W&H launcht Imaging-Portfolio
Fünf Produkte, eine gemeinsame Basis
Die W&H Seethrough-Lösungen basieren auf fünf kompromisslosen Prinzipien: außergewöhnliche Bildqualität, die neue Maßstäbe setzt, nahtlose Integration in jedes Praxismanagementsystem, intelligente Funktionalitäten wie Bewegungskorrektur, Positionierungshilfe und geführte Aufnahmeprozesse sowie innovative KI-Tools, die Bildanalyse und Diagnose unterstützen. Zusätzlich sind alle Produkte mit ioDent, der Cloud-Plattform von W&H, vernetzt – für den Online-Abruf von Bildern, die sichere Speicherung von Patientendaten und vieles mehr.
Hochwertige 3D- und 2D-Bildgebung
Seethrough Max und Seethrough Flex überzeugen mit exzellenter Bildqualität, erleichtern die Bildakquise und ermöglichen eine einfache Patienteninteraktion durch Face-to-Face-Positionierung. Die benutzerfreundlichen DVT-Geräte von W&H integrieren sich nahtlos in den Praxisalltag. Seethrough Max zeichnet sich durch eine außergewöhnliche FOV-Abdeckung aus und ist damit ideal für eine Vielzahl von Anwendungen, von kleinsten Details in der Endodontie über exakte Ausschnitte für die Implantologie bis hin zum gesamten kranialen Volumen in die Kiefer- und Gesichtschirurgie. Seethrough Flex hingegen liefert präzise Bilder auf kleinstem Raum und ist damit optimal für die gängigsten zahnmedizinischen Anforderungen.
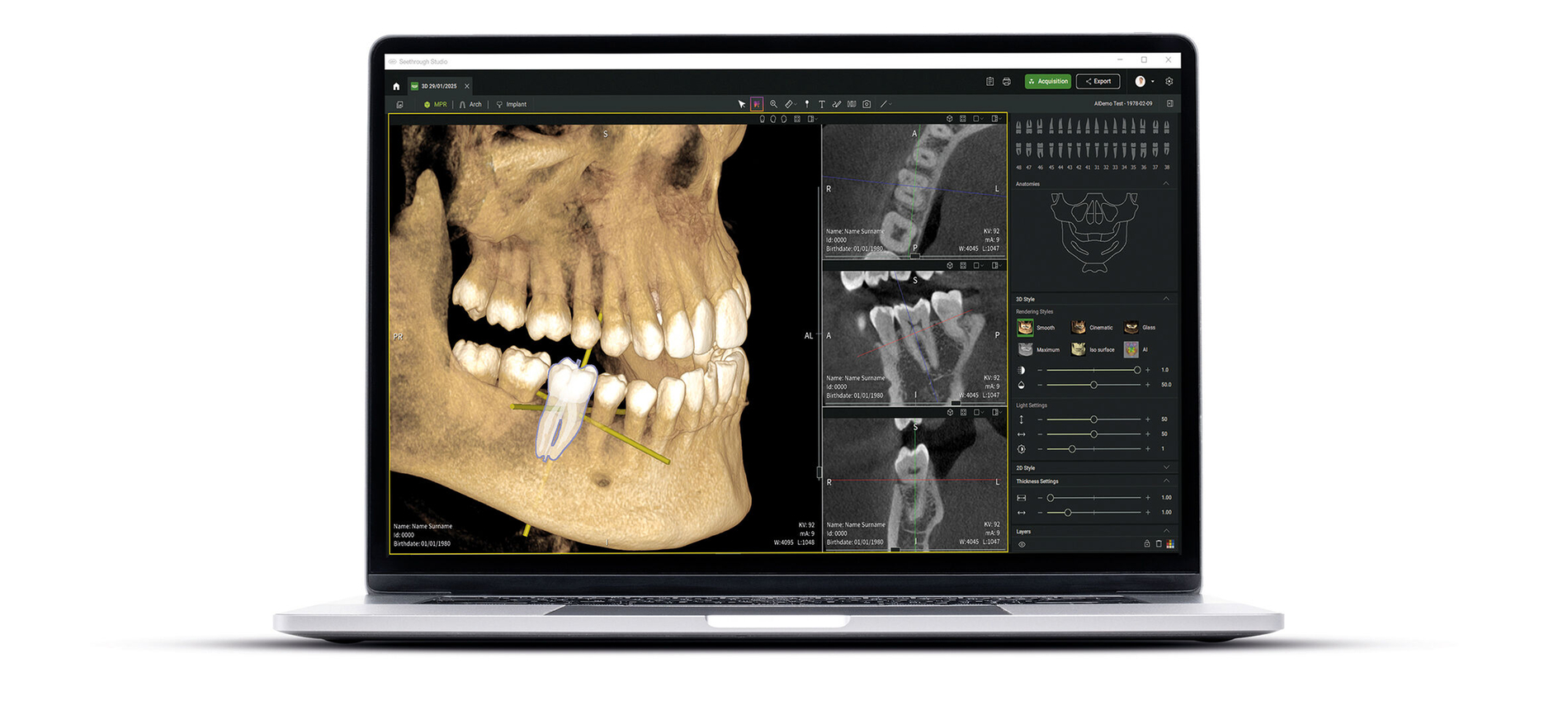
Seethrough Studio setzt neue Maßstäbe in der digitalen Zahnmedizin
Die revolutionäre Seethrough Studio Software ist ein entscheidender Faktor für den hohen Standard des gesamten W&H-Imaging-Portfolios. „Unser Ziel war es, die Software so benutzerfreundlich wie möglich zu gestalten – von der Bildaufnahme bis zur Analyse. Deshalb haben wir alle Produkte in einer Software und standardmäßig auch ein Implantatplanungsmodul integriert“, erklärt Valeria Ferrari. Zudem bietet die Software eine freie FOV-Auswahl auf dem Scout-Bild sowie zahlreiche KI-gestützte Funktionen wie zum Beispiel Zahnsegmentierung, automatische Nervenerkennung, Bogenliniengenerierung, 3D-Volumenausrichtung und hilfreiche Unterstützung bei der Pathologieerkennung.







