Fehlende Molaren? Der Patientenwunsch entscheidet!
Betrachtet man die Zahnverlustmuster, verlieren unsere Patienten im Laufe des Lebens zunächst Molaren und mit zunehmendem Lebensalter Prämolaren [IDZ, 2011]. Daraus resultieren häufig uni- beziehungsweise bilateral verkürzte Zahnreihen. Während für unilaterale Freiendlücken vielfach die implantatprothetische Versorgung favorisiert wird, konkurrieren bei einer bilateral verkürzten Zahnreihe sehr unterschiedliche Therapiekonzepte.
So kann die prothetische Versorgung bilateral verkürzter Zahnreihen erfolgen durch:
Molarenersatz mit abnehmbarem Zahnersatz, verankert über Klammern, Doppelkronen oder Geschiebe
Implantatprothetischen Molarenersatz (zahnbezogen, implantatgetragene Brücken, Verbundbrücken)
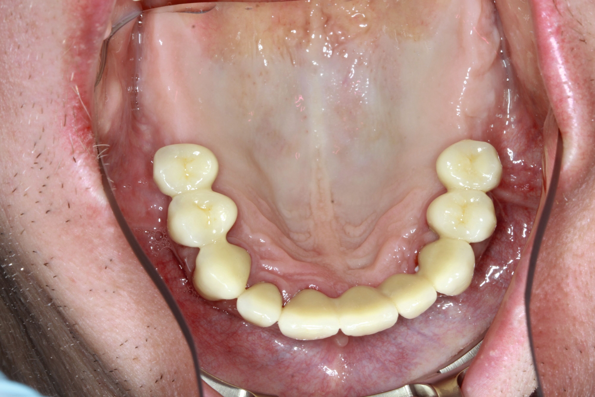
Belassen der verkürzten Zahnreihe, abhängig vom Lebensalter der Patienten mit einer Prämolarenokklusion, einer reduzierten Prämolarenokklusion oder einer reinen Frontzahnokklusion bei sehr betagten Patienten
Wiederherstellung einer Prämolarenokklusion mit festsitzendem Zahnersatz, konventionell oder implantatprothetisch
Erhaltungs- und Therapieziele ohne Molarenersatz werden unter dem Konzept der verkürzten Zahnreihe zusammengefasst. 1999 wurde im Kreise von Prothetikern aus 14 entsprechenden Abteilungen deutscher Universitätsklinika diskutiert, ob eine Versorgung nach dem Konzept der verkürzten Zahnreihe zu vergleichbaren Ergebnissen führt wie eine Versorgung mit abnehmbarem Zahnersatz. Zu diesem Zeitpunkt war bereits bekannt, dass das Nichttragen von Prothesen, die ausschließlich Seitenzähne ersetzen, ein nicht seltenes Phänomen darstellt.
Sind die Ergebnisse beider Konzepte vergleichbar gut?
Aus diesen Überlegungen heraus wurde ein Studiendesign entwickelt, das einen Erhalt beziehungsweise die Wiederherstellung einer verkürzten Zahnreihe mit einer abnehmbaren, Geschiebe-verankerten Versorgung vergleicht. Doppelkronenversorgungen wurden aus methodischen Überlegungen ausgeschlossen, da aufgrund des Demaskierungseffekts und eines Verlusts an okkludierenden Zahnflächen ein Nichttragen dieser Prothesen patientenseits kaum möglich wäre.
Das RaSDA-Studienkonsortium untersuchte zunächst für einen Zeitraum von fünf Jahren das Konzept des Erhalts beziehungsweise der Wiederherstellung einer verkürzten Zahnreihe im Vergleich mit einer Geschiebe-verankerten abnehmbaren Prothese. Gefördert wurde die Arbeit durch die Deutsche Forschungsgemeinschaft, die Deutsche Gesellschaft für Prothetische Zahnmedizin und Biomaterialien e.V. (DGPro), die Deutsche Gesellschaft für Zahn-, Mund- und Kieferheilkunde (DGZMK) und den Schweizer Medizintechnikhersteller Cendres & Métaux dann über einen Zeitraum von insgesamt 15 Jahren.
Als Hauptzielgröße wurde der primäre Endpunkt des Verlusts eines Zahnes im Gesamtgebiss gewählt. Die wissenschaftliche Datenlage war 1999 dadurch gekennzeichnet, dass tendenziell das Risiko eines verstärkten Auftretens von Craniomandibulären Dysfunktionen (CMD) in einer Altersgruppe oberhalb des 40. Lebensjahres eher unwahrscheinlich erschien. Hinsichtlich der Überlebensraten des Zahnersatzes wurde angenommen, dass eine, gegebenenfalls mit festsitzendem Zahnersatz wiederhergestellte, Prämolarenokklusion höhere Erfolgsraten aufweisen würde als eine Versorgung mit abnehmbaren Prothesen.
Bekannt war auch, dass der Nachsorgeaufwand bei abnehmbarem Zahnersatz höher ist als bei festsitzenden Versorgungen. Zum Zeitpunkt der Studienplanung war die Bedeutung der Lebensqualität und der Patientenzufriedenheit bereits in der wissenschaftlichen Zahnmedizin etabliert, wissenschaftliche Untersuchungen im Bereich des abnehmbaren Zahnersatzes auf der Grundlage randomisierter klinischer Studien fehlten aber.
In klinischen Studien wird zunehmend unterschieden zwischen:
technischen Komplikationen (zum Beispiel Austausch des Kunststoffeinsatzes des Futtergeschiebes erforderlich) beziehungsweise
technischen Misserfolgen (zum Beispiel Notwendigkeit der Neuanfertigung aufgrund einer großflächigen Keramikabplatzung)
und
biologischen Komplikationen (Notwendigkeit einer endodontischen Behandlung) beziehungsweise
biologischen Misserfolgen (Pfeilerzahnfraktur mit der Notwendigkeit der Extraktion dieses Pfeilers).
In die RaSDA-Studie wurden 215 Patienten eingeschlossen, deren mittleres Lebensalter in beiden Therapiearmen knapp unter 60 Jahren lag. Von den 109 auf die Therapie mit abnehmbarem Zahnersatz und den 106 auf die Versorgung nach dem Konzept der verkürzten Zahnreihe randomisierten Patienten wurden 81 beziehungsweise 71 Patienten therapiert. Nach fünf Jahren konnten in den beiden Studienarmen 71 beziehungsweise 61 Patienten nachuntersucht werden. Zur Zehnjahres-Nachuntersuchung kamen 44 beziehungsweise 38 Patienten. Für die 15-Jahres-Nachuntersuchung reduzierte sich das verbliebene Patientenkollektiv auf 29 beziehungsweise 28 Patienten.
Zahnverlust trat in der untersuchten Patientengruppe deutlich häufiger auf als in zumeist jüngeren Patientengruppen, die mit Einzelkronen oder kleinen Brücken versorgt sind. Parodontitis ist in dieser Alters- und Patientengruppe häufig und beeinflusst dementsprechend die Pfeilerüberlebensraten. Aus diesem Grund ist über die Studiendauer eine erforderliche anteilige Neuversorgung der Patienten nicht unwahrscheinlich. Unter der Prämisse, dass das grundsätzliche Therapiekonzept beibehalten werden konnte, wurden mittlere Überlebenszeiten berechnet. Das bedeutete, dass gegebenenfalls trotz aufgetretener Komplikationen die abnehmbare Prothese weitergetragen und bei verkürzten Zahnreihen kein abnehmbarer Zahnersatz eingegliedert wurde. Die mittleren Überlebenszeiten unterschieden sich nur unwesentlich und betrugen in beiden Therapiearmen über 14 Jahre.
Ein Einfluss des prothetischen Versorgungskonzepts hinsichtlich des Auftretens erhöhten BOPs (Bleeding on Probing) und erhöhter Plaqueanlagerung konnte belegt werden, und zwar zugunsten des SDA-Konzepts, bedingte aber keine signifikanten Vorteile hinsichtlich des Auftretens weiteren Zahnverlusts. Ursachen hierfür können aus den vorliegenden Daten nicht abgeleitet werden.
Ergebnisse
Die Ergebnisse zeigten, dass Kiefer- und Gesichtsschmerzen grundsätzlich von 15 bis 20 Prozent der Patienten angegeben werden. Etwa fünf Prozent der Patienten gaben Schmerzen an, die im Sinne einer CMD gedeutet werden können. Unterschiede zwischen den beiden Therapiekonzepten bestehen nicht. Die von den Patienten angegebene Schmerzintensität war gering und unterschied sich nicht zwischen den beiden Therapiearmen. Zusammenfassend konnten aus der RaSDA-Studie keine Hinweise abgeleitet werden, dass die Versorgung nach dem Konzept der verkürzten Zahnreihe Craniomandibuläre Dysfunktionen begünstigt.
Die Versorgung mit verkürzten Zahnreihen beeinflusste die Lebensqualität langfristig positiv. Unterschiede zwischen den Therapiekonzepten bestanden dabei nicht. Subjektiv heben sich wohl die Beeinträchtigungen durch das Tragen einer abnehmbaren Prothese beziehungsweise durch die geringere Anzahl von Zähnen und eine geringgradige Reduktion der Kaukraft gegenseitig auf.
Der Nachsorgeaufwand unterscheidet sich dahingehend, dass abnehmbarer Zahnersatz einen signifikant höheren Anteil an technischem Komplikationsmanagement erforderte, während es hinsichtlich der schwerwiegenden biologischen Komplikationen keine Unterschiede zwischen den beiden Therapiekonzepten gab.
Bezogen auf die konkrete Fragestellung der Versorgung von Patienten mit bilateral verkürzten Zahnreihen im Ober- und Unterkiefer lässt sich das Studienergebnis so zusammenfassen, dass nur geringe Unterschiede über zehn Jahre hinsichtlich des primären Endpunkts „Zahnverlust“ bestehen.
Sowohl die Wiederherstellung einer Molarenokklusion mit abnehmbarem, Geschiebe-verankerten Zahnersatz wie auch die Versorgung nach dem Konzept der verkürzten Zahnreihe sind nachhaltig. Dies gilt insbesondere vor dem Hintergrund, dass ab einer Studiendauer von etwa zehn Jahren sich der Behandlungsfokus wegen des Durchschnittsalters von circa 70 Jahren zunehmend auf gerostomatologische Aspekte verschoben haben dürfte.
Zahnverlust ist in der untersuchten Patientengruppe überwiegend Resultat biologischer Komplikationen. Die Bedeutung des Versorgungskonzepts hat nur untergeordnete Relevanz für den Therapieerfolg. Folgerichtig erlangt die Patientenpräferenz herausragende Bedeutung für die Wahl des Versorgungskonzepts!
Letztlich befördern die Ergebnisse der RaSDA-Studie den Weg in der Prothetik zu einer patientenzentrierten Therapieentscheidung und individualisierten Therapie. Korrekte zahnärztliche Vorgehensweise vorausgesetzt, steht bei der Versorgung von Patienten mit verkürzten Zahnreihen die Patientenpräferenz an erster Stelle.
Literaturliste
15 Jahre RaSDA-Studie zur verkürzten Zahnreihe – Übersicht über die Publikationen, Stand: 17.10.2023
Allgemeines und sonstige Themen:
Dtsch Zahnärztl Z 2006 Dec. Einfluss unterschiedlicher prothetischer Versorgungskonzepte der verkürzten Zahnreihe auf die Zielkriterien Karies, Vitalität und Zahnverlust - 3-Jahres-Ergebnisse der Pilotphase einer multizentrischen Studie. Ludwig A, Heydecke G, Aggstaller H, Böning K, Busche E, Ebenhöh J, Eschbach S, Gerds T, Gitt I, Hannak W, Lazarek K, Luthardt RG, Marré B, Müller F, Pospiech P, Reinhardt W, Schädler M, Stark H, Tauche G, Wöstmann B, Walter M.
Randomized Controlled Trial Trials 2010 Feb. doi: 10.1186/1745-6215-11-15. The Randomized Shortened Dental Arch study (RaSDA): design and protocol. Ralph G Luthardt, Birgit Marré, Achim Heinecke, Joachim Gerss, Hans Aggstaller, Eckhard Busche, Paul Dressler, Ingrid Gitt, Wolfgang Hannak, Sinsa Hartmann, Guido Heydecke, Florentine Jahn, Matthias Kern, Torsten Mundt, Peter Pospiech, Helmut Stark, Bernd Wöstmann, Michael H Walter.
Dtsch Zahnärztl Z 2012. Randomisierte Studie zur verkürzten Zahnreihe: 5-Jahresergebnisse der Pilotstudie. M.H. Walter, A. Weber, P. Pospiech, K. Böning, E. Busche, J. Gerß, I. Gitt, S. Hartmann, W. Hannak, F. Jahn, M. Kern, A. Ludwig, R.G. Luthardt, B. Marré, T. Mundt, E.J. Richter, H. Stark, M. Stumbaum, D. Werner, B. Wöstmann, S. Wolfart, G. Heydecke.
Randomized Controlled Trial J Dent 2014 Mar. doi: 10.1016/j.jdent.2013.12.013. Clinical performance of cantilevered fixed dental prostheses abutments in the shortened dental arch. Martin Sasse, Matthias Kern, Birgit Marré, Michael H Walter.
Randomized Controlled Trial Clin Oral Investig 2017 Jul doi: 10.1007/s00784-016-1981-2. The randomized shortened dental arch study: influence of two different treatments on interdental spacing over 5 years. Jaana-Sophia Kern, Stefan Wolfart, Ralf-Dieter Hilgers, Birgit Marré, Herbert Scheller, Jörg Strub, Klaus Böning, Wolfgang Hannak, Ralph G Luthardt, Guido Heydecke, Jan Huppertz, Peter Pospiech, Bernd Wöstmann, Helmut Stark, Torsten Mundt, Florentine Jahn, Matthias Kern, Daniel Edelhoff, Michael H Walter.
Randomized Controlled Trial J Oral Rehabil 2021 Jun doi: 10.1111/joor.13167. Rehabilitation of shortened dental arches: A fifteen-year randomised trial. Michael Horst Walter, Birgit Marré, Jens Dreyhaupt, Guido Heydecke, Angelika Rauch, Torsten Mundt, Wolfgang Hannak, Ralf Joachim Kohal, Matthias Kern, Frank Nothdurft, Sinsa Hartmann, Klaus Böning, Julian Boldt, Helmut Stark, Daniel Edelhoff, Bernd Wöstmann, Stefan Wolfart, Florentine Jahn, Ralph Gunnar Luthardt.
Zahnverlust:
Randomized Controlled Trial J Dent Res 2010 Aug. doi: 10.1177/0022034510366817. The randomized shortened dental arch study: tooth loss. M H Walter, A Weber, B Marré, I Gitt, J Gerss, W Hannak, S Hartmann, G Heydecke, J Huppertz, F Jahn, A Ludwig, T Mundt, M Kern, V Klein, P Pospiech, M Stumbaum, S Wolfart, B Wöstmann, E Busche, K Böning, R G Luthardt.
Randomized Controlled Trial Clin Oral Investig 2013 Apr doi: 10.1007/s00784-012-0761-x. The randomized shortened dental arch study: tooth loss over five years. M H Walter, W Hannak, M Kern, T Mundt, W Gernet, A Weber, B Wöstmann, H Stark, D Werner, S Hartmann, U Range, F Jahn, N Passia, P Pospiech, G Mitov, J Brückner, S Wolfart, E Busche, R G Luthardt, G Heydecke, B Marré.
Clinical Trial Trials 2016 May doi: 10.1186/s13063-016-1360-y. Process-based approach to modeling recurrent-event data explicated on the basis of occurrences of tooth losses in two different prosthetic treatment concepts. Hans H Diebner, Birgit Marré, Ingo Roeder, Michael H Walter.
Randomized Controlled Trial Int J Prosthodont 2018 Jan . doi: 10.11607/ijp.5368. The Randomized Shortened Dental Arch Study: Tooth Loss Over 10 Years. Michael H Walter, Jens Dreyhaupt, Wolfgang Hannak, Stefan Wolfart, Ralph G Luthardt, Helmut Stark, Peter Pospiech, Torsten Mundt, Matthias Kern, Klaus Walter Böning, Bernd Wöstmann, Herbert Scheller, Florentine Jahn, Wilfried Reinhardt, Joerg Strub, Birgit Marré, Guido Heydecke.
Parodontale Gesundheit:
Randomized Controlled Trial J Oral Rehabil 2014 Jul doi: 10.1111/joor.12160. Management of shortened dental arches and periodontal health: 5-year results of a randomised trial. M H Walter, B Marré, K Vach, J Strub, T Mundt, H Stark, P Pospiech, B Wöstmann, G Heydecke, M Kern, S Hartmann, R Luthardt, J Huppertz, S Wolfart, W Hannak.
Randomized Controlled Trial J Prosthodont Res 2020. Oct doi: 10.1016/j.jpor.2020.01.005. Periodontal health in shortened dental arches: A 10-year RCT. Michael H Walter, Jens Dreyhaupt, Torsten Mundt, Ralf Kohal, Matthias Kern, Angelika Rauch, Frank Nothdurft, Sinsa Hartmann, Klaus Böning, Julian Boldt, Helmut Stark, Daniel Edelhoff, Bernd Wöstmann, Ralph Gunnar Luthardt, Wolfgang Hannak, Stefan Wolfart, Guido Heydecke, Florentine Jahn, Peter Pospiech, Birgit Marré.
Lebensqualität:
Randomized Controlled Trial J Oral Rehabil 2005 Nov. doi: 10.1111/j.1365-2842.2005.01522.x. Effects of prosthetic treatment for shortened dental arches on oral health-related quality of life, self-reports of pain and jaw disability: results from the pilot-phase of a randomized multicentre trial. S Wolfart, G Heydecke, R G Luthardt, B Marré, W B Freesmeyer, H Stark, B Wöstmann, T Mundt, P Pospiech, F Jahn, I Gitt, M Schädler, H Aggstaller, F Talebpur, E Busche, M Bell.
Randomized Controlled Trial Clin Oral Investig 2014. doi: 10.1007/s00784-013-0991-6. The randomized shortened dental arch study: oral health-related quality of life. S Wolfart, F Müller, J Gerß, G Heyedcke, B Marré, K Böning, B Wöstmann, M Kern, T Mundt, W Hannak, J Brückner, N Passia, F Jahn, S Hartmann, H Stark, E J Richter, W Gernet, R G Luthardt, M H Walter.
Randomized Controlled Trial J Dent 2019 Jan. doi: 10.1016/j.jdent.2018.10.006. Impact of shortened dental arch on oral health-related quality of life over a period of 10 years - A randomized controlled trial. Daniel R Reissmann, Stefan Wolfart, Mike T John, Birgit Marré, Michael Walter, Matthias Kern, Ralf Kohal, Frank Nothdurft, Helmut Stark, Oliver Schierz, Bernd Wöstmann, Wolfgang Hannak, Torsten Mundt, Peter Pospiech, Julian Boldt, Daniel Edelhoff, Eckhard Busche, Florentine Jahn, Ralph G Luthardt, Sinsa Hartmann, Guido Heydecke.
Randomized Controlled Trial J Evid Based Dent Pract 2021 Dec. doi: 10.1016/j.jebdp.2021.10162210.1016/j.jebdp.2021.101622. IMPACT OF SHORTENED DENTAL ARCH ON ORAL HEALTH-RELATED QUALITY OF LIFE. Oliver Schierz, Daniel R Reissmann, Angelika Rauch, Mike T John, Birgit Marré, Ralph Gunnar Luthardt, Torsten Mundt, Wolfgang Hannak, Ralf Kohal, Matthias Kern, Frank Nothdurft, Sinsa Hartmann, Klaus Böning, Julian Boldt, Helmut Stark, Daniel Edelhoff, Bernd Wöstmann, Stefan Wolfart, Florentine Jahn, Michael Horst Walter.
Craniomandibuläre Dysfunktionen:
Randomized Controlled Trial Clin Oral Investig 2014 Dec. doi: 0.1007/s00784-014-1188-3. The randomized shortened dental arch study: temporomandibular disorder pain. Daniel R Reissmann, Guido Heydecke, Oliver Schierz, Birgit Marré, Stefan Wolfart, Joerg R Strub, Helmut Stark, Peter Pospiech, Torsten Mundt, Wolfgang Hannak, Sinsa Hartmann, Bernd Wöstmann, Ralph G Luthardt, Klaus W Böning, Matthias Kern, Michael H Walter.
Nachsorge:
Randomized Controlled Trial J Dent Res 2012 Jul. oi:10.1177/0022034512447950. The randomized shortened dental arch study: 5-year maintenance. S Wolfart, B Marré, B Wöstmann, M Kern, T Mundt, R G Luthardt, J Huppertz, W Hannak, T Reiber, N Passia, G Heydecke, W Reinhardt, S Hartmann, E Busche, G Mitov, H Stark, P Pospiech, A Weber, W Gernet, M H Walter.
Fremdartikel zu den entsprechenden Themen
Kraniomandibuläre Dysfunktionen:
Observational Study J Oral Facial Pain Headache 2018. DOI: 10.11607/ofph.1910. Effect of Shortened Dental Arch on Temporomandibular Joint Intra-articular Disorders. Daniel R Reissmann, Gary C Anderson, Guido Heydecke, Eric L Schiffman.
Comparative Study J Dent 2007 Jun. doi: 10.1016/j.jdent.2007.02.003. Signs and symptoms related to temporomandibular disorders--Follow-up of subjects with shortened and complete dental arches. D J Witter, C M Kreulen, J Mulder, N H J Creugers.
J Dent Res 2003 Jul. doi: 10.1177/154405910308200709. Occlusal and TMJ loads in subjects with experimentally shortened dental arches. Y Hattori, C Satoh, S Seki, Y Watanabe, Y Ogino, M Watanabe.
Parodontale Gesundheit:
J Clin Periodontol. 2022 Jun. doi: 10.1111/jcpe.13519. PMID: 34761421. Efficacy and risks of removable partial prosthesis in periodontitis patients: A systematic review. Gotfredsen K, Rimborg S, Stavropoulos A.
Evid Based Dent. 2021 Jan. doi: 10.1038/s41432-021-0193-z. Periodontal health in the shortened dental arch. Kalsi HK, Edwards DC.
Periodontol 2000. 2021 Oct. Treatment planning considerations in the older adult with periodontal disease. Curtis DA, Lin GH, Rajendran Y, Gessese T, Suryadevara J, Kapila YL. doi: 10.1111/prd.12383. PMID: 34463978.
J Oral Rehabil. 2017. doi: 10.1111/joor.12511. Shortened dental arch and prosthetic effect on oral health-related quality of life: a systematic review and meta-analysis.
Diagnostics (Basel). 2022 Dec doi: 10.3390/diagnostics12123053. Is the Diagnosis of Generalized Stage IV (Severe) Periodontitis Compatible with the Survival of Extended Stabilizing Prosthetic Restorations? A Medium-Term Retrospective Study. Rădulescu V, Boariu M, Rusu D, Boldeanu C, Christodorescu R, Roman A, Surlin P, Didilescu AC, Vela O, Kardaras G, Veja I, Martu I, Stratul SI.
Zahnverlust:
Survival Analysis J Dent 2020 Dec. doi: 10.1016/j.jdent.2020.103468. Tooth replacement options for partially dentate older adults. McKenna G, Tada S, McLister C, DaMata C, Hayes M, Cronin M, Moore C, Allen F. PMID: 32911009.
J Dent 2013 Aug. doi: 10.1016/j.jdent.2013.05.013. Increased risk for premolar tooth loss in shortened dental arches. Gerritsen AE, Witter DJ, Bronkhorst EM, Creugers NH. PMID: 23735600.
Br Dent J. 2017. Jul doi: 10.1038/sj.bdj.2017.625. Is the shortened dental arch still a satisfactory option? Manola M, Hussain F, Millar BJ.
BDJ Open. 2018 Apr. doi: 10.1038/bdjopen.2017.23. Effectiveness of prosthodontic interventions and survival of remaining teeth in adult patients with shortened dental arches-Protocol for a systematic review and meta-analysis. McLister C, Donnelly M, Cardwell C, Moore C, McKenna G.
Lebensqualität:
Health Quality of Life Outcomes 2019 May. 3 doi: 10.1186/s12955-019-1149-2. Is reduced dentition with and without dental prosthesis associate with oral health-related quality of life? A cross-sectional study. Ferreira RC, Kawachi I, Souza JGS, Campos FL, Chalub LLFH, Antunes JLF.
J Oral Rehabil. 2016 Mar. doi: 10.1111/joor.12364. Impact of shortened dental arches on oral health-related quality of life. Antunes JL, Tan H, Peres KG, Peres MA.
Randomized Controlled Trial PLoS One 2018. DOI: 10.1371/journal.pone.0203349. Impact of oral rehabilitation on the quality of life of partially dentate elders in a randomised controlled clinical trial: 2 year follow-up. Gerald McKenna, Patrick Finbarr Allen, Martina Hayes, Cristiane DaMata, Ciaran Moore, Michael Cronin.
J Dent 2017. doi: 10.1016/j.jdent.2017.06.011. Long-term follow-up indicates unimpaired oral health-related quality of life for people having shortened dental arches. Anneloes E Gerritsen, Dick J Witter, Nico H J Creugers.
Nachsorge:
Review J Dent 2023. doi: 10.1016/j.jdent.2023.104483. Impact of shortened dental arch therapy on nutritional status and treatment costs in older adults: A systematic review. Nils Funke, Nicolas Fankhauser, Gerald J Mckenna, Murali Srinivasan.
Comment Evid Based Dent 2015. doi: 10.1038/sj.ebd.6401080. Shortened dental arch concept shown to be cost effective. Colin Levey, Craig Dunbar.






