Der Fall: Die Milchmolaren bröckeln
Ein fünfjähriges Mädchen kam mit Schmerzen an verschiedenen Milchzähnen zum zahnärztlichen Notdienst. Die Eltern berichteten, dass sie neben den regelmäßigen Untersuchungen in der Schule auch halbjährliche zahnärztliche Kontrolluntersuchungen wahrgenommen hatten und nun mehr als überrascht seien über die plötzlich auftretenden Schmerzen.
Die Anamnese deutete auf eine durchaus sehr gute Mundhygiene hin (zwei- bis dreimaliges Zähneputzen täglich, Nachputzen durch die Eltern, wenige Zuckerimpulse pro Tag). Ebenso wurde auf eine regelmäßige Fluoridierung mittels fluoridhaltiger Kinderzahnpasta und beinahe täglicher Speisesalz-Fluoridierung geachtet.
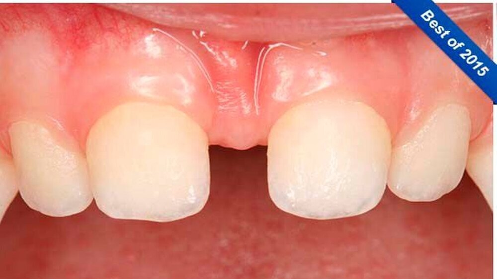
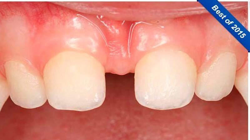
Kariöse Läsionen oder andere Auffälligkeiten an den Zähnen beziehungsweise in der Mundhöhle waren laut Aussage der Eltern bisher nicht aufgetreten. Einzig das tief inserierende Lippenbändchen im Oberkiefer, das zum Diastema der oberen mittleren Milchschneidezähne (Abbildung 1) beitrug, war mehrfach diskutiert worden. Ein Entschluss zur Intervention war aber noch nicht gefasst worden.
Klinischer Befund
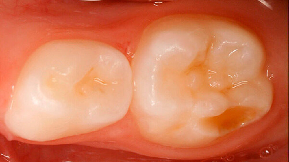
Die Patientin wies ein vollständiges Milchgebiss auf. An einer für eine Karies untypischen Lokalisation, distobukkal an Zahn 75, zeigte sich eine großflächig eingebrochene Läsion (Abbildung 2). Eine weitere, ebenfalls eingebrochene Läsion befand sich an Zahn 85 okklusal, somit an einer auch für die Karies üblichen Lokalisation (Abbildung 3). Zahn 65 wies im Vergleich eine ungewöhnlich Opazität auf (vergleiche Abbildung 7 nach Durchbruch von Zahn 26). Zahn 55 zeigte keinerlei klinische Besonderheiten.
Auffallend war weiterhin eine deutliche Opazität (milchig-weiß bis gelblich) auf der Labialfläche von Zahn 53 (Abbildung 4). Zahn 63 war nicht betroffen (Abbildung 5), ebenso wenig die Zähne 73 und 83.
Diagnose
Aufgrund der größtenteils ungewöhnlichen Lokalisationen der Läsionen sowie den Opazitätsveränderungen wurde die Diagnose einer Milchmolaren-Hypomineralisation gestellt.
Differenzialdiagnosen
a) Karies: Auch wenn Zahn 85 eine relativ typische Lokalisation, inklusive eingebrochener Oberfläche, für eine Karies aufwies, wurde diese ausgeschlossen, da die Summe der weiteren Befunde eher für eine Milchmolaren-Hypomineralisation sprach. Da aber nicht auszuschließen ist, dass der Einbruch der Oberfläche an Zahn 85 schon vor längerer Zeit stattgefunden hat, ist die Entstehung einer Sekundärkaries möglich, jedoch nicht die primäre Ursache.
b) Fluorose: Eine Fluorose im Milchgebiss ist sehr selten und hat ein anderes klinisches Bild als bei der dargestellten Patientin. Neben dem eher auftretenden klinischen Bild der meist zunächst linien-/wolkenförmigen Strukturveränderungen wäre es zusätzlich wahrscheinlicher, dass die zweiten Milchmolaren gleichmäßiger betroffen sind. Zudem wies die Fluoridanamnese auf keinen übermäßigen Einsatz dieser hin.
c) Amelogenesis imperfecta: In der Regel betrifft die Amelogenesis imperfecta alle Zähne beider Dentitionen. Weiterhin ist der Ausprägungsgrad an allen Zähnen verhältnismäßig gleich. Im vorliegenden Fall spricht somit gegen eine Amelogenesis imperfecta, dass nur einzelne Zähne betroffen sind, die restlichen Zähne aber – zumindest klinisch – normal gebildet erscheint.
Hinzu kommt, dass die Familienanamnese keinen Fall irgendeiner ähnlichen Erkrankung der Zähne aufweisen konnte. Zwar kommt die Amelogenesis imperfecta gelegentlich als Neumutation vor, so dass der betroffene Patient tatsächlich der erste in der Familie ist. Der klinische Befund dieser Patientin entsprach jedoch weitestgehend der Definition der Milchmolaren-Hypomineralisation, so dass eine andersartige Erkrankung ausgeschlossen wurde (siehe auch Erläuterungen zum Therapieentscheid).
###more### ###title### Behandlungsablauf ###title### ###more###
Behandlungsablauf
Für die Milchmolaren-Hypomineralisation gilt ebenso wie für die Molaren-Inzisiven-Hypomineralisation, dass eine adhäsive Füllungstherapie bei Kavitäten, die noch an hypomineralisierte Zahnhartsubstanz angrenzen, erschwert ist [Lygidakis et al., 2010]. Hinzu kommt der in Milchzähnen ohnehin erschwerte adhäsive Verbund zwischen Zahnhartsubstanz und Adhäsiv-System/Füllungsmaterial.
In dem vorliegenden Fall handelte es sich um eine Behandlung im Notdienst. Deshalb wurde hier zunächst mittels eines für das Milchgebiss zu diesem Zeitpunkt gut untersuchten Adhäsivsystems (Prime&Bond NT, Dentsply De Trey) und einem Kompomer (Dyract, Dentsply De Trey) ein Verschluss der eingebrochenen Kavitäten angestrebt, ohne dass es zu einer Entfernung zusätzlicher Zahnhartsubstanz kam. Somit wurde in der Situation des Notdienstes vermieden, die erste und gleichzeitig umfangreiche Behandlung der Patientin durchführen zu müssen.
Die Eltern wurden über die möglichen Ursachen der Erkrankung aufgeklärt, und ebenso darüber, dass die Behandlung im Notdienst zunächst als eine temporäre Intervention angesehen werden solle, verbunden mit der Wahrscheinlichkeit, dass zu einem späteren Zeitpunkt eine erneute Intervention notwendig werden würde.
Nach knapp zwei Monaten stellte sich die Patientin in der regulären Sprechstunde erneut vor, die Abdeckung mit dem Kompomer an Zahn 75 war verloren gegangen und der Zahn bereitete ihr deshalb erneut Schwierigkeiten.
Aufgrund der nicht übermäßig ausgedehnten Läsion entschieden sich Eltern und Behandler zu einem weiteren Versuch einer adhäsiven Füllungstherapie, dieses Mal allerdings unter Verwendung von Lokalanästhesie, Kofferdam, und Anschrägung der Kavitätenränder. Ebenso wurde der angeschrägte Schmelz mit 35-prozentiger Phosphorsäure geätzt bevor erneut Prime&Bond NT (Dentsply De Trey) appliziert wurde. Es wurde erneut das gleiche Füllungsmaterial zur Abdeckung der Läsion verwendet.
Im weiteren Verlauf von zwei Jahren verlor die Patientin diese Füllung noch zwei weitere Male. In beiden Fällen kam es zu keinem merklichen Verlust weiterer Zahnhartsubstanz, weshalb die Kavität jeweils erneut mit Kompomer verschlossen wurde.
Inzwischen sind die Sechsjahrmolaren durchgebrochen, die klinisch-morphologisch alle normal erscheinen. Zahn 26 allerdings weist im koronalen Anteil oberhalb des Äquators eine durchaus veränderte Opazität auf (Abbildung 7).
###more### ###title### Erläuterungen zum Therapieentscheid ###title### ###more###
Erläuterungen zum Therapieentscheid
Neben der immer mehr beachteten Molaren-Inzisiven-Hypomineralisation (MIH) scheint auch die Milchmolaren-Hypomineralisation immer häufiger aufzutreten. Erste Berichte und Untersuchungen dazu stammen aus den Niederlanden [ Elfrink et al., 2008], inzwischen sind aber auch eine ähnliche Prävalenz (etwa fünf Prozent) für Deutschland bekannt [Petrou et al., 2014].
Die Arbeitsgruppe, die die Milchmolaren-Hypomineralisation bisher am intensivsten untersucht hat, geht davon aus, dass der gemeinsame Beginn der Mineralisation von zweitem Milchmolar und Sechsjahrmolar dazu führen kann, dass hypomineralisierte zweite Milchmolaren einen Prädiktor für eine Hypomineralisation der Sechsjahrmolaren darstellen können [Elfrink et al., 2012].
Beide Zähne beginnen die Mineralisation zum gleichen Zeitpunkt, doch die Mineralisation des zweiten Milchmolaren ist wesentlich früher abgeschlossen als die des Sechjahrmolaren, so dass den Sechsjahrmolaren ein gewisses Regenerationspotenzial zugesprochen wird, da heißt diese eventuell weniger stark betroffen sein könnten.
Genauere Untersuchungen dazu stehen aber noch aus. Bisher hat nur ein Teil der von der Milchmolaren-Hypomineralisation betroffenen Kinder ein erhöhtes Risiko für eine MIH, und das insbesondere, wenn eine milde Form der Milchmolaren-Hypomineralisation vorliegt. Diese Zusammenhänge erscheinen zunächst widersprüchlich und wenig nachvollziehbar und sind bisher nicht genauer zu erklären.
Es wird angenommen, dass in etwa die gleichen Faktoren für die Entstehung einer Milchmolaren-Hypomineralisation in Betracht kommen müssten wie für die MIH [Elfrink et al., 2012]. Darüber hinaus wurde für die Milchmolaren-Hypomineralisation festgestellt, dass ein Alkoholkonsum der Mutter während der Schwangerschaft mit dieser Erkrankung assoziiert sein kann [Elfrink et al., 2014].
An dieser Stelle sei mit Nachdruck darauf verwiesen, dass auch dies zunächst eine Assoziation ist, die unter Umständen mit der eigentlichen Ursache nichts zu tun hat.
Da die Hypomineralisation in zweiten Milchmolaren bisher noch weniger Beachtung fand als die Molaren-Inzisiven-Hypomineralisation, sind auch dementsprechend klinische Empfehlungen zur Therapie dürftig. Im vorliegenden Fall ging der dreimalige Füllungsverlust an Zahn 75 nicht mit dem Verlust weiterer Zahnhartsubstanz einher.
Dennoch ist eine jährliche Erneuerung der Restauration nicht zufriedenstellend. Zwar ist durchaus bekannt, dass für die Füllungstherapie im Milchgebiss in der Regel andere Materialien als im Milchgebiss zum gewünschten Erfolg führen [Krämer et al., 2007], doch bei dieser Patientin kam erschwerend hinzu, dass die die Kavität umgebende Zahnhartsubstanz zumindest teilweise hypomineralisiert war.
Die Schwierigkeiten der Verankerung adhäsiver Füllungsmaterialien in hypomineralisierter Zahnhartsubstanz wurden im vorherigen Fallbeispiel ausführlich erläutert [Feierabend, Bekes; 2014]. Bei großflächigeren Zahnhartsubstanzverlusten oder häufigerem Füllungsverlust wäre im vorliegenden Fall sicherlich für den/die zweiten Milchmolaren auch die Versorgung mit einer Stahlkrone in Betracht gekommen. Nach aktuellem Stand würde heute möglicherweise ein anderes Adhäsiv zum Einsatz kommen [Krämer et al., 2014].
###more### ###title### Fazit ###title### ###more###
Fazit
Die Milchmolaren-Hypomineralisation mit einer Prävalenz von etwa fünf Prozent ist keine Seltenheit, doch fehlt bisher das Wissen zu Ursache, bestmöglicher Therapie und den Risiken für die bleibende Dentition. Ähnlich wie für die MIH gilt es, nach einer sorgfältigen Diagnostik zunächst eventuelle Schmerzen zu beseitigen, was durch Abdeckung/Füllung entsprechender Areale erfolgen kann, gegebenenfalls durch die Überkronung des entsprechenden Zahnes.
Eine Aufklärung der Patienten und Eltern sollte erfolgen, dass ein mögliches Risiko einer MIH für die bleibende Dentition besteht, wenn auch eine Prognose bisher kaum möglich ist.
Dr. Stefanie Feierabend, Klinik für Zahnerhaltungskunde und Parodontologie, Universitätsklinikum Freiburg, Hugstetter Straße 55, 79106 Freiburgstefanie.feierabend@uniklinik-freiburg.de
Elfrink ME, Schuller AA, Weerheijm KL, Veerkamp JS (2008). Hypomineralized second primary molars: prevalence data in Dutch 5-year-olds. Caries Res 42(4):282-285
Elfrink ME, ten Cate JM, Jaddoe VW, Hofman A, Moll HA, Veerkamp JS (2012) Deciduous molar hypomineralization and molar incisor hypomineralization. J Dent Res 91:551-555
Elfrink ME, Moll HA, Kiefte-de Jong JC, Jaddoe VW, Hofman A, ten Cate JM, Veerkamp JS (2014). Pre- and postnatal determinants of deciduous molar hypomineralisation in 6-year-old children. The generation R study. PLoS One 9(7):e91057 doi: 10.1371/journal.pone.0091057
Feierabend S, Bekes K (2014). Der Fall: Verdacht auf Fluorose. URL: www.zm-online.de/home/zahnmedizin/Der-Fall-Verdacht-auf-Fluorose_271574.html
Krämer N, Lohbauer U, Frankenberger R (2007). Restorative materials in the primary dentition of poli-caries patients. Eur Arch Paediatr Dent 8(1):29-35
Krämer N, Tilch D, Lücker S, Frankenberger R (2014). Status of ten self-etch adhesives for bonding to dentin of primary teeth. Int J Paediatr Dent 24(3):192-129
Lygidakis NA, Wong F, Jälevik B, Vierrou AM, Alaluusua S, Espelid J (2010) Best clinical practice guidance for clinicians dealing with children presenting with molar-incisor-hypomineralisation (MIH): an EPAD policy document. Eur Arch Paediatr Dent11:75-81
Petrou MA, Giraki M, Bissar AR, Basner R, Wempe C, Altarabulsi MB, Schäfer M, Schiffner U, Beikler T, Schulte AG, Splieth CH (2014). Prevalence of Molar-Incisor_Hypomineralisation among school children in four German cities. Int J Paediatr Dent 24(6):434-440
Mehr zum Thema: MIH
Bei der systemisch bedingten Hypomineralisation können beide Dentitionen betroffen sein. Hier sehen Sie verschiedene Therapieoptionen.












