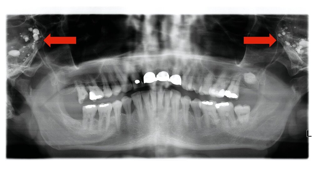
Unerwarteter Zufallsbefund im OPG
Zum Zeitpunkt der Vorstellung war der Mann beschwerdefrei und in gutem Allgemein- und Ernährungszustand. Eine Besonderheit in der Anamnese war ein Kolonkarzinom in 2005 mit Z.n. Kolonteilresektion. Die onkologische Nachsorge war anamnestisch unauffällig. Klinisch ergaben sich keine Auffälligkeiten im Kiefer- oder Gesichtsschädelbereich, auch keine Hinweise auf aktuelle Beschwerden im Hals- oder Ohrbereich. Speichel ließ sich klar aus allen Speicheldrüsen exprimieren.
Bei der Befundung des OPGs fiel auf, dass sich beidseits über den Mastoidregionen multiple radiodense, oval- bis rundlich konfigurierte Strukturen projizierten. Diese imponierten in der Projektion sehr gleichmäßig und waren von ihrer Dichte her deutlich hyperdens gegenüber dem umgebenden Knochen. Aufgrund der ungewöhnlichen Lokalisation und Morphologie wurde zunächst differenzialdiagnostisch an verschiedene Verkalkungen oder Fremdkörper gedacht, jedoch konnte keine naheliegende Erklärung gefunden werden. Voraufnahmen waren nicht verfügbar.
Differenzialdiagnosen bei radiodensen Strukturen im OPG
Zunächst kamen klassische Verkalkungen oder Ablagerungen, wie man sie gelegentlich im Kiefer- oder Halsbereich sieht, in Betracht:
Sialolithiasis: Diese Speichelsteine in der Parotis oder der Submandibularregion wären meist ventraler und tiefer zu erwarten, gelegentlich klinisch tastbar oder auch verbunden mit klinischen Symptomen.
Phlebolithen: Diese verkalkten venösen Thromben erscheinen selten so ausgedehnt, röntgendicht und regelmäßig symmetrisch.
Tonsillolithen: Verkalkungen der Tonsillenregion sind ebenfalls selten so ausgedehnt, röntgendicht und nur sehr unwahrscheinlich so sehr kranial projizierend.
Fremdkörper, Projektilreste, Schrapnell oder (Blei-)Schrot: Hinsichtlich der Röntgendichte gut möglich, aber ohne anamnestisches Korrelat und bei der abgebildeten Regelmäßigkeit sehr unwahrscheinlich.
Keine dieser Differenzialdiagnosen passte in unserem Fall – weder hinsichtlich der Lokalisation noch hinsichtlich der Morphologie oder der klinischen Konstellation. Daher erfolgte die weiterführende Diagnostik mittels Computertomografie (CT).
CT-Befund und weitere Recherchen
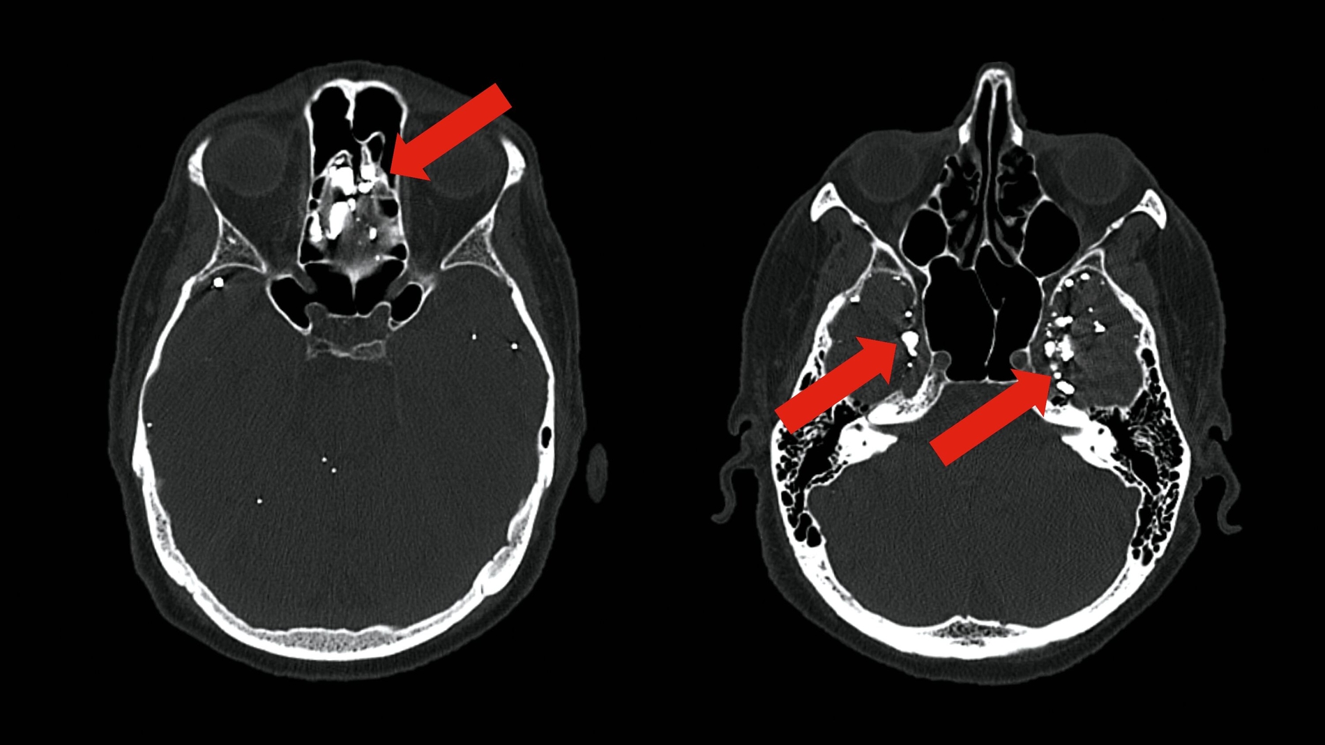
Das CT bestätigte multiple, teils rundliche, teils längliche, hoch röntgendichte Ablagerungen innerhalb der Liquorräume, vor allem supratentoriell und in den frontobasalen Abschnitten. Es zeigten sich keine Hinweise auf eine Liquorzirkulationsstörung, keine Raumforderungen, keine Mittellinienverlagerung und ein insgesamt unauffälliger Sella- und retrobulbärer Befund. Die basalen Zisternen waren frei. Die knöchernen Strukturen, einschließlich der Mastoidzellen, wiesen keine pathologischen Veränderungen auf.
Die beschriebenen Ablagerungen entsprachen dem röntgenologischen Eindruck aus dem OPG und warfen die Frage nach ihrer Genese auf. Eine mögliche differenzialdiagnostische Überlegung waren Ablagerungen des mittlerweile sehr selten verwendeten, öligen Kontrastmittels Lipiodol.
Bei der Befundmitteilung und dem nachfolgenden Gespräch mit dem Patienten kam zunächst die Darmkrebserkrankung von 2005 zur Sprache. Im Rahmen des Stagings war zuvor ein CT mit Kontrastmittel durchgeführt worden, allerdings nicht mit einem öligen Präparat wie Lipiodol. Nachfolgend stellte sich aber heraus, dass in den 1970er-Jahren nach einem schweren Motorradunfall und einer Fraktur der Brustwirbel (BWK 6/7) eine CT-Diagnostik mit Kontrastmittel durchgeführt worden war. Damals hatte der Patient über drei Monate immobilisiert gelegen. Lipiodol wurde seinerzeit – wie offenbar auch bei unserem Patienten – zur Darstellung des Spinalkanals verwendet.
Diskussion
Lipiodol ist ein jodiertes Mohnsamenöl, das seit 1921 als Kontrastmittel in der Radiologie verwendet wird. Es enthält pro Milliliter etwa 0,54 g Jod und ist daher stark röntgendicht. Sein hauptsächlicher Anwendungsbereich war die Nutzung als Kontrastmittel in der diagnostischen Bildgebung, insbesondere zur Darstellung von Speicheldrüsenausführungsgängen (Sialografie), Liquorräumen (Myelografie) und zur Darstellung von Uterus und Tuben (Hysterosalpingografie). Bei myelografischen Untersuchungen in den 1960er- bis 1980er-Jahren wurde Lipiodol in die Liquorräume (intrathekal) appliziert, um den Spinalkanal bildlich darzustellen.
Aktuelle Nutzungen beschränken sich im Wesentlichen auf interventionelle Therapieverfahren. Lipiodol wird dabei in Tumor-versorgende Gefäße (zum Beispiel von Lebertumoren) injiziert und sorgt für eine Embolisation. Dabei wird es teilweise mit radioaktivem Jod oder einem Chemotherapeutikum versetzt. Weiterhin wird es in einigen Regionen der Erde als Langzeitsubstitut bei Jodmangel genutzt.
Es ist bekannt, dass sich Lipiodol nach intrathekaler Applikation innerhalb der Liquorräume absetzen und dort dauerhaft verbleiben kann. Dokumentiert sind Fälle, in denen Lipiodol-Ablagerungen über Jahre hinweg sichtbar blieben, oft als kleine eingekapselte Globuli. Im Bereich der zahnärztlichen Bildgebung existiert nach unserem Kenntnisstand bislang lediglich ein einziger Fallbericht über die Darstellung von Lipiodolablagerungen – jedoch im Bereich der Speicheldrüsen nach Sialografie [Nocini et al., 2023].
Die röntgendichten Strukturen lassen sich mit sehr hoher Wahrscheinlichkeit auf die frühere Lipiodol-Gabe nach der Rückenmarksverletzung zurückführen. Der Patient wurde über die Natur des Befunds ausführlich aufgeklärt. Es besteht weder Behandlungsbedarf – noch eine echte Behandlungsmöglichkeit.
Wir erklärten dem Patienten, dass dies – nach unserem Kenntnisstand – der erste dokumentierte Fall ist, in dem solche intrakraniellen Lipiodolablagerungen im Rahmen einer zahnärztlichen OPG-Aufnahme sichtbar wurden. Bei zuvor erfolgten Röntgenaufnahmen war der Patient scheinbar nicht auf diesen Befund aufmerksam gemacht worden.
Fazit
Dieser Fall unterstreicht, wie bedeutsam ein interdisziplinäres Verständnis radiologischer Auffälligkeiten und eine fundierte Anamnese im zahnärztlichen Alltag sind. Ungewöhnliche radiodichte Strukturen im OPG müssen nicht zwingend aus dem oro- oder perioralen Bereich stammen. Die Berücksichtigung systemischer Vorerkrankungen und früherer medizinischer Eingriffe kann entscheidend zur Einordnung beitragen. Lipiodol-Depots stellen in sehr seltenen Fällen eine relevante Differenzialdiagnose dar.
Literaturliste
Nocini, R., Sacchetto, L., Zarantonello, M., Pardo, A., Bonioli, M., & De Santis, D. (2023). Rätselhafte Formationen bei Routineuntersuchungen der Orthopantomographie (OPG): Ein Fallbericht. Diagnostics , 13 (5), 840. doi.org/10.3390/diagnostics13050840.






