Synoviale Chondromatose des Kiefergelenks als Ursache arthrogener Beschwerden
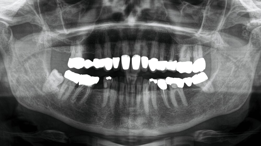
Eine 63-jährige Patientin stellte sich mit einem durch den Hauszahnarzt detektierten Zufallsbefund im linken Kiefergelenk vor. Aufgrund von Mundöffnungsstörungen hatte sie einen Monat zuvor dessen Praxis aufgesucht. Auf der in der Praxis angefertigten Panoramaschichtaufnahme (Abbildung 1) erkennt man opake, rundlich-strukturierte Raumforderungen über dem linken Kiefergelenk.
Nebenbefundlich berichtete die Frau über eine persistierende Müdigkeit, ein Schwächegefühl und Verspannungen der Nackenmuskulatur. Im Rahmen der weiteren differenzialdiagnostischen Abklärung durch den behandelnden Hausarzt wurde eine Polymyalgia rheumatica (Autoimmunerkrankung mit Vaskulitits) diagnostiziert und mittels Kortikosteroiden behandelt. In der Folge verschwanden auch die Beschwerden im Bereich des Kiefergelenks. Dennoch erfolgte aufgrund der Persistenz der Gelenkkörper eine Vorstellung an der Universitätsklinik.
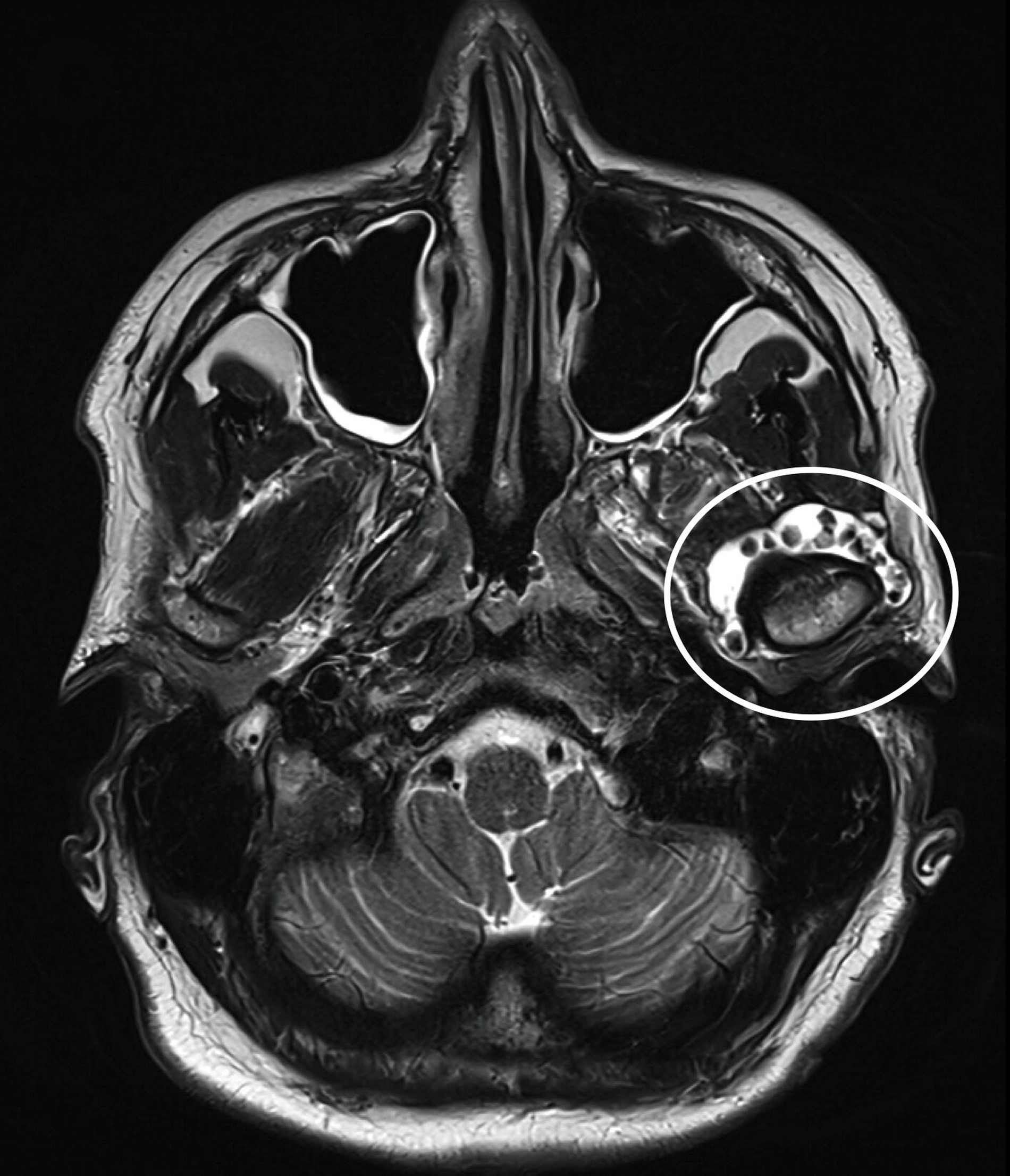
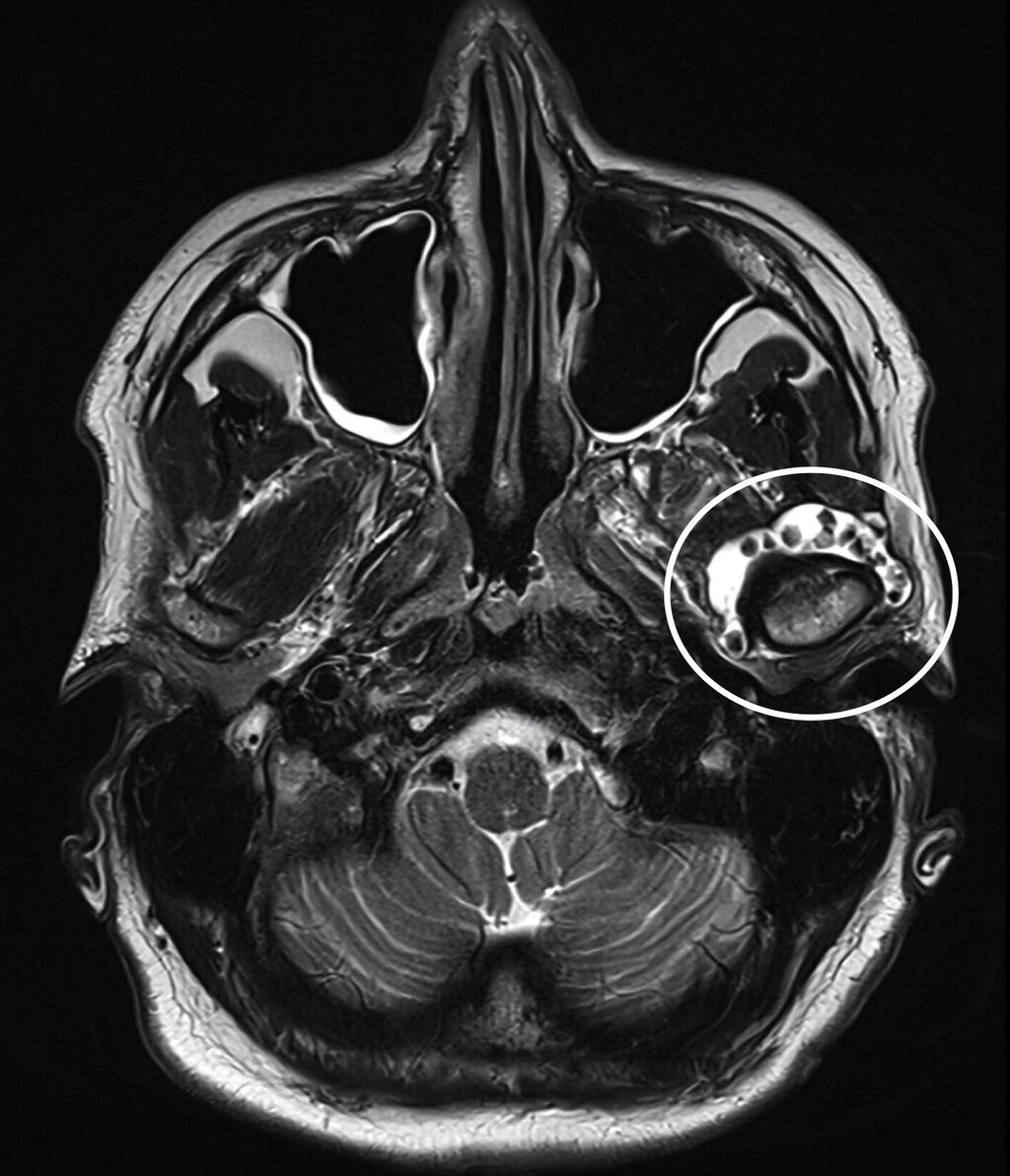
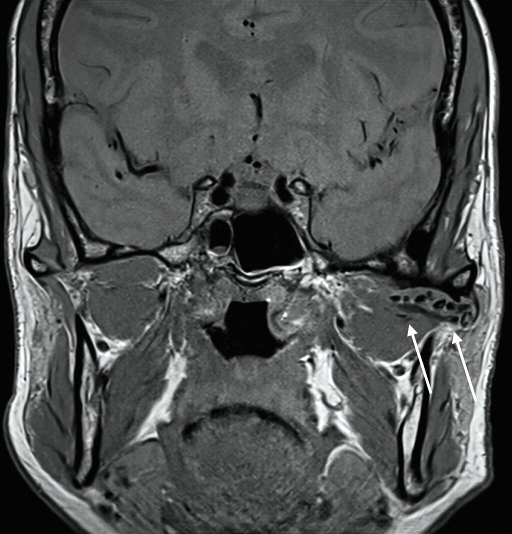
Klinisch zeigte sich kein Hinweis auf eine Myopathie der Kaumuskulatur. Zudem waren weder eine Mundöffnungsbehinderung noch ein Kiefergelenkgeräusch detektierbar. In Anbetracht der klinischen und der radiologischen Verdachtsdiagnose wurde eine Magnetresonanztomografie durchgeführt (Abbildung 2), die eine deutliche Flüssigkeitskollektion zirkulär im Bereich des linken Kiefergelenks mit multiplen, a. e. hyalinen Fragmenten sichtbar macht.

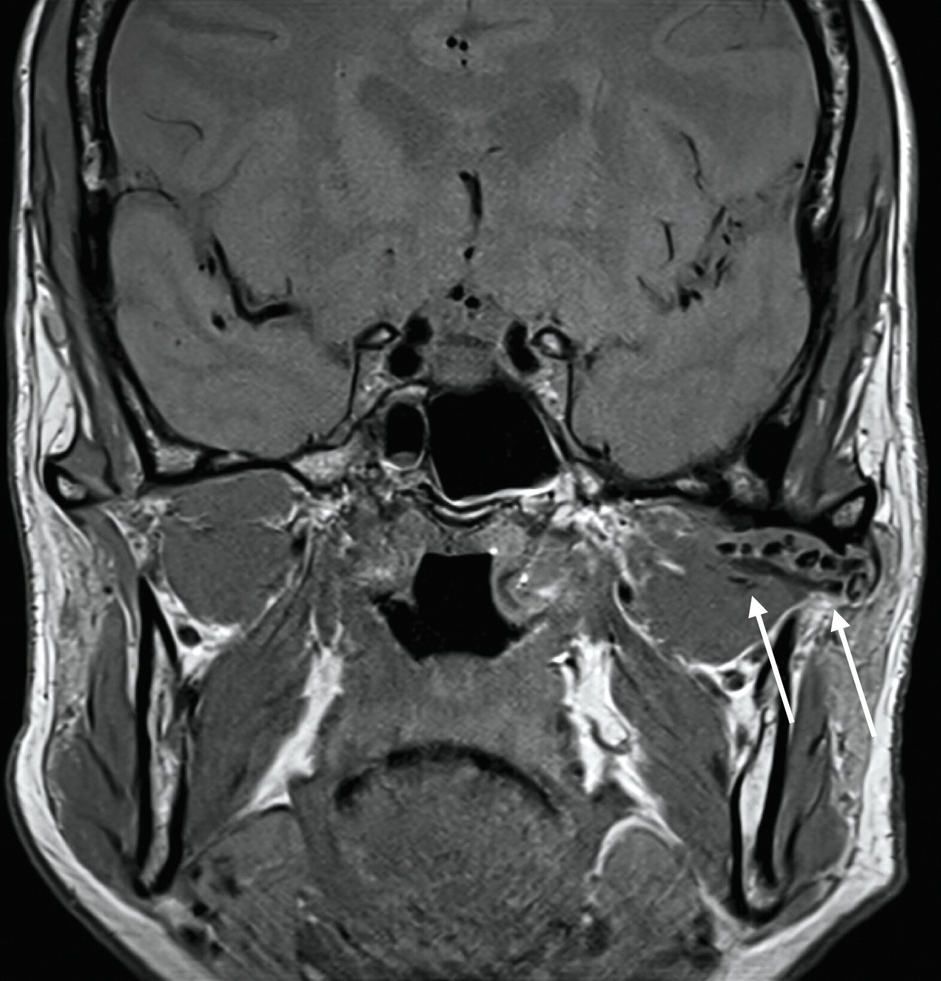
Bei nunmehr erhärteter radiologischer Verdachtsdiagnose auf das Vorliegen einer synovialen Chondromatose erfolgte, entsprechend dem Patientenwunsch, die offen-chirurgische Resektion der multiplen Gelenkkörper in Intubationsnarkose. Der Zugang wurde klassisch präaurikulär mit einer temporalen Extension zum Schutz des Ramus temporalis des Nervi facialis gewählt (Abbildung 3a). Unmittelbar nach Eröffnung der Kiefergelenkkapsel entleerten sich rasch mehrere kleine, knorpelige Raumforderungen (Abbildung 3b), die im Rahmen des Eingriffs vollständig entfernt wurden (Abbildung 3c). Der erweiterte, nun leere obere Gelenkspalt ist in Abbildung 3d dargestellt.

Der histopathologische Befundbericht bestätigte die Verdachtsdiagnose der synovialen Chondromatose – es fanden sich im Präparat mehrere Gewebsfragmente mit reifem Knorpelgewebe und Verkalkungen.
Die Patientin konnte nach einem zweitägigen stationären Aufenthalt in die ambulante Weiterbetreuung entlassen werden. Die postoperative Kontrolle zeigte einen regelrechten Befund. Um etwaigen Vernarbungen und konsekutiven Bewegungsstörungen vorzubeugen, wurde die Patientin unmittelbar postoperativ instruiert, geführte Bewegungen (Protrusion, Laterotrusion, Mundöffnung – reduziert) selbstständig mehrfach täglich durchzuführen. Zudem wurde eine Physiotherapie verordnet, die unmittelbar nach der Entlassung aus dem Krankenhaus begann.
Diskussion
Bei der synovialen Chondromatose des Menschen handelt es sich um eine eher seltene, knorpelige Metaplasie der Synovia mit Gelenkkörpern.
In den meisten Fällen betrifft die Erkrankung große Gelenke; nur in circa drei Prozent der Fälle ist das Kiefergelenk betroffen [Song et al., 2022]. In 73 bis 80 Prozent der Fälle erkranken Frauen des mittleren Alters zwischen 43 und 55 Jahren. Beinahe immer sind die Gelenkkörper unilateral anzutreffen [Guarda-Nardini et al., 2010; Lee et al., 2019; Destruhaut et al., 2021; Gonzalez et al., 2023].
Der zentrale pathogenetische Mechanismus wird in einer Metaplasie des subsynovialen mesenchymalen Gewebes gesehen, aus der sich knorpelige Noduli entwickeln. Diese können sich von der Synovia ablösen und als freie Gelenkkörper im Gelenkspalt persistieren. Bislang wurden zwei Formen der Erkrankung beschrieben:
Die primäre synoviale Chondromatose: Sie entsteht scheinbar ohne Grund oder Prädisposition [Sembronio et al., 2023].
Die sekundäre synoviale Chondromatose: Sie wird mit Traumata, einer chronischen Gelenküberlastung, schwergradigen strukturellen arthrogenen Gelenkerkrankungen, degenerativen oder inflammatorischen Gelenkerkrankungen oder Parafunktionen assoziiert [Lahrach et al., 2023; Martins et al., 2025].
Bei der synovialen Chondromatose des Kiefergelenks handelt es sich um eine seltene Fehlregulation des synovialen Überzugs der Gelenkflächen und des Diskus articularis mitsamt des Bandapparats. Umgangssprachlich werden diese auch als „Gelenkmäuse“ bezeichnet und weisen eine Größe von Reiskörnern oder größer auf [Reich und Neff, 2022].
Durch die zunehmende Füllung des Gelenkspalts kann es zu Krepitation und Schmerzen in Funktion kommen [Benslama et al., 2019; Lee, Zhu et al., 2019; Song et al., 2022; Gonzalez et al., 2023; Vladimir et al., 2024]. Häufig korreliert die Anzahl der Gelenkkörper mit der Schmerzstärke, da es dadurch zu einer Überdehnung der Gelenkkapsel und einer Reizung des Aufhängeapparats des Diskus kommt [Reich und Neff, 2022]. Durch die mechanische Behinderung im Funktionsablauf kann es zudem zu Einschränkungen der Kieferöffnung kommen. Wie in diesem Fall können außerdem, bedingt durch die zunehmende Distraktion des Gelenks, eine Bissöffnung im Seitenzahnbereich der betroffenen Seite sowie eine präaurikuläre Schwellung ipsilateral auftreten [Reich und Neff, 2022].
Die differenzialdiagnostische Abklärung erfolgt nach eingehender Anamnese und klinischer Untersuchung zunächst über die bildgebende Darstellung mittels Magnetresonanztomografie, da die nicht verkalkten Gelenkkörper in der Nativ-Computertomografie (und in der Digitalen Volumentomografie) nicht oder nur sehr spät nachweisbar sind. Die Panoramaschichtaufnahme ist gerade in frühen Phasen der Erkrankung häufig nicht zielführend. In späten Erkrankungsstadien können die Distraktion des Gelenkspalts oder die sekundäre Verkalkung auf das Vorhandensein der Gelenkkörper hinweisen [Reich und Neff, 2022].
Die Therapie der Wahl besteht aufgrund der Größe und der Vielzahl der Gelenkkörper in der offen-chirurgischen Ausräumung. In der anschließenden histopathologischen Aufarbeitung muss die Verdachtsdiagnose bestätigt werden und zeigt typischerweise reifes Knorpelgewebe mit oder ohne Verkalkungen [Reich und Neff, 2022]. In der Literatur werden Rezidivraten von ein bis elf Prozent angegeben, allerdings werden langfristige Kontrollen mittels MRT aufgrund der langsamen Entwicklung der Gelenkkörper empfohlen, um Rezidive frühzeitig zu erkennen [Benslama et al., 2019; Jannati et al., 2021; Song et al., 2022; Lahrach et al., 2023; Vladimir et al., 2024].
Fazit für die Praxis
Die synoviale Chondromatose ist eine seltene, benigne Gelenkerkrankung mit knorpeligen freien Gelenkkörpern.
Das Kiefergelenk in nur in etwa drei Prozent der Fälle betroffen.
Die Gelenkkörper treten meist unilateral auf; überwiegend sind Frauen im mittleren Lebensalter betroffen.
Leitsymptome sind Krepitation, funktionsabhängige Schmerzen, eine eingeschränkte Mundöffnung, ein schleichend entstehender einseitig offener Biss, gegebenenfalls eine präaurikuläre Schwellung.
Die MRT ist die bildgebende Methode der Wahl.
Die Therapie der Wahl besteht in der offen-chirurgischen Entfernung der Gelenkkörper.
Differenzialdiagnostisch ausgeschlossen werden müssen andere Kiefergelenkerkrankungen. Die Krepitation als Symptom kann zur Verwechslung mit einer Arthrose oder frühen Stadien rheumatologischer Grunderkrankungen wie der Arthritis führen. Der sich schleichend entwickelnde seitlich offene Biss kann zudem auch ein Indiz auf das Vorliegen einer kondylären Hyperplasie oder eines Osteochondroms sein [Heimes et al., 2025].
Funktionsabhängige Schmerzen hingegen treten bei einer Vielzahl arthrogener Erkrankungen auf; hierzu zählen neben den bereits genannten Differenzialdiagnosen auch die Diskusverlagerung mit und ohne Reposition sowie die Diskusperforation. Nicht zuletzt treten bei der chronischen Arthritis auch schleichende Kieferöffnungsbehinderungen bis hin zur Ankylose sowie Systemerkrankungen wie die Gicht auf. Zusammenfassend kann also nur die Kombination aus einer zielgerichteten Anamnese und der klinischen Untersuchung sowie der Einleitung der korrekten bildgebenden Diagnostik auf Basis der erhobenen Befunde zu einer sicheren Diagnose der synovialen Chondromatose führen.
Literaturliste
Benslama L, T Schouman, S Toure, J Chardain and P Goudot: Synovial chondromatosis of the temporomandibular joint: Report and analysis of 12 cases. J Stomatol Oral Maxillofac Surg 120:476-479, 2019.
Destruhaut F, A Dubuc, A Bos, L Fabie, P Pomar, JC Combadazou, A Hennequin and S Laurencin: Diagnosis of Synovial Chondromatosis of Temporomandibular Joint: Case Report and Literature Review. Healthcare (Basel) 9:2021.
Gonzalez LV, JP Lopez, MP Orjuela, M Mejia, DM Gallo-Orjuela and RM Granizo Lopez: Diagnosis and management of temporomandibular joint synovial chondromatosis: A systematic review. J Craniomaxillofac Surg 51:551-559, 2023.
Guarda-Nardini L, F Piccotti, G Ferronato and D Manfredini: Synovial chondromatosis of the temporomandibular joint: a case description with systematic literature review. Int J Oral Maxillofac Surg 39:745-755, 2010.
Heimes D, DGE Thiem and PW Kämmerer: Diagnostik und Therapie bei benignen Tumoren des Kiefergelenks – Der besondere Fall mit CME zahnärztliche Mitteilungen 2025.
Jannati S, C Pretzl, N Ali and S Holmes: Synovial chondromatosis of the temporomandibular joint and its management. Dental Update 48:2021.
Lahrach M, K Nini, M Hattab, Z Aziz, M Elbouihi and N Hattab: Synovial Chondromatosis of the Temporomandibular Joint with Extension to the Glenoid Fossa. SAS Journal of Surgery 2023.
Lee LM, YM Zhu, DD Zhang, YQ Deng and Y Gu: Synovial Chondromatosis of the Temporomandibular Joint: A clinical and arthroscopic study of 16 cases. J Craniomaxillofac Surg 47:607-610, 2019.
Martins G, R Villafort, M Amaral, J De Arruda, L Abreu, P Caldeira and R De Mesquita: Synovial chondromatosis of the temporomandibular joint: a case report. . Oral Surgery, Oral Medicine, Oral Pathology and Oral Radiology 2025.
Reich RH and A Neff (2022). Atlas Kiefergelenkerkrankungen und -verletzungen. Deutschland, Elsevier GmbH.
Sembronio S, L Raccampo, A Tel, M Di Cosola, S Troise, G Dell'Aversana Orabona and M Robiony: The Role of Temporomandibular Joint Arthroscopy for Diagnosis and Surgical Management of Synovial Chondromatosis. Diagnostics (Basel) 13:2023.
Song Z, S Yuan, J Liu, AD Bakker, J Klein-Nulend, JL Pathak and Q Zhang: Temporomandibular joint synovial chondromatosis: An analysis of 7 cases and literature review. Sci Prog 105:368504221115232, 2022.
Vladimir M, V Vasilis, H Dusan, P Robert, B Michal and F Rene: TMJ synovial chondromatosis - an evaluation of 37 patients. Oral Maxillofac Surg 28:1653-1660, 2024.












