Der Fall: Venöse Malformation der Glabellaregion
Ein 51-jähriger Patient wurde mit einem seit längerem bestehendem bläulichen Tumor im Bereich des oberen Nasenrückens und der Glabellaregion über unsere mund-, kiefer- und gesichtschirurgische Ambulanz vorstellig. Er berichtete von einer Spontanblutung aus dem Tumor in der letzten Nacht.
Anamnese
Anamnestisch wurde mitgeteilt, dass bereits im Alter von sechs Jahren ein „Blutschwamm“ in diesem Bereich operativ entfernt wurde. Allgemeinmedizinisch waren eine koronare 1-Gefäßerkrankung, eine hypertensive Herzerkrankung, eine leichtgradige linksventrikuläre diastolische Dysfunktion, eine arterielle Hypertonie, eine Fettstoffwechselstörung, eine prädiabetische-Stoffwechsellage und ein Wirbelsäulensyndrom bei einem Body-Mass-Index von 47 bekannt.
Klinische und röntgenologische Diagnosestellung
Die klinische Untersuchung zeigte eine bläuliche, livide, weich zu tastende und auf die Haut begrenzte Läsion. Sie reichte vom unteren Stirnbereich über die Glabellaregion bis zum oberen Nasenrücken (Abbildung 1).Aufgrund der Anamnese und der klinischen Untersuchung wurde zur weiteren Abklärung eine Magnetresonanztomografie des Mittelgesichtes veranlasst.
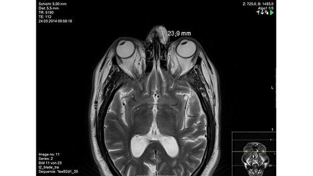
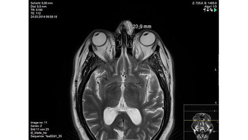
In der Magnetresonanztomografie des Gesichtsschädels zeigte sich eine etwas lobuliert imponierende und signalreiche Läsion frontonasal subkutan links. Der Tumor war mittellinienüberschreitend und zeigte ein koronares Ausmaß von 20 x 40 Millimetern sowie ein transversales Ausmaß bis zu maximal 24 Millimeter (Abbildungen 2 und 3 ).
Es lag ein intensives, jedoch etwas heterogenes Kontrastmittel-Enhancement vor. Die Drainage des Prozesses erfolgte über ein Galeagefäß, die Vena angularis sowie in ein supraorbitales Gefäß links. Ein Nachweis einer angrenzenden Läsion in der Kalotte und Orbita links lag nicht vor.
Aufgrund dieses Magnetresonanzbefundes wurde die Verdachtsdiagnose einer frontobasalen Gefäßmalformation auf dem Nasenrücken und der Glabellaregion gestützt. Nach erfolgter Magnetresonanztomografie, der klinischen Untersuchung und der Anamnese wurde dieExzision in oraler Intubationsnarkose unter stationären Bedingungen geplant.
###more### ###title### Exzision und Defektdeckung mittels Stirnlappenplastik ###title### ###more###
Exzision und Defektdeckung mittels Stirnlappenplastik
Mit einem Abstand von circa drei Millimetern zu den sichtbaren Grenzen wurde der Tumor zunächst hautseitig umschnitten und anschließend zur Tiefe hin supraperiostal exzidiert. Es erfolgte eine fortlaufende Blutstillung durch Elektrokoagulation. Während der Exzision kam es zu keiner nennenswerten arteriellen Blutung, so dass der Tumor komplett entfernt werden konnte. Es resultierte ein 2,5 x 5 Zentimeter großer Hautdefekt.
Zur plastischen Deckung wurde ein im Bereich der rechten Augenbraue gestielter, circa 6 x 2,5 Zentimeter großer Stirnlappen umschnitten und so mobilisiert, dass er um 180 Grad geschwenkt und dann in den Defekt eingelagert werden konnte. Die seitlichen Wundränder im Bereich der Stirn wurden unterminiert, so dass die Lappen-Entnahmestelle primär verschlossen werden konnte. Nach Einlage einer 8er-Redonsaugdrainage erfolgte der Verschluss der Lappen-Entnahmestelle an der Stirn durch eine schichtweise Naht.
Der Lappen wurde nun an seiner Spitze exakt an den Defekt adaptiert und anschließend im Spitzenbereich etwas ausgedünnt. Anschließend erfolgte das schichtweise Einnähen des Lappens in den Defekt. Auf der rechten Seite stauchte sich durch die Drehung des Lappens das Gewebe etwas unterhalb und medial der Augenbraue, so dass hier eine spätere Korrekturoperation bereits eingeplant wurde. Zum Abschluss wurde ein Druckverband angelegt. Das Tumorgewebe wurde zur patho-histologischen Untersuchung in Formalin asserviert und an den Pathologen übersandt.
###more### ###title### Postoperative Therapie ###title### ###more###
Postoperative Therapie
Die intraoperativ eingebrachte Redonsaugdrainage konnte zeitgerecht entfernt werden.Postoperativ erfolgten lokal abschwellende Maßnahmen und eine systemische Analgesie mittelsNovalgintropfen bei Bedarf. Die Histologie des Tumorgewebes bestätigte die klinische Verdachtsdiagnose einer „venösen Malformation“. Der weitere Heilungsverlauf gestaltete sich komplikationslos.
Am Drehpunkt des Stirnlappens medial der rechten Augenbraue fand sich ein durch die Gewebestauchung bedingter Gewebeüberschuss. Auf Wunsch des Patienten wurde der Eingriff erst nach sechs postoperativen Monaten durchgeführt.
In Lokalanästhesie erfolgte die Lappenkorrektur durch Exzision überschüssiger Haut am Drehpunkt des Stirnlappens, stellenweise musste der Lappen zusätzlich ausgedünnt werden. Bei einem Kontrolltermin nach vier Monaten zeigte sich ein reizlos verheiltes und ästhetisch akzeptables Operationsgebiet (Abbildung 4)
###more### ###title### Hautveränderungen bleiben oft unerkannt ###title### ###more###
Hautveränderungen bleiben oft unerkannt
Im Kopf-Halsbereich werden vaskuläre Malformationen, deren Ursache in einer anlagebedingten Fehlbildung liegen, und Hämangiome als proliferierende Neubildungen unterschieden. Bei Hämangiomen, auch vaskuläre Tumore genannt, handelt es sich um Hautveränderungen, die oft schon bei Säuglingen vorkommen. Sie sind nicht schmerzhaft, können allerdings stark bluten. Das Vorkommen in allen Bereichen des Körpers, vor allem in der Kopf-Hals-Region und in der Leber ist möglich. Sie bleiben oft unerkannt, außer im Bereich der Haut, wo sie sichtbar werden.
Gefäßmalformationen werden in kapilläre, venöse oder lymphatische Malformationen mit Niedrigfluss (low/slow flow) sowie in arterielle und arterio-venöse Malformationen mit Hochfluss (high/fast flow) eingeteilt.
Generell sind kapilläre, kavernöse und senile Hämangiome zu unterscheiden. Diese standardisierte Nomenklatur der vaskulären Anomalien erfolgt nach Einteilung der International Society for the Study of Vasular Anomalies (ISSVA). Zur Diagnostik werden MRT (Magnetresonanztomografie) und ergänzend in einigen Fällen MRA (Magnetresonanzangiografie) herangezogen. Bei einem kavernösen Hämangiom handelt es sich um eine arterio-venöse Gefäßfehlbildung, die sich aus einem Gefäßhohlraum entwickelt. Das kapilläre Hämangiom entwickelt sich aus kapillären Blutgefäßen und zeigt sich besonders oft bei Neugeborenen. Im Gegensatz dazu bilden sich senile Hämangiome im höheren Lebensalter aus mehreren Kapillaren und sind am Körper, vor allem im Thoraxbereich, als harmlose kleine rote Pünktchen zu sehen.
###more### ###title### Malformationen treten nicht sofort in Erscheinung ###title### ###more###
Malformationen treten nicht sofort in Erscheinung
In unserem beschriebenen Fallbericht handelt es sich - im Hinblick auf die Histologie und die Anamnese - um eine venöse Malformation. Diese sind bereits bei der Geburt vorhanden, treten jedoch nicht sofort in Erscheinung. Das sichtbare Auftreten kann in der Kindheit, in der Pubertät oder erst im Erwachsenenalter entstehen - hormonelle Veränderungen werden als Ursache diskutiert [Garzon et al., 2007; Mulliken et al., 2000]. Bei Geburt sind sie als winziger, blauer Fleck angelegt.
Im Laufe des Lebens wachsen sie stetig zu schwammartigen, abnormen Formationen dünner und erweiterter Venen, mit Mangel an glatten Muskelzellen und variabler Kommunikation zu den physiologischen Venen, heran [Vikkula et al. 1998].
Sie sind weich sowie kompressibel und durch eine deutliche typischen Blaufärbung der Haut charakterisiert. Venöse Malformationen sind mit ca. 50 Prozent die am häufigsten vorkommenden unter den Vaskulären Anomalien [Vikkula et al., 1998]. Fälschlicherweise wird die venöse Malformation oft auch als kavernöses Hämangiom bezeichnet Gefäßmalformationen wachsen kontinuierlich mit dem Gesamtwachstum des Körpers, im Gegensatz zu Hämangiomen, die unabhängig wachsen und sich auch spontan zurückbilden können [Fishman et al., 1998; Garzon et al., 2007].
Bei einer Lokalisation im Gesicht kann es zu einer Deformierung des Gesichtsschädels und einer Fehlstellung des Kiefers mit Okklusionsstörungen kommen. Sie kann ebenfalls auch an der Mundhöhlenschleimhaut, der Zunge, am Planum buccale, im Pharynx oder über die Fossa infratemporalis bis in die Orbita reichen und sogar intraossär oder in jedem anderen Organsystem auftreten.
Therapeutisch sollte interdisziplinär vorgegangen werden. Eine transarterielle Embolisation und perkutane Sklerosierung durch den Radiologen kann als alleinige Therapie oder in Zusammenarbeit mit einem Chirurgen im Anschluss an eine Senkung des Blutflusses erfolgen.Dr. Simone Bojer, Susanne Schnabel, Dr. Dr. Herbert RodemerKlinik für Mund-, Kiefer- und GesichtschirurgieKlinikum Saarbrücken gGmbhWinterberg 166119 Saarbrückensbojer@klinikum-saarbruecken.de
Literatur
Vikkula M, Boom LM, Mulliken JB, Olson BR: Molecular basis of vascular anomalies. Trends Cardiovasc Med; 8 (7): 281-92, 1998
Fishman SJ, Mulliken JB: Vascular anomalies. A primer for pediatricians. Pediatr Clin North Am; 45 (6): 1455-77, 1998
Garzon MC, Huang JT, Enjolras O, Frieden IJ: Vascular malformations: Part I. J Am Acad Dermatol; 56 (3): 353-70; quiz 371-4, 2007
Mulliken JB, Fishman SJ, Burrows PE: Vascular anomalies. Curr Probl Surg; 37 (8): 517-84, 2000






