Der retinierte Weisheitszahn
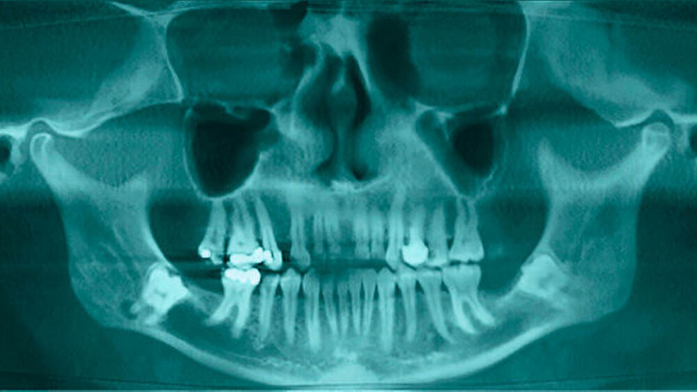
Eine 47-jährige Patientin wurde zur Entfernung der komplett retinierten Zähne 38 und 48 überwiesen. An der Wurzelspitze des Zahnes 48 fiel zusätzlich eine periradikuläre Transluzenz auf, die zur Indikationsstellung der Entfernung der Zähne führte (Abbildungen 1 und 2).
Aufgrund der engen Lagebeziehung der Weisheitszähne zum Nervus alveolaris der jeweiligen Seite wurde zur weiterführenden Diagnostik eine digitale Volumentomografie durchgeführt.
In der aus der digitalen Volumentomografie herausgerechneten Panoramaschichtaufnahme analogen Darstellung kann man schön die Alteration des Nervverlaufs in unmittelbarer Nachbarschaft zu den Weisheitszähnen erkennen. Der Nerv taucht von proximal kommend noch hinter dem Zahn liegend in die Tiefe, um dann auf Höhe der distalen Wurzel wieder in einem geraden Verlauf nach vorne weiter zu ziehen.
In der 3-D-Aufnahme bestätigte sich der Verdacht, dass der Nerv zwischen den Wurzeln hindurch zog, wobei beim Zahn 48 die Wurzeln den Nerv komplett umklammerten (Abbildungen 3 und 4). Nach Inzision auf dem aufsteigenden Unterkieferast mit Entlastung an den Zähnen 37 beziehungsweise 47 wurden der Knochen und im Weiteren die Weisheitszähne dargestellt. Die Kronen wurden von der Wurzel getrennt, die Wurzeln separiert und sukzessive entfernt, wobei die Integrität der Nerven auf beiden Seiten erhalten blieb (Abbildung 5).
Diskussion
Die Entfernung retinierter oder teilretinierter Weisheitszähne gehört zu den am häufigsten operativ durchgeführten Eingriffen der dentoalveolären Chirurgie. Indikationen zur Entfernung können mannigfaltig sein [Kunkel, 2012].
Typischer Weise können die Weisheitszähne bei bestehendem Platzmangel nicht durchbrechen und können so bei Dentitio difficilis rezidivierend zu Schmerzen führen und im Weiteren ausgeprägte Entzündungen bis zu Logenabszessen verursachen. Wie häufig dies der Fall ist, ist nicht abschließend geklärt [Kunkel, 2012].
In gut einem Fünftel aller Fälle besteht radiologisch oder histopathologisch eine um die Kronen der Weisheitszähne liegende pathologische Auffälligkeit [Yildirim et al., 2008]. In Abhängigkeit von der Lage und dem Impaktierungsgrad werden zwischen sechs und 23 Prozent primär symptomloser Weisheitszähne pro Jahr durch Entzündungen auffällig [Fernandes et al., 2009].
Demgegenüber stehen die durch die operativen Eingriffe verursachten Komplikationen, die in ihrer Häufigkeit in der Literatur ebenfalls nicht genau beschrieben sind. Zu den typischen, operationsbedingten Komplikationen bei der Entfernung von Weisheitszähnen gehören Nervverletzungen mit entsprechenden sensiblen Ausfällen in der Versorgungsregion, die Beschädigung von Nachbarzähnen, die Eröffnung der Kieferhöhle im Ober- und die Kieferfraktur im Unterkiefer, sowie die Entwicklung postoperativer Schmerzen, Schwellungen und Entzündungen [Kunkel, 2012].
Bemüht man die Leitlinien der Arbeitsgemeinschaft der Wissenschaftlichen Medizinischen Fachgesellschaften e.V. (AMWF) zur operativen Entfernung von Weisheitszähnen [Kunkel, 2012] bezüglich der notwendigen präoperativen Untersuchungen, so findet man neben der allgemeinen und speziellen Anamnese noch die Inspektion mit Palpation und eine Röntgenuntersuchung mit vollständiger Darstellung des Zahnes und der relevanten umgebenden anatomischen Strukturen. In Einzelfällen wird bei kritischer Lagebeziehung des Zahnes zum Nervus alveolaris inferior die Anfertigung einer digitalen Volumentomografie empfohlen. Die aktuelle s2k-Leitlinie der AWMF zur Dentalen Volumentomografie besagt ebenfalls, dass eine digitale Volumentomografie dann sinnvoll sein kann, wenn die räumliche Lagebeziehung zwischen dem Nervkanal und dem Weisheitszahn nicht ausreichend sicher interpretiert werden kann oder als kritisch eingeschätzt wird. Bei nur geringem Einfluss auf den therapeutischen Nutzen sollte auf einen routinemäßigen Einsatz der digitalen Volumentomografie bei Eingriffen am Weisheitszahn abgesehen werden [Schulze et al., 2009].
Eine Verletzung des Nervus alveolaris inferior bei Weisheitszahnentfernung findet sich überproportional häufig in Fällen, in denen auf der Panoramaschichtaufnahme Zeichen zu erkennen sind, wie eine Veränderung des Verlaufes des Nervus alveolaris inferior (Abbildungen 1 und 2), bei überlagerungsbedingter erhöhter Transluzenz im Bereich der Überprojektion von Wurzel und Nerv und bei Unterbrechung der kortikalen Begrenzung des Nervkanals [Blaeser et al., 2003]. Alle diese Kriterien lagen im vorliegenden Fall vor. In der weiterführenden digitalen Volumentomografie ist zu erkennen, wie der Nerv zwischen den Wurzeln liegend hindurchzieht.
Auch im vorliegenden Fall stellt sich die Frage, ob mit dem zusätzlichen Wissen um den genauen Verlauf des Nervs, sich das operative Vorgehen geändert hätte. So hat es für mehr Gewissheit über die genauen anatomischen Verhältnisse gesorgt.
Fazit:
Man kann den Nerv-Verlauf im DVT besser beurteilen als in der Panoramaschichtaufnahme.
PD Dr. Dr. Christian Walter
Prof. Dr. Dr. Wilfried Wagner
Klinik für Mund-, Kiefer- und Gesichtschirurgie – plastische OperationenUniversitätsmedizin der Johannes Gutenberg-Universität Mainz
Augustusplatz 2
55131 Mainz
walter@mkg.klinik.uni-mainz.de







