Moderne Wege bei der Weisheitszahnentfernung
Allgemein wird empfohlen, Weisheitszähne möglichst vor dem 25. Lebensjahr zu entfernen. Der Zeitpunkt zur operativen Entfernung sollte dabei im Hinblick auf das Entwicklungsstadium der Zahnwurzeln, deren erwartbare Lage zum Mandibularkanal sowie das Risiko einer potenziellen Resorption des zweiten Molaren, insbesondere bei mesialer und horizontaler Verlagerung, gewählt werden.
Außerdem sollten die parodontale Regeneration und das altersabhängige Operationsrisiko beachtet werden, denn mit höherem Alter steigen die Komplikationsrate und die Morbidität [DGMKG, 2019; Baensch et al., 2017].
Neben der ausführlichen Anamnese und der klinischen Untersuchung ist eine röntgenologische Untersuchung wichtig. Zur Übersicht kann eine zweidimensionale Panoramaschichtaufnahme angefertigt werden, um die Lage und Angulation der Weisheitszähne sowie deren Beziehung zu ihren anatomischen Nachbarstrukturen beurteilen zu können [ARö/DGZMK, 2022; DGMKG, 2019].
Dr. med. Dr. med. dent. Saskia-Vanessa Schröger
Wissenschaftliche Mitarbeiterin an der Klinik und Poliklinik für Mund-, Kiefer- und Gesichtschirurgie – plastische Operationen der Universitätsmedizin Mainz
Augustusplatz 3, 55131 Mainz
Saskia.Schroeger@unimedizin-mainz.de
2012–2018: Studium der Medizin an der Johannes-Gutenberg Universität in Mainz
2018–2023: Studium der Zahnmedizin an der Johannes-Gutenberg Universität in Mainz
2020: Promotion zum Dr. med.
2023: Promotion zum Dr. med. dent.
seit 2020: Assistenzärztin und wissenschaftliche Mitarbeiterin an der Klinik und Poliklinik für Mund-, Kiefer- und Gesichtschirurgie – plastische Operationen der Universitätsmedizin Mainz
Präoperatives Assessment
Nach Rood und Shehab geben sieben röntgenologische Anzeichen einen Hinweis auf eine enge Lagebeziehung der Wurzeln zum Canalis mandibularis, jedoch wurden davon nur drei validiert: die Divergenz des Kanals, die Unterbrechung seiner Kortikalis sowie eine Verdunkelung der Wurzeln. Das Vorhandensein einer dieser Merkmale kann mit einem erhöhten Verletzungsrisiko des N. alveolaris inferior von acht bis 22 Prozent bei der Weisheitszahnentfernung einhergehen [Rood und Nooraldeen Shehab, 1990; Steel et al., 2022].
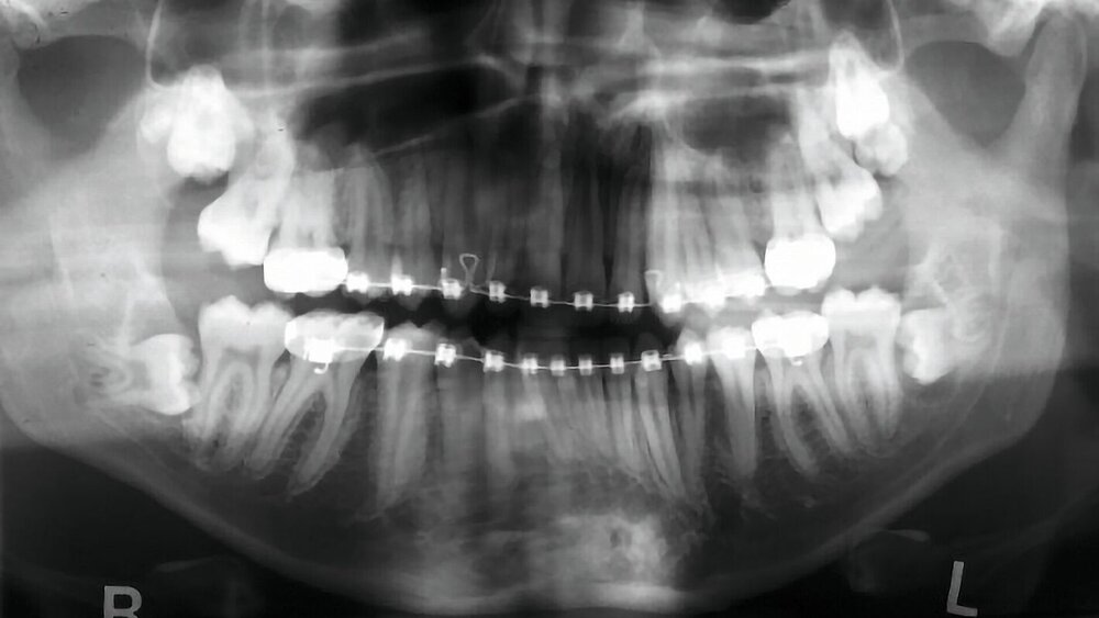
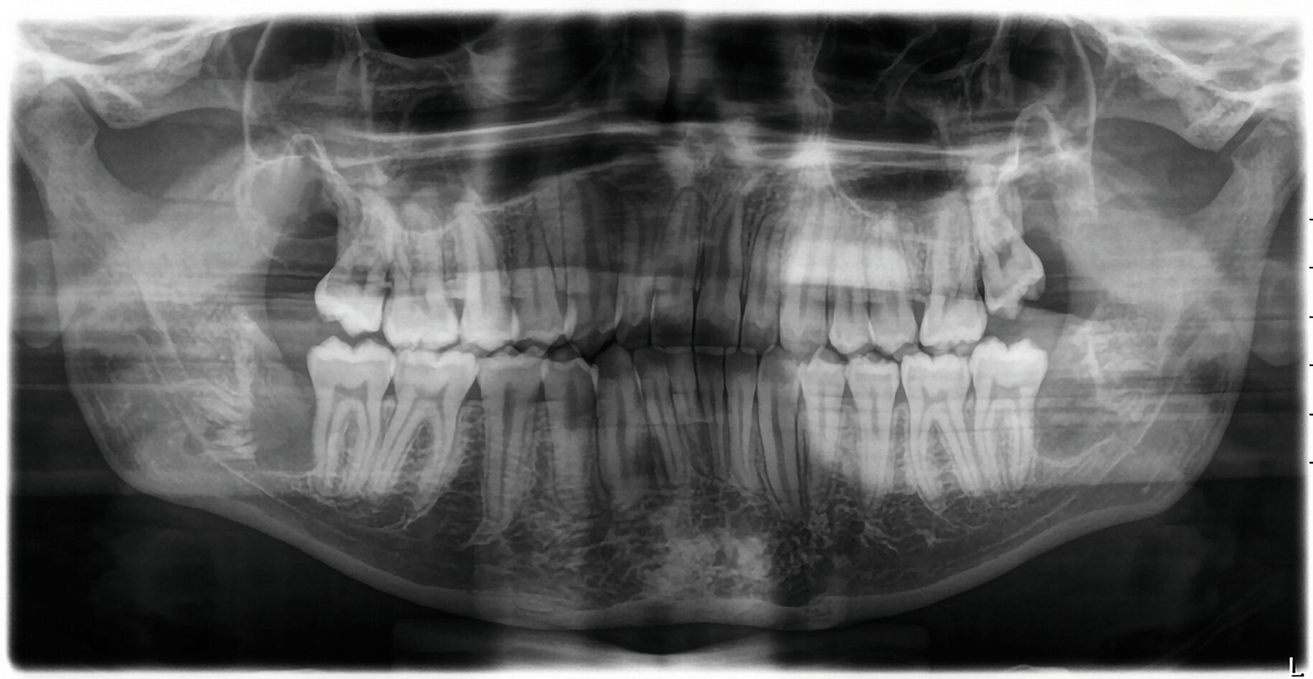
Abbildung 1 zeigt ein Fallbeispiel einer Panoramaschichtaufnahme eines 18-jährigen Patienten mit den genannten röntgenologischen Anzeichen einer engen Lagebeziehung zum Nervkanal, zum einen in Regio 38, aber auch in Regio 48. Zudem befinden sich in Regio 18 und 28 unklare weitere zahnähnliche Strukturen.
Bei solch besonderen Risikosituationen kann gemäß den S2k-Leitlinien „Dentale digitale Volumentomographie“ und „Operative Entfernung von Weisheitszähnen“ eine dreidimensionale Bildgebung in Form einer digitalen Volumentomografie oder einer Computertomografie durchgeführt werden [ARö/DGZMK, 2022; DGMKG, 2019]. Mit der präziseren Visualisierung von Karies, Wurzelresorptionen, Wurzelpositionen und deren Morphologie sowie der Lagebeziehung zu den Nachbarstrukturen kann man die differenzialtherapeutische Entscheidungsfindung, die detaillierte Risikoaufklärung des Patienten und die Operationsplanung verbessern. Außerdem kann die Bildgebung vom Behandler intraoperativ genutzt werden, um sich zu orientieren.
Liegen keine Hinweise auf eine Risikosituation vor, ist eine zweidimensionale Bildgebung ausreichend [ARö/DGZMK, 2022; DGMKG, 2019].
Ob die digitale Volumentomografie in Bezug auf das Risiko einer Nervverletzung ein besseres chirurgisches Ergebnis erbringt, wird kontrovers diskutiert. Einige Studien zeigen, dass eine dreidimensionale Bildgebung zur optimierten Risikostratifizierung geeignet ist, jedoch häufig auch erst zur Indikationsstellung der operativen Entfernung führt. Denn dabei werden insbesondere Resorptionen an den zweiten Molaren besser erkannt [Matzen et al., 2017; Wang et al., 2017]. Die aktuelle Datenlage lässt offen, ob die neu gewonnenen Informationen durch eine dreidimensionale Bildgebung das chirurgische Verfahren wirklich beeinflussen oder gar ändern und sich dies positiv auf mögliche Schäden am N. alveolaris inferior auswirken kann [ARö/DGZMK, 2022].
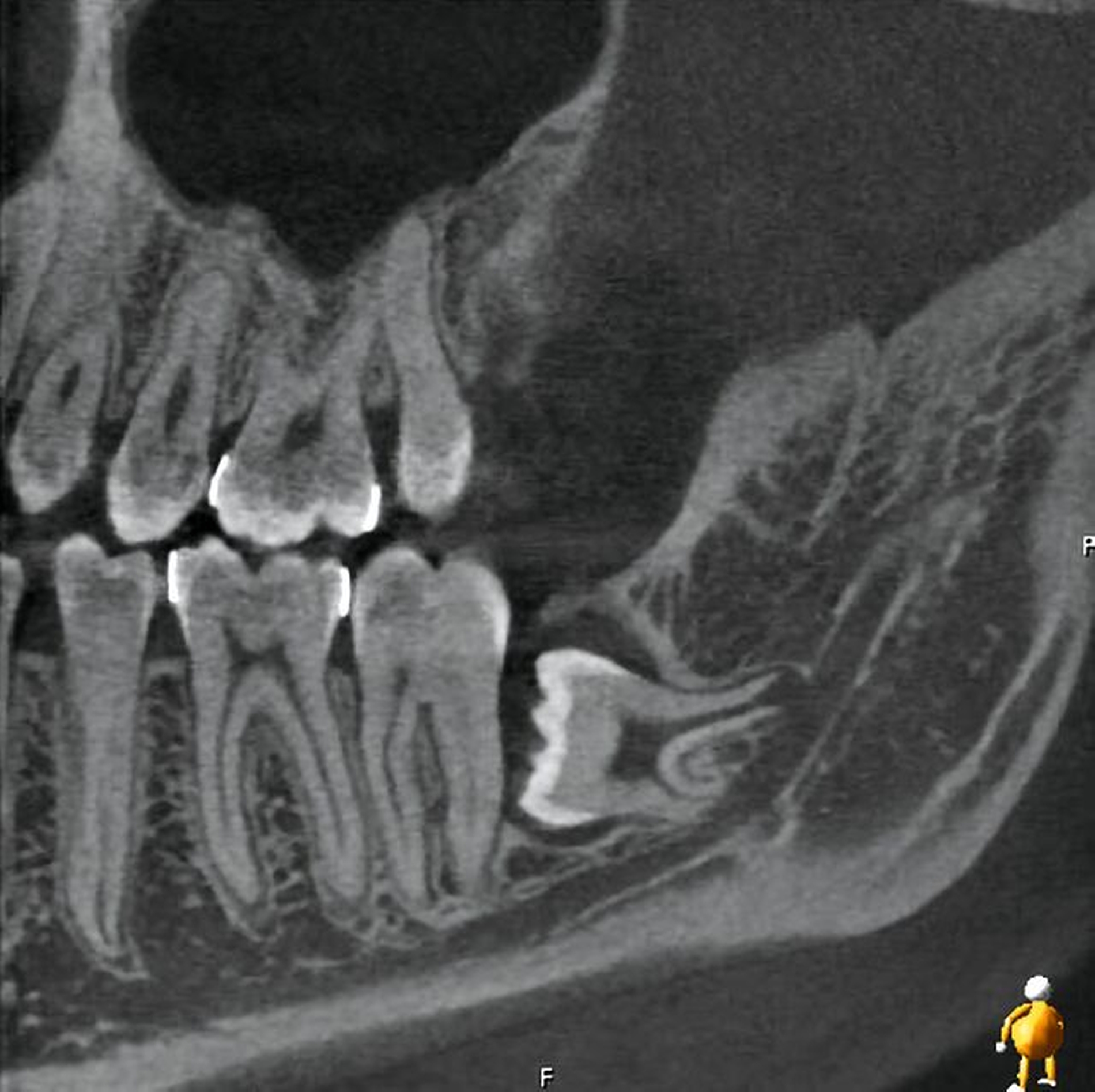
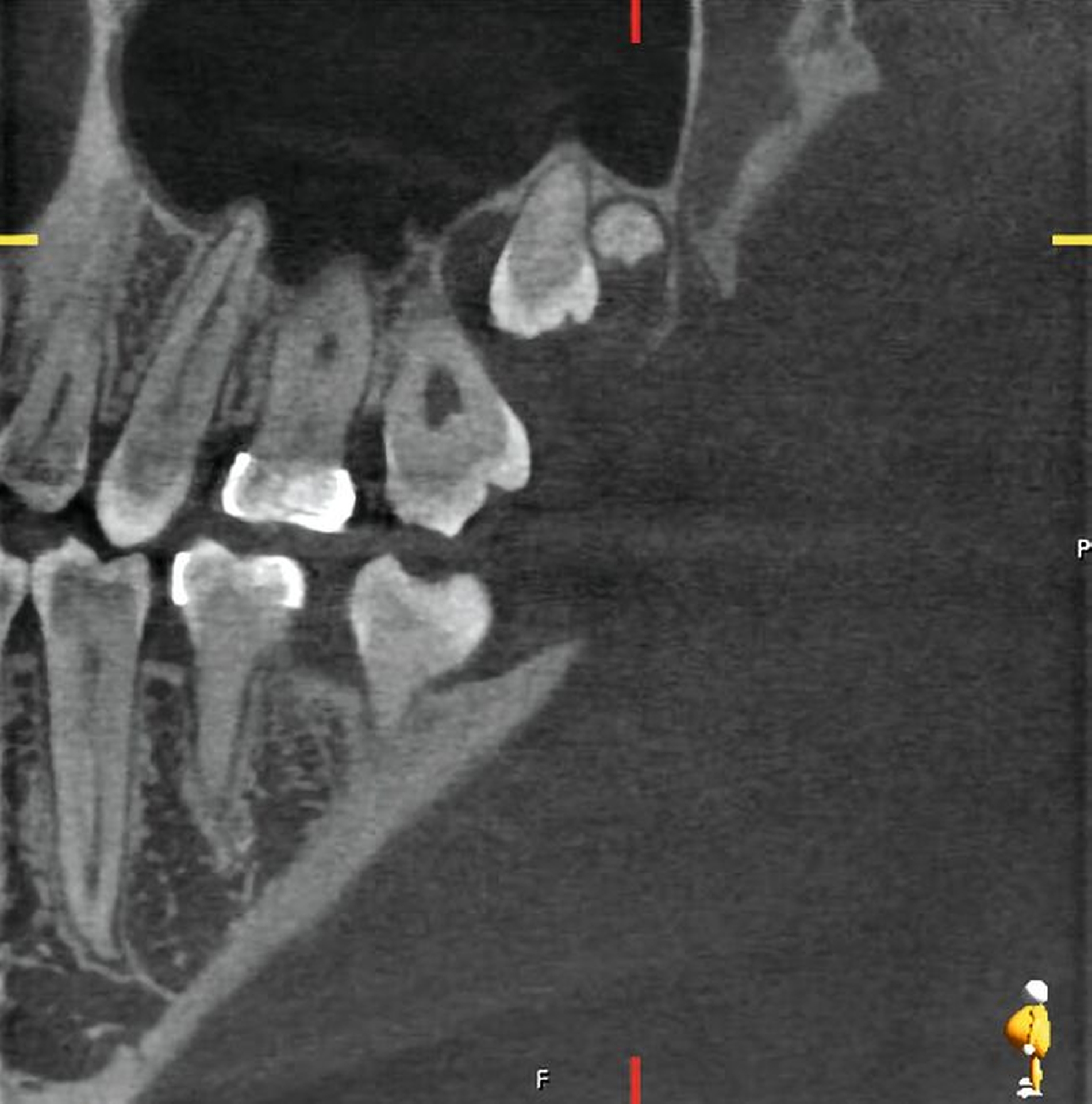
Im vorliegenden Fallbeispiel wurde eine dreidimensionale Bildgebung durchgeführt, da sowohl im Ober- als auch im Unterkiefer Risikohinweise bestanden. Zum einen lag eine unmittelbare Lagebeziehung zum N. alveolaris inferior und somit ein erhöhtes Risiko einer Nervschädigung vor, zum anderen bestanden Hinweise auf Lageanomalien und mögliche Doppelanlagen im Oberkiefer, die in der zweidimensionalen Bildgebung kaum beurteilt werden konnten. In der DVT zeigte sich in Regio 48 ein intraradikulärer Verlauf des N. alveolaris inferior durch die Wurzel des nach mesial gekippten und retinierten Zahnes 48 sowie eine perikoronare Aufhellung, die nah an die distale Wurzel des Zahnes 47 reicht (Abbildung 2).
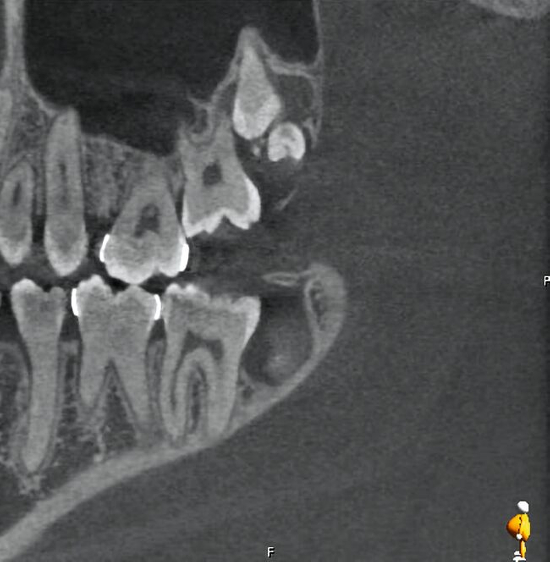
Im Unterkiefer linksseitig zeigt sich der Canalis mandibularis lingual verlaufend, in enger Lagebeziehung zur Wurzel des retinierten und ebenfalls nach mesial gekippten Zahnes 38 (Abbildung 3).
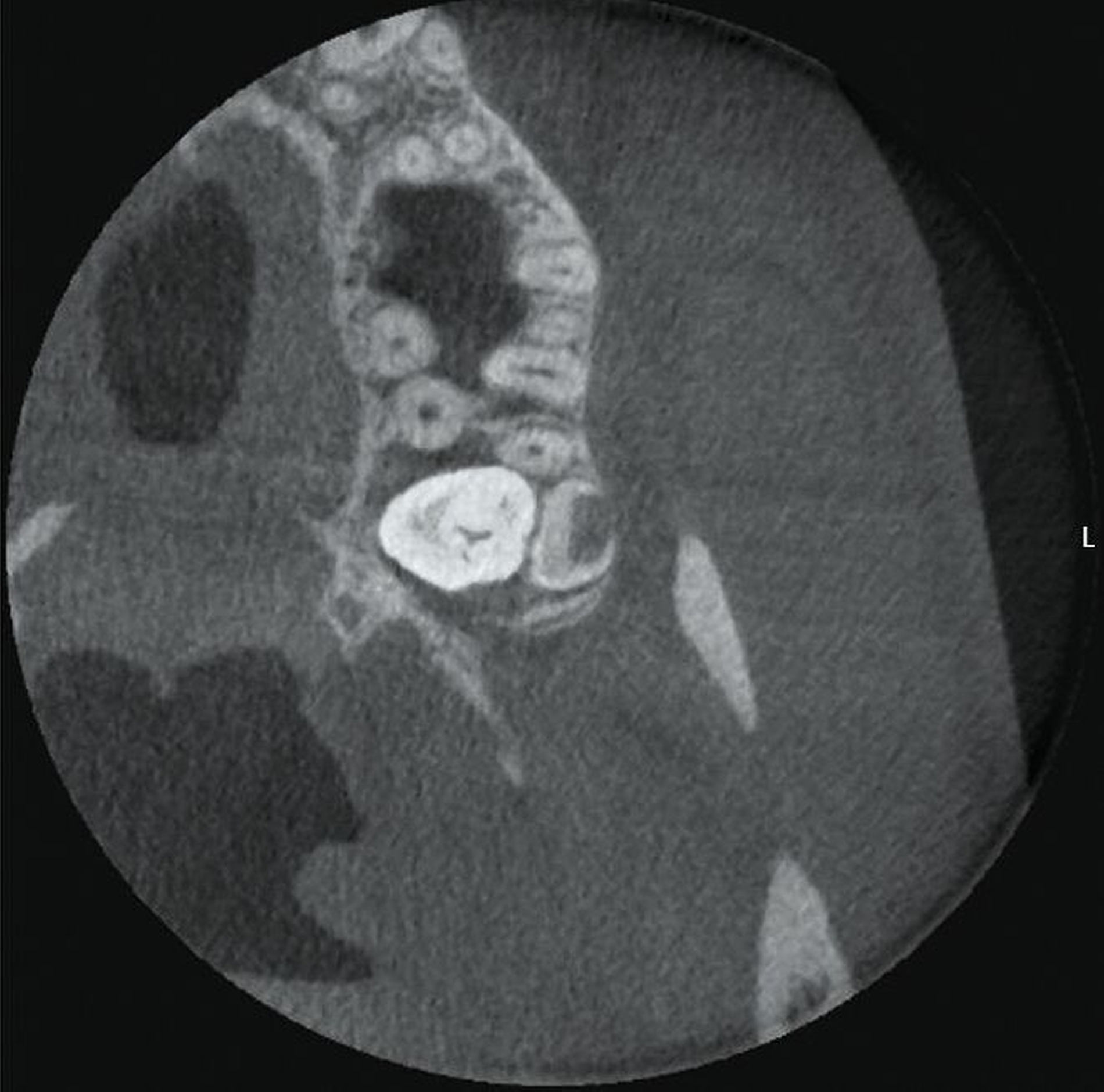
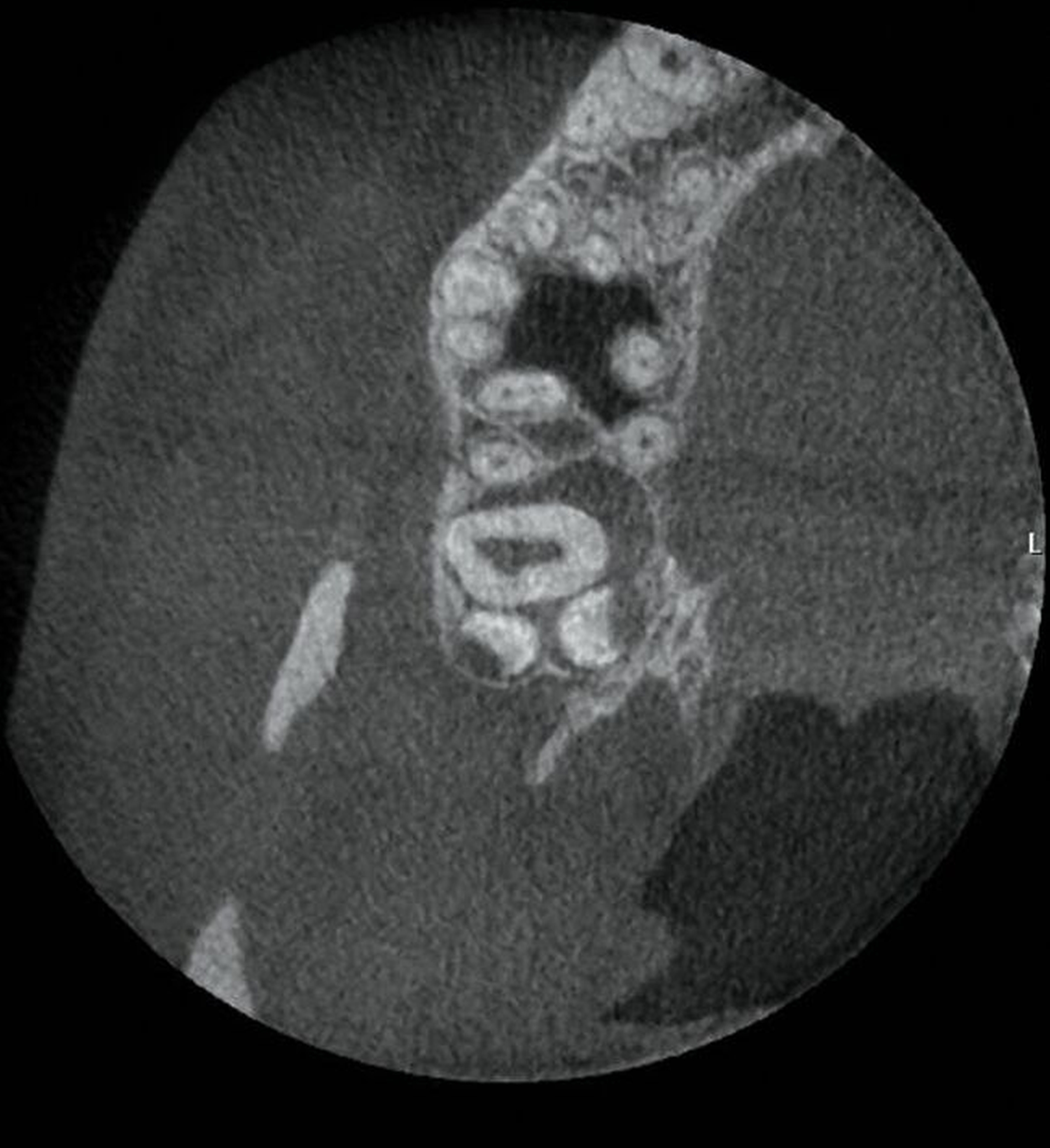
Im Oberkiefer zeigte sich auf der linken Seite neben dem hoch verlagerten und retinierten Zahn 28 ein ebenfalls hoch verlagerter und retinierter Zahn 29 (Abbildung 4) mit enger Lagebeziehung zur Kieferhöhle. Im rechten Oberkiefer erkennt man neben dem hoch verlagerten und retinierten Zahn 18 eine Doppelanlage des Zahnes 19 ebenso in enger Lagebeziehung zur Kieferhöhle (Abbildung 5).
Aus dem Fallbeispiel ergeben sich folgende Fragestellungen, die zur Risikostratifizierung und zur Operationsplanung, aber auch zur Aufklärung des Patienten notwendig sind:
Besteht eine Indikation zur Entfernung der Weisheitszähne und der Doppelanlagen oder können diese belassen werden?
Sollte die chirurgische Entfernung in Lokalanästhesie oder in Intubationsnarkose durchgeführt werden?
Welche Alternativtherapien gibt es im Hinblick auf das erhöhte Risiko einer Nervschädigung?
Belassen oder intervenieren?
Indikationsstellung
Eine generelle Empfehlung zur operativen Entfernung der Weisheitszähne ist wissenschaftlich nicht belegt, allerdings hatten in der Literatur 20 bis 60 Prozent der Weisheitszähne röntgenologisch pathologische Veränderungen, die sich auch auf die Nachbarstrukturen auswirken können [Simşek-Kaya et al., 2011; Yildirim et al., 2008]. Die traditionelle Unterscheidung zwischen prophylaktischer und therapeutischer Entfernung der Weisheitszähne erscheint somit nicht mehr zeitgemäß.
Zudem sollte beachtet werden, dass das Risiko von Komplikationen im Hinblick auf infektiöse Geschehen zwischen 18 und 35 Jahren ein Maximum erreicht und danach abnimmt, wohingegen sich mit steigendem Alter vermehrt Komplikationen bei der operativen Entfernung ergeben [Baensch et al., 2017; Fernandes et al., 2010].
Zu den Indikationen der operativen Entfernung der Weisheitszähne zählen starke Schmerzen, ein Spannungsgefühl im gesamtem Mund-Kiefer-Gesichtsbereich, eine Schwellung und akute oder chronische Infektionen, beispielsweise im Rahmen einer Dentitio difficilis und insbesondere bei Ausbreitungstendenz [DGMKG, 2019; Bailey et al., 2020]. Die Zähne sollten auch entfernt werden, wenn sie tief kariös zerstört oder parodontal stark geschädigt sind, stark elongiert oder gekippt und weder restaurierfähig noch erhaltungswürdig sind. Außerdem empfiehlt sich die Entfernung bei einer periapikalen Veränderung, bei zystischen oder tumorverdächtigen Raumforderungen und wenn die Zähne im Bruchspalt stehen und somit eine Frakturversorgung beeinträchtigen können.
Kann-Optionen stellen die Optimierung der kieferorthopädischen oder prothetischen Therapie dar, prophylaktische Entfernungen vor längeren Auslandsaufenthalten oder wenn bereits anderweitig eine Narkose durchgeführt wird und zur Entfernung der Weisheitszähne eine erneute Narkose notwendig wäre [DGMKG, 2019].
Dem gegenüber stehen die Indikationen zum Belassen der Weisheitszähne, beispielsweise wenn eine Einordnung des Zahnes kieferorthopädisch möglich oder die regelrechte Einstellung der Zähne in die Zahnreihe zu erwarten ist. Longitudinale Studien zeigen, dass bis zu 30 Prozent der Weisheitszähne, die um das 18. Lebensjahr zur Entfernung geplant waren, sich im Verlauf bis zum 30. Lebensjahr in die Zahnreihe einstellen ließen. Diese Erkenntnisse sprechen bei asymptomatischen Weisheitszähnen eher für das beobachtende, abwartende Verhalten als für eine prophylaktische Entfernung [Kruger et al., 2001].
Auch tief impaktierte und verlagerte, asymptomatische Zähne ohne pathologische Veränderungen bei gleichzeitig hohem Risiko intra- und postoperativer Komplikationen können belassen werden [DGMKG, 2019]. Laut einer Cochrane-Datenanalyse liegen keine ausreichenden Daten vor, um die chirurgische Entfernung oder den Erhalt asymptomatischer, impaktierter Weisheitszähne zu unterstützen. Zwar gibt es Hinweise, dass das Belassen langfristig das Risiko einer Parodontitis bei den benachbarten zweiten Molaren erhöhen kann, aber diese sind von geringer Evidenz. Daher sollte individuell und im Konsens mit dem Patienten entschieden werden. Falls das Belassen der Zähne präferiert wird, sollten diese regelmäßig klinisch beurteilt werden, um Komplikationen zu vermeiden [Ghaeminia et al., 2016].
Komplikationen
Komplikationen der operativen Weisheitszahnentfernung sind neben Schmerzen, Schwellungen, Blutungen, Nachblutungen, Wundheilungsstörungen, perioperativen und anästhesiologischen Komplikationen vor allem die Schädigung von Nachbarstrukturen: einerseits die Schädigung der zweiten Molaren, mögliche Kieferfrakturen, die Eröffnung des Sinus maxillaris sowie die Schädigung des N. alveolaris inferior [DGMKG, 2019; Lim et al., 2012; McGrath et al., 2003].
Bei nachgewiesener röntgenologisch enger Lagebeziehung der Wurzeln zum Canalis mandibularis kann es in bis zu 20 Prozent der Fälle zu temporären und in ein bis vier Prozent zu permanenten Sensibilitätsstörungen kommen [Renton, 2012]. Dabei sind besonders ältere Patienten mit impaktierten Weisheitszähnen und einer Exposition des Nervs gefährdet [Leung & Cheung, 2011]. Auch der N. lingualis kann verletzt werden (in 0,1 bis 22 Prozent der Fälle [Leung & Cheung, 2011]), insbesondere bei lingualen Lappenplastiken, lingualen Split-Techniken und sehr tief verlagerten Weisheitszähnen [Chuang et al., 2007; Leung & Cheung, 2011]. Die häufigste Komplikation stellt die postoperative Alveolitis/Wundinfektion dar, die in fünf bis zehn Prozent der Fälle auftritt [Blondeau & Daniel, 2007; Bui et al., 2003; Sisk et al., 1986; Voegelin et al., 2008].
Alternativen
Zur differenzialtherapeutischen Entscheidungsfindung bietet die Leitlinie zur operativen Entfernung von Weisheitszähnen neben der konventionellen Methode auch Alternativen. Einerseits kann bei enger Lagebeziehung zum Canalis mandibularis eine Koronektomie durchgeführt werden, andererseits kann mit Piezochirurgie gearbeitet werden.
Lokalanästhesie oder Intubationsnarkose?
Allgemein können Weisheitszähne ambulant in Lokalanästhesie entfernt werden. Im Hinblick auf die allgemeine und spezielle Anamnese, die Compliance des Patienten und nach präoperativer Risikostratifizierung empfiehlt sich jedoch nicht selten eine Intubationsnarkose. Diese kann entweder ambulant durchgeführt werden oder in individuellen Fällen bei anamnestisch vorerkrankten Patienten oder in besonderen Risikosituationen auch stationär [DGMKG, 2019]. Eine perioperative, antibiotische Prophylaxe kann erwogen werden, wird aber nicht in allen Fällen empfohlen und oft kontrovers diskutiert. Im Hinblick auf verminderte Wundinfektionen, Alveolitis und Osteitis zeigte sie jedoch positive Aspekte [Marcussen et al., 2016; Ramos et al., 2016]. Perioperativ sollten zur Schwellungsprophylaxe nichtsteroidale Antirheumatika oder Glukokortikoide verwendet werden, die postoperativ zudem den Analgetikabedarf reduzieren [Gutwald et al., 2019].
Im vorliegenden Fallbeispiel sollten die unteren Weisheitszähne aufgrund der perikoronaren Aufhellung, der mesialen Kippung mit Risiko der Schädigung der zweiten Molaren und des Engstands entfernt werden. Eine kieferorthopädische Einstellung ist nicht möglich und eine regelrechte Einstellung in die Zahnreihe nicht zu erwarten. Im Oberkiefer besteht ebenfalls ein Engstand, der insbesondere durch die Doppelanlage 19 verschlechtert werden könnte. Zudem besteht auf beiden Seiten eine enge Lagebeziehung zur Wurzel der zweiten Molaren und dementsprechend ein Risiko der Resorption.
Die Indikation zur chirurgischen Entfernung in Intubationsnarkose wurde im Konsens mit dem Patienten und seinem Vater bei ausgedehntem Wundgebiet und der Gefahr der Verlagerung der Oberkiefer-Weisheitszähne in die Kieferhöhle sowie der Nervschädigung im Unterkiefer gestellt. Die verschiedenen Techniken wurden diskutiert und es wurde über die Alternativtechnik der Koronektomie im Fall des intraradikulären Nerv-Verlaufs Regio 48 aufgeklärt, wozu sich der Patient schließlich auch entschied. So wurden eine operative Entfernung der Zähne 18, 19a, 19b, 28, 29, 38 und eine Koronektomie 48 in Intubationsnarkose mit stationärem Aufenthalt bei ausgedehntem Wundgebiet, erwartbarer Eröffnung des Sinus maxillaris beidseits und einem Risiko des Nervschadens beidseits mit dem Patienten konsentiert und durchgeführt.
Durchführung der konventionellen Extraktion
Allgemein kann eine präemptive Analgesie in Form einer präoperativen Gabe von 400-600 mg Ibuprofen eine Stunde vor dem Eingriff verabreicht werden, was sich positiv auf das Schmerzempfinden und den Bedarf postoperativ auswirken kann [Gutwald et al., 2019]. Zu Beginn des Eingriffs kann eine Lokalanästhesie durchgeführt werden. Bei dieser kommen entweder eine Oberflächenanästhesie, eine Infiltrationsanästhesie, eine Leitungsanästhesie (N. alveolaris inferior im Unterkiefer, N. palatinus major im Oberkiefer) oder eine intraligamentäre Anästhesie zum Einsatz (Abbildung 6) [Daubländer et al., 2016].
Da es aber in 20 bis 25 Prozent der Fälle zu Misserfolgen bei der Durchführung der Leitungsanästhesie des N. alveolaris inferior kommt, hat sich die sogenannte Gow-Gates-Technik als „hohe Leitung“ in den vergangenen Jahren mehr etabliert – deren Erfolgsrate liegt bei 95 Prozent. Dabei werden zusätzlich der N. lingualis, der N. mylohyoideus, der N. auriculotemporalis und der N. buccalis betäubt [Daubländer et al., 2016; Reed et al., 2012].
Zur Entfernung der unteren Weisheitszähne wird im Unterkiefer zunächst der aufsteigende Ast im Bereich der Linea obliqua palpiert. Verwendet man eine Pinzette zur Markierung (Abbildung 7), erfolgt die Schnittführung von dieser im senkrechten Winkel zum Knochen distal auf den zweiten Molaren zu, weiter im PA-Spalt bis mesial des zweiten Molaren. Liegt der Zahn tief verlagert oder anguliert, sollte man zur besseren Übersicht einen größeren Entlastungsschnitt unter Schutz des N. mentalis wählen.
Zur Bildung eines Mukoperiostlappens wird die Gingiva anschließend vorsichtig mithilfe eines Raspatoriums präpariert. Falls nötig kann eine kaustische Blutstillung durchgeführt werden. Neben Horizontallappen (Envelope-Lappen) können auch trianguläre beziehungsweise Dreiecklappen angelegt werden.
Nach Freilegung des Knochens kann ein Wundhaken nach Langenbeck eingesetzt werden sowie ein Bohr-Raspatorium zum Schutz des N. lingualis subperiostal lingual [Gutwald et al., 2019]. Unter Verwendung eines rotierenden Instruments (Kugel- und Lindemann-Fräse) oder Piezochirurgie wird der Knochen im Bereich der Zahnkrone abgetragen und diese freigelegt (Abbildung 8). Danach kann der Weisheitszahn vorsichtig mithilfe eines Bein‘schen Hebels anluxiert oder, falls dies noch nicht gelingt, mittels einer Lindemann-Fräse geteilt werden. Dabei wird am größten Kronendurchmesser die Krone mit der Fräse abgetrennt und die Wurzel anschließend separat entfernt (Abbildungen 9 und 10) [Gutwald et al., 2019; Schwenzer, 2019].
Anschließend erfolgt die sorgfältige Kürettage unter Schutz des am Boden der Extraktionsalveole liegenden Canalis mandibularis, die Entfernung von Granulationsgewebe sowie des Follikelepithels. Die Wurzelspitze sollte auf Vollständigkeit überprüft werden, um eine Wurzelfraktur auszuschließen (Abbildung 11).
Danach werden Knochenkanten geglättet und das Wundgebiet wird per Spülung sorgfältig gereinigt. Die Blutstillung kann mittels Kaustik oder Kompression durchgeführt werden [Gutwald et al., 2019]; Um die Wundheilung zu verbessern, kann man sich die Einlage von Hämostyptika oder autologen Thrombozytenkonzentraten zunutze machen [Vitenson et al., 2022].
Sollten bei der operativen Zahnentfernung Zahnanteile im Bereich des Nervens verblieben sein und deren Entfernung mit einem hohem Schädigungsrisiko des Nervs einhergehen, können diese laut Leitlinie in Einzelfällen – auch bei der regulären Zahnentfernung – zur Vermeidung schwerwiegender operationsbedingter Komplikationen (Nervläsionen oder unverhältnismäßige Knochendefekte) belassen werden [DGMKG, 2019].
Zur Entfernung der Weisheitszähne im Oberkiefer wird zunächst der Kopf des Patienten etwas überstreckt, um eine bessere Übersicht zu erlangen. Bei der Bildung des Mukoperiostlappens geht man ähnlich vor wie im Unterkiefer: Die Schnittführung erfolgt distal entlang des Tubers auf den zweiten Oberkiefermolaren zu, dann marginal weiter bis mesial des zweiten Oberkiefermolaren [Gutwald et al., 2019; Schwenzer, 2019] (Abbildung 13).
Nach Darstellung des Knochens kann der Weisheitszahn meist schon mit dem Hebel anluxiert oder mittels rotierendem Instrument freigelegt werden. Dabei muss möglichst oberhalb des Zahnäquators angesetzt werden, sonst kann der Zahn in die Kieferhöhle oder in das umliegende Weichgewebe luxieren. Anschließend erfolgen die Kürettage, die Entfernung des Zahnsäckchens, der Knochenkanten und des Granulationsgewebes sowie die Prüfung einer Mund-Antrum-Verbindung (MAV) mittels Bowman-Sonde. Bei positiver Testung erfolgt die plastische Deckung mittels Mukoperiostlappen oder bei ausgedehnteren Defekten mittels Bichat-Fettpfropf (Abbildungen 14 und 15) [Gutwald et al., 2019; Schwenzer, 2019].
Sowohl im Unter- als auch im Oberkiefer wird letztlich ein primärer, adaptierender Wundverschluss durchgeführt (Abbildungen 12 und 15) mit Einzelknopfnähten entlang der Schnittführung, mit Beginn an der mesialen Entlastung. Dabei wird das Nahtmaterial in monofil und polyfil, synthetisch und natürlich, resorbierbar und nicht-resorbierbar, beschichtet und unbeschichtet eingeteilt [Faris et al., 2022; Minozzi et al., 2009].
Zum Wundverschluss eignen sich nicht resorbierbare, monofile, synthetische Nähte aus Polyglycolid sowie Polypropylen, da diese weniger Gewebereaktionen und mikrobielle Akkumulation hervorrufen und sich positiv auf die Wundheilung auswirken. Negativ wirken sich Seide-Fäden aus, da sie Entzündungsreaktionen auslösen und eine Affinität zur mikrobiellen Adhärenz zeigen [Dragovic et al., 2020; Faris et al., 2022].
Bei asymptomatischen, impaktierten Weisheitszähnen muss keine Drainage eingelegt werden. Bei teilretinierten Zähnen, bei denen auch nach der Entfernung ein Risiko der Wundinfektion besteht, kann jedoch eine Drainage zum Abfluss von Wundsekret eingelegt werden [Gutwald et al., 2019; Petronis et al., 2020].
Die Koronektomie als Alternative
Im röntgenologischen Fallbeispiel wurde die Koronektomie bereits als Alternativtherapie bei sehr enger Lagebeziehung zum N. alveolaris inferior erwähnt. Bei dem dargestellten intraradikulären Verlauf des Nervs in Regio 48 wächst die Gefahr einer Nervschädigung im Zuge der konventionellen Extraktion. Um dieses Risiko zu vermeiden, wurde im Konsens mit dem Patienten die Option der Koronektomie gewählt. Diese Technik bezeichnet die selektive Entfernung der Krone mit dem gesamten Schmelzanteil bei gleichzeitigem Belassen der Wurzeln in situ, ohne direkt oder indirekt den Nerv zu schädigen und dabei dauerhafte Sensibilitätsstörungen zu vermeiden.
Die Koronektomie wurde bereits 1989 als Alternativtherapie zur nervnahen Weisheitszahnentfernung durch Knutsson et al. beschrieben, geriet dann etwas in Vergessenheit und erlebt aktuell eine Art Renaissance [Knutsson et al., 1989; Wolf & Renton, 2016]. Sie stellt eine geeignete, von der Leitlinie zur operativen Weisheitszahnentfernung unterstützte Therapieoption zum Schutz des N. alveolaris inferior bei enger Lagebeziehung zu retinierten oder impaktierten Zähnen dar [DGMKG, 2019; Brauer et al., 2015].
Beachtet werden muss dabei, dass die Methodik nur in Ausnahmefällen – wie im vorgestellten Fallbeispiel – bei hohem Risiko einer Nervschädigung und nur nach ausführlicher Aufklärung des Patienten angewandt werden sollte. Da die Koronektomie die klassische Weisheitszahnentfernung nicht ersetzen sollte, muss die Indikation streng gestellt werden. Denn langzeitige Folgen des zurückgelassenen Wurzelblocks im Hinblick auf eine mögliche spätere Bestrahlung, eine antiresorptive Behandlung oder eine therapeutische Immunsuppression über einen Zeitraum von fünf Jahren hinaus sind bislang nur unzureichend untersucht [DGMKG, 2019].
Kontraindikationen stellen tief kariös zerstörte Weisheitszähne, periapikale Pathologien, systemische Erkrankungen, Immunsuppression, eine Antiresorptiva-Therapie und eine horizontale Verlagerung dar [Hatano et al., 2009; Wolf & Renton, 2016]. Postoperative Komplikationen werden ähnlich zur klassischen Zahnextraktion eingeschätzt [Leung & Cheung, 2009]. Die Inzidenz von Alveolitis und Sensibilitätsstörungen wird nach einer Koronektomie jedoch als geringer als nach der konventionellen Weisheitszahnentfernung bewertet [Cervera-Espert et al., 2016]. Eines der Hauptrisiken besteht in der Migration des Wurzelblocks, die in den ersten zwölf Monaten häufig ist und dessen Entfernung einen Zweiteingriff notwendig macht. Um die Migration rechtzeitig zu erkennen, eignen sich radiologische Verlaufskontrollen [Renton, 2012; Wolf & Renton, 2016].
Die Vorgehensweise ähnelt der konventionellen Weisheitszahnentfernung im Unterkiefer. Zunächst wird ein Mukoperiostlappen gebildet und die Zahnkrone freigelegt. An der größten Zirkumferenz wird diese mittels Lindemann-Fräse unter ständiger Wasserkühlung und anschließend mithilfe eines Bein´schen Hebels abgetrennt. Dabei sollte der Wurzelblock nicht anluxiert werden, da er sonst aufgrund eines erhöhten Infektionsrisikos entfernt werden muss. Alle Schmelzanteile werden entfernt, der verbleibende Wurzelblock und die Knochenkanten geglättet (Abbildung 16). Auf eine weitere Behandlung der Wurzelpulpen kann verzichtet werden [Wolf & Renton, 2016].
Nach ausgiebiger Kürettage, der Entfernung von Granulationsgewebe und Spülung erfolgt der Wundverschluss wie bereits beschrieben. Zur Kontrolle kann eine postoperative zweidimensionale Bildgebung durchgeführt werden (Abbildung 17), auch um zu beurteilen, ob alle Schmelzanteile der Zahnkrone entfernt wurden.
Piezochirurgie
Eine weitere Option, die ebenfalls Eingang in die Leitlinie gefunden hat, ist die Piezo-Osteotomie. Sie wird bei gefährdeten Nachbarstrukturen oder als Ergänzung zur konventionellen Osteotomie angewandt. Dabei wird ein präziser und selektiver Schnitt gewährleistet und ein ähnlicher Knochenabtrag erzielt, ohne dabei das umliegende Weichgewebe zu verletzen. Die postoperative Schwellung und die Mundöffnungseinschränkung sowie der Bedarf an Analgesie zeigten sich im Vergleich zur konventionellen Technik überlegen [DGMKG, 2019; Gutwald et al., 2019; Hamza et al., 2023].
Nachsorgekonzept
Zur Blutstillung können postoperativ Tupfer eingelegt werden, um die Wunde zu komprimieren [DGZMK, 2019]. Als bedarfsgerechte Analgesie eignen sich Schmerzschemata mit nicht-steroidalen Antiphlogistika (NSAR) wie Ibuprofen (max. 2.400 mg pro Tag) oder Paracetamol (max. 2.000 mg pro Tag). Kombinationen aus 200–600 mg Ibuprofen alle 6 h mit 500–1.000 Paracetamol alle 6 h sowie Ibuprofen mit Metamizol 0,5–1 g alle 6 h wirken sich positiv aus [Cho et al., 2017; Schneider et al., 2022].
Empfohlen werden weiche Kost, feucht-kalte Umschläge, körperliche Schonung, eine Kopf-Hochlagerung, Nikotin- und Alkoholkarenz sowie eine regelmäßige Mundhygiene [DGZMK, 2019]. Bei positiver Mund-Antrum-Verbindung (MAV) sollten die Patienten ein Schnäuzverbot einhalten, es wird zur Einnahme von abschwellenden Nasentropfen geraten und in diesem Fall zur antibiotischen Abschirmung. Die Kontrolle und Vorstellung zur Fadenentfernung erfolgt zwischen dem siebten und dem zehnten postoperativen Tag [Schwenzer, 2019].
Fazit
Die operative Entfernung von Weisheitszähnen stellt für den Behandler eine individuelle Herausforderung mit unterschiedlichen Schwierigkeitsgraden dar. Die verschiedenen Techniken von der Diagnostik über die Planung, die operative Durchführung bis zur Nachsorge müssen individuell auf den Patienten abgestimmt und gemeinsam mit ihm abgewogen werden.
Literaturliste
(ARö), Arbeitsgemeinschaft für Röntgenologie in der Deutschen Gesellschaft für Zahn-, Mund- und Kieferheilkunde (DGZMK) (2022). S2k-Leitlinie Dentale digitale Volumentomographie. Retrieved from register.awmf.org/de/leitlinien/detail/083-005.
Baensch, F., Kriwalsky, M. S., Kleffmann, W., & Kunkel, M. (2017). Third Molar Complications in the Elderly-A Matched-Pairs Analysis. J Oral Maxillofac Surg, 75(4), 680-686. doi:10.1016/j.joms.2016.11.021.
Bailey, E., Kashbour, W., Shah, N., Worthington, H. V., Renton, T. F., & Coulthard, P. (2020). Surgical techniques for the removal of mandibular wisdom teeth. Cochrane Database Syst Rev, 7(7), Cd004345. doi:10.1002/14651858.CD004345.pub3.
Blondeau, F., & Daniel, N. G. (2007). Extraction of impacted mandibular third molars: postoperative complications and their risk factors. J Can Dent Assoc, 73(4), 325.
Brauer, H., Green, R., Arnold, J., Wilson, D., & Pynn, B. (2015). Koronektomie (intentionelle chirurgische Teilentfernung unterer Weisheitszähne) – Ein Update. ZWR - Das Deutsche Zahnärzteblatt, 124, 458-461. doi:10.1055/s-0035-1564189.
Bui, C. H., Seldin, E. B., & Dodson, T. B. (2003). Types, frequencies, and risk factors for complications after third molar extraction. J Oral Maxillofac Surg, 61(12), 1379-1389. doi:10.1016/j.joms.2003.04.001.
Cervera-Espert, J., Pérez-Martínez, S., Cervera-Ballester, J., Peñarrocha-Oltra, D., & Peñarrocha-Diago, M. (2016). Coronectomy of impacted mandibular third molars: A meta-analysis and systematic review of the literature. Med Oral Patol Oral Cir Bucal, 21(4), e505-513. doi:10.4317/medoral.21074.
Cho, H., Lynham, A. J., & Hsu, E. (2017). Postoperative interventions to reduce inflammatory complications after third molar surgery: review of the current evidence. Aust Dent J, 62(4), 412-419. doi:10.1111/adj.12526.
Chuang, S. K., Perrott, D. H., Susarla, S. M., & Dodson, T. B. (2007). Age as a risk factor for third molar surgery complications. J Oral Maxillofac Surg, 65(9), 1685-1692. doi:10.1016/j.joms.2007.04.019.
Daubländer, M., Kämmerer, P. W., & Mouratidou, A. (2016). Lokalanästhesie in der Zahnmedizin forum-med-dent. Berlin.
Daubländer M, K. P., Liebaug F. (2016). Ein praxisnaher Leitfaden: Differenzierte Lokalanästhesie Retrieved from www.dentalmagazin.de/praxiszahnmedizin/vermischts/differenzierte-lokalanaesthesie/.
DGMKG. Deutsche Gesellschaft für Mund-, Kiefer- und Gesichtschirurgie: S3-Leitlinie „operative Entfernung von Weisheitszähnen“ Langversion Retrieved from www.awmf.org/uploads/tx_szleitlinien/007-003l_S2k_Weisheitszahnentfernung_2019-08.pdf.
DGZMK. Deutsche Gesellschaft für Zahn-, Mund- und Kieferheilkunde: Verhaltensregeln nach operativen Eingriffen im Mund- und Kieferbereich Retrieved from www.dgzmk.de/documents/10165/3503862/Verhaltensregeln_nach_operativen_Eingriffenim_Mund-_und_Kieferbereich.pdf/2a415cd3-2dab-4e98-83dd-89b4cdc8abf8.
Dragovic, M., Pejovic, M., Stepic, J., Colic, S., Dozic, B., Dragovic, S., . . . Milicic, B. (2020). Comparison of four different suture materials in respect to oral wound healing, microbial colonization, tissue reaction and clinical features-randomized clinical study. Clin Oral Investig, 24(4), 1527-1541. doi:10.1007/s00784-019-03034-4.
Faris, A., Khalid, L., Hashim, M., Yaghi, S., Magde, T., Bouresly, W., . . . Al-Rawi, N. (2022). Characteristics of Suture Materials Used in Oral Surgery: Systematic Review. Int Dent J, 72(3), 278-287. doi:10.1016/j.identj.2022.02.005.
Fernandes, M. J., Ogden, G. R., Pitts, N. B., Ogston, S. A., & Ruta, D. A. (2010). Actuarial life-table analysis of lower impacted wisdom teeth in general dental practice. Community Dent Oral Epidemiol, 38(1), 58-67. doi:10.1111/j.1600-0528.2009.00501.x.
Ghaeminia, H., Perry, J., Nienhuijs, M. E., Toedtling, V., Tummers, M., Hoppenreijs, T. J., . . . Mettes, T. G. (2016). Surgical removal versus retention for the management of asymptomatic disease-free impacted wisdom teeth. Cochrane Database Syst Rev(8), Cd003879. doi:10.1002/14651858.CD003879.pub4.
Gutwald, R., Gellrich, N.-C., & Schmelzeisen, R. (2019). Zahnärztliche Chirurgie und Implantologie 3. A. : Für Studium, Examen und Beruf (3. überarbeitete und erweiterte Ausgabe ed.). Köln.
Hamza, S. P., Aslam, S., Roshni, A., Cherian, M. P., Soman, S., & Akhila, K. (2023). Conventional Rotary Technique and Piezosurgical Technique in the Removal of Impacted Mandibular Third Molar: A Comparative Study. J Contemp Dent Pract, 24(2), 97-102. doi:10.5005/jp-journals-10024-3469.
Hatano, Y., Kurita, K., Kuroiwa, Y., Yuasa, H., & Ariji, E. (2009). Clinical evaluations of coronectomy (intentional partial odontectomy) for mandibular third molars using dental computed tomography: a case-control study. J Oral Maxillofac Surg, 67(9), 1806-1814. doi:10.1016/j.joms.2009.04.018.
Knutsson, K., Lysell, L., & Rohlin, M. (1989). Postoperative status after partial removal of the mandibular third molar. Swed Dent J, 13(1-2), 15-22.
Kruger, E., Thomson, W. M., & Konthasinghe, P. (2001). Third molar outcomes from age 18 to 26: findings from a population-based New Zealand longitudinal study. Oral Surg Oral Med Oral Pathol Oral Radiol Endod, 92(2), 150-155. doi:10.1067/moe.2001.115461.
Leung, Y. Y., & Cheung, L. K. (2009). Safety of coronectomy versus excision of wisdom teeth: a randomized controlled trial. Oral Surg Oral Med Oral Pathol Oral Radiol Endod, 108(6), 821-827. doi:10.1016/j.tripleo.2009.07.004.
Leung, Y. Y., & Cheung, L. K. (2011). Risk factors of neurosensory deficits in lower third molar surgery: an literature review of prospective studies. Int J Oral Maxillofac Surg, 40(1), 1-10. doi:10.1016/j.ijom.2010.09.005.
Lim, A. A., Wong, C. W., & Allen, J. C., Jr. (2012). Maxillary third molar: patterns of impaction and their relation to oroantral perforation. J Oral Maxillofac Surg, 70(5), 1035-1039. doi:10.1016/j.joms.2012.01.032.
Marcussen, K. B., Laulund, A. S., Jørgensen, H. L., & Pinholt, E. M. (2016). A Systematic Review on Effect of Single-Dose Preoperative Antibiotics at Surgical Osteotomy Extraction of Lower Third Molars. J Oral Maxillofac Surg, 74(4), 693-703. doi:10.1016/j.joms.2015.11.017.
Matzen, L. H., Schropp, L., Spin-Neto, R., & Wenzel, A. (2017). Radiographic signs of pathology determining removal of an impacted mandibular third molar assessed in a panoramic image or CBCT. Dentomaxillofac Radiol, 46(1), 20160330. doi:10.1259/dmfr.20160330.
McGrath, C., Comfort, M. B., Lo, E. C., & Luo, Y. (2003). Changes in life quality following third molar surgery--the immediate postoperative period. Br Dent J, 194(5), 265-268; discussion 261. doi:10.1038/sj.bdj.4809930.
Minozzi, F., Bollero, P., Unfer, V., Dolci, A., & Galli, M. (2009). The sutures in dentistry. Eur Rev Med Pharmacol Sci, 13(3), 217-226..
Petronis, Ž., Zigmantavičius, J., & Gervickas, A. (2020). Various wound closure ways after impacted lower wisdom teeth removal: A review. Stomatologija, 22(4), 107-115.
Ramos, E., Santamaría, J., Santamaría, G., Barbier, L., & Arteagoitia, I. (2016). Do systemic antibiotics prevent dry socket and infection after third molar extraction? A systematic review and meta-analysis. Oral Surg Oral Med Oral Pathol Oral Radiol, 122(4), 403-425. doi:10.1016/j.oooo.2016.04.016.
Reed, K. L., Malamed, S. F., & Fonner, A. M. (2012). Local anesthesia part 2: technical considerations. Anesth Prog, 59(3), 127-136; quiz 137. doi:10.2344/0003-3006-59.3.127
Renton, T. (2012). Notes on coronectomy. Br Dent J, 212(7), 323-326. doi:10.1038/sj.bdj.2012.265.
Rood, J. P., & Nooraldeen Shehab, B. A. A. (1990). The radiological prediction of inferior alveolar nerve injury during third molar surgery. British Journal of Oral and Maxillofacial Surgery, 28(1), 20-25. doi:https://doi.org/10.1016/0266-4356(90)90005-6.
Schneider, T., Mauermann, E., Ilgenstein, B., Jaquiery, C., & Ruppen, W. (2022). Analgesic benefit of metamizole and ibuprofen vs. either medication alone: a randomized clinical trial. Minerva Anestesiol, 88(6), 448-456. doi:10.23736/s0375-9393.22.16346-7.
Schwenzer, N. (2019). Zahnärztliche Chirurgie (5., unveränderte Auflage ed.). Stuttgart.
Simşek-Kaya, G., Özbek, E., Kalkan, Y., Yapici, G., Dayi, E., & Demirci, T. (2011). Soft tissue pathosis associated with asymptomatic impacted lower third molars. Med Oral Patol Oral Cir Bucal, 16(7), e929-936. doi:10.4317/medoral.17128.
Sisk, A. L., Hammer, W. B., Shelton, D. W., & Joy, E. D., Jr. (1986). Complications following removal of impacted third molars: the role of the experience of the surgeon. J Oral Maxillofac Surg, 44(11), 855-859. doi:10.1016/0278-2391(86)90221-1.
Steel, B. J., Surendran, K. S. B., Braithwaite, C., Mehta, D., & Keith, D. J. W. (2022). Current thinking in lower third molar surgery. British Journal of Oral and Maxillofacial Surgery, 60(3), 257-265. doi:https://doi.org/10.1016/j.bjoms.2021.06.016.
Vitenson, J., Starch-Jensen, T., Bruun, N. H., & Larsen, M. K. (2022). The use of advanced platelet-rich fibrin after surgical removal of mandibular third molars: a systematic review and meta-analysis. Int J Oral Maxillofac Surg, 51(7), 962-974. doi:10.1016/j.ijom.2021.11.014.
Voegelin, T. C., Suter, V. G., & Bornstein, M. M. (2008). [Complications during and after surgical removal of mandibular third molars. Impact of patient related and anatomical factors]. Schweiz Monatsschr Zahnmed, 118(3), 192-198.
Wang, D., He, X., Wang, Y., Li, Z., Zhu, Y., Sun, C., . . . Cheng, J. (2017). External root resorption of the second molar associated with mesially and horizontally impacted mandibular third molar: evidence from cone beam computed tomography. Clin Oral Investig, 21(4), 1335-1342. doi:10.1007/s00784-016-1888-y.
Wolf, D., & Renton, T. (2016). Die Koronektomie als Alternativtherapie Swiss Dent J, 126(12), 1147-1159.
Yildirim, G., Ataoğlu, H., Mihmanli, A., Kiziloğlu, D., & Avunduk, M. C. (2008). Pathologic changes in soft tissues associated with asymptomatic impacted third molars. Oral Surg Oral Med Oral Pathol Oral Radiol Endod, 106(1), 14-18. doi:10.1016/j.tripleo.2007.11.021.











































