Rehabilitation bei Long-Face-Syndrom, Prognathie und Parodontitis
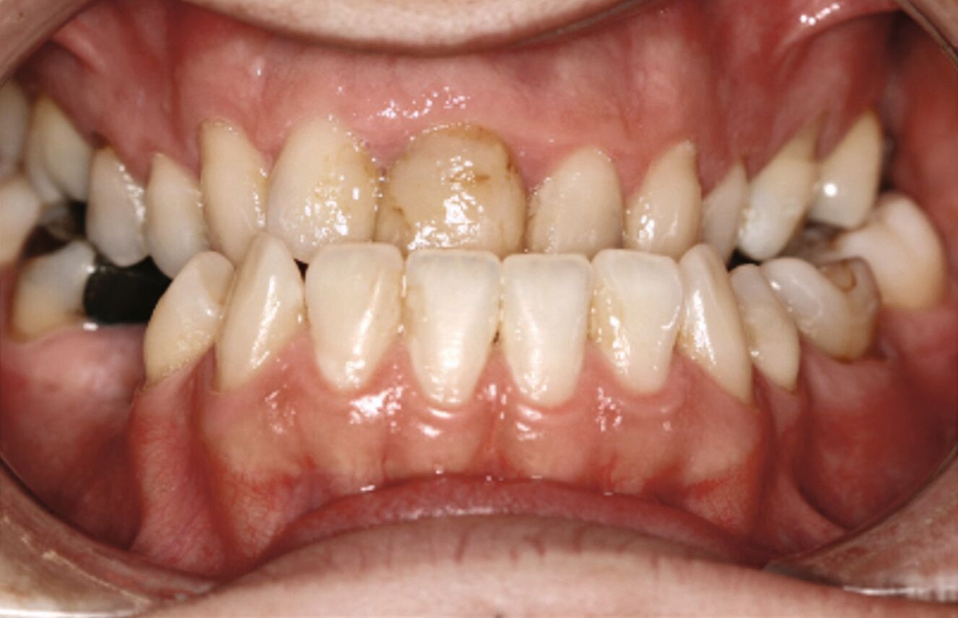
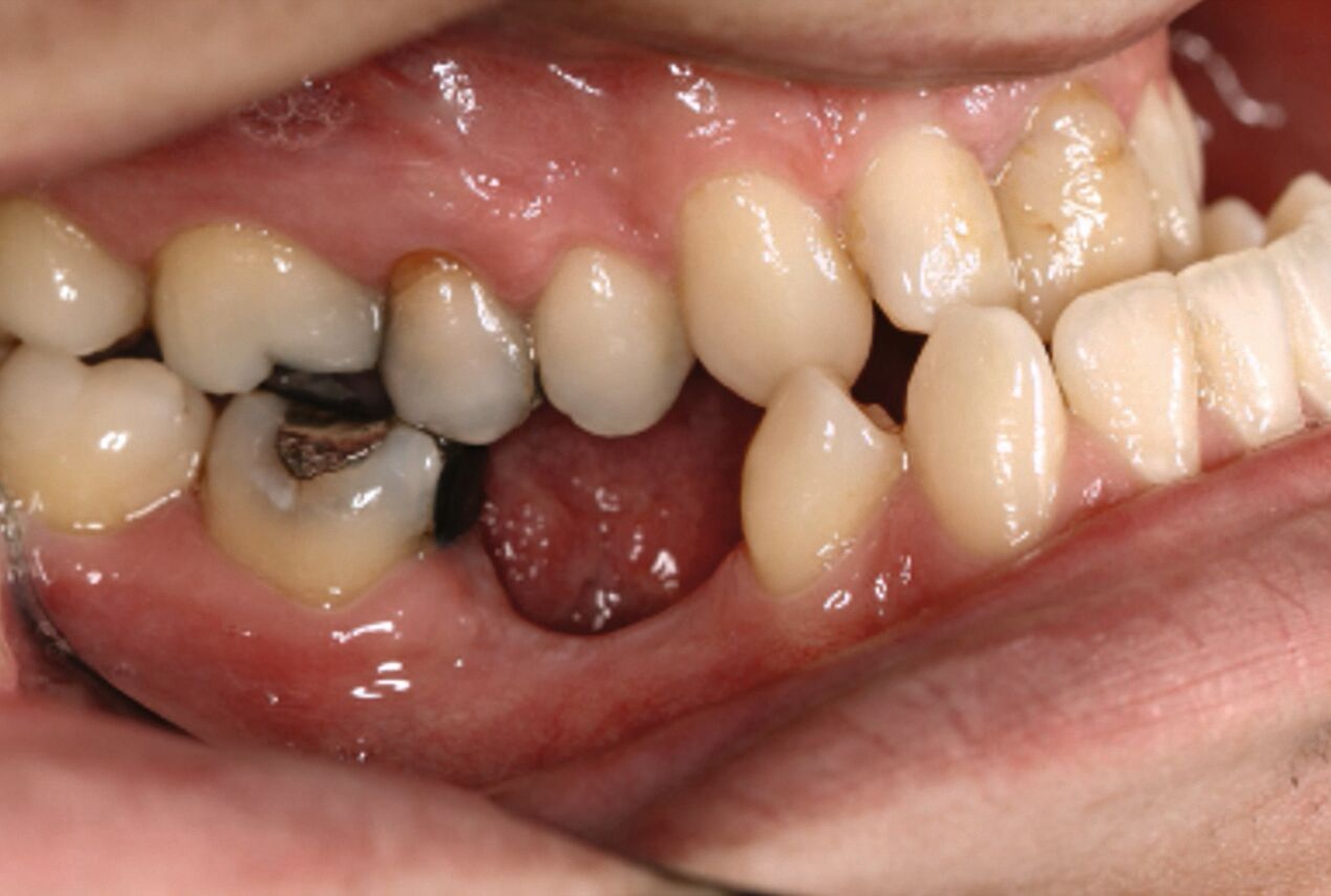
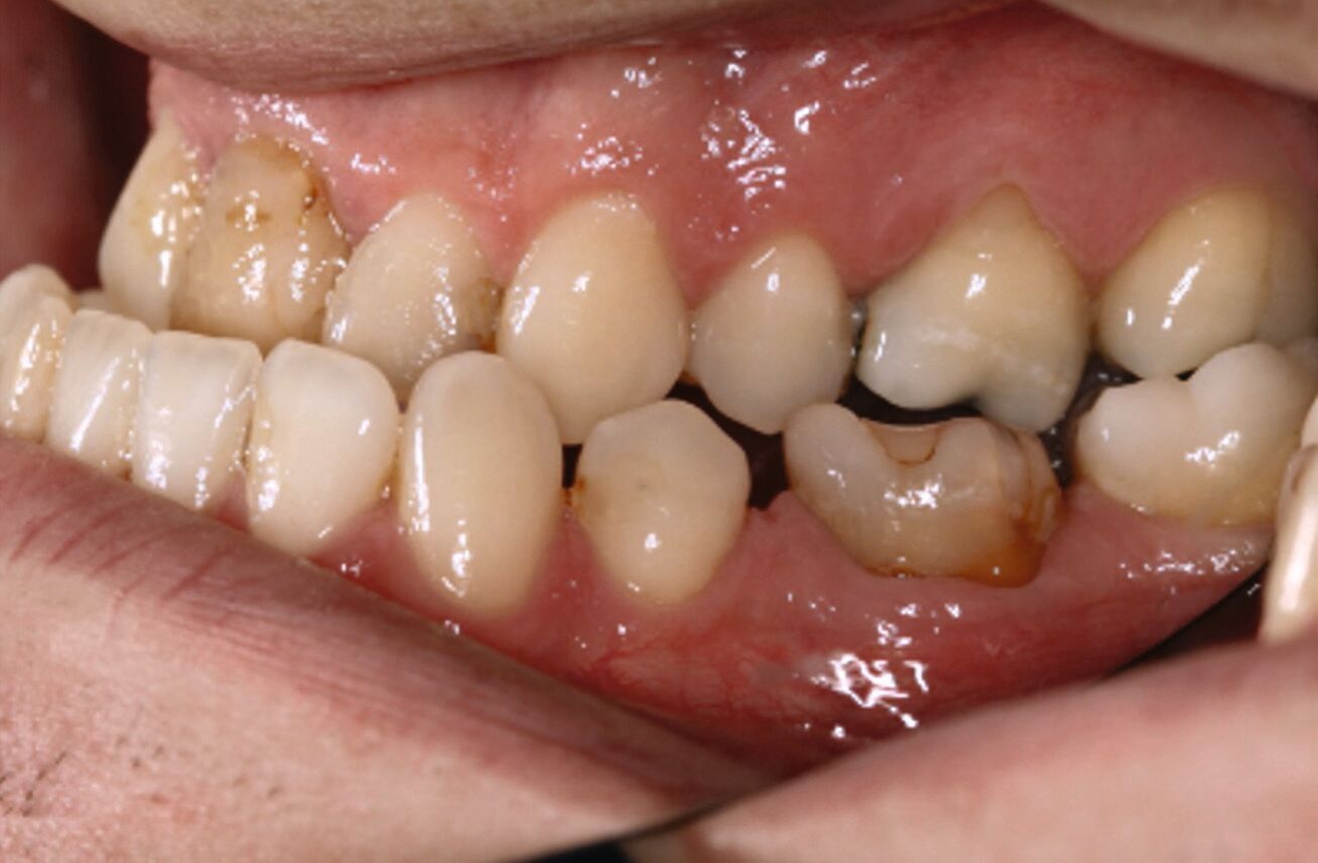
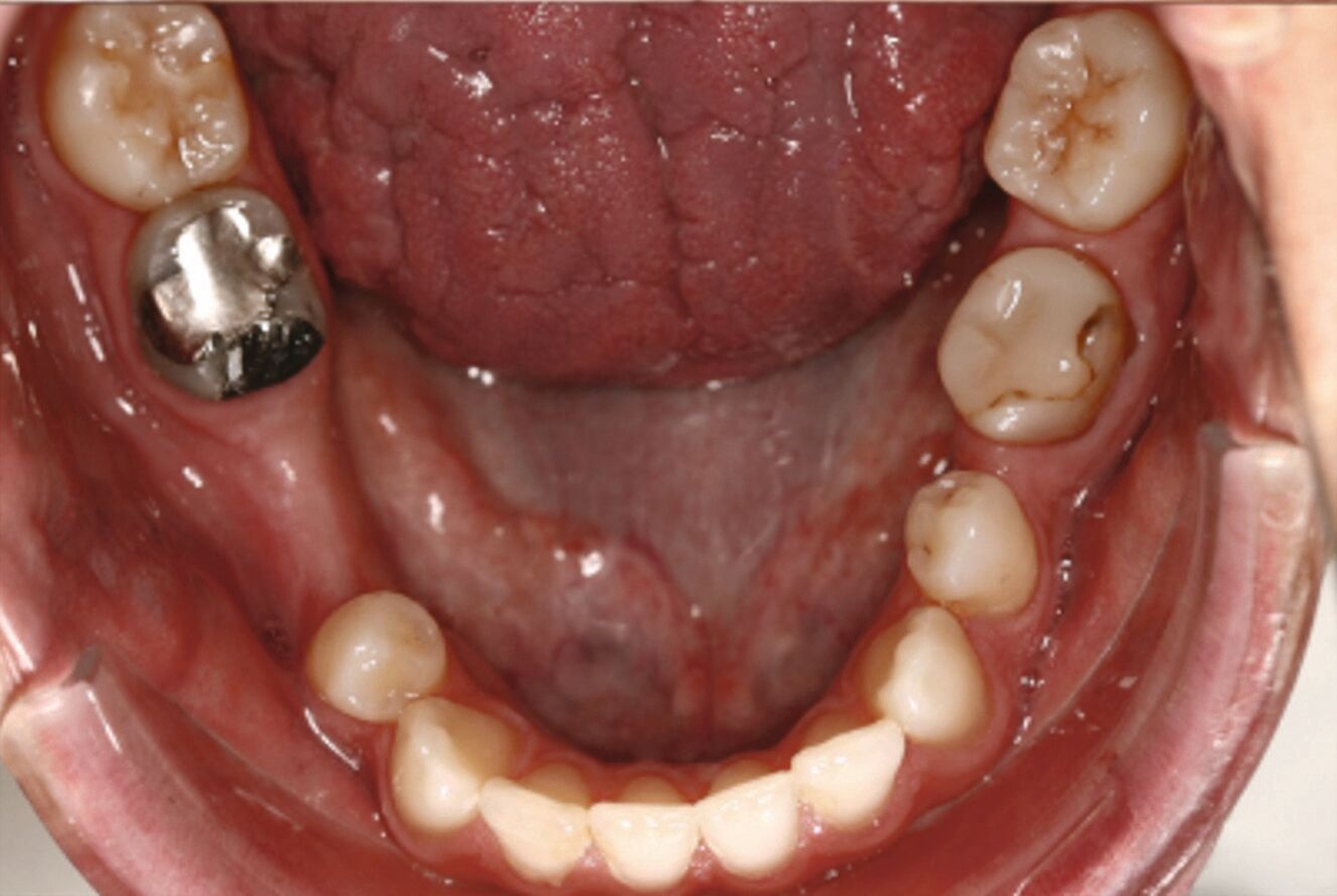
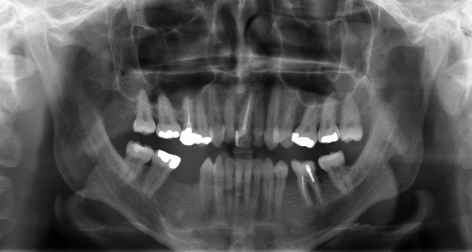
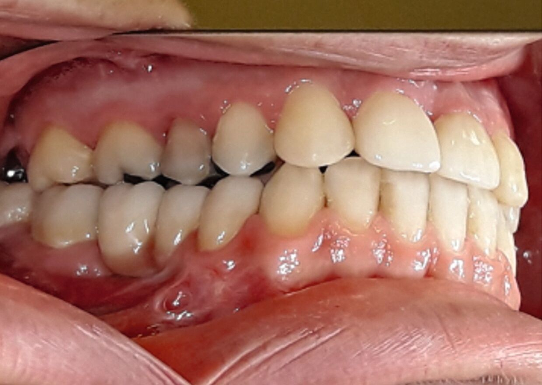
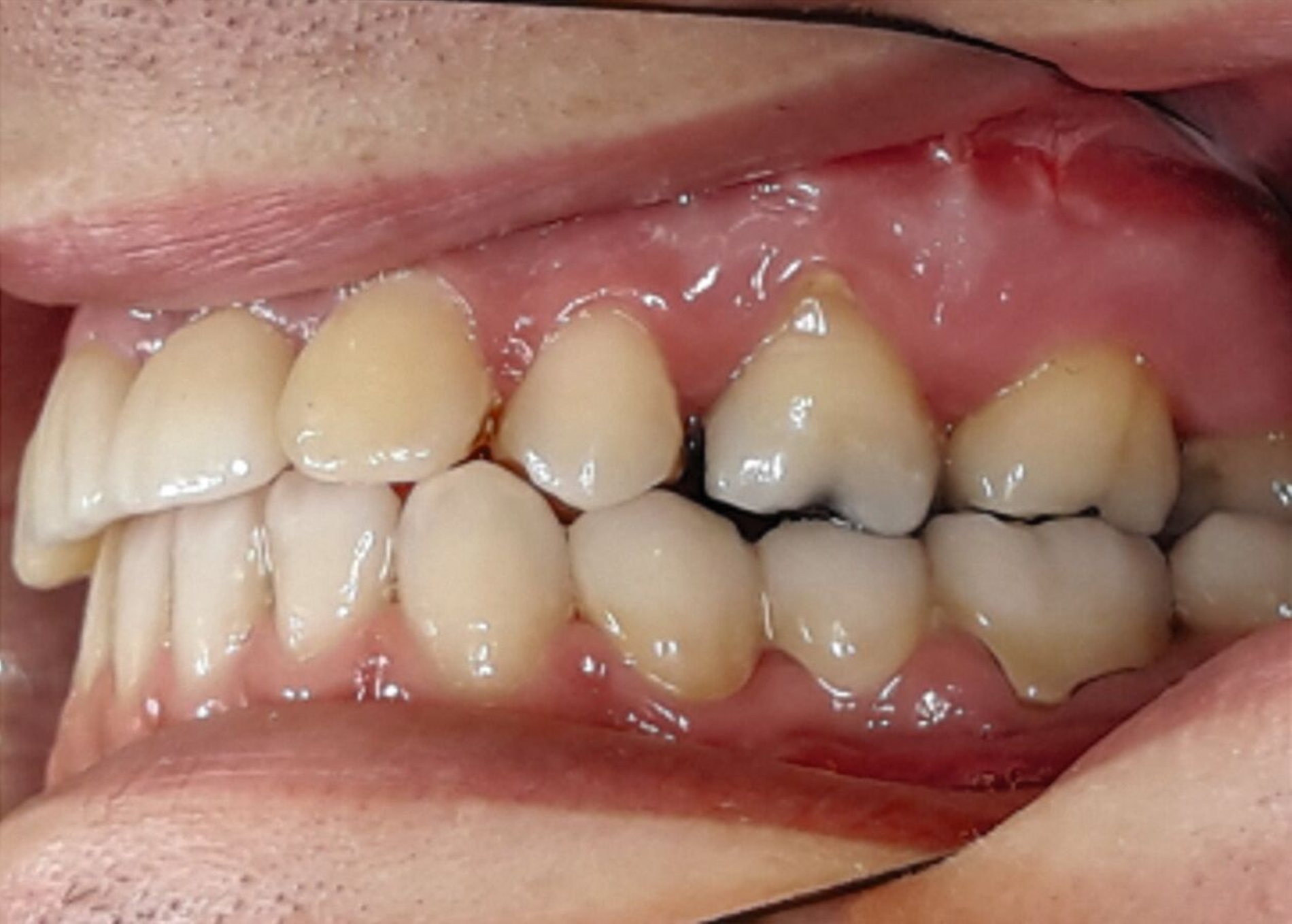
Ein 25-jähriger Patient stellte sich mit dem Wunsch nach Optimierung seines Erscheinungsbildes und seiner Kaufunktion in der kieferorthopädischen Praxis vor (Abbildung 1). Klinisch zeigten sich eine Angle-Klasse-III-Verzahnung mit einer 3/4 Prämolarenbreite Mesialokklusion beidseits und ein zirkulärer Kreuzbiss von 18–12/48–41 und 21–28/31–37. Es lagen ein negativer Overjet von -6,7 mm und ein Overbite von 5,1 mm vor. Eine Mittellinienverschiebung wurde sowohl im Oberkiefer – mit einer Abweichung von 4 mm nach rechts – als auch im Unterkiefer – mit einer Abweichung von 3 mm nach links – diagnostiziert (Abbildungen 2 und 3).
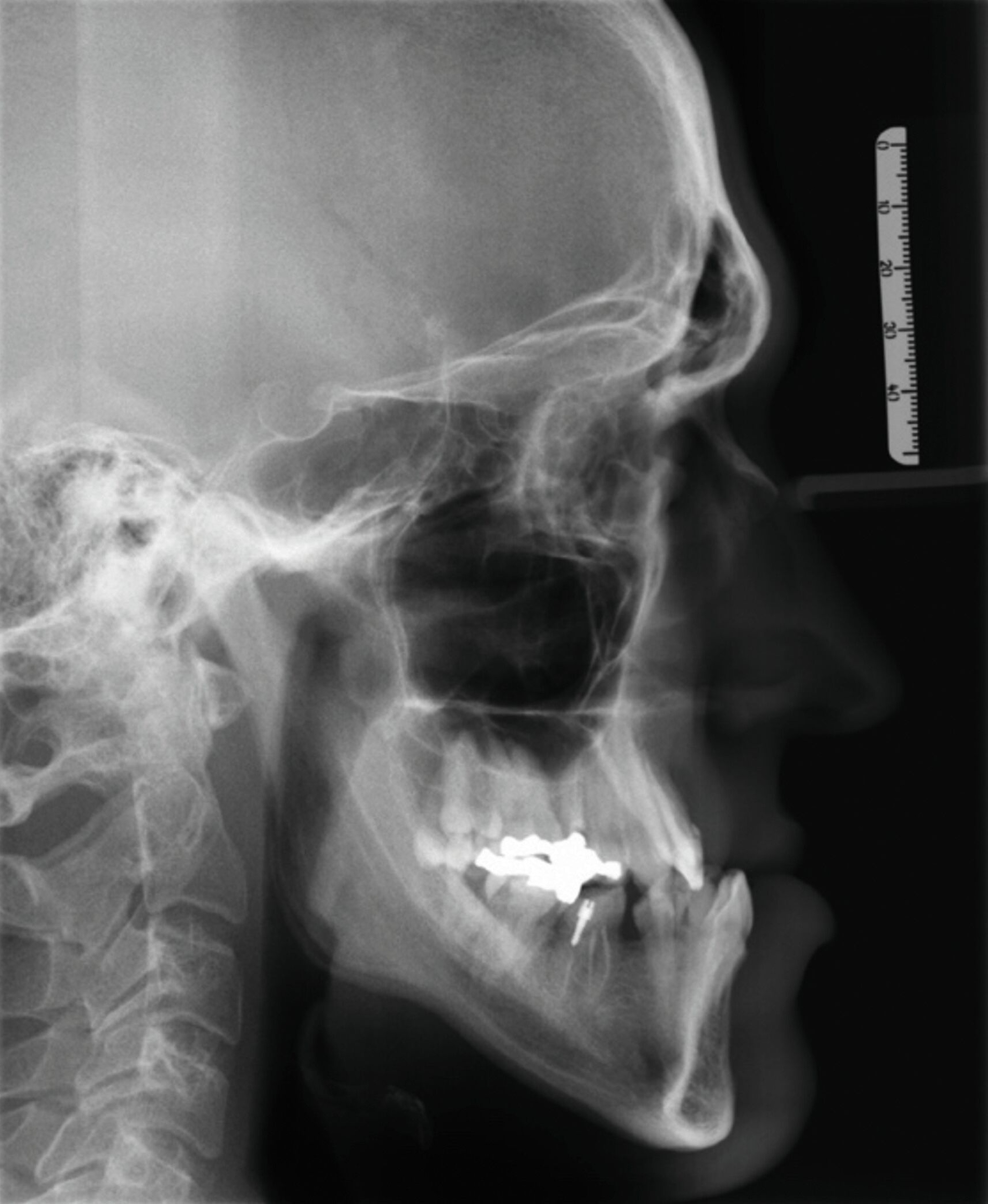
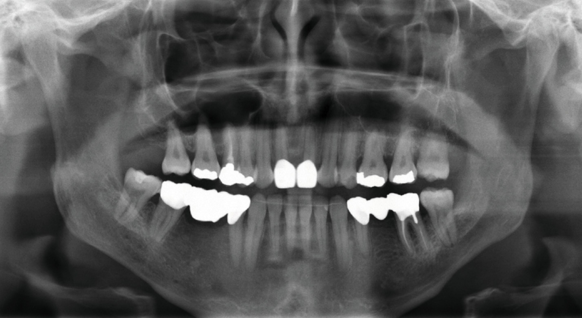
Die Auswertung der Fernröntgenseitenaufnahme ergab eine orthognathe Maxilla (SNA: 80,7°) und eine prognathe Mandibula (SNB: 90°) bei Vorliegen eines dolichofazialen Wachstumsmusters (Abbildung 4). Zudem deuteten die Ergebnisse auf eine mesiale basale Diskrepanz hin (ANB: -9,2° und WITS: -8,2 mm). Die Oberkieferfrontzähne zeigten eine orthoaxiale Stellung, während die Unterkieferfrontzähne einen ausgeprägten lingualen Kippstand aufwiesen. Die kephalometrischen und die klinischen Befunde deuteten somit auf ein Long-Face-Syndrom hin.
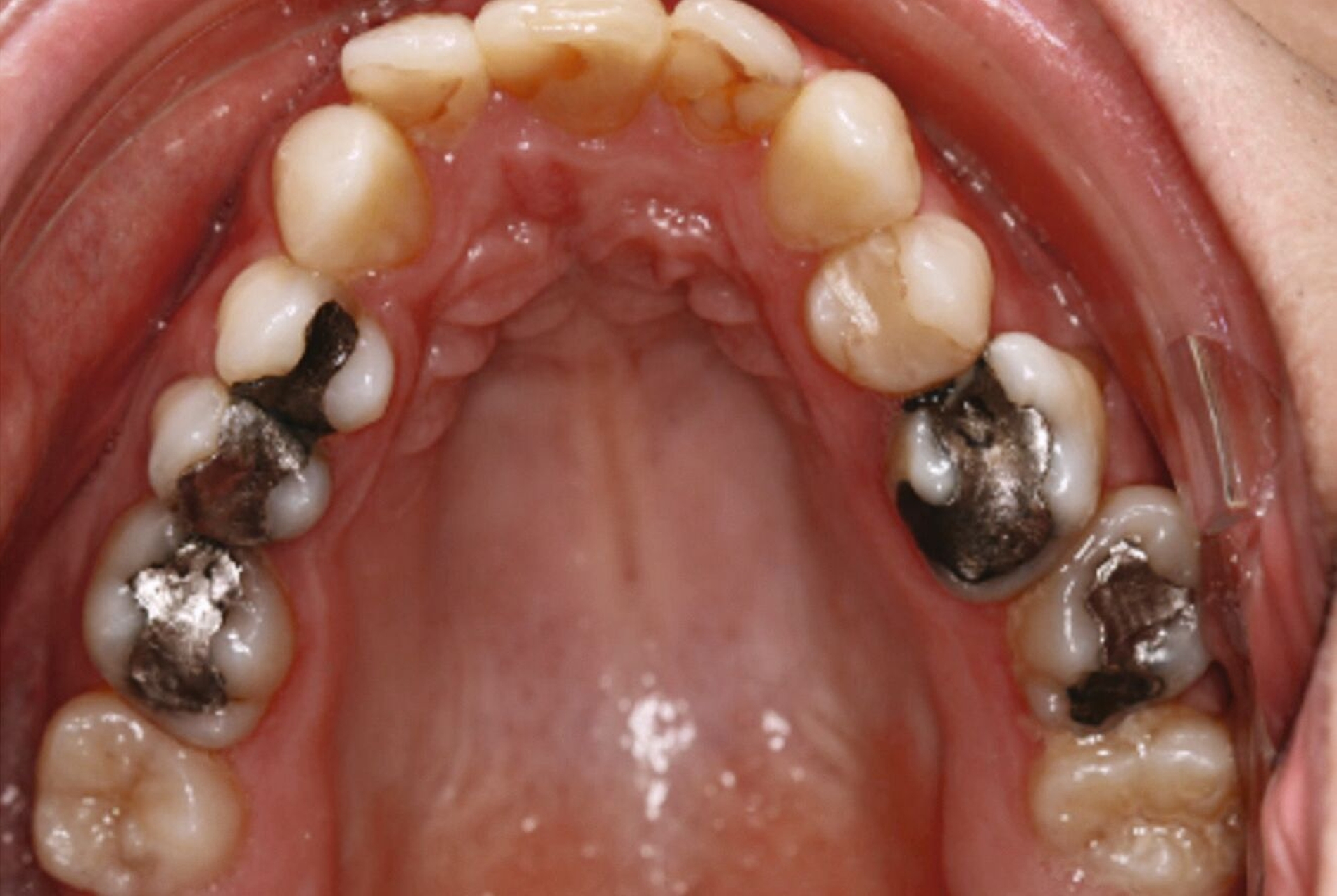
Aufgrund einer hohen Kariesanfälligkeit und einer klinisch floriden Parodontitis waren bereits mehrere Zähne des Patienten extrahiert worden, darunter 16, 11, 25, 38, 35, 45 und 46. Die mesiale Kippung und Aufwanderung der angrenzenden Zähne ließ vermuten, dass der Zahnverlust zeitlich weiter zurücklag. Aufgrund der reduzierten Langzeitprognose des Zahnes 11 entschieden wir uns gemeinsam mit dem Patienten für eine Ausgleichsextraktion des Frontzahns.
Außerdem wurde vor der kieferorthopädischen Intervention die Parodontitis vom Hauszahnarzt behandelt, so dass im Anschluss eine Multiband-Apparatur im Ober- und im Unterkiefer eingesetzt und die Zahnbögen nivelliert werden konnten. Dabei wurden die seitlichen Schneidezähne 12 und 22 anstelle der Zähne 11 und 21 lückig eingeordnet. Die Lücken in Regio 35 und 45 wurden für eine spätere Versorgung vorbereitet.
Nach der kieferorthopädischen Dekompensation erfolgte eine bimaxilläre Umstellungsosteotomie mit Maxilla-Vorverlagerung und asymmetrischer Rückverlagerung der Mandibula unter Berücksichtigung der physiologischen Respirationsmechanik. Nach einer Konsolidierungszeit der ossären Strukturen von etwa sechs Monaten und postoperativem Finishing erfolgte die Entbänderung. Das parodontale Attachmentniveau musste während der gesamten Behandlungszeit kontrolliert und durch Chlorhexamed-Spülungen stabilisiert werden.
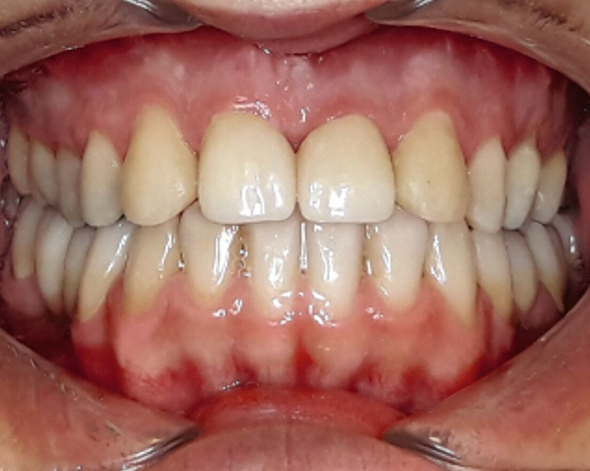
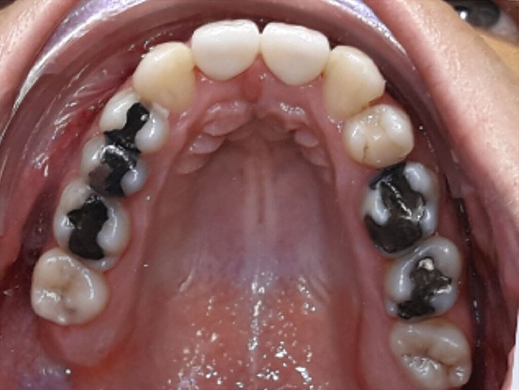
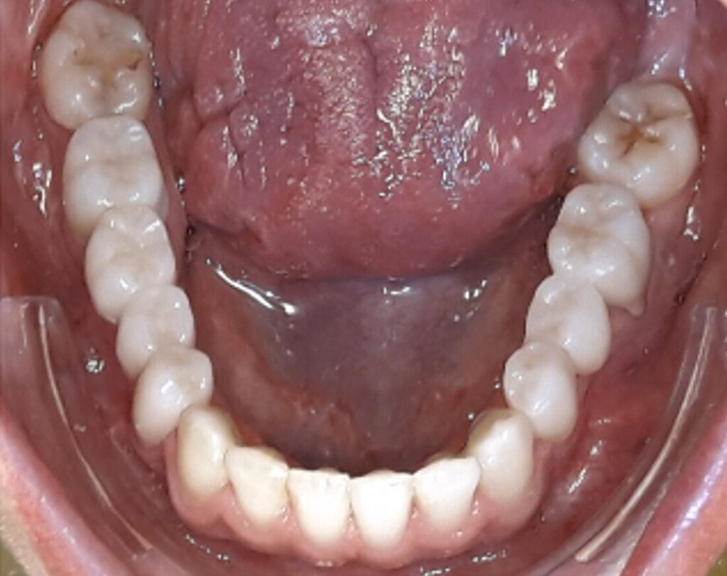
Der Hauszahnarzt versorgte die Zähne 12 und 22 mithilfe eines zuvor erstellten Wax-ups jeweils mit CAD/CAM-hergestellten Einzelkronen. Die Schaltlücken im Unterkiefer wurden mit Brücken geschlossen. Abschließend wurden im Unterkiefer ein festsitzender Retainer (33–43) eingesetzt und in beiden Kiefern zusätzlich Miniplastschienen zur Retention verwendet (Abbildungen 5 bis 7).
Diskussion
Patienten mit einem Long-Face-Syndrom zeigen klinisch ein längliches, dolichofaziales Erscheinungsbild. Andere Bezeichnungen sind „idiopathic long face“ [Willmar, 1974], „high angle” [Isaacson et al., 1971] oder Adenoidgesicht [Quick und Gundlach, 1978]. Laut Literatur ist das Long-Face-Syndrom gekennzeichnet durch eine verlängerte anteriore Gesichtshöhe, insbesondere im unteren Gesichtsdrittel, und eine verkürzte posteriore Gesichtshöhe [Schendel et al., 1976]. Weitere klinische Symptome können Kreuzbisse im Seitenzahngebiet, hängende Nasolabialfalten, ein „gummy smile” und ein frontoffener Biss sein [Schendel et al., 1976; Schendel und Carlotti, 1985].
Kephalometrische Indizien für ein Long-Face-Syndrom sind neben einer Hyperdivergenz – einem vergrößerten Winkel zwischen der Unterkiefer- und der Oberkiefer-Grundebene (ML-NL) – ein vergrößerter Kieferwinkel (ArGoMe), ein vergrößerter vergrößerter GoGn-SN-Winkel (≥ 37°) und ein reduziertes Verhältnis von S-Go/Me-N (≤ 0,65) [Prittinen, 1996; Prittinen, 1997].
Grundsätzlich werden zwei Typen des Long-Face-Syndroms unterschieden: Patienten mit einem frontoffenen Biss, oftmals mit „gummy smile“ und einer Infraposition der Oberkieferfrontzähne [Hernandez-Alfaro, 2016]; und Patienten mit positivem Overbite, die sich beispielsweise röntgenologisch durch eine größere Ramuslänge auszeichnen [Schendel et al., 1976].
Einige Querschnittsstudien stellten eine höhere Prävalenz bei Patienten mit Angle-Klasse-III-Verzahnung fest, gefolgt von Probanden mit Klasse-I- und Klasse-II-Verzahnungen [Willems et al., 2001; Boeck et al., 2011]. Die Ätiologie des Syndroms ist sehr multifaktoriell und bedingt durch unterschiedliche Phänotypen nicht gänzlich geklärt. Nicht auszuschließen sind ungünstige – wahrscheinlich genetisch determinierte – Wachstumsmuster und extrinsische Faktoren wie eine obstruktiv bedingte Mundatmung [Linder-Aronson, 1970; Harvold et al., 1981], vergrößerte Adenoide, Lutschhabits oder verfehlte kieferorthopädische Therapien [Prittinen, 1996]. Aus diesem Grund sollten vor Therapiebeginn die physiologische Respiration sichergestellt und orofaziale Dyskinesien ausgeschlossen oder mitbehandelt werden.
Die Studiengruppe von Björk beschäftigte sich intensiv mit der Ätiologie des Long-Face-Syndroms. Sie untersuchte den Zusammenhang zwischen dem Unterkieferwachstum, seiner Rotation und der Kraft der Kaumuskulatur. Dabei wurden Patienten mit Long-Face-Syndrom in stark und schwach muskuläre Gruppen unterteilt, um deren Ansprechbarkeit auf kieferorthopädische Therapien zu untersuchen. Die Ergebnisse zeigten, dass schwach muskuläre Patienten tendenziell schlechter auf kieferorthopädische Therapien ansprechen. Dies kann häufig zu einer Bissöffnung führen, was bei der therapeutischen Planung berücksichtigt werden sollte [Björk, 1969; Björk und Skieller, 1977; Prittinen, 1997].
Fazit für die Praxis
Bei Patienten mit einem Long-Face-Syndrom ist ein multidisziplinäres Rehabilitationskonzept erfolgsentscheidend.
Vor einer kieferorthopädischen Intervention bei einem parodontal geschädigten Gebiss ist eine erfolgreiche Parodontitistherapie erforderlich.
Der Parodontalstatus sollte während der gesamten Behandlung überwacht werden.
Eine mandibuläre Rückverlagerung sollte unter Berücksichtigung der Respirationsmechanik erfolgten, um optimale Ergebnisse zu erzielen.
Vor der Entbänderung ist sicherzustellen, dass die Hygienefähigkeit und die Pfeilerverteilung gewährleistet sind.
Eine stabile Okklusion ist entscheidend für die Verhinderung von Rezidiven.
Unterm Strich ist eine ganzheitliche Betrachtung des Patienten und seiner individuellen Bedürfnisse von entscheidender Bedeutung. Die interdisziplinäre Zusammenarbeit von Fachleuten wie Kieferorthopäden, Mund-, Kiefer- und Gesichtschirurgen, Logopäden, Hauszahnärzten, Parodontologen und Hals-Nasen-Ohren-Ärzten ermöglicht eine umfassende Behandlung, die sowohl ästhetische als auch funktionale Aspekte berücksichtigt. Eine frühzeitige Diagnosestellung und eine koordinierte Therapieplanung tragen wesentlich zum Erfolg des Behandlungskonzepts bei und verbessern die Lebensqualität des Patienten nachhaltig.
Literaturliste
Björk A: Prediction of mandibular growth rotation. Am J Orthod 55:585-599, 1969.
Björk A and V Skieller: [Facial development and tooth eruption]. Mondo Ortod 19:29-63, 1977.
Boeck EM, N Lunardi, S Pinto Ados, KE Pizzol and RJ Boeck Neto: Occurrence of skeletal malocclusions in Brazilian patients with dentofacial deformities. Braz Dent J 22:340-345, 2011.
Harvold EP, BS Tomer, K Vargervik and G Chierici: Primate experiments on oral respiration. Am J Orthod 79:359-372, 1981.
Hernandez-Alfaro F: [The long face syndrome]. Orthod Fr 87:479-489, 2016.
Isaacson JR, RJ Isaacson, TM Speidel and FW Worms: Extreme variation in vertical facial growth and associated variation in skeletal and dental relations. Angle Orthod 41:219-229, 1971.
Linder-Aronson S: Adenoids. Their effect on mode of breathing and nasal airflow and their relationship to characteristics of the facial skeleton and the denition. A biometric, rhino-manometric and cephalometro-radiographic study on children with and without adenoids. Acta Otolaryngol Suppl 265:1-132, 1970.
Prittinen JR: Orthodontic diagnosis of long face syndrome. Gen Dent 44:348-351, 1996.
Prittinen JR: Orthodontic management of long face syndrome. Gen Dent 45:568-572, 1997.
Quick CA and KK Gundlach: Adenoid facies. Laryngoscope 88:327-333, 1978.
Schendel SA and AE Carlotti, Jr.: Variations of total vertical maxillary excess. J Oral Maxillofac Surg 43:590-596, 1985.
Schendel SA, J Eisenfeld, WH Bell, BN Epker and DJ Mishelevich: The long face syndrome: vertical maxillary excess. Am J Orthod 70:398-408, 1976.
Willems G, I De Bruyne, A Verdonck, S Fieuws and C Carels: Prevalence of dentofacial characteristics in a belgian orthodontic population. Clin Oral Investig 5:220-226, 2001.
Willmar K: On Le Fort I osteotomy; A follow-up study of 106 operated patients with maxillo-facial deformity. Scand J Plast Reconstr Surg 12:suppl 12:11-68, 1974.




















