Cholesterolgranulom in odontogenen Zysten
Ein Cholesterolgranulom (CG) wird als pathologisches Korrelat chronisch-unspezifischer Entzündungen definiert. CG treten am häufigsten im Bereich des Mittelohrs auf. Die klinischen Symptome sind unspezifisch und hängen von der Lokalisation und dem Ausmaß in jedem Einzelfall ab. Bislang sind nur sehr wenige Fälle in der zahnärztlichen Literatur dokumentiert.
Dieser Artikel stellt drei einzigartige Fälle von CG im Kiefer vor, in denen raumfordernde odontogene Zysten für eine Knochenzerstörung verantwortlich waren.
Fall 1: Die kalzifizierende odontogene Zyste mit Cholesterolgranulom
Ein 45-jähriger Mann litt seit einem Monat an einer Schwellung im posterioren Seitenzahnbereich des rechten Oberkiefers. Er gab an, dass ihm zuvor die Zähne 17 und 18 bei erheblicher Lockerung derselben entfernt worden waren. Trotzdem sei die Schwellung nicht zurückgegangen.
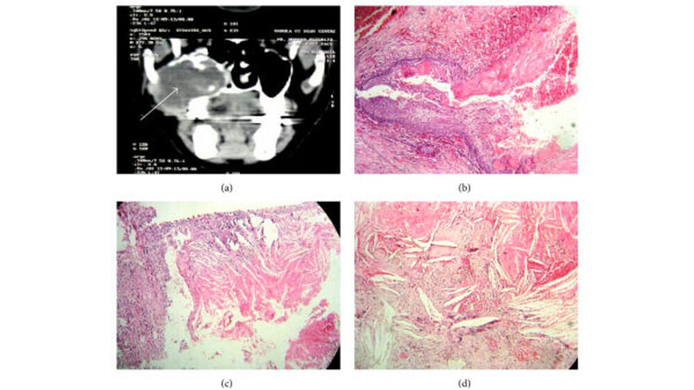
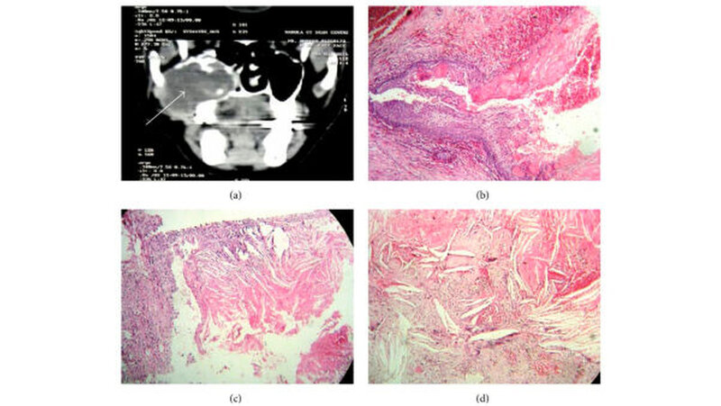
Klinisch zeigte sich eine weiche Schwellung, die vom Vestibulum bis zur Mittellinie des harten Gaumens reichte. In der Computertomografie ließ sich eine abgegrenzte-osteolytische Veränderung nachweisen, die sich bis in den ipsilateralen Sinus maxillaris erstreckte. Bei Verdacht auf Vorliegen eines keratozystischen odontogenen Tumors (KCOT) wurde die Raumforderung enukleiert und histopathologisch untersucht. Hier konnte bei Vorliegen von Fremdkörperriesenzellen, Blut und Cholesterinkristallen die Diagnose einer kalzifizierenden odontogenen Zyste mit einem Cholesterolgranulom getroffen werden (Abbildung 1).
Fall 2: Die dentigerösen Zyste mit Cholesterolgranulom
Eine 38-jährige Frau klagte seit sechs Monaten über eine Schwellung im rechten Unterkieferseitenzahnbereich. Sie gab an, dass die zum Zeitpunkt der Untersuchung 3 x 2 cm große Schwellung progredient gewachsen, aber nicht schmerzhaft sei. Die Schleimhaut erschien glatt blande. In der Orthopantomografie wurde eine klar definierte Radioluzenz regio 48 gesehen. Bei Verdacht auf Vorliegen eines KCOT fand die chirurgische Enukleation der Zyste statt, wobei in der histologischen Beurteilung wiederum reichlich Cholesterinkristalle in der zystischen Kapsel in Verbindung mit mehrkernigen Riesenzellen gefunden werden konnten. Daraufhin wurde die Diagnose einer follikulären Zyste mit Cholesterolgranulom gestellt (Abbildung 2).
Fall 3: Die dentigeröse Zyste
Ein 47-jähriger Mann klagte seit zwei Tagen über Schmerzen im linken Unterkieferseitenzahnbereich, wobei er dort bereits seit zwei Monaten an einer progredient wachsenden Schwellung gelitten hatte. Während die klinische Untersuchung lediglich eine wenig ausgeprägte Schwellung ergab, konnte via Computertomografie eine demarkierte Radioluzenz von 3 x 1,4 cm nachweisen. Eine Inzisionsbiopsie ergab das histologische Korrelat einer follikulären Zyste, während das endgültige Operationspräparat nach der vollständigen Entfernung Cholesterinkristalle zusammen mit einem chronisch entzündlichen Zellinfiltrat aufwies (Abbildung 3). Auch hier konnte daher die Diagnose einer follikulären Zyste mit Cholesterolgranulom gefällt werden.
Diskussion
Die Pathogenese von CG ist umstritten, da viele mögliche Mechanismen in Betracht gezogen werden können. Ein CG bildet sich wahrscheinlich aufgrund der Reizwirkung von akkumulierten Cholesterinkristallen. Die Cholesterinkristalle ziehen Fremdkörper-Riesenzellen an und verursachen so eine Fibrose. Bisher wurde beobachtet, dass die Cholesterinkristalle häufiger in entzündlichen Zysten vorkommen, insbesondere in radikulären Zysten. In den vorgestellten drei Fällen entwickelte sich das CG an oder aus der Wand odontogener Zysten.
Unter der Angabe, dass Cholesterin die Hauptkomponente des Tumors ist, wurde der Begriff "Cholesteatom" 1838 eingeführt. Das Cholesteatom beschreibt jene zystischen Hohlräume, die von keratinisiertem Plattenepithel ausgekleidet und von Stroma variabler Dicke umgeben sind. Die mikroskopische Diagnostik hängt vollständig von der Anwesenheit und Identifizierung von Plattenepithel und/oder laminiertem keratinisiertem Material ab. Der Hauptunterschied zwischen der Histogenese des CGs und des Cholesteatom besteht darin, dass kein Epithel an der Bildung von CG beteiligt ist.
Zusammenfassung
CG wird häufig als eine unspezifische histopathologische Reaktion auf Cholesterinkristalle betrachtet. Da ihre klinischen und radiologischen Eigenschaften unspezifisch sind, sollten sie bei der Differentialdiagnose odontogene Zysten und Tumoren berücksichtigt werden. Die histopathologische Analyse ist für eine korrekte Diagnose von CG unerlässlich. Aufgrund der Seltenheit der intraoralen CG-Fälle ist die Pathogenese bisher noch unklar. Deshalb sollten CG-Fälle der Mundhöhle dokumentiert und publiziert werden.
Mala Kamboj, Anju Devi and Shruti Gupta, Department of Oral Pathology and Microbiology, Postgraduate Institute of Dental Sciences, Pt. BD Sharma University of Medical Sciences, Rohtak, Haryana, India; Published online 2016 Dec 13. doi: 10.1155/2016/6105142
Die vollständige Studie finden Siehier.





