Metallfreiheit gewünscht
Dass Zirkoniumdioxidimplantate gut osseointegrieren und das Material eine gute Weichgewebeverträglichkeit zeigt, belegen mittlerweile zahlreiche experimentelle Studien [1]. Bekannt ist zudem, dass sich an Zirkoniumdioxid weniger Biofilm anlagert als an Titan. Im Vergleich zu farblich dunkelgrauen Titanimplantaten können keramische Implantate unter Umständen – möglicherweise in der Langzeitbetrachtung – ästhetische Vorteile bieten.
Wir verwenden in unserer Praxis auf Wunsch einzelner Überweiser und/oder Patienten Keramikimplantate – in erster Linie für die Versorgung von Einzelzahnlücken im Front- sowie Seitenzahnbereich und für festsitzenden Zahnersatz auf dreigliedrigen Brücken (autark implantatgetragen). Der Fall beschreibt die klinische Anwendung eines zweiteiligen, reversibel verschraubten Keramikimplantats (CERALOG Hexalobe Implantat/CAMLOG) im Frontzahnbereich.
Ausgangssituation
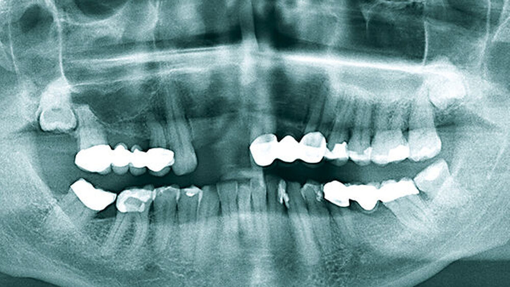
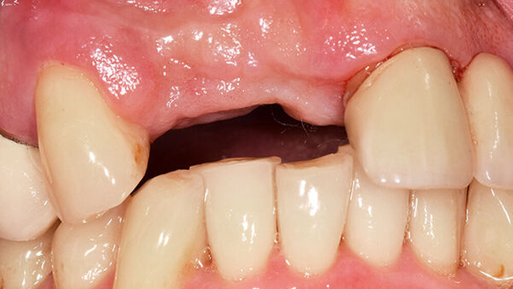
Als der 56-jährige Patient zu uns überwiesen wurde, waren die Zähne 11 und 12 bereits (alio loco) extrahiert (Abb. 2). Sie waren nach einer endodontischen Vorbehandlung mit begleitender WSR stark geschädigt und nicht mehr erhaltungswürdig (Abb. 1). Der Patient trug als Interimslösung eine herausnehmbare Valplast-Prothese. Er wünschte eine Implantattherapie. Eine konventionelle prothetische Lösung ohne Implantate war mit erhöhtem Aufwand verbunden, da der Patient bereits prothetisch mit einer festsitzenden Brücke von 21 bis 23 versorgt (Abb. 3) war. Diese hätte für eine konventionelle Lösung mit einer zirkulären Brücke von 23 auf 13 entfernt werden müssen. Das lehnte der Patient ebenso ab wie eine herausnehmbare Prothetik.
Im Rahmen der Beratung wurden dem Patienten die Versorgungsmöglichkeiten mit Titan- und Keramikimplantaten sowie die möglichen Vor- und Nachteile vorgestellt. Da er medizinisch ganzheitlich orientiert war, entschied er sich explizit für die metallfreie Variante. Wir verwenden heute bei Kasuistiken mit begleitenden Augmentationen (hier GBR) das zweiteilige, reversibel verschraubbare Zirkoniumdioxid‧implantat CERALOG Hexalobe (CAMLOG); denn eine geschlossene konventionelle Einheilung sehen wir als zwingende Voraussetzung für ein sicheres Behandlungsergebnis. Die Möglichkeit der Reversion und die Flexibilität bei der prothetischen Komponentenauswahl entsprechen annähernd dem gewohnten Standard der Titanimplantate. Und: Dieses Keramikimplantat wird optional zur Titanabutmentschraube mit einer Goldabutmentschraube angeboten.
Diagnostik und Therapieplanung
Nach Extraktion wurzelbehandelter Zähne liegt häufig ein horizontaler Kieferknochendefekt vor; die vestibuläre Knochenlamelle fehlt partiell oder vollständig. Das OPG (Abb. 3) zeigte genügend vertikales Knochenangebot, die lückenbegrenzenden Zähne und Parodontien waren vital. Die bidigitale Palpation bestätigte den Verdacht auf eine bestehende vestibuläre Defektgeometrie. Die chirurgischen Konzepte positiv unterstützend, lag ein dicker Gingiva-Biotyp vor. Der Restzahnbestand und parodontale Screening-Index (PSI) waren unauffällig.
Geplant wurden zwei zweiteilige Hexalobe-Implantate mit dem Durchmesser von 4,0 mm, Länge 12 mm. Die Implantate sollten mit begleitender GBR inseriert werden und anschließend gedeckt einheilen. Das setzte die Wahl eines zweiteiligen Keramikimplantats voraus. Im Vorfeld des chirurgischen Eingriffs wurde eine Mess- und Bohrschablone konventionell nach prothetischem Wax-up für die prothetisch orientierte Implantatinsertion angefertigt.
Chirurgischer Eingriff
Mithilfe der Bohrschablone erfolgte die Primärbohrung (Abb. 4). Über eine langsame, niedertourige Implantatbettaufbereitung wurde autologer Knochen für die begleitende GBR gewonnen. Anschließend wurden die beiden CERALOG Hexalobe-Implantate leicht palatinal inseriert. Da Zirkoniumdioxid im Vergleich zu Titan eine geringere Wärmeleitfähigkeit besitzt, sollten die Implantate langsam mit maximal 15 U/min eingedreht werden, um thermische Nekrosen zu vermeiden.
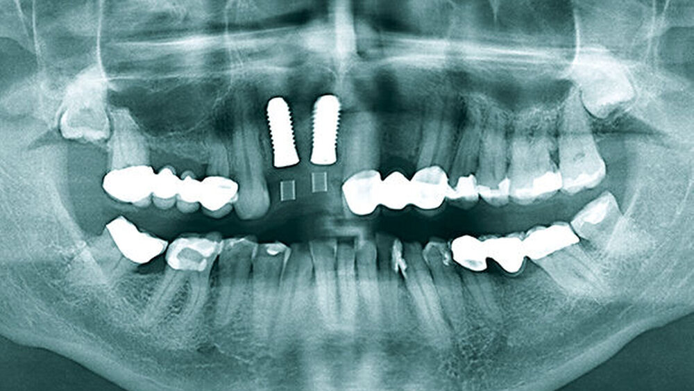
Die Implantatschulter wurde leicht supracrestal platziert, sodass die prothetische Plattform zirka 2 mm unter dem Weichgewebeniveau zu liegen kam (Abb. 5). Lateral der Implantatschulter wurden die autologen Knochenspäne gemischt mit feinkörnigem BioOss (Geistlich) eingebracht und die Implantate über den Klickmechanismus in der Innenkonfiguration des Implantats mit der PEEK-Abdeckkappe verschlossen (Abb. 6). Die CERALOG Hexalobe-Implantate sind im Halsbereich weniger rau als im enossalen Bereich, damit sich das Weichgewebe im Bereich des Implantathalses und die Knochenzellen an der mikrorauen Struktur im enossalen Bereich optimal anlagern können. Das Augmentat wurde mit einer Bio-Gide-Membran (Geistlich) abgedeckt. Es lag ausreichend keratinisierte Gingiva vor, sodass keine Weichgewebeverdickung erforderlich war. Der Wundverschluss erfolgte ohne Periostschlitzung (Abb. 7), um die Ernährungsphysiologie des Weichgewebes nicht zu verschlechtern und eine Verschiebung der Mukogingivalgrenzlinie nach koronal zu vermeiden. Der Lappen ließ sich für den spannungsfreien Wundverschluss tunnelierend ausreichend weit nach subnasal präparieren. Im Anschluss an die Implantatinsertion wurde die Valplast-Prothese basal ausgeschliffen, um augmentationsbedingte Druckstellen zu vermeiden. Die postoperative Röntgenkontrolle (Abb. 8) zeigt eine anatomisch exakte Implantatpositionierung nach Schablonenvorgabe.
Freilegung und Ergebnis
Während der komplikationslosen Heilungsphase betreute der Hauszahnarzt den Patienten. Wie geplant, erfolgte nach zwölf Wochen die Implantatfreilegung (Abb. 9) in unserer Praxis. Das Weichgewebe zeigte sich in einem blutungs- und reizfreien Zustand. Mit einer leicht palatinal orientierten crestalen Kieferkammschnittführung wurden die Implantate freigelegt, das Weichgewebe wurde nach vestibulär verdrängt (Abb. 10) und die Gingivaformer wurden aufgesetzt. Um einen quantitativen Zugewinn von keratinisiertem Gewebe zu erhalten, wurde die Naht zwischen den Implantaten nicht komplett geschlossen. Die Implantate zeigten sich klinisch und röntgenologisch sicher osseointegriert (Abb. 11).
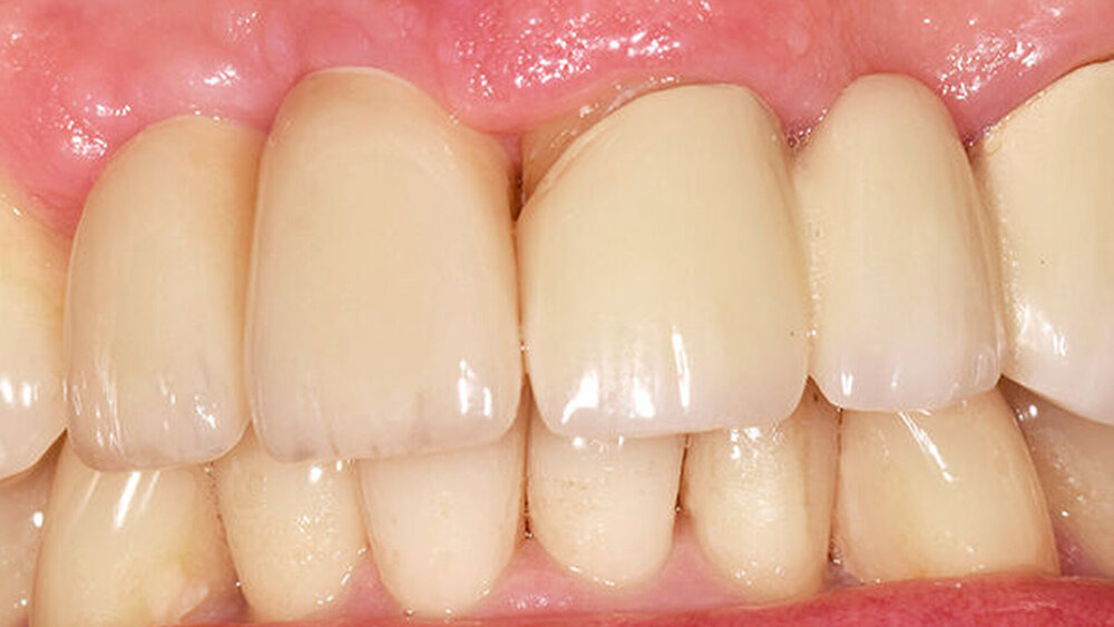
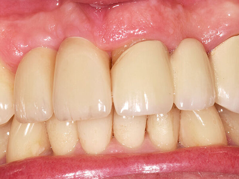
Drei Monate nach Einsetzen der definitiven Kronen erschien der Patient zur finalen Kontrolle in unserer Sprechstunde. Die keramischen Kronen (Cercon Ceram Kiss, Degudent) sind auf individuellen CAD/CAM-gefertigten Abutments (DEDICAM, CAMLOG) zementiert (Ketac Cem). Die Röntgenaufnahme zeigte osseointegrierte Implantate mit gesunder Knochenstruktur und im periimplantären Bereich keine überschüssigen Zement‧reste (Abb. 12). Die Kronen fügen sich in Form und Farbe natürlich in die Zahnreihe ein (Abb. 13). Das Emergenzprofil zwischen 13 und 12 ist aus unserer Sicht suboptimal, jedoch bei tiefer Lachlinie für den Patienten nicht relevant. Dieser ist mit seiner metallfreien Versorgung sehr zufrieden.
Fazit
Seit über fünf Jahren versorgen wir Patienten auf Wunsch mit Keramikimplantaten, so auch in diesem Fall. Jedoch sind für unsere Praxis die bewährten und bestens untersuchten Titanimplantate Goldstandard. Chirurgisch verlief der Fall komplikationslos. Da simultan zur Implantatinsertion eine GBR erfolgte, sollten die Implantate gedeckt einheilen. Deshalb fiel die Wahl auf das zweiteilige CERALOG Hexalobe-Implantat. Der Kieferkamm in regio 11, 12 war breit genug, um die Implantate mit 4,0 mm Durchmesser zu inserieren. Wenn es jedoch um die Versorgung schmaler Kieferkämme geht und ein Implantat mit schmalerer Schulter erforderlich wird, ist man mit diesem System zurzeit limitiert.
Die reversible Schraubenverbindung in Titan oder Gold und die Flexibilität bei der prothetischen Komponentenauswahl entsprechen annähernd dem Standard von Titanimplantaten. Zur Wahl stehen standardisierte PEKK(Polyether-Keton-Keton)-Abutments und individuelle CAD/CAM-gefertigte Vollkeramikabutments. Zu beachten ist aber: Zurzeit gibt es zwar vielversprechende Aussagen einzelner Referenzpraxen zur Langzeitstabilität der prothetischen Ankopplung, jedoch fehlt derzeit eine ausreichende Datenbasis, um valide Aussagen datengesichert treffen zu können. Deshalb ist die unklare Langzeitstabilität bei der Patientenaufklärung unbedingt anzusprechen. In diesem Punkt verspricht die Implantat-Abutment-Verbindung des CERALOG Hexalobe-Implantats dem Anwender eine hohe Sicherheit, weil sie speziell für Zirkoniumdioxid entwickelt und optimiert wurde.
Die direkte Nachfrage nach metallfreien Versorgungen steigt, da viele Patienten aus unterschiedlichsten Gründen kein Titan tolerieren wollen. Mit diesem Wunsch wächst eine neue Patientenklientel für eine zahnärztliche Implantattherapie. Daher sehen wir in der Verwendung von Zirkoniumdioxidimplantaten für die Zukunft unserer Praxis eine ergänzende Therapieoption.


















