Das harmonische Gesichtsprofil: vom virtuellen Design in die OP-Realität
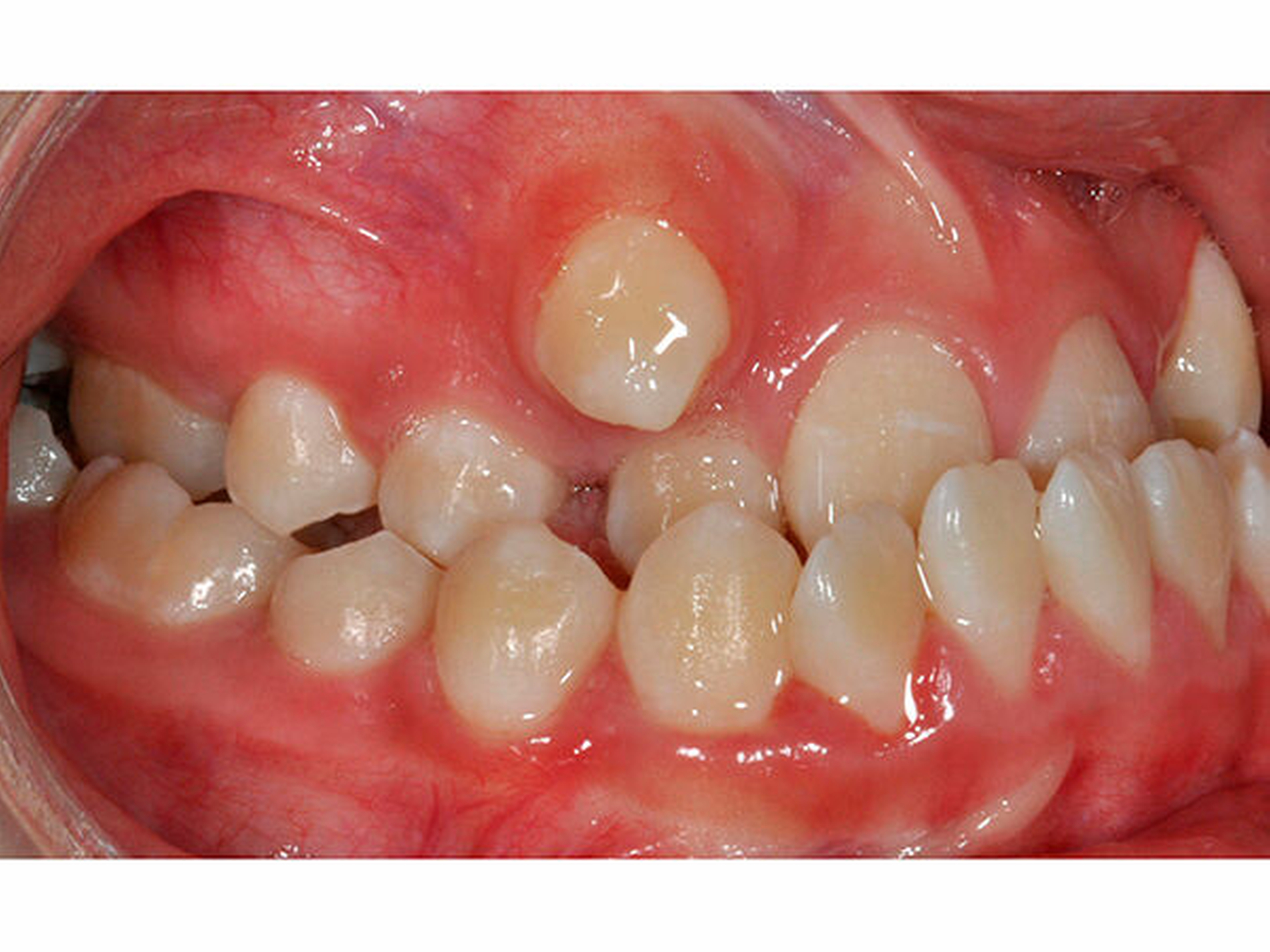
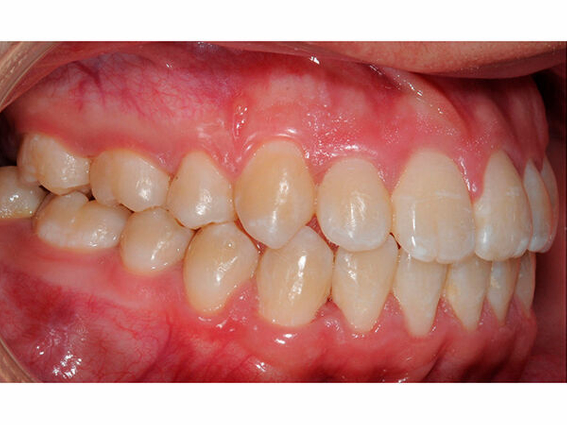
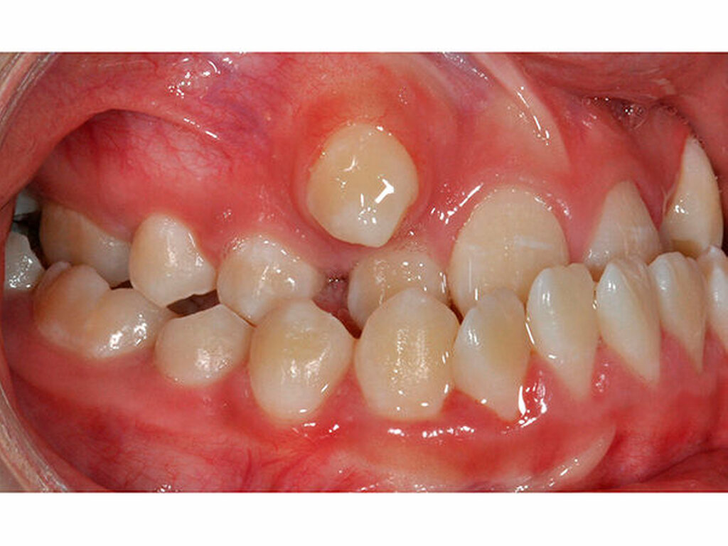
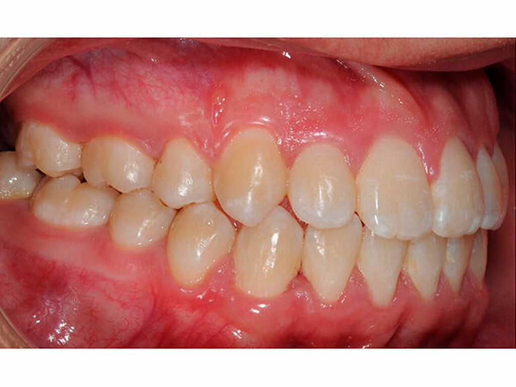
Der Patient kam in die Klinik, weil er aufgrund eines falschen Bisses zunehmend Schmerzen hatte. Nach der genauen Anamnese erfolgte die Planung nach dem "Oberkieferfirst"-Prinzip. Vor der OP wurde in Zusammenarbeit mit einem Kieferorthopäden die Zahnstellung angepasst und die spätere Zielverzahnung festgelegt.
Bei der darauffolgenden 3-D-OP-Planung kann der Oberkiefer virtuell sowohl in allen drei Raumachsen bewegt werden. Die Neupositionierung des Oberkiefers erfolgte anhand einer speziellen 3-D-Kopfvermessung und unter Berücksichtigung ästhetischer Gesichtspunkte wie der Lachlinie.
Die Software bietet unterschiedliche Möglichkeiten zur Simulation der Behandlungsergebnisse, die mit einer Live-Weichgewebedarstellung gut sichtbar werden.
Die individuell erforderlichen "Hilfsmittel" - wie die Nachbildungen von Schädelteilen, Schablonen zur exakten Gewebepräparation, patientenspezifische Implantate zur Fixierung oder als Knochenersatz - werden heute immer häufiger mithilfe spezieller 3-D-Drucker hergestellt. Erste Studienergebnisse bestätigen die hohe Genauigkeit durch patientenspezifische Implantate.
Generell profitieren die Patienten neben den präzise vorhersehbaren optimierten Ergebnissen von einer deutlich reduzierten Belastung durch die Operation. Die notwendigen Knochenschnitte können exakt eingebracht werden, die Verlagerung der Kiefer ist sehr genau berechnet.
Diskussion der Methode
Die virtuelle 3-D-Planung wird bereits seit rund zehn Jahren - unter anderem bei Kieferumstellungs-OPs - eingesetzt. Unterstützt durch die hohe Verfügbarkeit an 3-D-Bilddaten hat sie eine rasante Weiterentwicklung durchlaufen - insbesondere seit der Einführung der Digitalen Volumentomografie (DVT), die eine 3-D-Aufnahme des gesamten Gesichtsschädels des Patienten im Stehen und ohne Veränderungen des Weichgewebes erlaubt, bei extrem reduzierter Strahlenbelastung im Vergleich zur Computertomografie (CT).
Gleichzeitig wurden neue Software-Programme entwickelt, die die hochpräzise 3-D-Kopfvermessung inklusive Darstellung der anatomisch relevanten Strukturen und Gesichtsnerven, eine 3-D-Analyse der Atemwege, eine 3-D-Planung der bestmöglichen Knochenumstellung und zusätzlich sogar eine 3-D-Simulation der Weichgewebe ermöglichen.
Somit bietet die virtuelle 3-D-Planung den wesentlichen Vorteil, die zahntragenden Kieferabschnitte frei in allen drei Raumebenen neu zu positionieren, die Durchtrennungslinien ganz individuell auch hinsichtlich anatomischer Besonderheiten zu planen und das Ergebnis schon vorher anhand einer Weichgewebssimulation zu überprüfen.
Mit einer sehr cleveren Software wird es möglich, am Computerbildschirm zuerst den Oberkiefer oder den Unterkiefer in die ideale neue Position zu bringen. Virtuell wird dann das für den Patienten beste Ergebnis berechnet. Hieraus ergibt sich eine minimal-invasive Operationstechnik, die in den Operationssaal übernommen werden kann.
Dieser Fall wurde auf der 10. Herbsttagung der Deutschen Gesellschaft für Mund-, Kiefer- und Gesichtschirurgie (DGMKG) Mitte November in Berlin vorgestellt. Die Tagung beschäftigte sich in diesem Jahr schwerpunktmäßig mit den richtungsweisenden Möglichkeiten neuer digitaler Technologien.








