Das ist unsere beste Nachwuchszahnärztin!
Der mit 1.000 Euro dotierte Preis im Ceram-X-Wettbewerb geht zum vierten Mal an die Universität Witten/Herdecke (UW/H). Pankratz wurde per Internetvoting ausgewählt. Am 6. Juni nimmt die Studentin, die im 10. Semester Zahnmedizin studiert, an der globalen Endausscheidung in Konstanz teil.
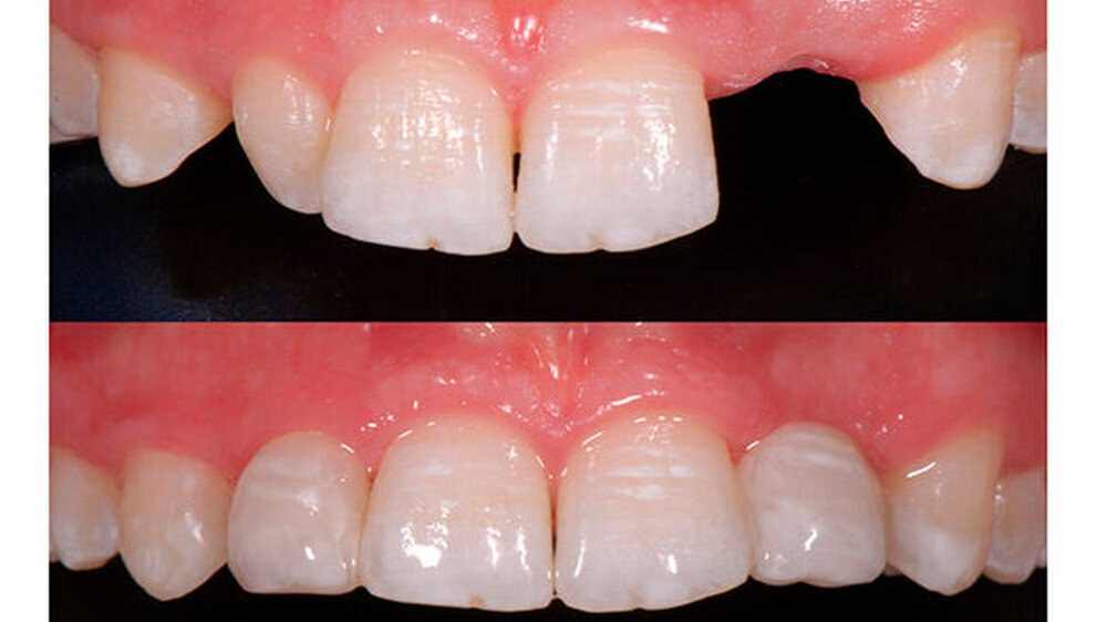
Schneidezahn wurde mit glasfaserverstärktem Kunststoff in der Lücke aufgebaut
"Wir haben bei einem 14-jährigen Mädchen einen fehlenden Schneidezahn ersetzt“, erklärt ihr Tutor, Oberarzt Dr. Ljubiša Markovic, die Ausgangssituation. „Das Besondere dabei ist, dass wir das nicht mit einer konventionellen Brücke getan haben, sondern den Zahn mit glasfaserverstärktem Kunststoff in der Lücke aufgebaut haben. Dadurch mussten die Nachbarzähne, die bei einem Jugendlichen noch einen voluminösen Zahnnerv besitzen, nicht beschliffen werden.“
„Ein Implantat kam in dem Alter auch nicht infrage, also blieb nur diese Art des Aufbaus“, ergänzt Valentina Pankratz das Behandlungskonzept. Und so wurde zunächst eine „Aufhängung“ aus Glasfaser für den neuen Zahn errichtet, dann eine Art „Grundgerüst“ per Abformung aus Silikon gefertigt, auf dem dann der neue Zahn in einzelnen Lagen aufgebaut werden konnte.
Herausforderung Hypomineralisation
Das Ganze wurde zusätzlich kompliziert, weil die Patientin auf vielen Zähnen eine Hypomineralisation aufwies und darum die Farbgebung des neuen Zahns nicht so einfach war. „Außerdem haben wir beide Eckzähne und den Zahn rechts vom mittleren Schneidezahn angeglichen und verbreitert, damit das Zahnbild schön symmetrisch wird“, erläutert Pankratz den Aufwand, der mit fünf Stunden im Behandlungsstuhl für alle anstrengend war.
Für ihre Arbeit, die wir in Kürze detailliert vorstellen, hat Zahnmedizinstudentin Valentina Pankratz den Wettbewerb "Beste Nachwuchszahnärztin" im deutschsprachigen Raum gewonnen. Am 6. Juni hat der Hersteller Dentsply alle nationalen Sieger weltweit zur internationalen Schlussrunde nach Konstanz eingeladen.




