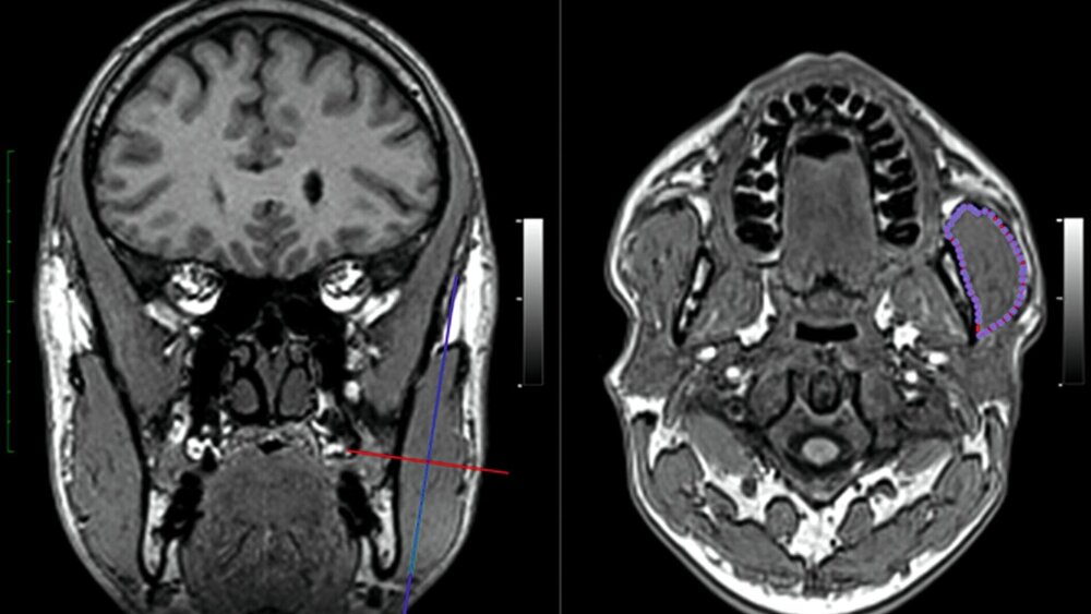
Der Massetermuskel wächst vor allem bei knirschenden Männern
Die Greifswalder Arbeitsgruppe wollte herausfinden, ob es geschlechtsspezifische Unterschiede in der Ausbildung des Musculus masseter im Hinblick auf das Vorhandensein von Bruxismus gibt. Dazu maßen sie bei insgesamt 720 Probanden im Alter von 30 bis 89 Jahren (391 Frauen und 329 Männer) die Querschnittsfläche des Musculus masseter. Die Probanden wurden aus dem Teilnehmerpool der Study of Health in Pomerania (SHIP) rekrutiert, einer bevölkerungsbasierten Querschnittsstudie zur Untersuchung der Prävalenz und Inzidenz häufiger bevölkerungsrelevanter Krankheiten und ihrer Risikofaktoren in Nordostdeutschland. Dabei unterzogen sich die Teilnehmer einer MRT-Bildgebung und einer oralen Untersuchung. Die Querschnittsflächen der Massetermuskeln auf beiden Seiten wurden anhand von MRT-Bildern vermessen. Parafunktionelle Aktivitäten wie Knirschen und/oder Pressen im Schlaf- oder Wachzustand wurden aus dem zahnärztlichen Interview ermittelt.
Geschlechtsspezifische Unterschiede
Die Auswertung der Messwerte zeigte, dass eine größere Masseterdicke mit der Häufigkeit des Bruxismus bei Männern assoziiert war, aber nicht bei Frauen. Die größere Masseterdicke bei knirschenden Männern manifestierte sich vor allem bei starken Bruxern, nicht aber bei der Gruppe, die weniger häufig knirschte. Obwohl Frauen häufiger an Bruxismus litten, war der Querschnitt des Massetermuskels bei bruxierenden Männern signifikant höher, während bei Frauen fast keine Größenunterschiede in Bezug auf Bruxismus festgestellt wurden. Diese geschlechtsspezifischen Unterschiede im Querschnitt des Musculus masseter waren im Hinblick auf den Mittelwert signifikant groß.
Diskussion
Die festgestellte höhere Prävalenz von wahrscheinlichem Bruxismus bei Frauen (die Erfassung erfolgte nur auf Grund von Selbstauskünften, die im Gegensatz zu Polysomnographie keine sichere Diagnose erlauben) steht im Einklang mit der Literatur. Auch der Studienbefund, dass Gelenk- und Muskelschmerzen bei Frauen stärker ausgeprägt waren und häufiger auftraten als bei Männern, stimmt mit den meisten epidemiologischen Studien überein, wobei Frauen häufiger Anzeichen von Craniomandibulärer Dysfunktion (CMD) zeigen als Männer und dreimal häufiger als Männer dazu neigen, sich wegen ihrer CMD-Probleme behandeln zu lassen.
Um die geschlechtsspezifischen Unterschiede zu erklären, verweisen die Studienautoren auf die vorhandene Literatur. Verschiedene Studien haben „verhaltensbezogene, psychosoziale und hormonelle Faktoren untersucht. Beispielsweise wurde gezeigt, dass Testosteron die Muskelhypertrophie fördert. Darüber hinaus wurde bei Männern und Frauen über unterschiedliche Muskelfasertypen berichtet, wobei Männer einen höheren Anteil an Typ-II-Fasern aufweisen, die bei wiederholter Belastung, wie zum Beispiel bei Bruxismus, anfälliger für Hypertrophie sind. Dennoch liegen bislang keine schlüssigen Ergebnisse vor, und trotz all dieser Bemühungen ist noch immer ungeklärt, ob Frauen einem höheren Risiko ausgesetzt sind, mehr Schmerzen zu entwickeln und zu erleben als Männer, oder ob sie aufgrund einer stärkeren Schmerzwahrnehmung häufiger über Schmerzen berichten und eine Behandlung suchen als Männer. Die Beziehung zwischen orofazialen Schmerzen und Bruxismus ist nicht linear, und der komplexe Zusammenhang ist noch nicht endgültig geklärt. Obwohl ältere Studien auf eine direkte Beziehung hinwiesen, zeigten neuere Studien, dass der Zusammenhang viel komplexer ist und dass selbstberichteter Bruxismus nicht durchgängig durch instrumentelle Bewertungen unterstützt wird.“
Scheibel J, Schwahn C, Mksoud M et al., Influence of gender and bruxism on the masseter muscle: A population-based magnetic resonance imaging study. Am J Orthod Dentofacial Orthop. 2024 Oct 25:S0889-5406(24)00368-8. doi: 10.1016/j.ajodo.2024.08.014. Epub ahead of print. PMID: 39453341.






