„Dental neglect ist selten die einzige Form der Vernachlässigung!“
Frau Prof. Seifert, Sie leiten das Childhood-Haus Hamburg – Kompetenzzentrum für Kinderschutz! am UKE. Wofür steht das Zentrum und was genau sind dort Ihre Aufgaben als Rechtsmedizinerin?
Prof. Dr. Dragana Seifert: Ich habe vor rund 20 Jahren das Kinderkompetenzzentrum in Hamburg gegründet. Dies ist seit dem 6. Dezember 2021 in das Childhood-Haus übergegangen.Wir untersuchen und begutachten Kinder bei Verdacht auf Kindesmisshandlung, Vernachlässigung und sexualisierte Gewalt. Wir arbeiten vom ersten Tag an im Team. Das bedeutet, dass immer jeweils eine Ärztin oder ein Arzt aus der Rechtsmedizin und ein Kinderarzt oder eine Kinderärztin zusammen das Kind untersuchen. Kinderschutz kann nur interdisziplinär gelingen und wir müssen das Kind mit allen seinen Bedürfnissen betrachten, nicht nur auf mögliche Verletzungen achten, sondern auch auf den Gesundheitszustand und den Entwicklungsstand. Im Childhood Haus sind zwei weitere essenzielle Professionen dazu gekommen: zwei Psychologinnen sowie zwei Sozialpädagoginnen als Case-Managerinnen.
Ist Gewalt gegen Kinder ein Problem, das in manchen sozialen Schichten verbreiteter ist als in anderen?
Ich würde es anders formulieren: Gewalt gibt es in allen sozialen Schichten, aber in manchen kann man es besser verbergen als in anderen.
Nach Angaben der polizeilichen Kriminalstatistik liegt die Dunkelziffer von Kindesmisshandlungsfällen deutlich im sechsstelligen Bereich. Warum ist die Zahl so hoch?
Die Diskrepanz zwischen gemeldeten und tatsächlichen Kindesmisshandlungsfällen ist in der Tat sehr hoch. Leider scheuen sich viele Menschen davor, mögliche Kindesmisshandlungen zu melden, weil sie befürchten, dass die Sorgeberechtigten einen Verdacht haben könnten, wer es gemeldet hat. Viele misshandelte Kinder bleiben für das Hilfesystem „unter dem Radar“, weil sie nicht in die Kita gehen und auch nicht regelmäßig in Kinder- oder Zahnarztpraxen vorgestellt werden. In solchen Fällen werden sie häufig das erste Mal im Rahmen der Vorschuluntersuchung ärztlich begutachtet. Bis dahin erfährt niemand, dass es den Kindern nicht gut geht.
Es gibt auch in einigen Stadtteilen Schulen und Kitas, in denen es eine so hohe Zahl von möglicherweise vernachlässigten Kindern gibt, dass bei den dortigen Mitarbeitern eine Überforderung herrscht. Denn zu Kindesmisshandlung zählt nicht nur körperliche und sexualisierte Gewalt. Leider spricht in der Politik kaum jemand über das omnipräsente Problem der Vernachlässigung. Vernachlässigung ist die noch viel häufigere Erscheinungsform der Kindesmisshandlung und die Kinder leiden teilweise ein Leben lang unter den schweren psychischen und auch physischen Folgen der erlittenen Vernachlässigungen.
Können Sie Beispiele für Vernachlässigung nennen?
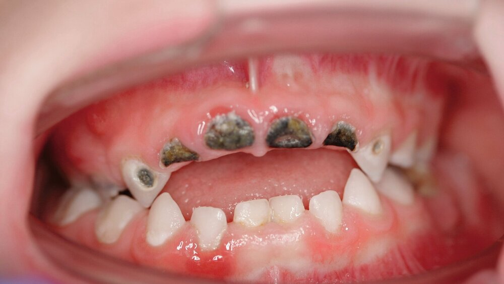
Beispiele für Vernachlässigung betreffen etwa die gesundheitliche Fürsorge. Dazu zählt das Nicht-Wahrnehmen von frühkindlichen Untersuchungen oder notwendigen medizinischen Maßnahmen. Viele Kinder haben nicht diagnostizierte Hüftschäden, die erst zutage treten, wenn sie mit sechs oder sieben Jahren nicht mehr richtig laufen können. Auch die Vernachlässigung der Zahnhygiene (Dental neglect) gehört dazu. Andere Kinder werden vollkommen sich selbst überlassen, bekommen keine Zuwendung, Hilfe oder Förderung in ihrer Entwicklung. Diese Kinder werden in ihrem Zimmer eingeschlossen, vor den Computer oder ein Tablet gesetzt und erhalten keinerlei Unterstützung im Lernen für die Schule. Gefährdet sind auch Kinder drogensüchtiger und alkoholabhängigen Eltern – und damit meine ich nicht nur solche mit schwerster Heroinsucht, sondern auch mit regelmäßigem Haschisch-Konsum. Das THC finden wir regelmäßig auch in Haarproben der Kinder von abhängigen Eltern. Kinder drogensüchtiger Eltern haben eine viel höhere Chance, später selbst süchtig zu werden, als Kinder, die im häuslichen Umfeld keinen Kontakt zu Drogen gehabt haben. Diese Kinder haben ein besonders hohes Schutzbedürfnis.
Offenbar wird häufig nicht oder zu spät eingeschritten. Wo liegt das Problem im medizinischen Bereich? Werden suspekte Verletzungen nicht erkannt oder hapert es an der Bereitschaft, diese zu melden?
In unserer Statistik wurden kaum Misshandlungsverdachtsfälle über Kinderärztinnen und Kinderärzte gemeldet. Meldungen durch Zahnärztinnen und Zahnärzte sind eine echte Rarität. Bei den Kinderärzten besteht häufig die Sorge, dass sie die Kinder und Familien durch eine Meldung komplett verlieren. Aber häufig liegt der Fokus der ärztlichen Kolleginnen und Kollegen woanders oder sie lassen den Gedanken gar nicht erst zu, dass die Eltern, die sich so freundlich präsentieren, sich unbeobachtet anders verhalten können. Häufig werden geradezu abenteuerliche Geschichten erzählt, um Verletzungen der Kinder zu erklären. Beispielsweise hat mir eine Mutter versucht zu erklären, dass die beidseitigen Rippenserienbrüche ihres Babys durch die Hauskatze verursacht worden seien, die sich kurz auf den Brustkorb des Säuglings gelegt habe.
Welche Verletzungen bei Kindern sehen Sie am häufigsten?
Am häufigsten ist eine stumpfe Gewalteinwirkung – entweder durch körperliche Gewalt oder mithilfe eines Gegenstands. Beispiele dafür sind Tritte, Ohrfeigen oder Schläge mit der Hand oder mit Verlängerungskabeln.
Gibt es Verletzungen im Mund-Kiefer-Gesichtsbereich, die besonders oft bei Misshandlungen auftreten?
Schleimhautverletzungen oder abgebrochene Zähne zählen zu den häufigsten intraoralen Verletzungen. Darüber hinaus sind Spuren eines Handabdrucks durch Ohrfeigen oder Schläge im Gesichtsbereich nicht selten.
Wie kann man Misshandlungsspuren von unfallbedingten Verletzungen abgrenzen?
Am besten gelingt das anhand der Prüfung der Plausibilität der elterlichen Schilderung über einen etwaigen Verletzungshergang. Blutunterlaufungen an den Knien oder Schienbeinen machen mir keine Sorgen – diese treten regelmäßig bei Stürzen, beim Spielen oder beim Fahrradfahren auf. Hingegen sind Blutergüsse oder Verletzungen hinter den Ohren, am Hals oder am Gesäß sehr oft besorgniserregend, da sie schon aufgrund ihrer Lokalisation nicht durch Unfälle zu erklären sind.
Gibt es Umstände oder Auffälligkeiten im Verhalten der Kinder oder Eltern, bei denen Zahnmediziner besonders hellhörig werden sollten?
Folgende Aspekte sind besonders bemerkenswert: Zum einen sollte man besonders aufmerksam sein, wenn deutlich wird, dass Kinder Angst vor den Eltern haben. Zum anderen ist die fehlende Empathie gegenüber dem eigenen Kind ein klares Warnsignal. Damit meine ich nicht, dass alle Eltern, die ihr Kind bei einer zahnärztlichen Untersuchung nicht beruhigen können, keine guten Eltern sind. Aber eine solche „Stresssituation“ gibt einen Eindruck, wie die Familie funktioniert.
Ich habe leider nicht selten erlebt, dass Kinder während einer Untersuchung weinen und die Eltern vollkommen unberührt daneben sitzen. Entweder können diese Eltern die Bedürfnisse ihres Kindes nicht erkennen oder sie erkennen sie, aber sie sind ihnen egal. Fehlende Empathie beziehungsweise Gleichgültigkeit gegenüber dem Kind beunruhigt mich zutiefst und sollte grundsätzlich als Warnsignal verstanden werden.
Was würden Sie Zahnärztinnen und Zahnärzten raten, die Verletzungen unklarer Ursache bei der Untersuchung von Kindern feststellen?
Sie sollen sich bei einem Verdacht immer an die naheliegende Kinderschutzambulanz wenden. Wir in Hamburg sind 24 Stunden erreichbar, können aus ganz Deutschland angerufen und auch anonym um Rat gefragt werden. Alternativ kann das nächstgelegene rechtsmedizinische Institut kontaktiert werden, um dort fachlich beraten zu werden.
Wie häufig stellt sich ein Misshandlungsverdacht als „falscher Alarm“ heraus?
„Komplett falscher Alarm“ ist bei uns selten, weil die meisten Kinder über das Jugendamt zu uns kommen und dadurch schon eine Selektion stattgefunden hat. Aber es gibt auch Fälle, in denen ein Verdacht auf Kindesmisshandlung besteht, aber dieser zum Zeitpunkt der rechtsmedizinischen Untersuchung nicht nachgewiesen werden kann. Ich würde schätzen, dass dies etwa ein Viertel aller bei uns untersuchten Fälle betrifft. Gerade wenn etwas Zeit nach physischer Gewalt vergangen ist, ist der Nachweis schwer, weil die Verletzungen oft folgenlos abheilen – die Narben auf der Seele können aber bleiben. Nur wenige Verletzungsarten, zum Beispiel Folgen von thermischer Gewalt nach Einwirkung von Feuer oder heißer Flüssigkeit, hinterlassen langfristig eindeutige Spuren und Narben.
Ich würde mir wünschen, dass ein Zahnarzt oder eine Zahnärztin bei Verhaltensauffälligkeiten eines Kindes oder dessen Eltern genauer hinsieht.
Was passiert, wenn Sie bei der Untersuchung eines Kindes im Kompetenzzentrum für Kinderschutz Spuren von Gewalt bei Kindern feststellen?
Das ist Auftraggeber-abhängig: Wenn das Jugendamt der Auftraggeber ist, dann wird das Ergebnis der Untersuchung des Kindes auch dem Jugendamt gemeldet. Wenn Kinderärzte die Auftraggeber sind, dann besprechen wir mit ihnen das weitere Prozedere, zum Beispiel, dass wir eine Meldung an das Jugendamt empfehlen würden – die wir dann auch anbieten zu übernehmen. Das Jugendamt sollte eigentlich immer ins Boot geholt werden, denn sie haben das Wächteramt, sie können sich um die Familien kümmern und sicherstellen, dass die Kinder die notwendige Hilfe bekommen.
Wir untersuchen und betreuen im Childhood-Haus Hamburg mehr als 1.000 Kinder pro Jahr. Schon seit Jahren haben wir sehr hohe Untersuchungszahlen. Unsere berufliche Schweigepflicht brechen wir nur in Ausnahmefällen, um eine Strafanzeige zu erstatten. Das passiert zum Beispiel dann, wenn wir einen sexuellen Missbrauch einer erwachsenen Person eindeutig nachweisen können, wenn ein Schütteltrauma vorliegt, weil wir wissen, dass dies eine lebensbedrohliche Verletzung ist, oder wenn wir einen Säugling mit multiplen Knochenbrüchen untersuchen müssen.
Haben Sie eine abschließende Botschaft an die zahnärztlichen Kolleginnen und Kollegen?
Ich würde mir wünschen, dass ein Zahnarzt oder eine Zahnärztin bei Verhaltensauffälligkeiten eines Kindes oder dessen Eltern, bei suspekten Verletzungen oder Anzeichen von Vernachlässigung genauer hinsieht. Auf dem Zahnarztstuhl ist es leicht, einen kurzen Blick auf das Gesicht, die Hände, den Hals und hinter die Ohren des Kindes zu werfen. Dies sind wertvolle Sekunden, bei denen vieles gesehen werden kann.
Wann immer man einen Dental neglect feststellt, sollte man genauer nachsehen, ob es weitere Auffälligkeiten gibt. Wir wissen, dass ein Dental neglect selten die einzige Form der Vernachlässigung oder der Kindesmisshandlung ist. Da es ungewöhnlich wäre, dass „nur“ die Zähne eines Kindes vernachlässigt werden, braucht es immer einen ganzheitlichen Blick auf das Kind sowie die Sorgeberechtigten.
Das Gespräch führte Dr. Nikola Lippe.




