Echte Bildqualität und neue Investitionsvorteile für extraorale Röntgengeräte
Anfang September startet Dentsply Sirona mit der neuen Kampagne „Echt.“ für extraorale Röntgengeräte in den Herbst: Bis einschließlich 31. Dezember 2020 haben interessierte Zahnärzte die Möglichkeit, die Röntgengeräte der Orthophos-Familie im Rahmen einer Live-Demo in der eigenen Praxis kennenzulernen und sich von den Röntgenexperten von Dentsply Sirona ganz individuell beraten zu lassen. Als begleitende Vertriebsaktion werden auf die Röntgengeräte Orthophos E, S und SL zusätzliche Preisvorteile gewährt. Um Patienten die bestmögliche Behandlung zuteilwerden zu lassen, ist es notwendig, technisch auf dem neusten Stand zu bleiben, da sich Gerätesoftware und -technik ständig weiterentwickeln und verbessern. Um dies in der aktuellen Situation zu erleichtern, ergänzt Dentsply Sirona die Maßnahmen des Konjunkturpakets der Bundesregierung mit einem zusätzlichen attraktiven Aktionsvorteil.
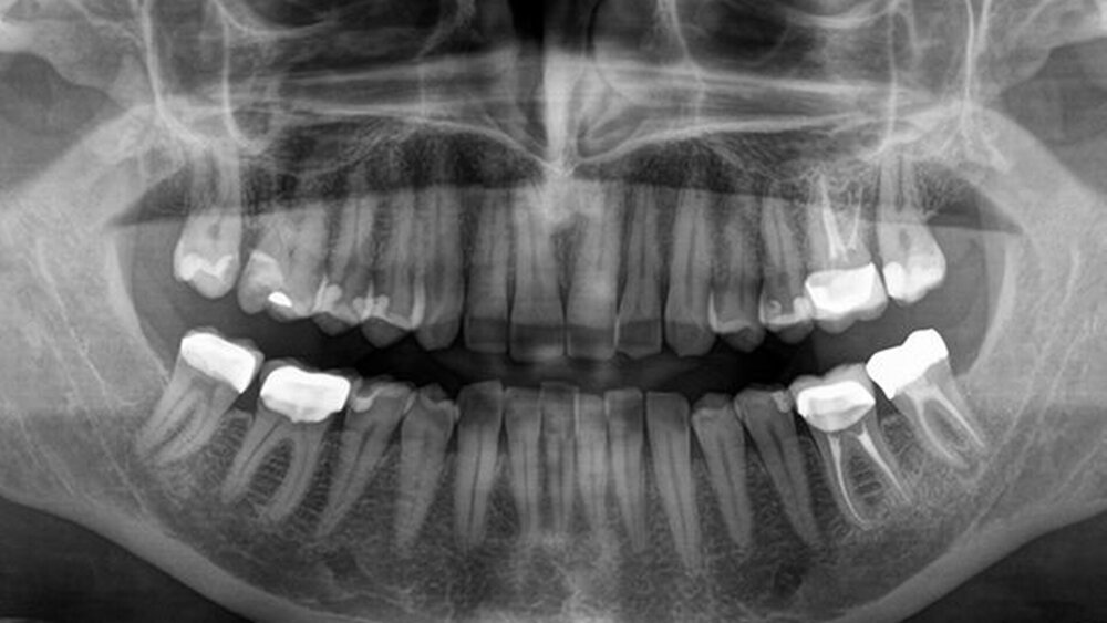
Die Orthophos-Familie
Die Geräte der Orthophos-Familie gehören zur neuesten Generation digitaler extraoraler Röntgengeräte. Sie bestechen durch eine außergewöhnliche Bildqualität und eine komfortable Bedienung.
Der Orthophos S beispielsweise ist sowohl in 2D als auch in 3D ein echter Allrounder seiner Klasse. Sein CsI-Plus-Sensor mit Autofokus-Funktion sorgt für zeichenscharfe Aufnahmen – auch in anatomisch schwierigen Fällen. Denn es sind anders als bei herkömmlichen Geräten keine manuellen Zwischenschritte notwendig, um den Kiefer des Patienten in allen Bereichen optimal in der Schärfe darzustellen. Dank der Autopositionierung mit dem patentierten Okklusalaufbiss werden Patienten ganz automatisch im Gerät ausgerichtet. Der Orthophos S verfügt über umfassende 2D-Programme für alle zahnmedizinischen Fragestellungen. Für den Einsatz in der Kieferorthopädie ist das Gerät optional mit einem Fernröntgenausleger verfügbar. Auch das 3D-Modul ist jederzeit nachrüstbar, um maximal flexibel zu sein.
Investitionsvorteile in Anspruch nehmen
Interessenten können bis einschließlich 31. Dezember 2020 die Preisvorteile von Dentsply Sirona nutzen. Auf der Website
http://www.dentsplysirona.com/echt
, über die Telefon-Hotline +49 (0)621 4233- 320 oder per Fax unter +49 (0)621 4233-579 können Termine für eine Live-Demo oder weitere Informationen angefragt werden.
Zusätzlich zu den Preisvorteilen von Dentsply Sirona profitieren Käufer natürlich von den Investitionsvorteilen des Konjunkturpakets der Bundesregierung: Bei Lieferung des Gerätes noch in 2020 greift die reduzierte Mehrwertsteuer von 16 Prozent. Durch die Wiedereinführung der degressiven AfA (Absetzung für Abnutzung) können steuerliche Entlastungen zeitlich vorgezogen werden. Darüber hinaus ist es möglich, bei Vorliegen der Förderungsvoraussetzungen über die Hausbank zinsgünstige öffentliche Mittel mit Laufzeiten bis zu zehn Jahren und zwei tilgungsfreien Jahren zu nutzen.
Weitere Produkthinweise und Informationen zum Konjunkturpaket, zur begleitenden Vertriebsaktion sowie zu den Registrierungsmöglichkeiten für einen Demo-Termin und ein persönliches Angebot stehen unter
http://www.dentsplysirona.com/echt
zur Verfügung.
Unter dem Motto „Echt.“ startet Dentsply Sirona zum 1. September seine neue extraorale Röntgen-Kampagne. Die Kampagne macht auf die zuverlässige Bildqualität beim Röntgen mit den Orthophos-Geräten aufmerksam.





