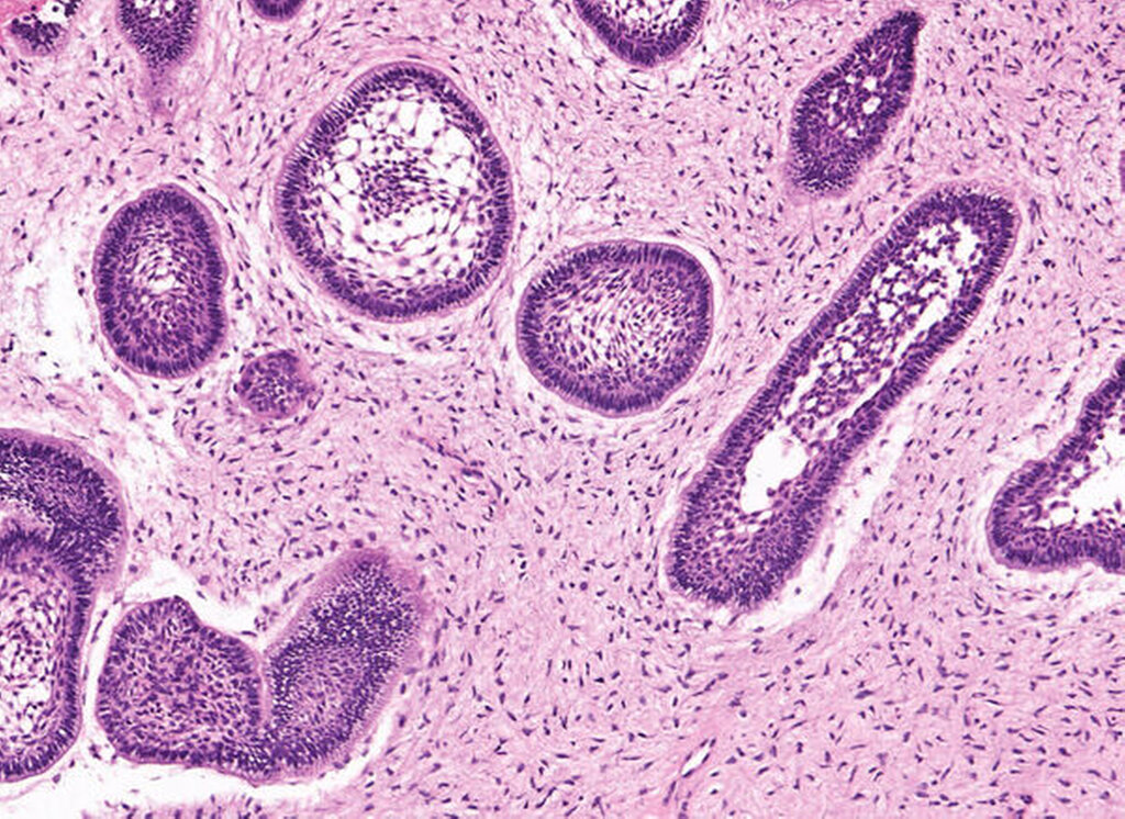
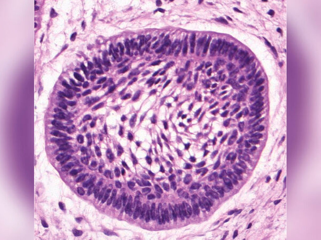
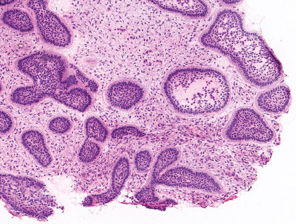
In der histopathologischen Schnellschnittuntersuchung zeigte sich in dem circa 3 cm x 2,5 cm messenden, größtenteils festen Resektat deutlich zellreiches, spindelzellig imponierendes mesenchymales Gewebe. Innerhalb dieses Präparats stellten sich einzelne dentogene Zielgruppen mit abgrenzender Palisadenstellung dar. Die weiterführende Untersuchung des gesamten Präparats im Rahmen der definitiven histologischen Befundung ergab zudem einen Hamartom-ähnlichen odontogenen Tumor, was schlussendlich zur Diagnose eines ameloblastischen Fibrodentinoms führte (Abbildungen 9 bis 11).
Diskussion
Das ameloblastische Fibrodentinom (AFD) wird in der WHO-Klassifikation als vergleichbar zum ameloblastischem Fibrom (AF) beschrieben, jedoch mit dem entscheidenden Unterschied der Dentinbildung [Kramer, 1992]. Beim AFD handelt es sich um einen äußerst seltenen odontogenen Tumor, was auch zu einer vergleichbar geringen Anzahl an bisher publizierten Fällen führt. Knapp 80 Prozent der diagnostizierten Fälle entfallen auf die ersten beiden Lebensdekaden [Philipsen et al., 1997]. Lediglich sporadisch werden Fälle zu einem späteren Zeitpunkt diagnostiziert [Philipsen et al., 1997] und äußerst selten auch noch im höheren Lebensalter [Pindborg, 1953]. In der Literatur wird die Geschlechterverteilung mit 2,4:1 (männlich:weiblich) angegeben.
Klinisch zeichnet sich das AFD durch ein meist asymptomatisches, langsames Wachstum aus, wobei der Tumor öfter mit einem retinierten Zahn assoziiert ist [Philipsen et al., 1997]. Obwohl es bezüglich des AFDs verhältnismäßig wenige Erfahrungsberichte gibt, scheint sich das biologische Verhalten nicht von dem des AFs zu unterscheiden [Gardner, 1984; Philipsen et al., 1997]. Dies erklärt auch, weswegen das AFD von einigen Autoren in der Literatur als möglicher Zwischenschritt zwischen einem AF und einem ameloblastischem Fibroodontom (AFO) angesehen wird [Cassidy et al., 1987; Pindborg, 1970].
Fazit für die Praxis
Bei einseitig ausbleibendem oder stark verzögertem Zahndurchbruch sollte eine Bildgebung, beispielsweise eine Panoramaschichtaufnahme, erwogen werden. In seltenen Fällen sind gutartige dentogene Tumore ursächlich und können auf diesem Weg frühzeitig diagnostiziert und der entsprechenden Therapie zugeführt werden.
In der Regel ist das AFD im Bereich des Unterkiefers und hier gewöhnlich in der Molarenregion (circa 76 Prozent) lokalisiert. Es imponiert radiologisch mit klar definierten Grenzen von radioopaken und transluzenten Anteilen [Cassidy et al., 1987; Philipsen et al., 1997].
Im hier vorgestellten Fall wurde das AFD als Zufallsbefund bei nicht durchgebrochenem Zahn 47 auffällig. Da die angefertigte Panoramaschichtaufnahme und das präoperative DVT keinen Anhaltspunkt für einen malignen Prozess boten, wurde die Enukleation mit Osteotomie des Zahnes 47 bei initialem Verdacht auf einen odontogenen Tumor geplant. Zur Diagnosesicherung erfolgte intraoperativ eine Schnellschnittdiagnostik, um eine unter Umständen notwendige Therapieanpassung zu ermöglichen. Immer bedacht werden sollte, dass auch primär benigne odontogene Tumore maligne entarten können [Giraddi und Garg, 2012]. Dasselbe gilt für das hier diagnostizierte AFD, das in seltenen Fällen zu einem ameloblastischen Fibrodentinosarkom transformieren kann [Giraddi und Garg, 2012].
Die Therapie der Wahl bleibt für das AFD und das AF die Enukleation beziehungsweise die vollständige Entfernung, sofern keine maligne Transformation stattfand – in solch einem Fall wäre eine radikale Resektion notwendig [Giraddi und Garg, 2012]. Differenzialdiagnostisch sollte bei diesen Befunden immer an ein ameloblastisches Fibrom, ein ameloblastisches Fibroodontom oder ein Odontom gedacht werden [Philipsen et al., 1997].
Literaturliste
Cassidy, J. P., Crocker, D. J., & Grau, W. H. (1987). Ameloblastic fibrodentinoma. Journal of Oral and Maxillofacial Surgery, 45(8), 734-736.
Gardner, D. G. (1984). The mixed odontogenic tumors. Oral surgery, oral medicine, oral pathology, 57(4), 395-397.
Giraddi, G. B., & Garg, V. (2012). Aggressive atypical ameloblastic fibrodentinoma: Report of a case. Contemporary clinical dentistry, 3(1), 97-102. doi:10.4103/0976-237x.94557
Kramer, I. (1992). World health organization international histological classification of tumors. Histological typing of odontogenic tumors, 11, 25.
Philipsen, H. P., Reichart, P. A., & Praetorius, F. (1997). Mixed odontogenic tumours and odontomas. Considerations on interrelationship. Review of the literature and presentation of 134 new cases of odontomas. Oral Oncol, 33(2), 86-99. doi:10.1016/s0964-1955(96)00067-x
Pindborg, J. (1953). Odontogenic tumours; clinical and roentgenological aspects, treatment and pathology. Odontologisk tidskrift, 61(5), 275-292.
Pindborg, J. (1970). Pathology of the Dental Hard Tissues, . Munksgaard, Copenhagen.


















