Spülunfall im Oberkiefer mit ausgedehnter Kolliquationsnekrose und Zahnverlust
Eine 23-jährige Patientin stellte sich notfallmäßig in unserer Ambulanz mit starken Schmerzen im Oberkiefer rechts vor. Vier Tage zuvor war eine Wurzelkanalbehandlung mit Wurzelkanalspülung am Zahn 15 begonnen worden. Anschließend sei der Zahn provisorisch verschlossen worden. Eine deutliche Schmerzsymptomatik sei bereits direkt nach der Behandlung aufgetreten und habe über die nächsten Tage persistiert.
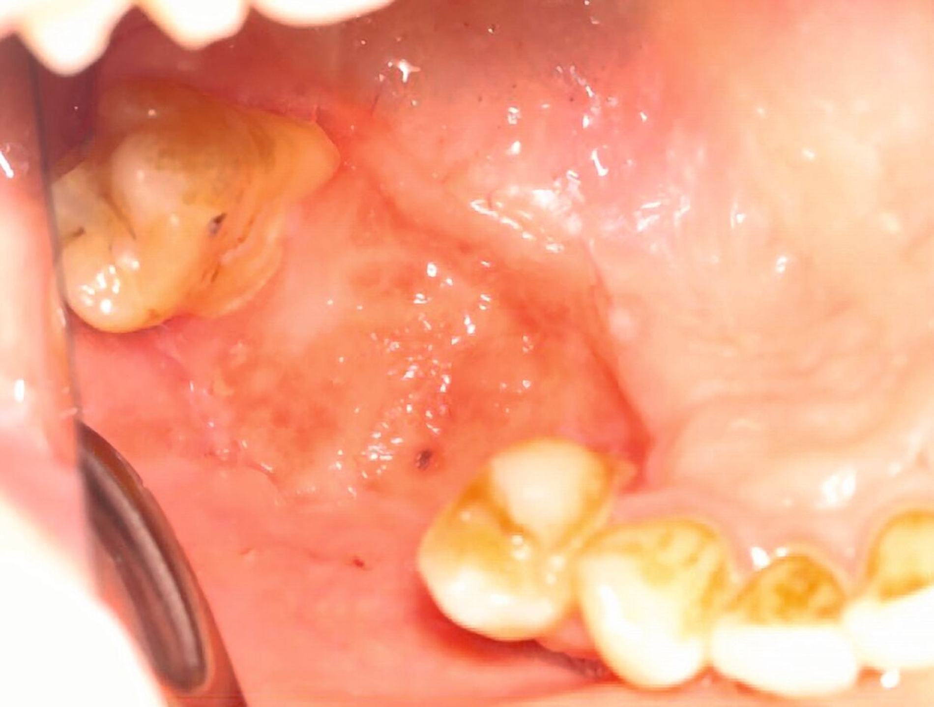
Die klinische Untersuchung zeigte eine ausgeprägte nekroische Schleimhaut palatinal und vestibulär regio 15 bis 17, einen stark gelockerten Zahn 15 sowie einen intensiven Foetor ex ore bei einer auf 2,5 cm eingeschränkten Mundöffnung (Abbildung 1).
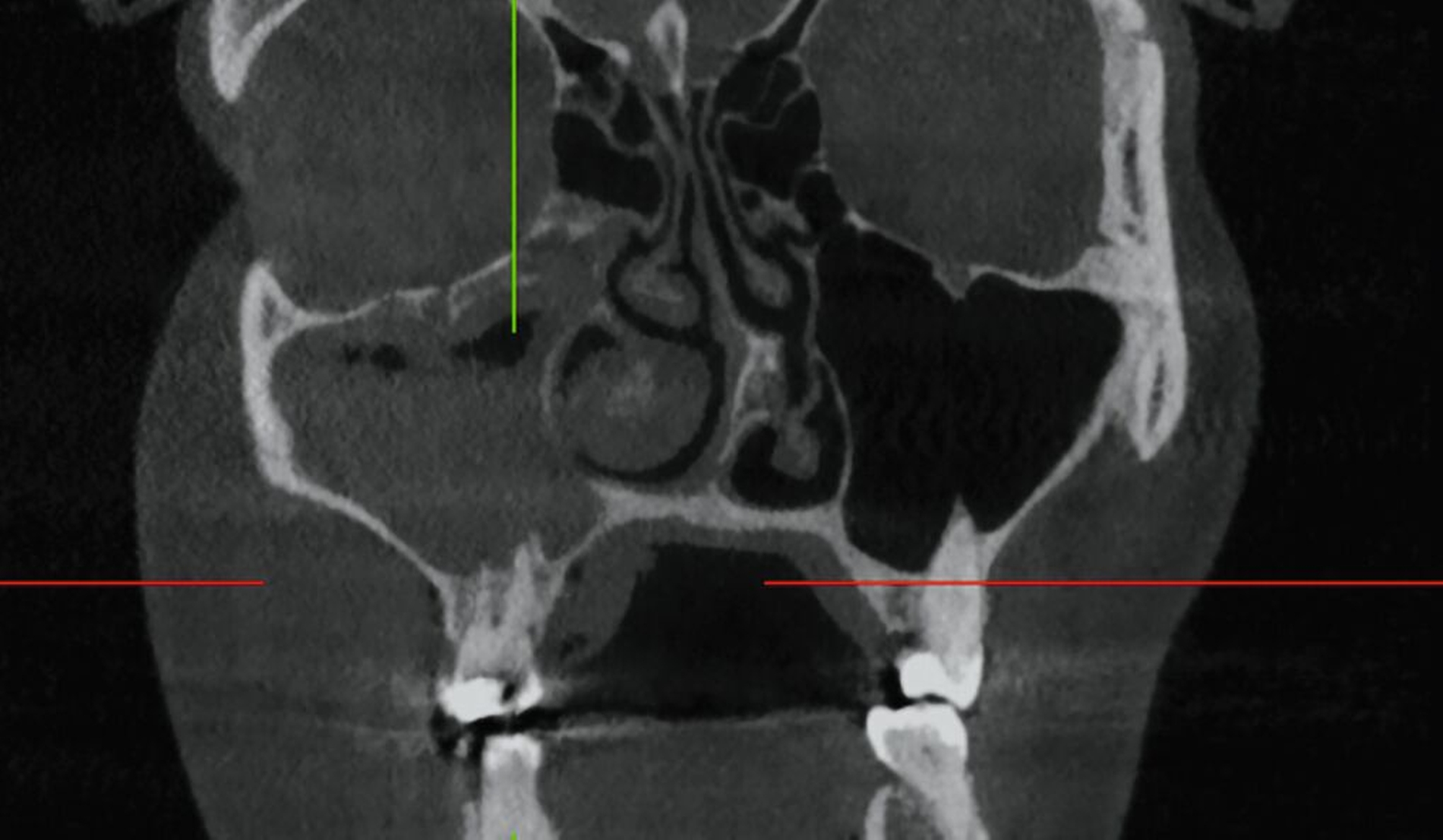
Das DVT zeigte eine Spiegelbildung im rechten Sinus maxillaris, jedoch keinen stark auffälligen knöchernen Befund (Abbildung 2). Die Patientin wurde zu intravenöser Antibiose, Analgesie und Ernährung über eine nasogastrale Sonde stationär aufgenommen. Im Verlauf wurde eine Verbandsplatte per Intraoralscan angefertigt und eine Operation zur Nekrosektomie und Wundanfrischung geplant. Zum Zeitpunkt des operativen Eingriffs hatten sich bereits Teile der vestibulären und der palatinalen Schleimhaut abgelöst. Nach Debridement zeigte sich ein großflächiges Areal mit freiliegendem Knochen. Der Zahn 15 wurde bei Lockerungsgrad III entfernt (Abbildung 3).
Anschließend wurde eine Therapie zur Stimulation der Granulationsbildung begonnen. Dabei wurden regelmäßige Verbandswechsel mit Glukose-Lösungen und getränkten Alginatvliesen durchgeführt und mit einer Verbandsplatte geschützt. Im Verlauf zeigte sich eine dezente Tendenz zur Gewebeneubildung an den palatinalen Rändern. Eine vollständige restitutio ad integrum blieb jedoch aus und der freiliegende Knochen regio 15 bis 17 persistierte mit einer zunehmenden Lockerung des Zahnes 16.
Es folgten ausführliche Gespräche mit der Patientin über die weiteren Behandlungsoptionen. Zum einen bestand die Möglichkeit einer Dekortikation, also der operativen Abtragung von nekrotischem Knochen – allerdings mit dem Risiko, einen größeren Defekt von Knochen und Schleimhaut zu provozieren, weshalb mit hoher Wahrscheinlichkeit ein anschließender Gewebeersatz durch eine Lappenplastik notwendig geworden wäre. Im Rahmen der Rekonstruktion wären eine lokale Schleimhaut- oder Hautverschiebung sowie eine Hauttransplantation mit einem Fernlappen zu erwägen gewesen.
Zum anderen bot sich ein konservatives, abwartendes Verhalten bis zur Abgrenzung (Demarkierung) der Nekrose an. Bei dieser Option war die Absicht, eine weichgewebige Regeneration von der Kieferhöhle ausgehend abzuwarten, um einen operativen Weichgewebsersatz zu vermeiden. Die Patientin entschied sich zu diesem Zeitpunkt für ein konservatives Vorgehen.
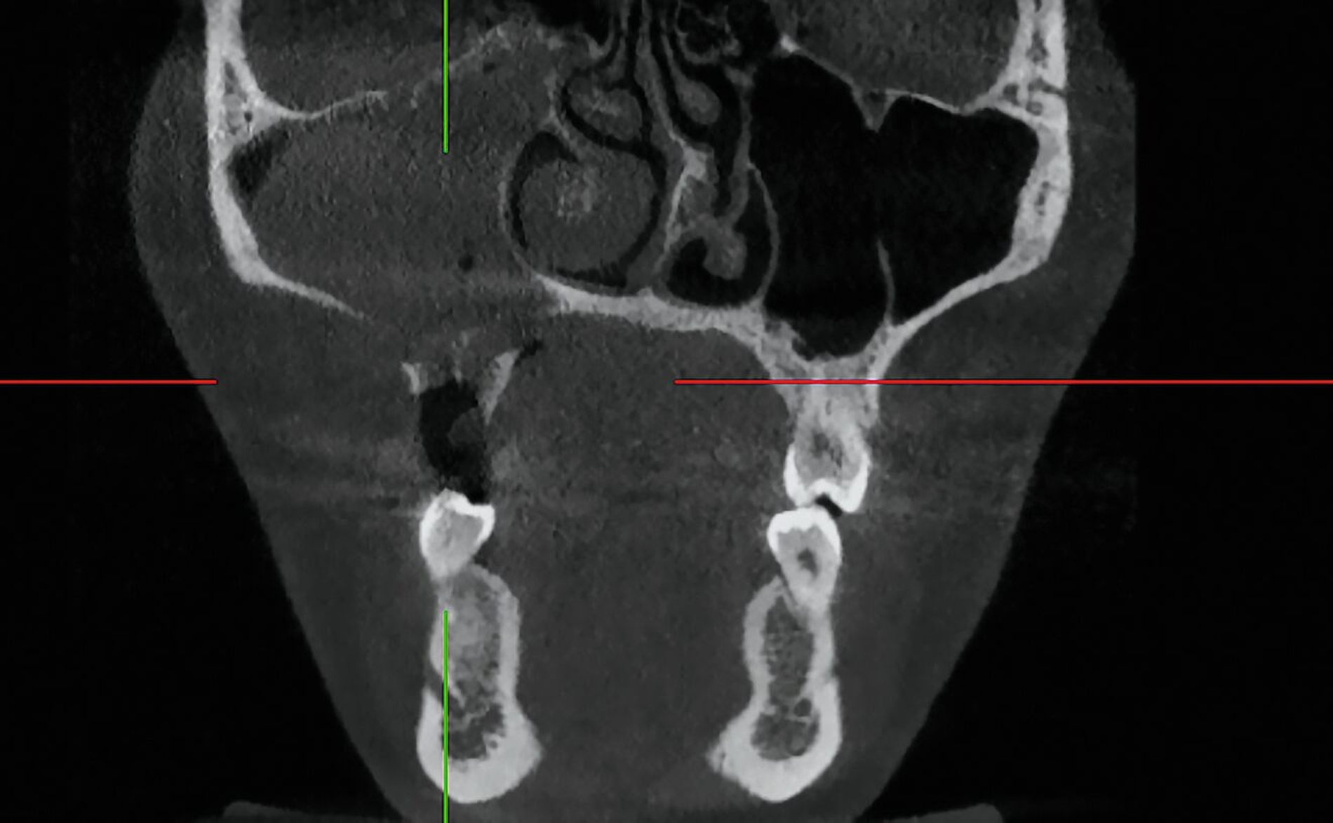
Im Verlauf der nächsten vier Wochen zeigte sich keine weitere weichgewebige Granulation (Abbildung 4). Vier Monate nach dem Spülunfall grenzte sich in der DVT-Bildgebung ein Sequester regio 15/16 ab (Abbildung 5), weshalb die Patientin nun zur operativen Sequesterotomie vorbereitet wurde. Der Sequester ließ sich zusammen mit Zahn 16 im operativen Eingriff vollständig und komplikationslos entfernen (Abbildung 6).
Unter dem nekrotischen Knochen befand sich eine intakte Schleimhautschicht. Eine Mund-Antrum-Verbindung war nicht festzustellen. Die Schleimhaut wurde der natürlichen Wundheilung überlassen. In den regelmäßigen postoperativen Kontrollen zeigte sich eine reizlose, intakte Schleimhaut (Abbildung 7) sowie eine reduzierte, aber stabile Knochensituation (Abbildung 8).
Diskussion
Wurzelkanalbehandlungen sind täglich durchgeführte zahnärztliche Behandlungen, die dem Patienten helfen sollen, in einen schmerzfreien Alltag zurückzukehren. Der Gebrauch von Spüllösungen wie Natriumhypochlorid, Chlorhexidin und EDTA ist dabei ein relevanter Teil des Vorgehens. Jedoch müssen die korrekte und vorsichtige Aufbereitung der Kanäle sowie die Anwendung der Spüllösungen in der richtigen Konzentration immer wieder ins Gedächtnis gerufen werden, damit Spülunfälle wie diese – mit weitreichenden Komplikationen – vermieden werden.
Aufgrund der zytotoxischen Eigenschaften des Natriumhypochlorids kommt es zu einem Gewebezerfall, der im Rahmen der Wurzelkanalbehandlung infektiöses Material innerhalb des Wurzelkanals auflösen und abtragen soll [Ruksakiet et al., 2020]. Diese Wirkung entfaltet sich jedoch auch außerhalb des Wurzelkanals ungeachtet des Gewebes.
Aufgrund dieser Gewebe-erweichenden und teils toxischen Wirkung von Natriumhypochlorid als Lauge sollten ein Überpressen und ein Austreten ins benachbarte Gewebe in jedem Fall vermieden werden. Sonst kann es zu Kolliquationsnekrosen kommen. Gewebeschädigungen durch Spüllösungen sind keineswegs unbekannt, wenn auch selten, und werden im Zusammenhang mit einer Emphysementwicklung und Infektionen bis hin zu ausgeprägten Nekrosen beschrieben [Frohwitter et al., 2016, Shetty et al., 2020].
Aufgrund der anatomischen Nähe zwischen dem Apex des Zahnes 15 und der Kieferhöhle liegt in diesem Fall die Mutmaßung nahe, dass es nicht nur zu einem Austreten der Spüllösung in das umgebene Weichgewebe kam, sondern zusätzlich zu einer Ausbreitung über die Kieferhöhle, die zu einer großflächigen Nekrose des Knochens führte.
In der Behandlung eines solchen Vorfalls ist initial eine Spülung des Kanals mit NaCl zur Verdünnung des alkalischen NaOCl einzusetzen, um die Wirkung einzudämmen [Kanagasingam et al., 2020]. Neben einer antibiotischen Breitspektrum-Therapie und lokalen antiseptischen Maßnahmen ist eine Analgesie bei ausgeprägter Schmerzintensität einzuleiten [Frohwitter et al., 2016].
Bei der weiteren Behandlung des nekrotischen Areals sind verschiedene Ansätze gegeneinander abzuwägen. Die direkte Abtragung der Nekrose ist möglich, hätte hier jedoch mit Blick auf vergleichbare Fälle mit hoher Wahrscheinlichkeit zu einer ausgeprägten Mund-Antrum-Verbindung und einem großen Gewebedefekt geführt [Ortiz-Alves, 2022]. Durch das Abwarten der Demarkierung wird das Ausmaß der Kolliquationsnekrose sichtbar. In der Zwischenzeit kann durch Stimulation der Wundheilung eine Gewebeneubildung unterhalb der Nekrosezone induziert werden. Dadurch wird die schlussendliche Defektsituation minimiert. Dieses Vorgehen zahlte sich in diesem Fall aus und ersparte der Patientin eine ausgedehnte Rekonstruktion zum Weichgewebsersatz. Nach einer ausreichenden Ausheilungsphase werden nun der knöcherne Aufbau und eine Implantation zur dentalen Rehabilitation angestrebt.
Fazit für die Praxis
Der Einsatz von Spüllösungen zur Wurzelkanalbehandlung ist ein alltäglicher Vorgang. Nichtsdestotrotz sollte man sich das mögliche Ausmaß eines Spülunfalls immer wieder vor Augen führen, um die notwendige Sorgfalt walten zu lassen. Statt eines Zahnerhalts kann es durch solche Komplikationen für den Patienten zu langwierigen Folgebehandlungen, einer ausgeprägten Schmerzsymptomatik und psychischen Belastungen kommen.
Literaturliste
Koch, Jan, Spüllösungen in der Endodontie – Ein Überblick. DZW, 2013
Ruksakiet K, Hanák L, Farkas N, Hegyi P, Sadaeng W, Czumbel LM, Sang-Ngoen T, Garami A, Mikó A, Varga G, Lohinai Z. Antimicrobial Efficacy of Chlorhexidine and Sodium Hypochlorite in Root Canal Disinfection: A Systematic Review and Meta-analysis of Randomized Controlled Trials. J Endod. 2020 Aug;46(8):1032-1041.e7. doi: 10.1016/j.joen.2020.05.002. Epub 2020 May 12. PMID: 32413440.
Gesche Frohwitter, Marco Rainer Kesting, Thomas Mücke, Kolliquationsnekrose nach Spülzwischenfall, ZM, 2016
Shetty SR, Al-Bayati SAAF, Narayanan A, Hamed MS, Abdemagyd HAE, Shetty P. Sodium hypochlorite accidents in dentistry. A systematic review of published case reports. Stomatologija. 2020;22(1):17-22. PMID: 32706342.
Vivekananda Pai AR. Factors influencing the occurrence and progress of sodium hypochlorite accident: A narrative and update review. J Conserv Dent. 2023 Jan-Feb;26(1):3-11. doi: 10.4103/jcd.jcd_422_22. Epub 2022 Dec 8. PMID: 36908722; PMCID: PMC10003279.
Kanagasingam S, Blum IR. Sodium Hypochlorite Extrusion Accidents: Management and Medico-Legal Considerations. Prim Dent J. 2020 Dec;9(4):59-63. doi: 10.1177/2050168420963308. PMID: 33225856.
Ortiz-Alves T, Díaz-Sánchez R, Gutiérrez-Pérez JL, González-Martín M, Serrera-Figallo MÁ, Torres-Lagares D. Bone necrosis as a complication of sodium hypochlorite extrusion. A case report. J Clin Exp Dent. 2022 Oct 1;14(10):e885-e889. doi: 10.4317/jced.59862. PMID: 36320668; PMCID: PMC9617265.















