Funktionsfähige Implantate auch nach 40 Jahren
Einzelzahnimplantate funktionieren laut einer Studie der Universität Göteborg in Schweden auch nach mehreren Jahrzehnten noch gut. Nach fast 40 Jahren waren alle untersuchten Implantate noch an ihrem Platz und voll funktionsfähig. Einzig die Kronen wurden aus ästhetischen Gründen häufiger erneuert.
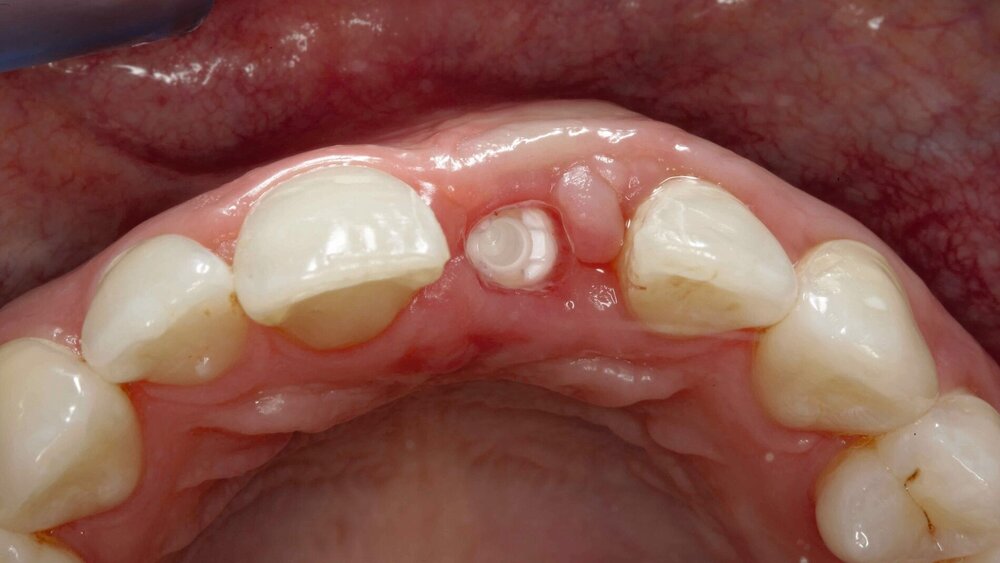
Für die Studie wurden 16 Patienten, die in der Brånemark-Klinik des öffentlichen zahnärztlichen Dienstes Västra Götaland im Zeitraum von 1982 bis 1985 insgesamt 23 Einzelzahnimplantate erhielten, zur Nachuntersuchung eingeladen.
„Alle Implantate wurden nach einem zweizeitigen chirurgischen Protokoll mit verzögerter Belastung eingesetzt, und keines erhielt Knochentransplantate“, erklären die Autoren. Die Einheilzeiten waren mit sieben Monaten überdurchschnittlich lang. Belastet wurden die meisten Implantate zehn Monate nach Insertion. Von den 16 Patienten nahmen 13 an der Nachuntersuchung teil. Alle wurden klinisch sowie röntgenologisch untersucht.
Lange Implantat-Überlebensdauer …
Die Patientengruppe hatte insgesamt 18 Implantate. Die Ergebnisse zeigen nach 38 bis 40 Jahren in Funktion kumulative Überlebensraten von 95,6 Prozent für die Implantate. Das marginale Knochenniveau zeigte Veränderungen von 0,9 ± 1,0 mm (Bereich, -0,5 bis 3,0 mm) über den Nachbeobachtungszeitraum. Die mittlere Sondierungstiefe betrug 3,8 ± 2,2 mm (Spanne 0,0 bis 7,0 mm).Der mittlere Plaqueindex lag zum Zeitpunkt der Nachuntersuchung bei 16,9 Prozent ± 11,6 Prozent (Spanne 1 bis 34 Prozent).
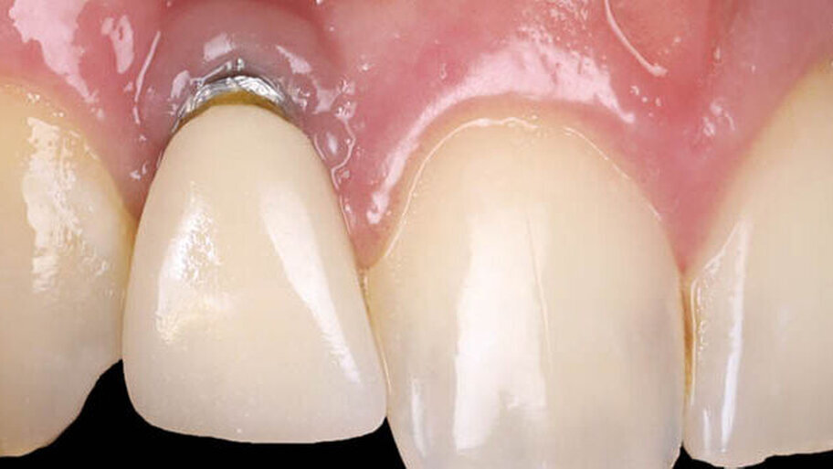
Während Mukositis häufiger auftrat, wurde an keinem der Implantate eine Periimplantitis beobachtet. Die Implantat-getragenen Kronen hatten eine kürzere Lebensdauer als die Implantate selbst. Bei der Nachuntersuchung nach vierzig Jahren waren nur noch etwa 60 Prozent der ursprünglichen Kronen vorhanden, wobei viele ein- oder mehrmals ersetzt wurden.
… kürzere Kronen-Halbwertszeit
„Es ist beeindruckend, dass die Einzelimplantate nach so langer Zeit so gut funktionieren. Obwohl die Studie nur eine kleine Anzahl von Patienten umfasste, zeigen die Ergebnisse, dass die Implantate an ihrem Platz bleiben und dass der Knochenverlust um sie herum nach vierzig Jahren praktisch unverändert ist. Das bestätigt, dass die von Brånemark geschaffene Grundlage immer noch Bestand hat“, sagt Studienautor Sargon Barkarmo.
Die Studie kommt zu dem Schluss, dass Implantate, die mit gut geplanten chirurgischen Techniken eingesetzt werden und ausreichend Zeit zum Einheilen haben, eine ausgezeichnete Langzeitprognose aufweisen.
Barkarmo S, Kowar J. Outcome of Single Dental Implants Over 38-40 Years: A Long-Term Follow-Up Study. Clin Implant Dent Relat Res. 2025 Feb;27(1):e13443. doi: 10.1111/cid.13443. PMID: 39898484; PMCID: PMC11789208.








