3-D-Druck in der Kieferorthopädie
Als finaler Teil der digitalen Fertigungskette ersetzt das 3-D-Druckverfahren in vielen Bereichen der Kieferorthopädie die konventionelle Fertigung und ermöglicht damit eine Vielzahl neuer Chancen. Insbesondere die Herstellung und die Planung von kieferorthopädischen Apparaturen profitiert von einem zunehmenden Angebot an 3-D-druckbaren Materialien mit unterschiedlichen mechanischen Eigenschaften, wodurch immer mehr kieferorthopädische Anwendungsbereiche in den Fokus rücken.
Vor diesem Hintergrund beschränkt sich der Einsatz des 3-D-Drucks in der Kieferorthopädie nicht auf innovative Forschungsansätze, sondern ist in vielen Fällen bereits Praxis im klinischen Alltag. Die Vorteile liegen allgemein in einer platzsparenden digitalen Archivierung sowie einem digitalen Datentransfer sowohl der Modelle als auch des Apparaturdesigns. Die Möglichkeiten einer unbegrenzten Replikation, einer in den meisten Fällen kostengünstigeren Herstellung sowie einer schnelleren Verfügbarkeit bieten sowohl Behandlern als auch Patienten weitere Vorteile. Zum Einsatz kommen dabei 3-D-Drucker, die eine praxisinterne Fertigung ermöglichen, oder Industriedrucker, die in Laboren hochindividuelle Designs umsetzen können. Im Folgenden werden einzelne Anwendungsfelder des 3-D-Drucks in der Kieferorthopädie vorgestellt.
Aligner
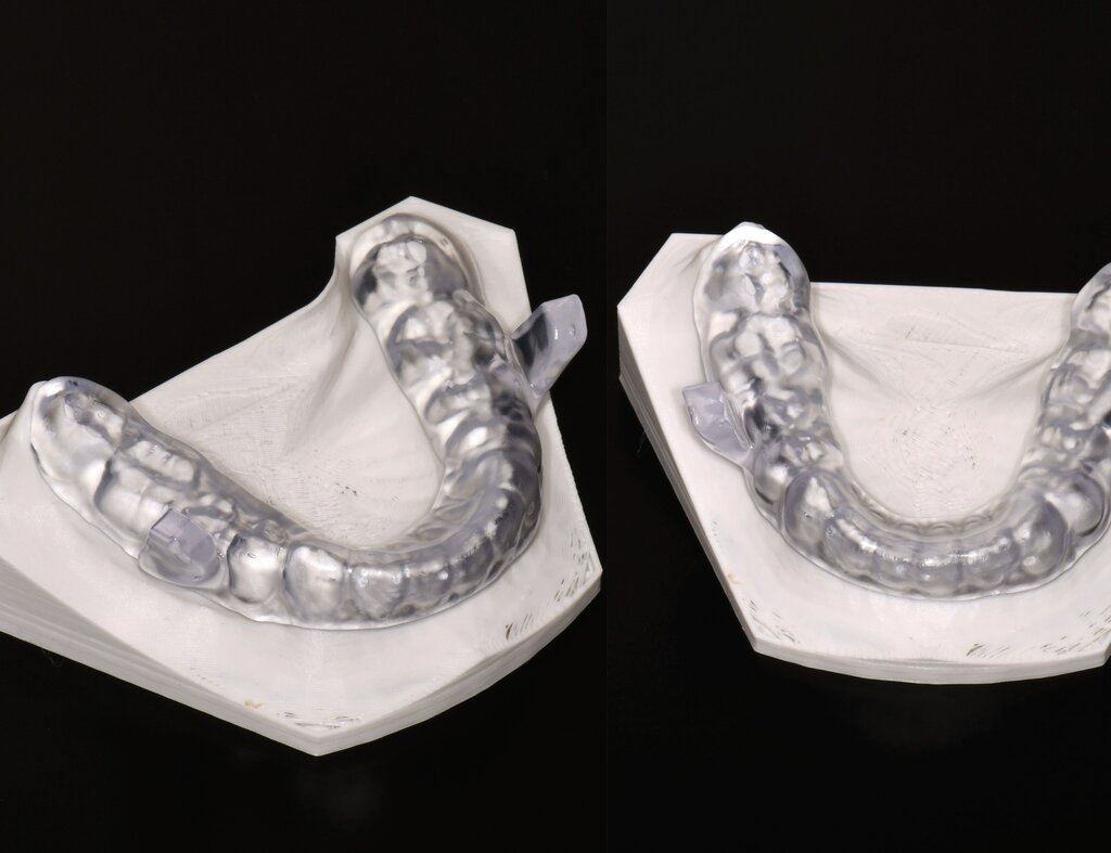
Unter den digital gefertigten kieferorthopädischen Apparaturen sind Aligner wohl das bekannteste Beispiel [Ercoli et al., 2014, Robertson et al., 2020]. Die Herstellung von Alignern selbst basiert(e) jedoch auf einer manuellen Fertigung anhand 3-D-gedruckter Modelle und stellt(e) somit bisher eher eine partiell automatisierte Fertigung dar. Die neuesten Entwicklungen erlauben mittlerweile eine Fertigung im direkten 3-D-Druckverfahren [Tartaglia et al., 2021], so dass mühsame, zeitaufwendige Zwischenschritte der manuellen Fertigung entfallen (Abbildung 1a). Weiter profitieren die Patienten von individuelleren Fertigungsmöglichkeiten, da durch die Umsetzung im 3-D-Druck zusätzliche Elemente einfacher und stabiler in den Aligner inkorporiert werden können (Abbildung 1b).
Multibracketapparatur
Als Alternative zu Alignern können auch Brackets mittlerweile im 3-D-Druckverfahren hergestellt werden [Sha et al., 2018; Sha et al., 2019; Bauer et al., 2023] (Abbildungen 2a und 2b). Neben der Nutzung des Angebots kommerzieller Anbieter (beispielsweise Lightforce Company) besteht dabei die Möglichkeit der Herstellung im praxisinternen 3-D-Drucker. Zum Einsatz eignen sich unter anderem Keramik-gefüllte 3-D-Druckkunststoffe der Biokompatibilitätsklasse IIa, die für einen langfristigen intraoralen Einsatz zertifiziert sind (zum Beispiel Permanent Crown Resin, Formlabs) [Papageorgiou et al., 2022; Bauer et al., 2023; Hodecker et al., 2023; Panayi, 2023].
Die Vorteile bestehen vordergründig in einem individualisierten Design, das die jeweiligen Therapieanforderungen berücksichtigt. Bisherige Forschungsarbeiten zeigen eine mit konventionellen Metallbrackets vergleichbare Präzision [Bauer et al., 2023], so dass eine korrekte Übertragung kieferorthopädischer Kräfte gewährleistet ist. Der Haftverbund zeigt sich gegenüber konventionellen Metallbrackets noch etwas schwächer [Hodecker et al., 2023]. Durch weitere Entwicklungen im Bereich der Bracketbasis dürfte diese Limitation jedoch adressiert werden können.
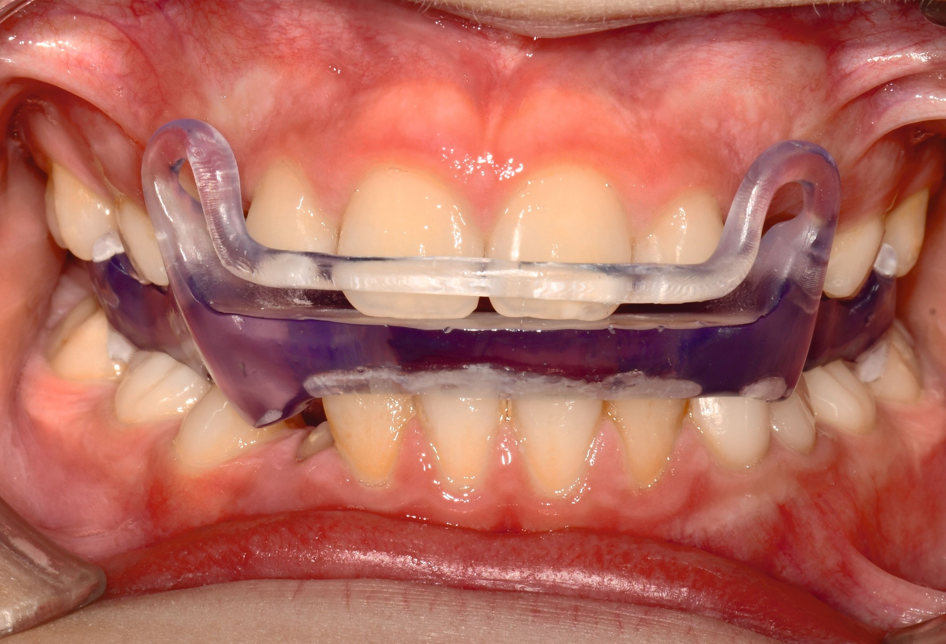
Auch die Herstellung zusätzlicher Elemente, wie beispielsweise Transpalatinalbögen aus Keramik-gefüllten 3-D-Druckkunststoffen, ist möglich (Abbildung 2c) [Thurzo et al., 2022], muss jedoch in großangelegten Studien noch auf eine ausreichende klinische Suffizienz untersucht werden. Weiter bieten 3-D-gedruckte Transferguides die Möglichkeit des „Indirekten Klebens“ [Deahl et al., 2007; Bozelli et al., 2013; Li et al., 2019; Sabbagh et al., 2022], wobei die Bracketpositionierung bereits vor dem Einsatz digital festgelegt und schließlich durch den Transferguide intraoral übertragen wird (Abbildung 2d). Neben einer verkürzten Stuhlzeit erlaubt dieses Verfahren eine besonders hohe Genauigkeit der Bracketpositionierung.
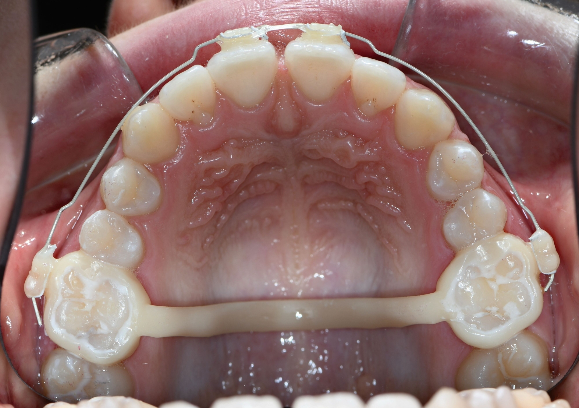
3-D-gedruckte Metallapparaturen
Die Gruppe der 3-D-gedruckten Metallapparaturen dürfte bisher am meisten vom 3-D-Druck profitiert haben. Regelhaft werden hierfür noch Cobalt-Chrom-basierte Materialien im Stereolithografie-Verfahren (SLM) verwendet. Aufgrund einer höheren Biokompatibilität nimmt der 3-D-Druck von Titan-basierten Materialien jedoch zu.
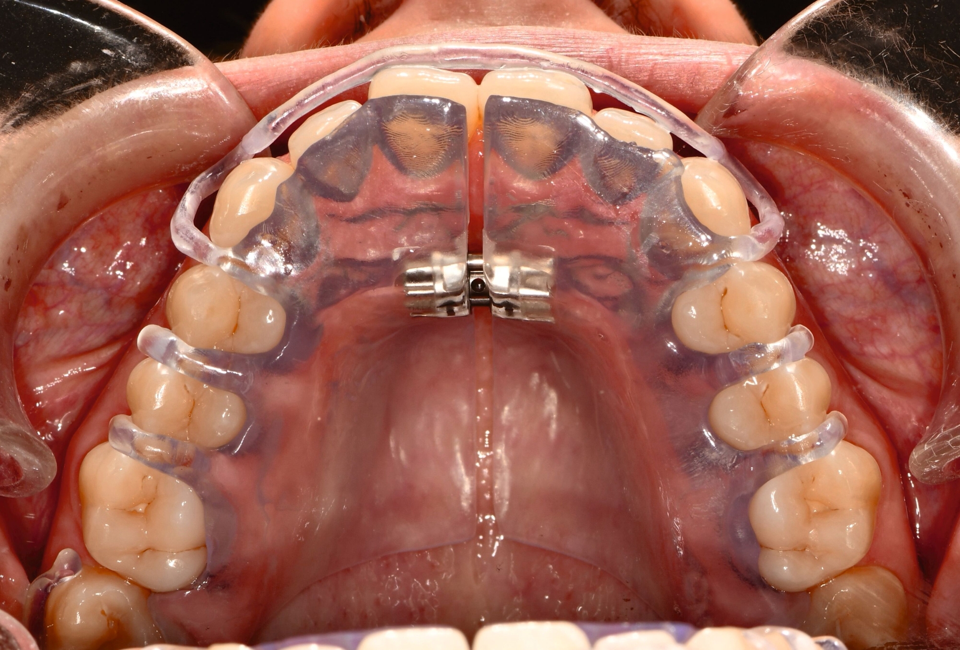
Anwendung findet der Metalldruck vor allem in der Herstellung skelettal verankerter Apparaturen, durch die reziproke Kräfte auf orthodontische Miniimplantate abgeleitet oder direkt skelettal aufgebracht werden können. Neben einer hohen Passgenauigkeit liegt der Vorteil vor allem in einer zielgerichteteren Therapie, die die anschließende oder zeitgleich durchgeführte Aligner- beziehungsweise Multibracket-Therapie verkürzt. Weiter können orthodontische Behandlungsaufgaben gelöst werden, die unter alleiniger Nutzung von Alignern beziehungsweise einer Multibracket-Apparatur deutlich limitiert wären. Beispiele beinhalten sogenannte „Mesialslider“ [Wilhelmy et al., 2022], „Distalslider“ [Graf et al., 2020] oder „Intrusionsapparaturen“.
Weiter erlauben hochindividuelle 3-D-gedruckte Designs die Therapie von skelettalen Fehlständen, beispielsweise in der Therapie defizitärer Maxillae [Pasqua et al., 2022; Bazargani et al., 2023; Ludwig et al., 2024] oder im Rahmen der nonoperativen oder postoperativen Prognathie-Behandlung [Hodecker et al., 2023]. Auch die Umsetzung skelettal verankerter Apparaturen mittels nichtmetallischer 3-D-Druckmaterialien findet in einzelnen Fällen Anwendung (Abbildung 3b). Zum Einbringen der Miniimplantate eignen sich sogenannte 3-D-gedruckte „Insertions-Guides“, die nach vorheriger digitaler Planung der Miniimplantat-Position, eine hochgenaue Insertion ermöglichen [Wilmes et al., 2022; Wilmes et al., 2022]. Die virtuelle Planung der Minischraubeninsertion ermöglicht eine sichere und nachvollziehbare Evaluation sämtlicher relevanter Gewebe, um die ohnehin geringen Risiken weiter zu minimieren. Zusätzlich kann man die Biomechanik der digital geplanten kieferorthopädischen Apparatur ideal koordinieren und – wenn man möchte – die Minischrauben und die Apparatur in einer Sitzung einsetzen.
Herausnehmbare Apparaturen
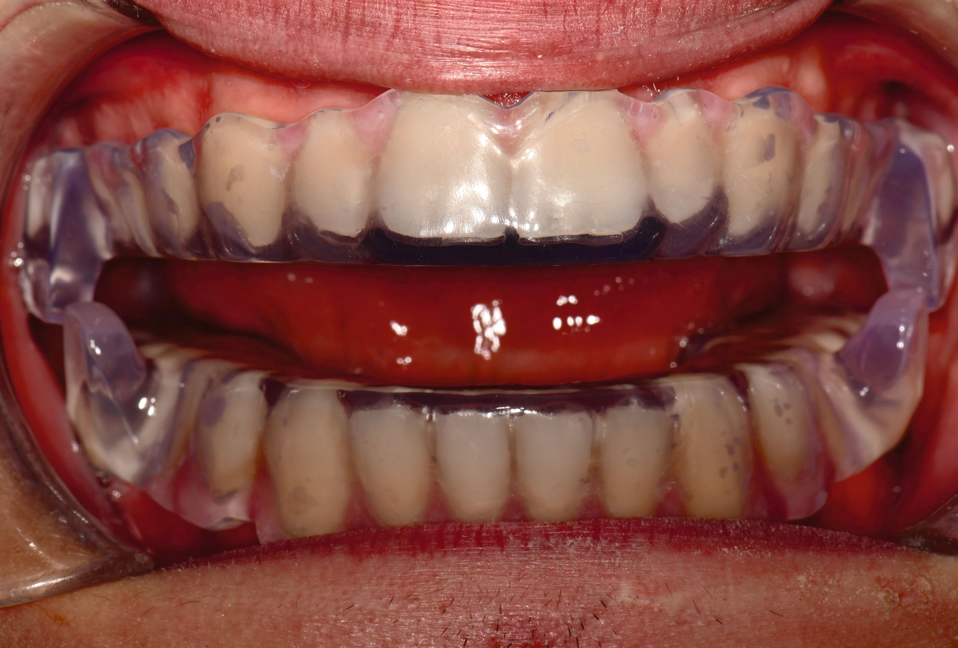
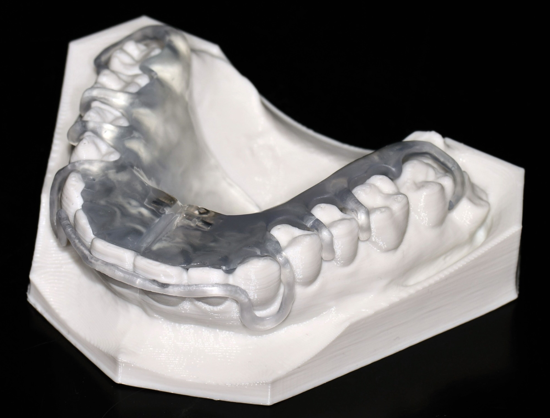
Als hochinnovatives Feld hat sich auch die Herstellung herausnehmbarer Apparaturen im 3-D-Druck entwickelt (Abbildung 4), beschränkt sich jedoch noch auf einzelne Forschungsansätze [Al Mortadi et al., 2012; van der Meer et al., 2016; Graf et al., 2022; Keller et al., 2022]. Intensiv an neuen Konzepten in der Herstellung 3-D-gedruckter herausnehmbarer Apparaturen wird am Universitätsklinikum Heidelberg geforscht. Da herausnehmbare kieferorthopädische Apparaturen im Regelfall bei jungen Patienten eingesetzt werden, kommt dem Vorteil einer unbegrenzten Replikation und einer kostengünstigen und schnelleren Herstellung ein besonderer Stellenwert zu.
Einen hohen Mehrwert bietet der 3-D-Druck besonders auch in der digital basierten Herstellung von Spaltplatten zur Versorgung von Säuglingen mit Lippen-Kiefer-Gaumen-Spalten. So ersetzt der digitale Scan eine zuvor konventionelle Abdrucknahme [Weise et al., 2022] und erlaubt in der Folge eine schnellere Versorgung [Aretxabaleta et al., 2021; Aretxabaleta et al., 2021a; Schnabel et al., 2023] (Abbildung 5).
Im Unterschied zu konventionellen Apparaturen bestehen die 3-D-gedruckten Apparaturen vollkommen aus Kunststoff. Eine Einarbeitung metallischer Elemente nach dem 3-D-Druck ist möglich [Al Mortadi et al., 2012; Al Mortadi et al., 2024], erfordert jedoch zusätzlichen Zeitaufwand. Zur Herstellung herausnehmbarer Apparaturen eignen sich konventionelle praxisinterne 3-D-Stereolithografie-Drucker, die in vielen Fällen bereits im regulären Praxisalltag zum Modelldruck verwendet werden. Die verwendeten Kunststoffe sollten dabei eine Klasse-IIa-Zertifizierung aufweisen, so dass ein sicherer langfristiger intraoraler Einsatz der Apparatur gewährleistet ist. Weiter muss die Apparatur nach dem 3-D-Druck gemäß den Herstellerangaben nachprozessiert werden. Im Regelfall beinhaltet dieser Prozess ein Waschen in Isopropylalkohol (IPA) sowie eine Nachhärtung im Lichthärtegerät. Eigens durchgeführte Studien sowie die bisherige klinische Erfahrung bestätigen eine hohe mechanische Stabilität, eine hohe Passgenauigkeit sowie eine breite Akzeptanz der Patienten [Roser et al., 2021; Roser et al., 2023; Segnini et al., 2023]. Des Weiteren wecken die 3-D-gedruckten Apparaturen bei den meist jungen Patienten großes Interesse, was wiederum die Trage-Compliance unterstützt. Durch weitere Entwicklungen im 3-D-Druckbereich wird zukünftig auch ein Farbdruck möglich werden.
Festsitzende Retainer
Auch für die Herstellung von Retainern sind bereits vielfältige 3-D-gedruckte Lösungen vorgestellt worden. Der Nachteil liegt hier jedoch hauptsächlich in der Verwendung von steifen Materialien. Im Gegensatz zu flexiblen konventionellen handgebogenen Retainern werden die auftretenden Kaufkräfte in höherer Weise direkt auf den Adhäsivverbund weitergeleitet, was die Gefahr eines Klebeversagens erhöht [Hetzler et al., 2024].
Dies ist besonders für Retainer von hoher Relevanz, da sie im Regelfall lebenslang in situ verbleiben und auftretende Komplikationen oft zu spät entdeckt werden, wodurch sich die Gefahr eines Rezidivs erhöht. Bisher eigens durchgeführte Studien deuten auf deutliche Nachteile in der Langzeit- und Maximalstabilität 3-D-gedruckter Retainer hin [Roser et al., 2023]. Zudem ist die Zahnmobilität unter den meisten CAD/CAM-Retainern deutlich stärker eingeschränkt [Roser et al.. 2023]. Der Anspruch flexiblerer 3-D-druckbarer Materialien für einen suffizienten klinischen Einsatz muss somit erst noch erfüllt werden.
Möglichkeiten in interdisziplinären Anwendungsfeldern
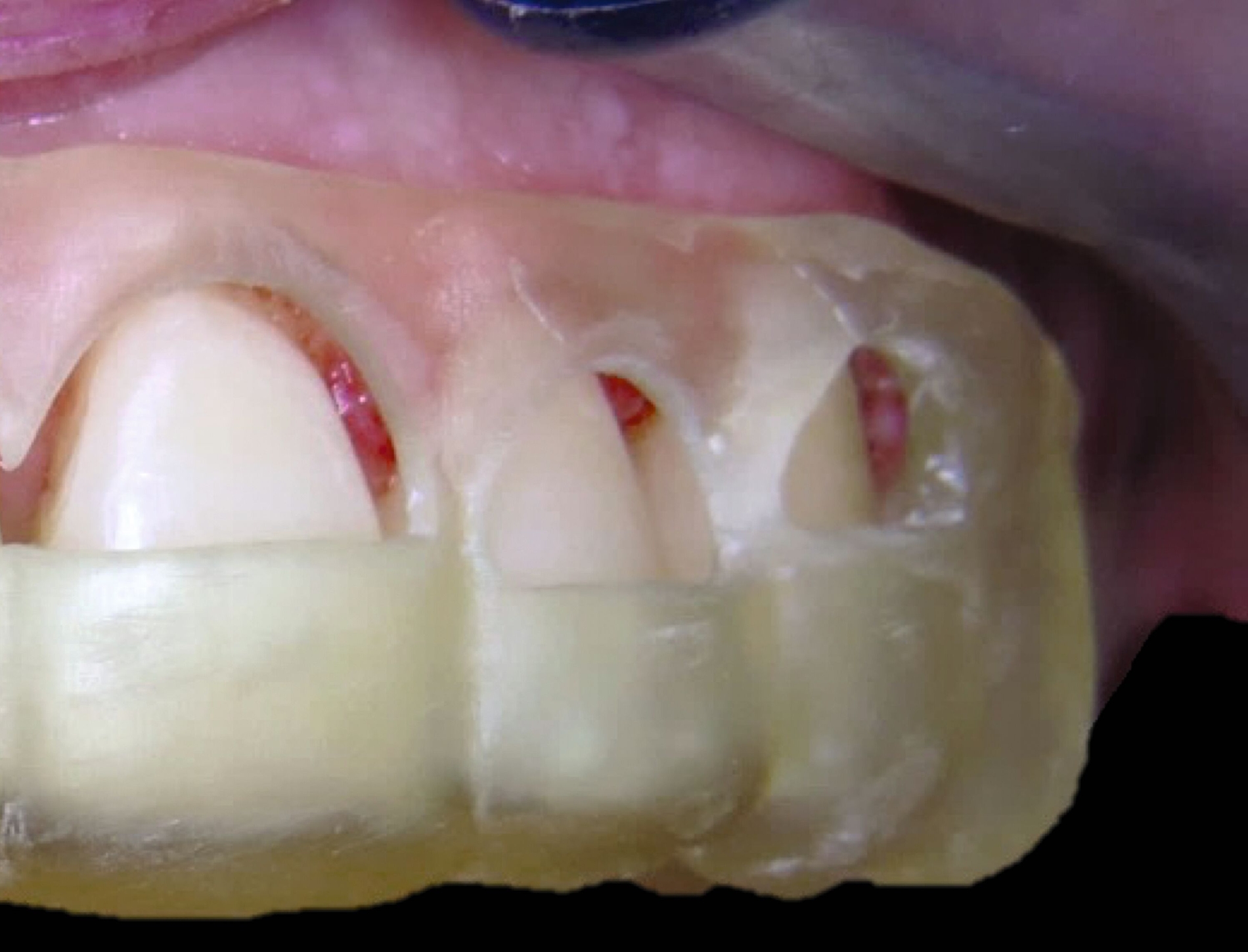
In Absprache mit dem/der zahnärztlich beziehungsweise chirurgisch tätigen Kollegen/in kann die Kieferorthopädie durch Umsetzung verschiedenster 3-D-gedruckter Elemente eine Hilfe in interdisziplinären Behandlungen bieten. Am Beispiel der Zahntransplantation ermöglicht der 3-D-Druck zuvor im DVT segmentierter Zähne eine passgenaue Vorbereitung des Transplantationsbettes (Abbildung 6a). 3-D-gedruckte Zähne können darüber hinaus als Lückenhalter während der kieferorthopädischen Behandlung dienen (Abbildung 6b), bevor eine definitive Versorgung durch den/die zahnärztliche/n Kollegen/in erfolgt.

Weitere Beispiele beinhalten hochkomplexe Behandlungsfälle multipler Zahnanlagen. Während die Extraktionsentscheidung und Absprache mit dem/der chirurgisch tätigen Kollegen/in allein auf Basis der Bildgebung oft limitiert ist, erleichtern 3-D-gedruckte Modelle des segmentierten DVTs sowohl die Entscheidung als auch die Absprache und ermöglichen darüber hinaus eine genauere Planung des chirurgischen Vorgehens (Abbildung 6c). Gleiches betrifft parodontalchirurgische Eingriffe, in denen sogenannte „Cutting guides“ eine zuvor digital geplante Gingivektomie ermöglichen (Abbildung 6d). Im Bereich der Freilegung verlagerter Zähne können Schablonen dem/die chirurgisch tätigen Kollegen/in sowohl die Freilegung des Zahnes (Abbildung 6e) als auch die Anbringung eines Attachments (Abbildung 6f) erleichtern und dabei die kieferorthopädisch gewünschte Attachmentposition passgenau übertragen.
Literaturliste
Al Mortadi, N., et al. (2012). „CAD/CAM/AM applications in the manufacture of dental appliances.“ Am J Orthod Dentofacial Orthop142(5): 727-733.
Al Mortadi, N. A., et al. (2024). „Manufacturing of PEEK orthodontic baseplate and 3D-printed alloy components from an intraoral scan.“ Medicine (Baltimore)103(17): e38004.
Aretxabaleta, M., Unkovskiy, A. et al. (2021). „Accuracy Evaluation of Additively and Subtractively Fabricated Palatal Plate Orthodontic Appliances for Newborns and Infants-An In Vitro Study.“ Materials (Basel)14(15).
Aretxabaleta, M., Xepapadeas, A et al. (2021a). „Fracture Load of an Orthodontic Appliance for Robin Sequence Treatment in a Digital Workflow.“ Materials (Basel)14(2).
Bauer, C. A. J., et al. (2023). „Precision of slot widths and torque transmission of in-office 3D printed brackets : An in vitro study.“ J Orofac Orthop.
Bazargani, F., et al. (2023). „Three-dimensional comparison of tooth-borne and tooth-bone-borne RME appliances: a randomized controlled trial with 5-year follow-up.“ Eur J Orthod45(6): 690-702.
Bozelli, J. V., et al. (2013). „Comparative study on direct and indirect bracket bonding techniques regarding time length and bracket detachment.“ Dental Press J Orthod18(6): 51-57.
Deahl, S. T., et al. (2007). „Practice-based comparison of direct and indirect bonding.“ Am J Orthod Dentofacial Orthop132(6): 738-742.
Ercoli, F., et al. (2014). „A comparative study of two different clear aligner systems.“ Prog Orthod15(1): 31.
Graf, S., et al. (2022). „Direct printed removable appliances: A new approach for the Twin-block appliance.“ Am J Orthod Dentofacial Orthop162(1): 103-107.
Graf, S., et al. (2020). „CAD/CAM Metallic Printing of a Skeletally Anchored Upper Molar Distalizer.“ Journal of clinical orthodontics : JCO54: 140-150.
Hetzler, S., et al. (2024). „Finite Element Analysis of Fixed Orthodontic Retainers.“ Bioengineering (Basel)11(4).
Hodecker, L. D., et al. (2023). „Concept for the Treatment of Class III Anomalies with a Skeletally Anchored Appliance Fabricated in the CAD/CAM Process-The MIRA Appliance.“ Bioengineering (Basel)10(5).
Hodecker, L. D., et al. (2023). „Influence of Individual Bracket Base Design on the Shear Bond Strength of In-Office 3D Printed Brackets-An In Vitro Study.“ J Funct Biomater14(6).
Keller A and Hoffmann L (2022). „Die Dehnplatte im digitalen Zeitalter.“ Kieferorthopädie01(0945-7917 (Print)).
Li, Y., et al. (2019). „Effectiveness, efficiency and adverse effects of using direct or indirect bonding technique in orthodontic patients: a systematic review and meta-analysis.“ BMC Oral Health19(1): 137.
Ludwig, B., et al. (2024). „Boneborne maxillary expansion: A clinical report of potential challenges.“ J Clin Orthod58(1): 22-28.
Panayi, N. C. (2023). „3D Printing of in Office Custom-Made Brackets: Concept, Design, Production and Evidence.“ Seminars in Orthodontics29(1): 11-16.
Papageorgiou, S. N., et al. (2022). „New aesthetic in-house 3D-printed brackets: proof of concept and fundamental mechanical properties.“ Progress in Orthodontics23(1): 6.
Pasqua, B. P. M., et al. (2022). „Dentoskeletal changes due to rapid maxillary expansion in growing patients with tooth-borne and tooth-bone-borne expanders: A randomized clinical trial.“ Orthod Craniofac Res25(4): 476-484.
Robertson, L., et al. (2020). „Effectiveness of clear aligner therapy for orthodontic treatment: A systematic review.“ Orthod Craniofac Res23(2): 133-142.
Roser, C. et al. (2021). „Mechanical properties of CAD/CAM-fabricated in comparison to conventionally fabricated functional regulator 3 appliances.“ Sci Rep11(1): 14719.
Roser, C.J., Lux, C. (2023). „Herausnehmbare kieferorthopädische Apparaturen im CAD/CAM-Verfahren mit Fokus auf CAD-FR3.“ Kieferorthopädie37(3): 261-271.
Roser, C. J., et al. (2023). „Comparison of six different CAD/CAM retainers vs. the stainless steel twistflex retainer: an in vitro investigation of survival rate and stability.“ J Orofac Orthop.
Roser, C. J., et al. (2023). Tooth mobility restriction by multistranded and CAD/CAM retainers – an in vitro study. European Journal of Orthodontics. 2023;46(1).
Sabbagh, H., et al. (2022). „Bracket Transfer Accuracy with the Indirect Bonding Technique-A Systematic Review and Meta-Analysis.“ J Clin Med11(9).
Schnabel, T. N., et al. (2023). „Automated and data-driven plate computation for presurgical cleft lip and palate treatment.“ International Journal of Computer Assisted Radiology and Surgery18(6): 1119-1125.
Segnini, C., et al. (2023). „3D printed removable functional appliances for early orthodontic treatment – Possibilities and limitations.“ Seminars in Orthodontics29(2): 237-242.
Sha, H. N., et al. (2018). „Debonding force and shear bond strength of an array of CAD/CAM-based customized orthodontic brackets, placed by indirect bonding- An In Vitro study.“ PLoS One13(9): e0202952.
Sha, H. N., et al. (2019). „Camouflage treatment for skeletal Class III patient with facial asymmetry using customized bracket based on CAD/CAM virtual orthodontic system: A case report.“ Angle Orthod.
Tartaglia, G. M., et al. (2021). „Direct 3D Printing of Clear Orthodontic Aligners: Current State and Future Possibilities.“ Materials (Basel)14(7).
Thurzo, A., et al. (2022). „Utilization of a 3D Printed Orthodontic Distalizer for Tooth-Borne Hybrid Treatment in Class II Unilateral Malocclusions.“ Materials (Basel)15(5).
van der Meer, W. J., et al. (2016). „Full 3-dimensional digital workflow for multicomponent dental appliances: A proof of concept.“ J Am Dent Assoc147(4): 288-291.
Weise, C., et al. (2022). „Intraoral scanning of neonates and infants with craniofacial disorders: feasibility, scanning duration, and clinical experience.“ Eur J Orthod44(3): 279-286.
Wilhelmy, L., et al. (2022). „Maxillary space closure using a digital manufactured Mesialslider in a single appointment workflow.“ Korean J Orthod52(3): 236-245.
Wilmes, B., De Gabriele, R. et al. (2022). „“Bone first„ principle with CAD/CAM insertion guides for mini-implant-assisted rapid palatal expansion.“ J Clin Orthod56(3): 158-166.
Wilmes, B., Tarraf, N. et al. (2022). „Procedure using CAD/CAM-manufactured insertion guides for purely mini-implant-borne rapid maxillary expanders.“ J Orofac Orthop83(4): 277-284.













































