Der Fall: Parodontal induzierte Sinusitis maxillaris
Durch die topografische Nähe der Zahnwurzeln zur Kieferhöhle lässt sich ein Übergreifen pathogener Keime auf das zarte respiratorische Epithel der Kieferhöhlen oftmals nicht vermeiden. Die hierbei entstehende akute Form bezeichnet man als akute Sinusitis maxillaris (ICD-10 J01.0) und in der chronifizierten Varianten chronische Sinusitis maxillaris (ICD-10 J32.0).
Symptome der akuten Sinusitis sind neben Kopfschmerzen vorwiegend eine putride Rhinitis. Sehstörungen und Fieber können als Begleitsymptomatik hinzukommen und den Allgemeinzustand stark beeinträchtigen. Eine odontogene Infektion der Kieferhöhlen tritt meistens als Folge einer apikalen Parodontitis auf. Der parodontale Infektionsweg kommt dagegen sehr selten vor und soll hier dokumentiert werden.
Der Fall
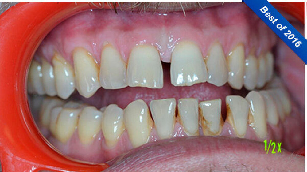
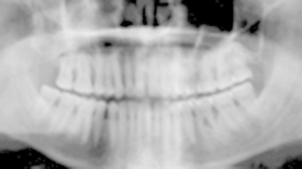
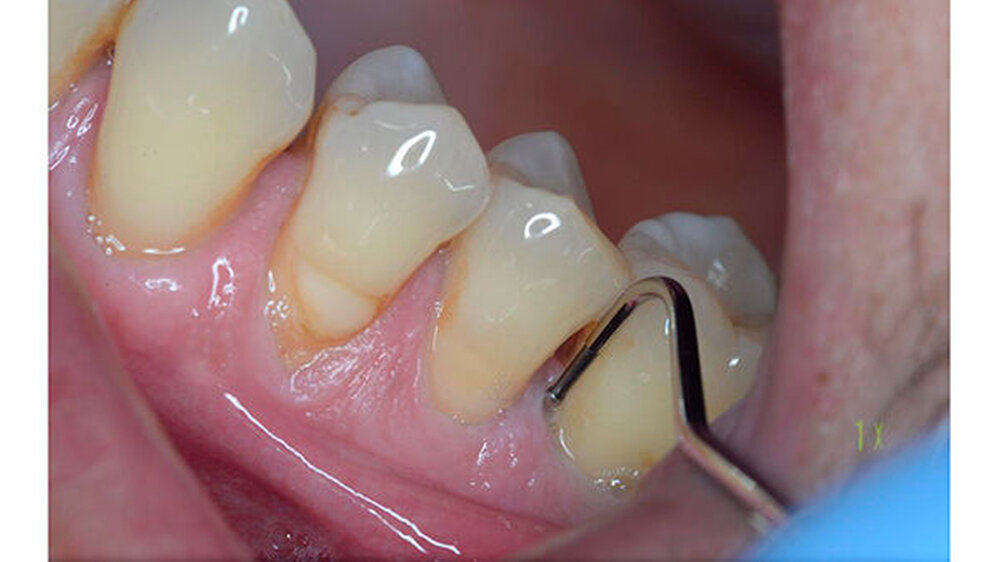
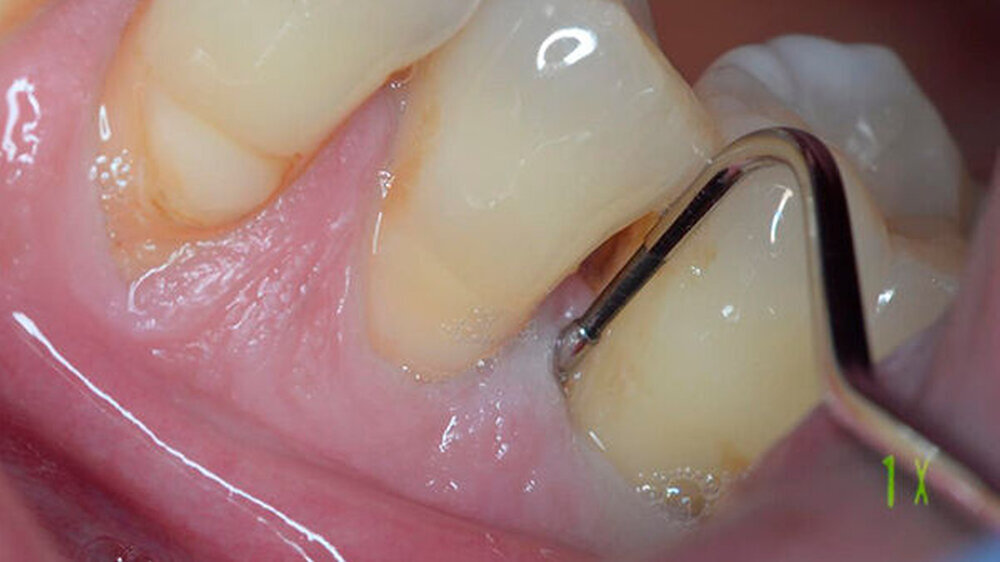
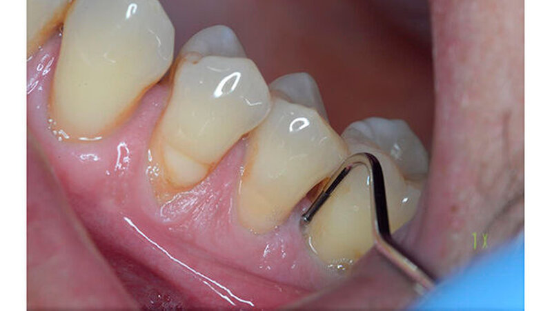
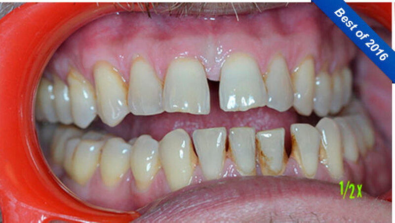
Ein 51-jähriger sportlich muskulöser Patient mit kariesfreiem Gebiss stellte sich zur konsiliarischen Untersuchung vor einer Operation der Kieferhöhle vor. Auf dem OPT imponieren der im Oberkiefer deutlich erkennbare horizontale Höhenverlust mit starker vertikaler Komponente in Regio 15/16 sowie der im Unterkiefer starke vertikale Knochenverlust in Regio 36. Allgemeinerkrankungen oder Medikationen wurden anamnestisch verneint.
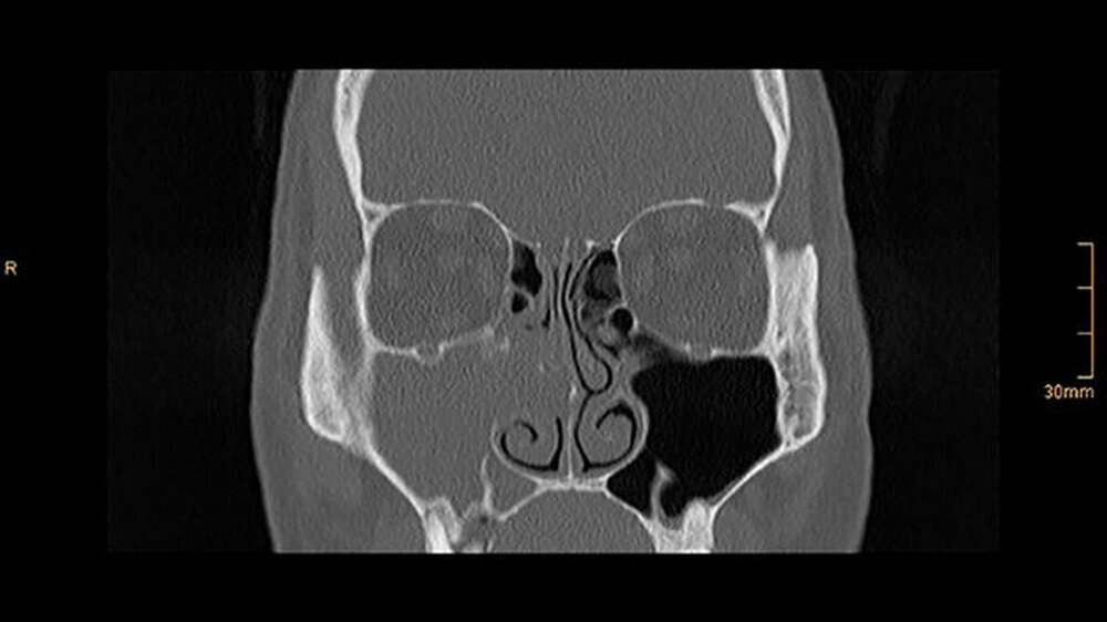
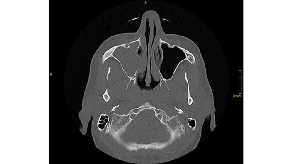
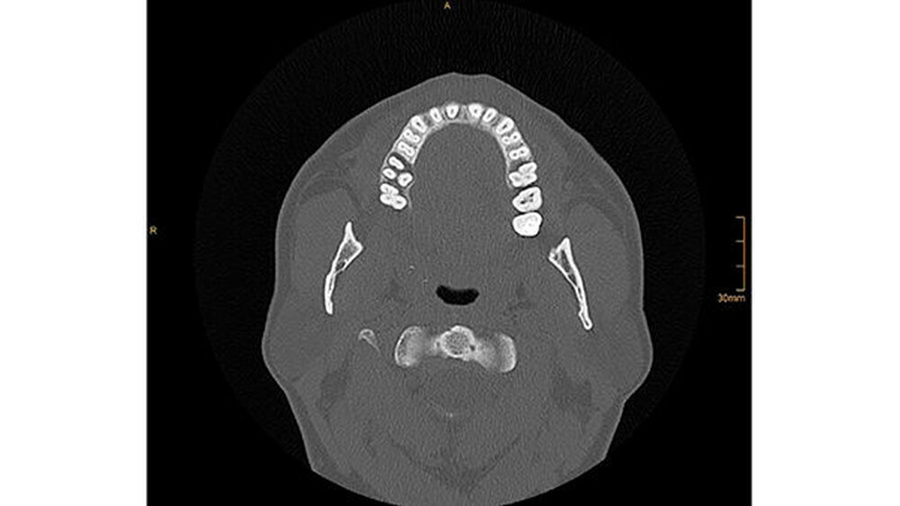
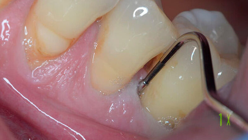
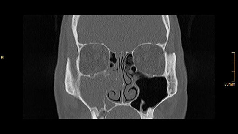
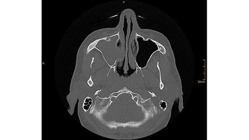
Die CT-Aufnahmen zeigen eine deutliche bis zum Orbitaboden heranreichende Totalverschattung der rechten Kieferhöhle. In Höhe des Zahns 16 zeigen sich periradikuläre Rarefikationen als Hinweis auf eine aggressive lokale Parodontitis.
Epikritische Betrachtung
Zur Vermeidung eines Rezidivs oder einer Chronifizierung der Sinusitis maxillaris ist die Kenntnis der Infektionsätiologie jeder Sinusitis im Einzelfall sehr wichtig. Nur wenn der Infektionsweg eindeutig definiert werden kann, ist eine kausale Therapie der Sinusitis erfolgreich möglich.
Dr. Hans-Werner BertelsenAmbulante Klinik am St. Joseph-StiftSchwachhauser Heerstr. 54, 28209 Bremen E-mail:OA Dr. Sönke WilmsHNO-Klinik St. Joseph-StiftSchwachhauser Heerstr. 54, 28209 Bremen E-mail:










