Einfach alles sehen mit dem CS 8200 3D
Ob Implantologen, Chirurgen oder Zahnärzte: Als Mediziner verfolgen sie alle das Ziel, ihre Patienten optimal zu behandeln und ein bestmögliches Ergebnis zu erzielen. Dafür muss sich der Behandler ein möglichst umfassendes Bild von der Behandlungssituation machen können. Carestream Dental unterstützt seine Kunden seit vielen Jahren dabei, eine besonders exakte Anamnese als Grundbaustein für eine gelungene Therapie durchzuführen.
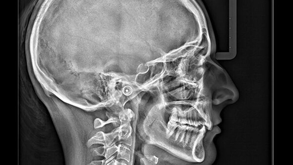
Jedes Detail im Blick
Mit seiner neuen Produktlinie CS 8200 3D ist es Carestream Dental gelungen, auf dem Erfolg seiner CS 8100 3D-Familie aufzubauen, die für ihr schlankes Design, ihre benutzerfreundlichen Funktionen und ihre einfache Installation bekannt ist. Carestream Dentals CS 8200 3D ist eine vielseitige 4-in-1-DVT-Lösung, die praktisch alle Anforderungen an Bildgebungsanwendungen in der Praxis erfüllt. Mit ihr entgeht dem Behandler kein Detail mehr.
Mehr Volumengrößen – Inhouse-Behandlungsspektrum erweitern
Exaktere, hochauflösende und umfassendere Bildaufnahmen: Mit dem CS 8200 3D wird das möglich. Optional bringt die Einheit neben fünf weiteren eine ausgesprochen umfassende Volumengröße von bis zu 12 x 10 cm für Bildaufnahmen mit: Mit dieser werden nun Scans des gesamten Kiefers möglich. Dadurch, dass die Volumengröße nachrüstbar ist, haben auch Behandler, die gerade noch keine Notwendigkeit für dieses Diagnose-Spektrum sehen, die Möglichkeit, diese zu einem späteren Zeitpunkt nachzurüsten.
„Die CS 8200 3D-Produktlinie hilft ZahnmedizinerInnen dabei, ihre Behandlungsmöglichkeiten zu erweitern und somit ihren Patienten mehr Behandlungsschritte inhouse bieten zu können. So behalten sie die Kontrolle über ihre Fälle. Und auch für die Patienten ist es – gerade angesichts der globalen Gesundheitskrise – bequemer, nur eine Praxis aufsuchen zu müssen", sagt Andreas Binder, Regional Sales & Service Director Central EMEA (Wirtschaftsraum Europe – Middle East – Africa) bei Carestream Dental.
Neueste Premiumtechnologien für herausragende Bildqualität
Doch nicht nur die Hochfrequenzgeneratoren und hochmodernen Sensoren, mit denen das CS 8200 3D ausgestattet ist, garantieren Präzision bei der Bildgebung: Die Einheiten von Carestream Dental sind zusätzlich mit neuen, fortschrittlichen Software-Algorithmen ausgestattet, welche die Bilder im Nachgang bearbeiten und dem Behandler somit mehr Sicherheit bei der Diagnosestellung bieten.
Eine der neuesten Innovationen stellt hierbei die Tomosharp-Technologie dar. Der Algorithmus erzeugt mühelos scharfe Panoramabilder – selbst, wenn der Patient nicht perfekt ausgerichtet ist. Gleichzeitig reduziert die Advanced Noise Reduction, ebenfalls eine neu entwickelte Software, erfolgreich das Bildrauschen, während wichtige Details erhalten bleiben. Als Resultat gelingt es dem Behandler, verbesserte Aussagen zur Diagnostik des kortikalen Knochenrands, zum Parodontalspalt, Weichgewebe und anderer feiner Details wie Minifrakturen oder Wurzelkanäle zu tätigen.
DIE Lösung für praktisch alle täglichen Bildgebungsanwendungen
Mithilfe der einzigartigen CS MAR-Technologie mit Live-Vergleichs-Funktion bietet Carestream Dental zusätzlich ein optional auswählbares 3D-Bildgebungsfeature an: Die automatische Metall-Artefakt-Reduzierung sorgt dafür, dass Metallobjekte im Mundraum klarer dargestellt werden. Ein Echtzeit-Vergleich mit einer Aufnahme ohne CS MAR bietet dem Behandler stets den besten Blick auf die Behandlungssituation. Angesichts dieser innovativen Produktfeatures ist der CS 8200 3D die Lösung für nahezu alle täglichen Bildgebungsanwendungen.
Kieferorthopäden haben zusätzlich die Möglichkeit, den Scan Ceph-Fernröntgen-Arm für herausragende kephalometrische Bildgebung und Scanzeiten wahlweise zu kaufen oder später nachzurüsten. Bei Fernröntgen-Aufnahmen, die mithilfe des Scan Ceph-Arms angefertigt werden, wird mithilfe der Auto Tracing Option – in der Vergangenheit bekannt unter KFO-Modul – in nur zehn Sekunden eine automatisierte Durchzeichnung erstellt. Diese vereinfacht die Diagnostik zusätzlich: Integriert in Carestream Dentals Imaging Software – CS Imaging version 8 – erkennt das KFO-Modul (oder das Auto-Tracing-Modul) automatisch anatomische Strukturen und führt die Durchzeichnung durch. So spart das gesamte Team wertvolle Zeit und erhält schnellere Ergebnisse. Diese Software deckt die gängigsten Analyse-Verfahren ab, wie Ricketts, McNamara, Steiner und Tweed.
Ultrakompakt + intuitiv bedienbar + bessere Kommunikation = effizienter Workflow
Der CS 8200 3D ist nicht nur mit umfangreichen Funktionen ausgestattet, sondern durch sein Design und seine Bedienfreundlichkeit praktisch in jeder Praxis sofort einsatzbereit. Zum einen ist die Einheit ultrakompakt und so auch für kleinste Praxisräume geeignet. Zum anderen verfügt sie dank der CS Imaging Version 8 Software über eine Benutzeroberfläche, die absolut intuitiv bedienbar ist: Nur wenige Klicks reichen und die Patientenakte wird sofort übersichtlich dargestellt. Unterschiedliche Aufnahmen wie 2D-Bilder, 3D-Bilder und CAD/CAM-Daten lassen sich im Sinne einer zentralen Bildbibliothek auf einem Bildschirm ansehen, ohne zwischen Programmen wechseln zu müssen. Mithilfe der Kommentarfunktion können Bilder beschriftet und so die Patientendaten noch einfacher verwaltet werden.
Doch auch die Kommunikation mit Patienten und Kollegen wird vereinfacht: Patienten werden in die Lage versetzt, dank qualitativ hochwertiger Aufnahmen den Behandlungsplan besser zu verstehen. Das steigert die Akzeptanz der Behandlungsplanung. Die Kommunikation mit Überweisern und Laboren gestaltet sich mittels des kinderleichten Datenexports und -transfers, unterstützt durch Drag and Drop-Funktion, vollkommen reibungslos. Mit diesen und weiteren Funktionen unterstützt die Software die Optimierung des praxiseigenen Workflows und gestaltet die Arbeit effizienter. Carestream Dental steht seinen Kunden dabei als Innovator und „Enabler“ digitaler Lösungen für die Zahnmedizin stets zur Seite.
Das neue CS 8200 3D vereint Panoramabildgebung, präzise DVT-Technologie und 3D-Modellscanning in einem Gerät – und einiges mehr. Damit der Behandler alles sehen und tun kann, um Patienten optimal zu versorgen.





