GC: Seniorengerechte Füllungstherapie
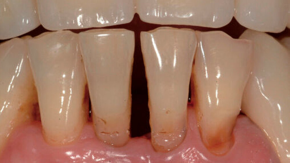
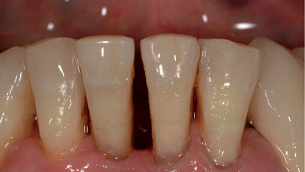
Die erfreuliche Nachricht: Viele Patienten verfügen auch noch im hohen Alter über ihre natürlichen Zähne (1) – den Prophylaxe-Bemühungen der vergangenen Jahrzehnte sei Dank. Die weniger erfreuliche Nachricht: Senioren weisen ein erhöhtes Kariesrisiko auf. Gründe hierfür liegen zum Beispiel in der reduzierten Speichelproduktion sowie der Mundtrockenheit, unter der ältere Patienten oft leiden. Dies gefährdet den schützenden Reinigungseffekt des Speichels und die Remineralisierung der Zahnoberfläche nach einem Säureangriff. Besonders stark nehmen die Fälle von Wurzelkaries im Alter zu. Zahlen aus dem Jahr 2005 belegen, dass fast jeder zweite Senior (45 Prozent) betroffen ist (2), dreimal mehr als bei einer Untersuchung acht Jahre zuvor. Werden nun noch die Prognosen (3) zur Altersentwicklung in Deutschland – 2030 soll jeder dritte Deutsche 60 Jahre oder älter sein – ins Kalkül gezogen, wird die wachsende Bedeutung einer seniorengerechten Füllungstherapie in der täglichen Praxis schnell deutlich.
Das zweistufige Füllungskonzept EQUIA ( GC ) wird den speziellen Ansprüchen älterer Patienten hervorragend gerecht. Es vereint dazu eine hochviskose Glasionomerkomponente (EQUIA Fil) mit einem nano-gefüllten, lichthärtenden Kompositlack (EQUIA Coat) – ein System, das sich in Praxen und klinischen Studien über verschiedene Zeiträume (4,5,6) als haltbares Restaurationsmaterial erwiesen hat. Wichtig gerade für die vielen Senioren, denen eine lange Behandlungsdauer mental und körperlich Stress bereitet, ist die kurze Verarbeitungszeit: Daten des Herstellers GC zufolge und abhängig von der Erfahrung des Anwenders ist mit EQUIA eine komplette Füllungslegung in nur drei Minuten und 25 Sekunden möglich. Die Bulk-Fill-Applikation macht es dem Behandler besonders leicht.
Zeitverzögerte Abgabe von Fluorid
Die kariesprotektive Wirkung von EQUIA durch eine zeitverzögerte Abgabe von Fluorid hilft zusätzlich, das erhöhte Kariesrisiko von Senioren zu senken. Und auch den vielen älteren Patienten mit einer niedrigen Rente kommt die fortschrittliche Füllungstherapie entgegen: Sie ist in den freigegebenen Indikationen nicht nur anwendbar, sondern auch über die Gesetzliche Krankenversicherung (GKV) abrechnungsfähig (ohne Mehrkostenvereinbarung nach den BEMA-Nummern 13a bis 13d)7.
Zusammengefasst: Mit EQUIA ist die zahnärztliche Praxis hervorragend auf die wachsende Herausforderung einer seniorengerechten Füllungstherapie vorbereitet. Das innovative Konzept erlaubt auf stressreduzierte Weise eine haltbare, ästhetisch zahnfarbene und gleichzeitig kostengünstige Versorgung des älteren Patienten. Gute Gründe – damit in Zukunft auch die Mundgesundheit zu den angenehmen Seiten des Seniorenlebens zählt.
Literatur:1. Online-Ausgabe der Mittelbayerischen Zeitung vom 25.09.20112. Vierte Deutsche Mundgesundheitsstudie (DMS IV), herausgegeben von der Kassenzahnärztlichen Bundesvereinigung und der Bundeszahnärztekammer3. nach Daten der Bundeszentrale für politische Bildung (bpb)4. Diem VTK et al. (2013): The effect of a nano-filled resin coating on the 3-year clinical performance of a conventional high-viscosity glass-ionomer cement. Clinical Oral Investigations DOI 10.1007/s00784-013-1026-z5. Klinke T, Daboul A, Biffar R (2013): EQUIA - RCT in the field (2013): Longevity after 24 months. CED IADR Florenz, 2013, Abstract 3. Abruf am 14.02.2014 unter: www.g-ba.de/downloads/62-492-78/RL-Z_Behandlung_2006-03-01.pdf






