W&H: Anwenderbericht Piezomed S1
Die Pathogenese kombinierter Paro-Endo-Läsionen ist hochgradig variabel und kann nur mit einer differenzierten Diagnostik ermittelt werden (1). Die Behandlung beginnt in vielen Fällen mit orthograder Endodontie. Bleiben die Symptome bestehen, muss die Behandlung gegebenenfalls um parodontale Maßnahmen ergänzt werden.
Im vorliegenden Fall wurde für Zahn 24 eine kombinierte Paro-Endo-Läsion diagnostiziert. Die ätiologische Hauptkomponente war unklar und die Prognose fraglich, auch für den zweiten Pfeilerzahn 27. Die Patientin wollte jedoch, wenn irgendwie möglich, ihre eigenen Zähne behalten. Aus diesem Grund wurde die Wurzelfüllung von Zahn 24 revidiert und anschließend eine topische und systematische Parodontaltherapie durchgeführt. Um auf der sicheren Seite zu sein, wurden zusätzlich Implantate an den Positionen 25 und 26 geplant.
Offenes Debridement und Wurzespitzenresektion
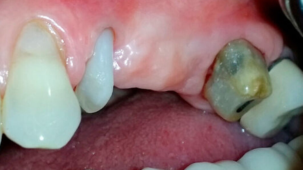
Einen Monat nach der erneuten Befestigung der Brücke waren sowohl die Schmerzen als auch die Entzündung an Zahn 24 minimal, die Zahnbeweglichkeit lag jedoch noch bei Miller-Klasse 2. Nach der Freilegung wurde das Ausmaß des Knochendefekts deutlich (Abb. 1 bis 4). An der bukkalen Wurzel von Zahn 24 fehlte der gesamte vestibuläre und distale Knochen; bei Zahn 27 zeigte sich ein horizontaler Knochenverlust bis zum mittleren Niveau der mesialen Wurzel.
Trotz dieses Befunds blieben wir bei unserem ursprünglichen Plan, beide Zähne als vorübergehende Brückenpfeiler während der 6-monatigen Osseointegrationsphase der Implantate zu erhalten. Zunächst wurde eine vorsichtige Belagentfernung an der verbleibenden Wurzeloberfläche von Zahn 24 mit einem piezochirurgischen Gerät (Piezomed und Aufsatz S1, W&H) (Abb. 1) durchgeführt. Mit dem gleichen Instrument wurde eine Wurzelspitzenresektion vorgenommen (2).
Sinuslift und Platzierung der Implantate
Vor der Platzierung der Implantate wurde infiziertes Gewebe vom Alveolarknochen im Implantationsbereich und um die Pfeilerzähne mit dem Piezomed und dem Instrument B5 entfernt. Die Implantatbetten wurden mit rotierenden Instrumenten in einem Winkelstück mit einem Übersetzungsverhältnis von 20:1 (WS-75 L, W&H) und einem gerade aktualisierten leistungsstarken Implantologiemotor (Implantmed, W&H) präpariert (Abb. 2).
Die Abschlusspräparation am Sinus wurde mit einem piezochirurgischen Instrument (Piezomed S2, W&H) (3) durchgeführt. Vor der Platzierung der Implantate wurde der interne Sinusboden mit xenogenem Knochenersatzmaterial augmentiert. Dann wurden die Implantate (3,75 mm Durchmesser; 8,0 mm Länge) mit dem Implantologiemotor eingesetzt (Abb. 3). Die Knochendefekte um die Implantate und Zähne wurden im Sinne einer gesteuerten Knochenregeneration (GBR, Guided Bone Regenation) (Abb. 4) augmentiert und die Eingriffsstelle wurde mit resorbierbarem 5-0 Nahtmaterial vernäht (4). Die postoperative Röntgenaufnahme zeigt beide Implantate in ihrer korrekten vertikalen Position (Abb. 5).
Zwischenergebnis nach zwei Monaten und Prognose
Abbildung 6 zeigt das klinische Ergebnis zwei Monate nach dem Eingriff. Die nun verminderte Beweglichkeit von Zahn 24 lag bei Miller-Klasse 1 und das Weichgewebe war entzündungsfrei. Um eine neue Infektion zu verhindern und das epitheliale Attachment zu erhalten, wurde auf eine Sondierung verzichtet. Das Weichgewebsniveau entsprach dem von Zahn 23. Es lagen außerdem keine endodontischen oder parodontalen Symptome mehr vor.
Nach erfolgreicher Osseointegration sollen die Implantate an den Positionen 25 und 26 mit verblockten Kronen versorgt werden. Falls einer der beiden Zähne (24 oder 27) extrahiert werden muss, wird er durch eine implantatgetragene Einzelkrone ersetzt. Angesichts des klinischen Zustandes nach zwei Monaten muss die ursprüngliche Prognose möglicherweise bei der Wiederaufnahme der Behandlung sechs Monate nach Einsetzen der Implantate revidiert werden. In diesem Fall werden sowohl die Patientin als auch die Zahnärzte für ihren Aufwand belohnt.
Gezielter Geräteeinsatz
Der Eingriff wurde sowohl mit einem piezochirurgischen als auch mit einem rotierenden Gerät vorgenommen. Wegen seiner präzisen und schonenden Arbeitsweise wurden sowohl das parodontale Debridement als auch die Wurzelspitzenresektion von „Zahnelement“ 24 mit dem piezochirurgischen System (Piezomed, W&H) ausgeführt (5, 6). Für den Erhalt des Zahns war eine sorgfältige Belagentfernung ohne zu großen Druck notwendig.
Das Implantatbett wurde mit einem neuen Implantologiemotor (Implantmed, W&H) in Verbindung mit einem speziell für die Oralchirurgie und Implantologie konzipierten Winkelstück präpariert. Das Übersetzungsverhältnis von 20:1 und das hohe Drehmoment des Implantologiemotors von bis zu 6,2 Ncm ermöglichen die Implantatlagerpräparation, das Eindrehen des Implantats und das Gewindeschneiden bei geringer Geschwindigkeit.
Der kombinierte Einsatz eines piezochirurgischen Systems und eines rotierenden Implantologiemotors beim gleichen Eingriff erwies sich als unproblematisch. Die Programmierung und Bedienung beider Geräte gelingt mit flachen Lernkurven. Die neue kabellose Fußsteuerung steuert beide Geräte selektiv durch einfache Pedalnutzung. Die Fußsteuerung kann zudem bequem an einem Bügel bewegt werden. All diese Merkmale zusammen erlauben dem Operateur, sich auf den Eingriff und vor allem auf den Patienten zu konzentrieren.
Literaturverzeichnis
1. Foce E. Lesioni endo-paradontali. Milano: Quintessenza Edizioni, 2009.2. Abella F, de Ribot J, Doria G, Duran-Sindreu F, Roig M. Applications of piezoelectric surgery in endodontic surgery: a literature review. Journal of endodontics 2014;40:325-332.3. Vercellotti T, Stacchi C, Russo C, Rebaudi A, Vincenzi G, Pratella U, et al. Ultrasonic implant site preparation using piezosurgery: a multicenter case series study analyzing 3,579 implants with a 1- to 3-year follow-up. The International journal of periodontics & restorative dentistry 2014;34:11-18.4. Sanz-Sanchez I, Ortiz-Vigon A, Sanz-Martin I, Figuero E, Sanz M. Effectiveness of Lateral Bone Augmentation on the Alveolar Crest Dimension: A Systematic Review and Meta-analysis. Journal of dental research 2015;94:128s-142s.5. Pavlikova G, Foltan R, Horka M, Hanzelka T, Borunska H, Sedy J. Piezosurgery in oral and maxillofacial surgery. International journal of oral and maxillofacial surgery 2011;40:451-457.6. Vercellotti T. Essentials in Piezosurgery: Clinical Advantages in Dentistry: Quintessence Publishing, 2009.












