Bicon: Die Vorteile des CAD/CAM-Werkstoffs TRINIA
TRINIA wurde entwickelt, um Zahnärzten und Zahntechnikern eine CAD/CAM-gefräste metallfreie Alternative zu Metallrestaurationen anzubieten. Wo liegen die Nachteile von Metallrestaurationen?Dr. Vincent J. Morgan:
Restaurationen aus Metall haben viele Nachteile, deswegen fragen Patienten ihre behandelnden Zahnärzte auch immer häufiger nach Alternativen. An erster Stelle steht wohl die Angst vor einer allergischen Reaktion, da Metalle diese unter Umständen auslösen können. Des Weiteren sind Metallrestaurationen relativ schwer und werden daher vom Patienten eher als Fremdkörper im Mund empfunden. Auch entsprechen Restaurationen aus Metall nicht mehr dem gestiegenen Anspruch der Patienten an ästhetische Lösungen, denn die Farbe von Metallen hebt sich deutlich von Gingiva und Zähnen ab. Darüber hinaus isolieren Metalle gegen Temperatur weit schlechter als Zähne. Das liegt an ihrer höheren Wärmeleitfähigkeit. Jeder Patient mit tiefen Amalgamfüllungen oder auch Gold-Inlays kennt das Problem. Die Verwendung von TRINIA hingegen bietet einen völlig neuen und verbesserten Patientenkomfort: Der Patient hat keinen unangenehmen metallischen Geschmack mehr im Mund und empfindet ein leichtes und spannungsfreies Tragegefühl gleich nach dem Einsetzen der Restauration. Auch überzeugt die ansprechende Ästhetik, die durch die Verwendung von TRINIA bei der Verarbeitung von Restaurationen erreicht wird.
Welche Materialeigenschaften machen TRINIA zu einer perfekten Alternative zu Metall?Morgan:
Bei der Entwicklung von TRINIA war es uns wichtig, ein Material herzustellen, das sich durch eine sehr hohe Biokompatibilität auszeichnet. Und das ist uns gelungen. Diverse Tests konnten zeigen, dass das Material auf Basis von Epoxidharz und Fiberglas weder erbgutschädigend ist, noch eine Zytotoxizität induziert. Der Werkstoff wirkt nicht reizend, führt zu keinerlei allergischen Reaktionen. Darüber hinaus verursacht TRINIA keine anderen negativen körperlichen Symptome beim Patienten nach dem Einsetzen einer entsprechenden Restauration.
Doch nicht nur die besondere Verträglichkeit von TRINIA macht es zum Produkt der ersten Wahl. Das Kunststoffmaterial zeichnet sich durch eine hohe Biegefestigkeit aus. Sein Elastizitätsmodul ist vergleichbar mit natürlichem Dentin. Durch diese außergewöhnliche Elastizität federt jede aus TRINIA gefertigte Konstruktion so gut ab, wie die Sharpey'schen Fasern des natürlichen Zahnhalteapparates. Dadurch eignet sich das Material, anders als deutlich unflexibleres Metall, auch zur Versorgung schwieriger Situationen. Und das trotz des sehr geringen Gewichts.
Für welche Arten von Restaurationen kann TRINIA eingesetzt werden?Morgan:
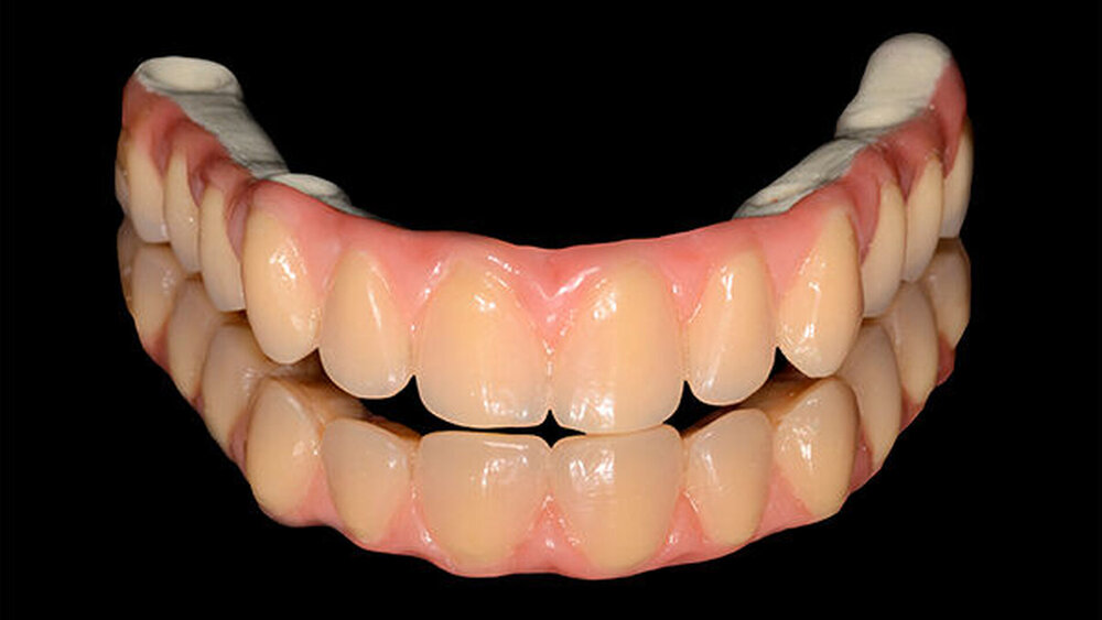
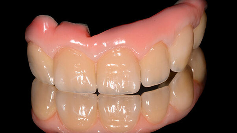
TRINIA eignet sich für die Herstellung von Kappen, Gerüstaufbauten oder Rahmenkonstruktionen sowie für Front- und Seitenzahnkronen und -brücken. Diese Konstruktionen lassen sich auf natürlichen Zähnen oder auch auf Implantaten anbringen. Restaurationen aus dem neuartigen Kunststoff TRINIA können zementiert werden, müssen es aber nicht. Darüber hinaus können sie mit verschraubten oder teleskopierenden Restaurationen verankert werden. Durch seine besonderen Materialeigenschaften ist TRINIA auch für die permanente Versorgung durch Inlays, Onlays, Kronen, Brücken, Veneers oder Teilprothesen geeignet.
Was macht den Einsatz von TRINIA so einfach?Morgan:
TRINIA ist kompatibel mit zahlreichen führenden Implantatsystemen. Darüber hinaus kann das Material auf sämtlichen Maschinen mit Standardaufnahme, nass und trocken, verarbeitet werden. Die Discs und Blöcke entsprechen dem Industriestandard. TRINIA weist eine gute Verbundfähigkeit auf und auch die lieferbaren Grundfarben, Pink oder Elfenbein, erleichtern die Weiterverarbeitung. Auch ist kein Brennen erforderlich. Somit bringt der Einsatz von TRINIA eine erhebliche Kosten- und Zeit-Ersparnis im Labor mit sich.
Bicon Europe Ltd.
Dietrichshöhe 2, D-55491 Büchenbeuren
Tel.: +49 6543 - 818200, Fax: +49 6543 - 818201










