Der Fall: Verdacht auf Fluorose
Die achtjährige Patientin wurde 2012 mit der Verdachtsdiagnose einer Fluorose von ihrem Hauszahnarzt in die Klinik für Zahnerhaltungskunde und Parodontologie des Universitätsklinikums Freiburg überwiesen. Zusätzlich zur Verifizierung der Diagnose wurde darum gebeten, die weitere Behandlung des Zahns zu übernehmen und ihn restaurativ und langfristig zu versorgen. Die bisherigen Versuche mit adhäsiver Füllungstherapie seien gescheitert.
Die eingehende Anamnese der Patientin ergab die - nicht immer regelmäßige - Gabe von Fluorid-Tabletten ab der Geburt bis zum ersten Lebensjahr sowie den Gebrauch fluoridhaltige Kinderzahnpaste ab dem ersten Zahn. Später sei zusätzlich die systemische Fluoridierung in Form von Speisesalz erfolgt. Aufgrund dieser Daten lag zunächst der Verdacht einer Dental-Fluorose nahe, der klinische Befund konnte dies allerdings nicht bestätigen.
Klinischer Befund
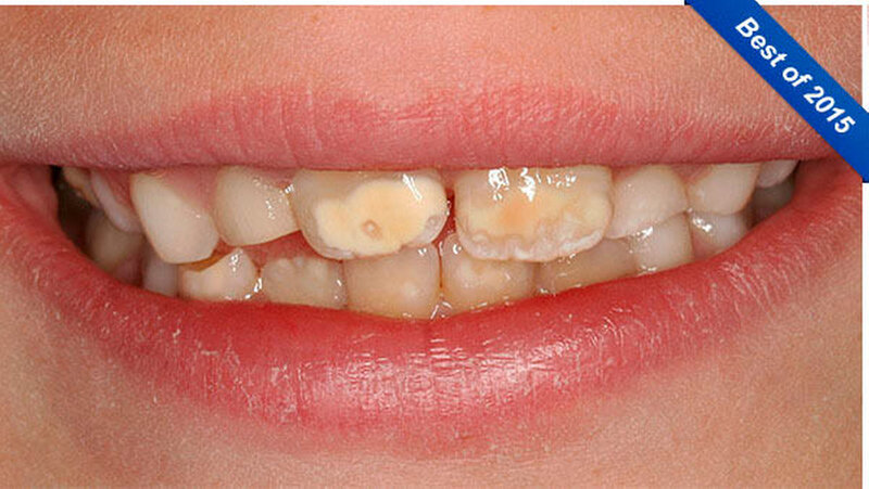
Die Patientin wies im Frontzahngebiet an den Vestibulärflächen der mittleren Oberkiefer-Inzisivi deutlich abgrenzbare milchig-weiß bis dunkelgelb-orange Opazitäten auf. Inzisal der Opazitäten zeigten sich weniger gut abgegrenzte milchig-weiße Opazitäten mit teils wolken-ähnlicher Struktur, teils linien-förmiger Art. Die lateralen Oberkiefer-Inzisivi waren noch nicht durchgebrochen. Weiterhin fanden sich weniger auffällige Opazitäten an den Unterkiefer-Inzisivi, insbesondere an den Zähnen 31 und 42. Außerdem wies der Zahn 83 im inzisalen Anteil eine Opazität auf (Abbildung 1).
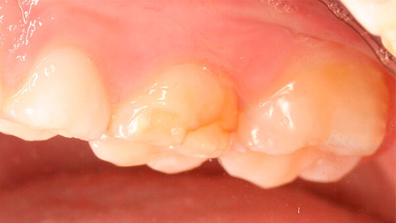
Zusätzlich zu den Frontzähnen waren die Molaren in sehr unterschiedlicher Ausprägung betroffen. Dies reichte von lediglich kleineren Opazitäten bis zu darüber hinausgehenden Schmelzverlusten: Im ersten Quadranten war Zahn 16 klinisch vollkommen unauffällig, hier zeigte aber der zweite Milchmolar insbesondere bukkal Opazitäten und Einbrüche des Schmelzes (Abbildungen 3 und 4) auf.
Zahn 26, auf den laut Hauszahnarzt ein besonderer Fokus gelegt werden sollte, stellte sich wie folgt dar: Klinisch waren etwa zwei Drittel des Zahnes restaurativ versorgt. Die noch bestehenden Höcker im mesio-bukkalen und disto-palatinalen Bereich, die unmittelbar an die adhäsiv befestigte Abdeckung grenzten, wiesen weitere Opazitäten auf (Abbildung 2).
Zudem war - wenn auch gering ausgeprägt - eine Opazität im mesio-palatinalen Anteil des zweiten Milchmolaren zu erkennen, sowie sehr schwach ausgepägt im mesio-bukkalen Anteil des gleichen Zahns (Abbildung 2).
Die Eltern ergänzten, dass es an diesem Zahn immer wieder zu Schwierigkeiten mit den applizierten Füllungen/Aufbauten gekommen sei. Im Unterkiefer dagegen erschienen sowohl die Milchmolaren als auch die Sechsjahrmolaren klinisch unauffällig. Die Eltern und ihr Kind berichteten von immer wieder auftretenden Hypersensibilitäten beim Essen und Trinken sowie beim Zähneputzen.
###more### ###title### Diagnose ###title### ###more###
Diagnose
Die Diagnose für diese Patientin lautete - auf Grundlage der klinischen Auffälligkeiten - Molaren-Inzisiven-Hypomineralisation (MIH), die definiert ist als ein entwicklungsbedingter qualitativer Schmelzdefekt eines oder mehrerer bleibender Molaren mit oder ohne Beteiligung der Frontzähne [Weerheijm KL, 2001].
Differenzialdiagnosen:
1. Fluorose:
Die klinischen Besonderheiten bei dieser Patientin entsprechen kaum dem üblichen Bild der Dentalfluorose, abgesehen vom inzisalen Bereich der mittleren oberen Schneidezähne. Eine Fluorose als primäre Ursache wurde auch deshalb ausgeschlossen, weil in der Regel die betroffenen Zähne ein gleichmäßigeres Verteilungsmuster der Opazitäten aufweisen und die Fluorose normalerweise nicht singulär an einem der ersten bleibenden Molaren auftritt.
2. Amelogenesis imperfecta:
Läge eine Amlelogenesis imperfecta zugrunde, wären auch das Milchgebiss und in beiden Dentitionen alle Zähne betroffen gewesen.
3. Andere erworbene Strukturanomalien:
Weitere erworbene Strukturanomalien wie zum Beispiel Farb- und/oder Formveränderungen nach Frontzahntrauma wurden ebenfalls ausgeschlossen, da a) die Anzahl der betroffenen Zähne und die Verteilung auf Ober- und Unterkiefer nicht wahrscheinlich waren und b) in diesen Fällen die Sechsjahrmolaren nicht ebenfalls betroffen sind. Außerdem ergab die Anamnese keine Hinweise in diese Richtung.
Behandlungsablauf
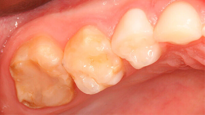
Das Ausmaß der betroffenen Zahnhartsubstanz und der Umfang schon ersetzter Zahnhartsubstanz führten zu der Entscheidung, den Zahn 26 mit einer laborgefertigten Restauration aus Komposit zu versorgen. Am Tag der Behandlung wurde bei der Präparation nach Gabe einer Lokalanästhesie der überwiegende Teil der bestehenden Aufbaufüllung sowie weitere hypomineralisierte Zahnhartsubstanz entfernt (Abbildung 5).
Der im Dentin liegende Anteil der Aufbaufüllung wurde teilweise belassen (Abbildung 5). Scharfe Kanten und unter sich gehende Bereiche wurden vermieden, um die Qualität der Abformung nicht zu reduzieren. Nach der Präparation erfolgte die Abdeckung des Dentins mittels etch-and-rinse Adhäsivsystem (Optibond FL, Kerr Hawe) und einem fließfähigen Komposit (X-Flow, Dentsply). Diese bedeckte ausschließlich das Dentin in einer hauchdünnen Schicht.
Über diese Abdeckung erfolgte anschließend die Abformung mit einem individualisierten Löffel und einem A-Silikon. Eine weitere Versorgung des Zahns mit einem Provisorium erfolgte nicht, da sich die Abdeckung mittels Komposit bisher als ausreichend erwiesen hat [Feierabend S, Halbleib K, 2011].
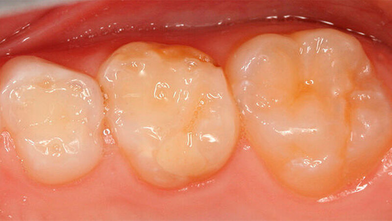
Zwei Wochen später wurde die Laborrestauration eingesetzt (Abbildung 6). Für die Restauration wurde das Komposit SR Adoro (Ivoclar Vivadent) verwendet, das ausschließlich für den Gebrauch im Labor vorgesehen ist. Für das Einsetzen war in diesem Fall eine erneut eine Lokalanästhesie notwendig.
Aufgrund der nahezu isogingivalen Lage eines Großteils der Präparationsgrenze wurde kein Kofferdam platziert. Die in der vorangegangenen Sitzung applizierte Abdeckung des Dentins wurde belassen und folglich sowohl die Abdeckung als auch die Unterseite der Restauration mit einem Aluminiumsilikat behandelt (CoJet™ Verbundsystem und CoJet™ Sand, 3M ESPE).
Es folgten die Teilschritte der Säuberung der Zahnoberfläche, der Silanisierung der Restauration (Monobond Plus, Ivoclar Vivadent), des Ätzens des Schmelzes und der Abdeckung (35-prozentige Phosphorsäure), der Applikation eines Adhäsiv-Systems (Optibond FL, Kerr Hawe) und zuletzt der Applikation eines dualhärtenden Befestigung-Systems auf Komposit-Basis (Bifix QM, VoCo).
Nach Einpassung der Restauration wurde eine initiale Lichthärtung durchgeführt, Überschüsse entfernt und abschließend erneut polymerisiert. Zuletzt wurden die Ränder der Restauration - sofern notwendig - geglättet (Brownie und Greenie, Shofu Dental GmbH) und die Okklusion überprüft (Abbildung 6).
###more### ###title### Erläuterungen zum Therapieentscheid ###title### ###more###
Erläuterungen zum Therapieentscheid
Obwohl man das Auftreten von MIH verstärkt beobachtet, mangelt es immer noch an Behandlungskonzepten für die Restauration der betroffenen Zähne. Bekannt ist, dass adhäsive Restaurationen oft nur unzureichend halten, häufig zügig erneuert werden müssen oder es im Bereich angrenzender Zahnhartsubstanz zu weiteren Einbrüchen kommt [Lygidakis NA et al., 2010].
Ebenso wird beschrieben, dass nur eine vollständige Entfernung der betroffenen Zahnhartsubstanz ein gewisse Voraussage bezüglich der Haltbarkeit einer Restauration zulässt [Lygidakis NA et al., 2010].
Im vorliegenden Fall wurde nicht die direkte adhäsive Füllungstherapie gewählt, sondern auf das Verfahren der indirekten, laborgefertigten Technik zurückgegriffen. Folgende Vorteile wurden dabei in Betracht gezogen: die Verkürzung der Behandlungszeit im Vergleich zur direkten Applikation von Komposit für die Patientin und die Minimierung der Polymerisationsschrumpfung durch die Verwendung einer Laborrestauration.
Weiterhin erforderte diese Art der Restauration keine Adaptation an vorgegebene Präparationsrichtlinien wie es sie zum Beispiel für viele metallische Restaurationen gibt. Somit konnte sichergestellt werden, dass tatsächlich ausschließlich die hypomineralisierte Zahnhartsubstanz entfernt wurde.
Darüber hinaus wurde Komposit als Material gewählt, um eine spätere kieferorthopädische Behandlung nicht einzuschränken; denn mit der verwendeten Restauration können sowohl zum Beispiel Tubes als auch Bänder verwendet werden. Sollte es hier beispielsweise bei der Abnahme/Entfernung zu einer Schädigung der Restauration kommen, kann eine Reparatur unkompliziert direkt im Mund erfolgen.
Zu ergänzen ist, dass die mesio-bukkale Opazität an Zahn 65 zwischen dem Zeitpunkt der Aufnahme der Patientin und der Präparation wenige Wochen später einen Einbruch der Schmelzoberfläche aufwies (Abbildungen 4 bis 6).
Seit einigen Jahren wird - insbesondere in den Niederlanden - auf ein vermehrtes Vorkommen von hypomineralisierten Milchmolaren aufmerksam gemacht. Diese scheinen ein Risiko für eine MIH in der bleibenden Dentition darzustellen [Elfrink MEet al., 2012]. Aber ebenso wie bei der MIH sind auch hier die Ursache sowie der Mechanismus bisher weitestgehend ungeklärt. Im vorliegenden Fall trat beides bei der Patientin auf, zusätzlich war der Zahn 83 von einer Opazität betroffen.
###more### ###title### Fazit ###title### ###more###
Fazit
Die Molaren-Inzisiven-Hypomineralisation ist zu Beginn der 2000er Jahre in den Fokus vieler Behandler gerückt. Bis heute sind Ätiologie und Pathogenese weitgehend unbekannt, zudem gibt es viele Unsicherheiten und Schwierigkeiten in der Behandlung. Oft wirkt die Lokalanästhesie nur unzureichend und erfordert ein größeres Volumen des Lokalanästhetikums oder eine vorherige Gabe von Schmerzmitteln [6].
Zudem klagen viele Patienten über sehr empfindliche Zähne, die auch beim Essen und Trinken sowie beim Zähneputzen Schmerzen verursachen. Die nur geringen Erfolge der direkten Füllungstherapie bedingen einen häufigen Füllungsaustausch, Reparaturen oder Erweiterungen vorhandener Restaurationen [Lygidakis NA et al., 2010]. Neben diesen Problemen kommt es oft auch zu Schwierigkeiten in der Verhaltensführung [.Jälevik B, Klingberg G, 2012].
Gleichzeitig stellt noch lange nicht für jeden Patienten die Extraktion die Therapie der Wahl dar [Lygidakis NA et al., 2010] . Und da das optimale Alter für die Extraktion mit 8,5 bis neun Jahren angegeben wird, muss zumindest auch beim Entscheid zur Extraktion der Zeitpunkt vom Durchbruch des/der Molaren bis zur Extraktion überbrückt werden.
Bei der hier vorgestellten Patientin haben sämtliche Hypersensibilitäten mit Einsetzen der Restauration im weiteren Verlauf zunächst erheblich abgenommen und sind inzwischen vollständig abgeklungen. Der unmittelbare Effekt in Hinsicht auf ein verbessertes Wohlbefinden erscheint so offensichtlich. Eine Kontrolle erfolgt derzeit halbjährlich.
Zuletzt bleibt zu erwähnen, dass die inzialen Anteile der mittleren oberen Schneidezähne für die MIH eher untypische, für die Fluorose dagegen eher typische Opazitäten aufwiesen. Auch anhand der Anamnese kann nicht ausgeschlossen werden, dass bei dieser Patientin beider Erkrankungen simultan vorlagen.
Wie schon unter „Differentialdiagnosen“ beschrieben, erscheint eine mögliche Fluorose nicht die primäre Ursache zu sein. Auch kann bisher keine Aussage darüber gemacht werden, ob eine Fluorose eine MIH triggern oder gar bedingen kann, dazu fehlen grundlegende Daten.
Dr. Stefanie Feierabend, Klinik für Zahnerhaltungskunde und Parodontologie, Universitätsklinikum FreiburgHugstetter Straße 55, 79106 Freiburgstefanie.feierabend@uniklinik-freiburg.de
PD Dr. Katrin Bekes, Martin-Luther-Universität Halle-Wittenberg, Sektion Kinderzahnheilkunde und Präventive Zahnheilkunde, Harz 42a, 06108 Hallekatrin.bekes@uk-halle.de
Zahntechnik: ZT Karl Halbleib, N.I.C.E. Zahntechnik, Humboldtsraße 24, 97209 Veitshöchheimk.halbleib@gmx.de
Literatur 1. Weerheijm KL, Jälevik B, Alaluusua S (2001) Molar-incisor Hypomineralisation. Caries Res 35:390-391 2. Feierabend S, Halbleib K (2011) Spätfolgen der MIH – Möglichkeiten der prothetischen Langzeittherapie. Quintessenz 62:1637-1643 3. Lygidakis NA, Wong F, Jälevik B, Vierrou AM, Alaluusua S, Espelid J (2010) Best clinical practice guidance for clinicians dealing with children presenting with molar-incisor-hypomineralisation (MIH): an EPAD policy document. Eur Arch Paediatr Dent11:75-81
4. Elfrink ME, ten Cate JM, Jaddoe VW, Hofman A, Moll HA, Veerkamp JS (2012) Deciduous molar hypomineralization and molar incisor hypomineralization. J Dent Res 91:551-555 5. Steffen R, van Waes H. Die Behandlung von Kindern mit Molaren-Inzisiven-Hypomineralisation – Eine Herausforderung bei der Schmerzkontrolle und Verhaltenssteuerung. Quintessenz 2011; 62(12):1585 6. Jälevik B, Klingberg G (2012) Treatment outcomes and dental anxiety in 18-year-olds with MIH, comparisons with healthy controls - a longitudinal study. Int J Paediatr Dent 22:85-91
Mehr zum Thema: MIH
Bei der systemisch bedingten Hypomineralisation können beide Dentitionen betroffen sein. Hier sehen Sie verschiedene Therapieoptionen.









