Luxationswetter: Ein Fall für den Zahnarzt
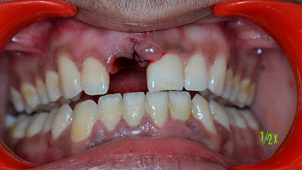
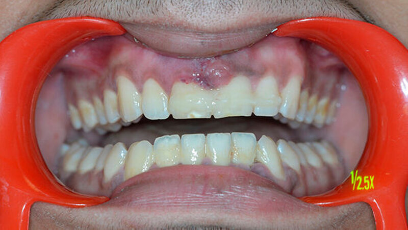
Der Patient hatte Glück im Unglück: Er fand den Zahn im Schnee. Und wickelte ihn sorgfältig in ein Papiertaschentuch. Dann transportierte er ihn unter für das desmodontale Gewebe ungünstigen Bedingungen in die Praxis.
Der Zahn wurde zwei Stunden nach dem Unfall vital replantiert und semipermanent geschient. Die anschließende Abdrucknahme erfolgte unter allergrößter Sorgfalt. Die laborgefertigte Tiefziehschiene schließt die Bereiche der semipermanenten Schiene bis zum Schienenäquator mit ein. Was die Reanastomosierung der Gefäße und Nerven betrifft, ist der Behandler zuversichtlich, reagieren doch auch vital transplantierte Weisheitszähne nach einigen Wochen wieder auf Kältereize.
Dieser Fall wurde eingereicht von Dr. med. dent. Hans-Werner Bertelsen, Georg-Gröning-Str. 57, in 28209 Bremen.











