Das Eagle-Syndrom als Ursache chronischer orofazialer Schmerzen und Dysphagie
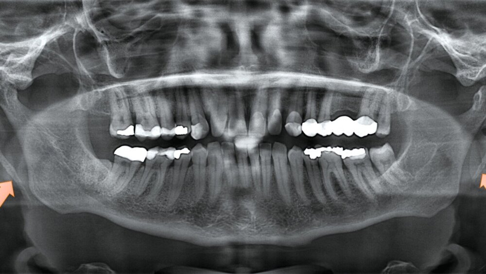
Eine 49-jährige Patientin stellte sich vor, nachdem ihr Hauszahnarzt im Rahmen einer Routineuntersuchung ein Orthopantomogramm (OPG) angefertigt hatte. Dabei war zufällig eine beidseitige Verlängerung des Processus styloideus aufgefallen, dabei auf der rechten Seite deutlich ausgeprägter (Abbildung 1).
Die Patientin berichtete über seit mehreren Jahren bestehende, intermittierend auftretende Schmerzen in der rechten Gesichtshälfte, die insbesondere den Kieferwinkel, die präaurikuläre Region und den Unterkiefer betrafen. Sie beschrieb die Beschwerden als dumpf-drückend, mit gelegentlicher Ausstrahlung in den Oberkiefer und die Schläfenregion. Zusätzlich klagte sie über eine zunehmende Dysphagie, ein persistierendes Globusgefühl im Hals sowie wiederkehrende Schwindelattacken. Allgemeinanamnestisch war die Patientin gesund, es bestanden keine Vorerkrankungen oder relevante medikamentöse Therapien.
Die klinische Untersuchung ergab keine Hinweise auf Sensibilitätsstörungen, eine Fazialisparese oder Hirnnervenausfälle. Allerdings war die Palpation des rechten Kieferwinkels schmerzhaft, insbesondere bei der intraoralen Untersuchung der Tonsillenloge. Eine mechanische Provokation durch Kopfdrehung und Palpation verstärkte die Beschwerden. Die prothetisch versorgten Zähne zeigten keine pathologischen Befunde. Zur weiteren Diagnostik wurde eine Digitale Volumentomografie (DVT) mit 3D-Rekonstruktion durchgeführt. Diese bestätigte die im OPG vermutete Diagnose eines beidseitig elongierten Processus styloideus, mit einer stärkeren Ausprägung auf der rechten Seite (Abbildung 2).
Die klinischen Beschwerden korrelierten mit der radiologisch festgestellten Asymmetrie. Nach ausführlicher Aufklärung über konservative und operative Therapieoptionen entschied sich die Patientin aufgrund der deutlichen Symptomatik für eine chirurgische Resektion des elongierten Processus styloideus auf der rechten Seite. Der Eingriff wurde über einen extraoralen Zugang durchgeführt, um eine bessere Übersicht und die sichere Entfernung des verlängerten Processus zu gewährleisten. In Intubationsnarkose erfolgte die piezochirurgische Resektion des ossifizierten Ligamentum stylohyoideum am Processus styloideus über einen zervikalen Zugang (Abbildungen 3 bis 6); der ebenfalls verlängerte linke Ligamentum stylohyoideum wurde manuell von enoral frakturiert.
Der postoperative Verlauf war unauffällig. Bereits am ersten postoperativen Tag berichtete die Patientin über eine deutliche Reduktion der Beschwerden. Innerhalb weniger Tage verschwanden das Globusgefühl und die Dysphagie vollständig. Auch die seit Jahren bestehenden Gesichtsschmerzen nahmen sukzessive ab, bis sie nach wenigen Wochen vollständig abgeklungen waren. Die episodischen Schwindelattacken, die vermutlich durch eine mechanische Irritation der vaskulären Strukturen bedingt waren, traten postoperativ nicht mehr auf.
Diskussion
Das Eagle-Syndrom ist eine seltene Erkrankung, die durch einen verlängerten Processus styloideus oder eine ossifizierte Verkalkung des Ligamentum stylohyoideum verursacht wird [Badhey et al., 2017; Piagkou et al., 2009]. Der Processus styloideus ist ein schlanker, nach kaudal gerichteter Knochenfortsatz des Os temporale, der als Ansatzpunkt für verschiedene Muskeln und Bänder dient. Besonders relevant sind das Ligamentum stylohyoideum, das den Styloidfortsatz mit dem Zungenbein verbindet, sowie die M. styloglossus, M. stylohyoideus und M. stylopharyngeus, die an Zungen- und Pharynxbewegungen beteiligt sind. Aufgrund der anatomischen Nähe zu den Hirnnerven IX (N. glossopharyngeus), X (N. vagus) und XII (N. hypoglossus) sowie zur Arteria carotis interna und externa kann eine Verlängerung oder Fehlstellung zu Halsschmerzen, Dysphagie, Gesichtsschmerzen und Schwindel führen [Gaul et al., 2006].
Die Verlängerung des Processus styloideus wurde bereits im 17. Jahrhundert beschrieben, zunächst jedoch ohne klinische Relevanz [Stirling, 1896; Badhey et al., 2017]. Im Jahr 1937 beschrieb Watt Eagle den Zusammenhang zwischen einer Verlängerung des Processus styloideus und den typischen Beschwerden wie Hals- und Gesichtsschmerzen sowie Schluckstörungen und bezeichnete den Symptomkomplex als „Styalgie“ [Eagle, 1937].
In der Vergangenheit wurden in der Literatur zwei Formen des Eagle-Syndroms unterschieden: Die klassische Form, die meist nach einer Tonsillektomie auftritt und sich durch Halsschmerzen, ein persistierendes Fremdkörpergefühl im Pharynx sowie ausstrahlende Schmerzen in die präaurikuläre Region äußert. Daneben gibt es das „Stylohyoide-Syndrom“ bei dem eine mechanische Irritation oder Kompression des sympathischen Plexus in der Wand der Arteria carotis externa zu ausstrahlenden Kopf- und Gesichtsschmerzen führt [Diamond et al., 2001; Eagle, 1958]. Die Symptome sind oft bewegungsabhängig und verstärken sich beim Schlucken, Gähnen oder bei bestimmten Kopfpositionen [Jacome, 2004]. Die Abgrenzung der beiden Formen ist aufgrund der überlappenden Symptomatik und der fehlenden therapeutischen Relevanz veraltet, zumal auch bei der klassischen Variante nicht immer eine Tonsillektomie vorausgegangen ist [Slavin, 2002].
Bei der Pathogenese des Eagle-Syndroms spielen neben kongenitalen Verlängerungen auch degenerative Ossifikationsprozesse eine Rolle, die typischerweise erst nach dem 30. Lebensjahr zur Manifestation führen [Krennmair et al., 2001]. Einige Studien zeigen eine höhere Prävalenz des Eagle-Syndroms bei Frauen, insbesondere in der mittleren Altersgruppe von 30 bis 50 Jahren [Bokhari et al., 2023].
Seit der Erstbeschreibung des Eagle-Syndroms wurden zahlreiche Studien zur Prävalenz durchgeführt, deren Ergebnisse aufgrund unterschiedlicher Definitionen eines pathologischen Processus styloideus stark variieren. Während einige Untersuchungen bereits eine Länge von über 2,5 cm als abnorm ansehen, setzen andere die Grenze erst bei 4,0 cm, da erst ab dieser Länge vermehrt Beschwerden auftreten. Bei vier bis zehn Prozent der Patienten mit einem verlängerten Styloideus tritt tatsächlich das Eagle-Syndrom auf [Prasad et al., 2002; Gossman Jr und Tarsitano, 1977; Pagano et al., 2023]. Die variierenden Diagnosekriterien führen jedoch zu erheblichen Unterschieden in der Prävalenzangabe [Thielen et al., 2025; Radfar et al., 2008]. Häufig sind die Veränderungen beidseitig, jedoch treten die Schmerzen meist einseitig auf, was vermutlich auf anatomische Variationen der Lagebeziehung des Processus styloideus zu neurovaskulären Strukturen zurückzuführen ist [Péus et al., 2019]. Betroffene berichten meist über einen dumpf-drückenden, ziehenden Dauerschmerz, während neuralgiforme Beschwerden seltener auftreten. Häufig gehen erfolglose medikamentöse Behandlungen der richtigen Diagnose voraus. Aufgrund des begleitenden Globusgefühls werden die Beschwerden nicht selten als psychosomatisch fehlinterpretiert.
Die Diagnostik des Eagle-Syndroms basiert auf einer Kombination aus Anamnese, klinischer Untersuchung und bildgebenden Verfahren. Als Erstuntersuchung ist ein OPG geeignet, liefert jedoch keine detaillierten Informationen über die räumliche Lage des verlängerten Processus styloideus. Daher gilt die dreidimensionale Bildgebung (CT oder DVT) als Goldstandard, um die exakte Länge und die Beziehung zu den angrenzenden Strukturen zu bestimmen [Mortellaro et al., 2002]. Differenzialdiagnostisch müssen Kiefergelenkpathologien, eine Trigeminusneuralgie und psychosomatische Ursachen ausgeschlossen werden, was jedoch durch eine bildgebende Diagnostik zuverlässig möglich ist [Kozakovičová et al., 2023].
Fazit für die Praxis
Das Eagle-Syndrom sollte bei chronischen Gesichts-, Hals- und Schluckbeschwerden in die Differenzialdiagnose einbezogen werden, insbesondere wenn die Symptome durch Kopfbewegungen oder Palpation auslösbar sind.
Die CT oder die DVT mit 3D-Rekonstruktion sind der diagnostische Goldstandard, da sie eine präzise Beurteilung der Länge und der Lage des Processus styloideus ermöglichen.
Konservative Therapieoptionen sind oft unzureichend – bei persistierenden Beschwerden ist die chirurgische Resektion die Therapie der Wahl.
Die Prognose nach chirurgischer Entfernung ist gut, da die meisten Patientinnen und Patienten postoperativ eine deutliche oder vollständige Beschwerdebesserung erfahren.
Therapeutisch stehen sowohl konservative als auch chirurgische Optionen zur Verfügung. Bei milden Beschwerden können nichtsteroidale Antirheumatika (NSAR), Antikonvulsiva oder trizyklische Antidepressiva zur Schmerzreduktion beitragen, zeigen jedoch bei ausgeprägter Symptomatik oft nur begrenzten Erfolg. Bei therapieresistenten oder stark beeinträchtigenden Beschwerden ist die chirurgische Resektion des elongierten Processus styloideus die Therapie der Wahl [Saccomanno et al., 2021; Wang et al., 2022]. Hierfür stehen zwei operative Zugangswege zur Verfügung: der transorale Zugang, der keinen äußeren Hautschnitt erfordert, aber eine eingeschränkte Sicht auf das Operationsfeld bietet, sowie der extraorale Zugang, der eine bessere Übersicht ermöglicht, jedoch eine sichtbare Narbe hinterlässt [Mahmoud und Ashour, 2020].
Im hier beschriebenen Fall führte die chirurgische Intervention zu einer vollständigen Beschwerdefreiheit. Dies unterstreicht die Bedeutung einer frühzeitigen Diagnosestellung und einer individuell angepassten Therapie bei Patienten mit typischer Symptomatik. Zusammenfassend sollte das Eagle-Syndrom bei Patienten mit unklaren, persistierenden Gesichts- und Halsschmerzen, Dysphagie und Schwindel als mögliche Differenzialdiagnose in Betracht gezogen werden. Eine frühzeitige bildgebende Diagnostik kann helfen, eine gezielte Behandlung einzuleiten. Während konservative Therapieansätze in leichten Fällen eine Option darstellen, zeigt sich bei persistierenden Beschwerden die chirurgische Resektion des elongierten Processus styloideus als effektive und nachhaltige Lösung.
Literaturliste
BADHEY, A., JATEGAONKAR, A., ANGLIN KOVACS, A. J., KADAKIA, S., DE DEYN, P. P., DUCIC, Y., SCHANTZ, S. & SHIN, E. 2017. Eagle syndrome: A comprehensive review. Clinical Neurology and Neurosurgery, 159, 34-38.
BOKHARI, M. R., GRAHAM, C. & MOHSENI, M. 2023. Eagle syndrome. StatPearls [Internet]. StatPearls Publishing.
DIAMOND, L. H., COTTRELL, D. A., HUNTER, M. J. & PAPAGEORGE, M. 2001. Eagle's syndrome: a report of 4 patients treated using a modified extraoral approach. Journal of oral and maxillofacial surgery, 59, 1420-1426.
EAGLE, W. W. 1937. ELONGATED STYLOID PROCESSES: Report of Two Cases. Archives of Otolaryngology, 25, 584-587.
EAGLE, W. W. 1958. Elongated styloid process: symptoms and treatment. AMA archives of otolaryngology, 67, 172-176.
GAUL, C., KRIWALSKY, M. S., MAURER, P., SCHUBERT, J., AMAYA, B. & KORNHUBER, M. E. 2006. Eagle-Syndrom. Der Nervenarzt, 77, 478-480.
GOSSMAN JR, J. & TARSITANO, J. J. 1977. The styloid-stylohyoid syndrome. Journal of Oral Surgery (American Dental Association: 1965), 35, 555-560.
JACOME, D. 2004. Extracephalic yawning pain. Cephalalgia, 24, 411-413.
KOZAKOVIčOVá, V., ONDERKA, A., STRáNSKý, J., KONDé, A. & ŠTEMBíREK, J. 2023. Diagnosis and treatment of Eagle’s syndrome and possible complications. Acta chirurgiae plasticae, 3.
KRENNMAIR, G., LENGLINGER, F. & LUGMAYR, H. Ossifikationsvarianten der stylohyoidalen Kette. RöFo-Fortschritte auf dem Gebiet der Röntgenstrahlen und der bildgebenden Verfahren, 2001. © Georg Thieme Verlag Stuttgart· New York, 200-204.
MAHMOUD, N. R. & ASHOUR, E. M. 2020. Cervico-facial pain associated with Eagle's syndrome misdiagnosed as cranio-mandibular disorders. A retrospective study. Journal of Cranio-Maxillofacial Surgery, 48, 1009-1017.
MORTELLARO, C., BIANCUCCI, P., PICCIOLO, G. & VERCELLINO, V. 2002. Eagle's syndrome: importance of a corrected diagnosis and adequate surgical treatment. Journal of Craniofacial Surgery, 13, 755-758.
PAGANO, S., RICCIUTI, V., MANCINI, F., BARBIERI, F. R., CHEGAI, F., MARINI, A., MARRUZZO, D., PARACINO, R. & RICCIUTI, R. A. 2023. Eagle syndrome: an updated review. Surgical Neurology International, 14, 389.
PéUS, D., KOLLIAS, S. S., HUBER, A. M. & HUBER, G. F. 2019. Recurrent unilateral peripheral facial palsy in a patient with an enlarged styloid process. Head Neck, 41, E34-e37.
PIAGKOU, M., ANAGNOSTOPOULOU, S., KOULADOUROS, K. & PIAGKOS, G. 2009. Eagle's syndrome: a review of the literature. Clinical Anatomy: The Official Journal of the American Association of Clinical Anatomists and the British Association of Clinical Anatomists, 22, 545-558.
PRASAD, K. C., KAMATH, M. P., REDDY, K. J. M., RAJU, K. & AGARWAL, S. 2002. Elongated styloid process (Eagle's syndrome): a clinical study. Journal of Oral and Maxillofacial Surgery, 60, 171-175.
RADFAR, L., AMJADI, N., ASLANI, N. & SURESH, L. 2008. Prevalence and clinical significance of elongated calcified styloid processes in panoramic radiographs. General Dentistry, 56, e29-32.
SACCOMANNO, S., QUINZI, V., D’ANDREA, N., ALBANI, A., COCEANI PASKAY, L. & MARZO, G. 2021. Traumatic Events and Eagle Syndrome: Is There Any Correlation? A Systematic Review. Healthcare, 9, 825.
SLAVIN, K. V. 2002. Eagle syndrome: entrapment of the glossopharyngeal nerve?: Case report and review of the literature. Journal of neurosurgery, 97, 216-218.
STIRLING, A. W. 1896. On bony growths invading the tonsil. Journal of the American Medical Association, 27, 734-735.
THIELEN, A., BRIZZI, V., MAJOUFRE, C., NICOT, R. & SCHLUND, M. 2025. Eagle syndrome and vascular complications—a systematic review. International Journal of Oral and Maxillofacial Surgery, 54, 31-42.
WANG, J., LIU, Y., WANG, Z. B. & YAN, K. S. 2022. Intraoral and extraoral approach for surgical treatment of Eagle's syndrome: a retrospective study. European Archives of Oto-Rhino-Laryngology, 1-7.












