Implantatpflege als Grundvoraussetzung zur Vermeidung periimplantärer Erkrankungen
Grundlagen für den Implantaterfolg
Eins sollte nicht vergessen werden: Eine Implantatbehandlung beginnt immer schon vor der eigentlichen Implantatinsertion. Zuerst wird individuell abgewogen, ob eine Rehabilitation mit Implantaten die geeignetste Therapieoption ist. Weiterhin wird geprüft, ob präventiv unterstützende Maßnahmen zur Verfügung stehen. Patienten sollten vorab informiert werden, dass dentale Implantate lebenslange Pflege und eine optimale häusliche Mundhygiene erfordern. Auch über potentielle Risiken muss aufgeklärt werden.
Weil auf exponierten Implantatflächen Biofilm entsteht, beinhaltet jede Implantation in der Mundhöhle ein Erkrankungsrisiko an sich, und periimplantäre Erkrankungen sind nicht selten. „Periimplantäre Erkrankungen“ ist der Sammelbegriff für periimplantäre Mukositis, die entzündliche Läsion der implantatumgebenden Schleimhaut und Periimplantitis, dem Zustand, der auch den umgebenden Knochen einbezieht. Die Verbreitung der periimplantären Mukositis betrifft 18.5 - 74.2% der Patienten. Von einer Periimplantitis sind 8 - 28% betroffen. Studien zufolge beruhen die Zahlenschwankungen auf unterschiedlichen Studiendesigns und Erkrankungsdefinitionen.
Entscheidend ist die individuelle Nachsorge
Die Entstehung oder Rezidive von Krankheiten zu vermeiden, ist immer das Hauptziel von Nachsorgeprogrammen. Sie werden individuell auf das Risikoprofil der Patienten abgestimmt und dann gelegentlich angepasst. Häufige Risikofaktoren für periimplantäre Erkrankungen sind zumeist mangelnde Mundhygiene und Rauchen. Vorangegangene und bestehende Parodontitiden sind zwar ebenfalls Risiken, jedoch müssen Patienten, die eine erfolgreiche Parodontitisbehandlung durchlaufen haben und regelmäßig an einem Nachsorgeprogramm teilnehmen, nicht automatisch als Risikopatienten beurteilt werden. Andere Risikofaktoren sind subgingivale Zementreste, schlecht eingestellter Diabetes und das Vorhandensein von mehr als drei Zahnimplantaten.
Das optimale Recall-Intervall variiert mit dem Risikoprofil des Patienten und nicht zuletzt mit seiner Fähigkeit, die häusliche Mundhygiene entsprechend den Empfehlungen umzusetzen. Die Instruktionen beginnen schon vor der Implantation, jedoch ist es von besonderer Bedeutung, Training und Motivation auch während des gesamten Nachsorgeprogramms weiterzuführen. Entscheidend ist, die Mundhygiene des Patienten zu evaluieren. Außerdem sollte nach Rötungen, Schwellungen sowie Blutungen auf vorsichtiges Sondieren (BOP) gesucht werden, die, nach unterschiedlichen Quellen, als Schlüsselsymptome für die Diagnose einer periimplantären Mukositis gelten. Das Erkennen früher Anzeichen periimplantärer Komplikationen ist von erheblicher Bedeutung, um ein Fortschreiten zu vermeiden. Die periimplantäre Mukositis ist eine reversible Erkrankung, die sich unbehandelt zu einer schwieriger zu therapierenden Periimplantitis entwickeln kann. Die Behandlung der periimplantären Mukositis besteht aus mechanischer Dekontamination der Implantatoberflächen, optimaler Mundhygiene und gegebenenfalls antibakteriellen Mundspülungen als Begleittherapie.
Risiken und Erfolgsfaktoren
Für die periimplantäre Gesundheit ist die Entfernung des Biofilms von den Implantatoberflächen besonders wichtig. Studien zeigen, dass schlechte Mundhygiene einer der entscheidendsten Risikofaktoren für die Entstehung periimplantärer Erkrankungen ist. Dagegen ist eine gute Plaquekontrolle einer der wichtigsten Faktoren für den Erfolg und die Vorhersagbarkeit der periimplantären Therapie. Es gibt Hinweise, dass Plaqueansammlungen um Implantate im Vergleich zu natürlichen Zähnen zu einer stärkeren mukosalen Entzündungsreaktion führen.
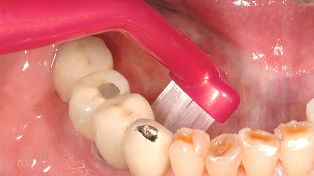
Geeignete Mundhygiene zu Hause
Für die unterschiedlichen Hygieneanforderungen liefert der Markt ein großes Angebot an Pflegeprodukten, z.B. Interdentalbürsten oder Zahnseide für die Bereiche zwischen den Implantaten. Für andere Bereiche sind, in Abhängigkeit von den individuellen Patientenerfordernissen, normale Zahnbürsten in Kombination mit Spezialbürsten geeignet. Es gehört zu den Aufgaben der Behandler, ihre Patienten bei der Auswahl der geeignetsten Hilfsmittel anzuleiten, ihnen die Anwendung zu erklären und sicherzustellen, dass sie die Technik beherrschen. Danach liegt die tägliche häusliche Verwendung entsprechend der Empfehlungen in der Verantwortung der Patienten.
Es ist wichtig für die Patienten, die Bedeutung guter Mundhygiene für die periimplantäre Gesundheit und den Therapieerfolg zu kennen. Es sollte ein selbstverständlicher Aspekt der Instruktionen sein, den Patienten ihre Eigenverantwortung für ein positives Behandlungsergebnis zu vermitteln. Um den Patienten eine gute Plaqueentfernung zu ermöglichen, müssen prothetische Suprastrukturen so gestaltet sein, dass die Pflege rund um die Implantate ausführbar ist. Sollte dies nicht möglich sein, wird empfohlen die Suprastrukturen zu optimieren.
Fazit
Der Ersatz fehlender Zähne mit Implantaten ist eine etablierte und anerkannte Therapieform. Um Komplikationen zu vermeiden, ist es entscheidend, beste Therapievoraussetzungen zu schaffen. Der Langzeiterfolg hängt von verschiedenen Faktoren ab, besonders von der Biofilmkontrolle. Die Patienten benötigen daher professionelle Instruktionen, qualifizierte Nachsorge und selbständige Plaquekontrolle. Zusammen ermöglicht dies, dass die Vorzüge einer erfolgreichen Implantatrehabilitation lange Bestand haben, idealerweise lebenslang.
Literatur
Albrektsson T, Dahlin C, Jemt T, Sennerby L, Turri A, Wennerberg A.Is marginal bone loss around oral implants the result of a provoked foreign body reaction?Clin Implant Dent Relat Res. 2014 Apr;16(2):155-65.Armitage GC, Xenoudi P.Post-treatment supportive care for the natural dentition and dental implants.Periodontol 2000. 2016 Jun;71(1):164-84.Costa FO, Takenaka-Martinez S, Cota LO, Ferreira SD, Silva GL, Costa JE.Peri-implant disease in subjects with and without preventive maintenance: a 5-year follow-up.J Clin Periodontol. 2012 Feb;39(2):173-81. Derks J, Tomasi C.Peri-implant health and disease. A systematic review of current epidemiology.J Clin Periodontol. 2015 Apr;42 Suppl 16:S158-71.Howe MS.Implant maintenance treatment and peri-implant health.Evid Based Dent. 2017 Mar;18(1):8-10.Jepsen S, Berglundh T, Genco R, Aass AM, Demirel K, Derks J, Figuero E, Giovannoli JL, Goldstein M, Lambert F, Ortiz-Vigon A, Polyzois I, Salvi GE, Schwarz F, Serino G, Tomasi C, Zitzmann NU.Primary prevention of peri-implantitis: managing peri-implant mucositis.J Clin Periodontol. 2015 Apr;42 Suppl 16:S152-7.Mombelli A, Müller N, Cionca N.The epidemiology of peri-implantitis.Clin Oral Implants Res. 2012 Oct;23 Suppl 6:67-76.Monje A, Aranda L, Diaz KT, Alarcón MA, Bagramian RA, Wang HL, Catena A.Impact of Maintenance Therapy for the Prevention of Peri-implant Diseases: A Systematic Review and Meta-analysis.J Dent Res. 2016 Apr;95(4):372-9.Renvert S, Lindahl C, Persson GR.Occurrence of cases with peri-implant mucositis or peri-implantitis in a 21-26 years follow-up study.J Clin Periodontol. 2018 Feb;45(2):233-240.Renvert S, Polyzois I.Treatment of pathologic peri-implant pockets.Periodontol 2000. 2018 Feb;76(1):180-190.Salvi GE, Ramseier CA.Efficacy of patient-administered mechanical and/or chemical plaque control protocols in the management of peri-implant mucositis. A systematic review.J Clin Periodontol. 2015 Apr;42 Suppl 16:S187-201.Salvi GE, Cosgarea R2, Sculean A.Prevalence and Mechanisms of Peri-implant Diseases.J Dent Res. 2017 Jan;96(1):31-37.Serino G, Ström C.Peri-implantitis in partially edentulous patients: association with inadequate plaque control.Clin Oral Implants Res. 2009 Feb;20(2):169-74.
Die beste Voraussetzung für Langzeiterfolge bei der Implantattherapie sind dabei individuelle Pflegemaßnahmen – natürlich basierend auf einer umfassenden Risikobewertung.












