MALT-Lymphom in der Glandula sublingualis
Des Weiteren sei ihr vor etwa zwei Monaten eine verschiebliche Raumforderung unter der Zunge aufgefallen, welche subjektiv seitdem nicht an Größe zugenommen habe. Anamnestisch bestand bei der Frau eine Hypothyreose im Rahmen einer Hashimoto-Thyreoiditis, die mit L-Thyroxin behandelt wurde. Die Nikotin- und Alkoholanamnese waren blande.
Außerdem seien bei der Patientin 1982 eine totale Mastektomie rechts mit einer adjuvanten Bestrahlung sowie 1984 eine chirurgische Sanierung eines Zervixkarzinoms, ebenfalls mit adjuvanter Bestrahlung durchgeführt worden. Ihre arterielle Hypertonie war adäquat medikamentös eingestellt. Eine Arzneimittelunverträglichkeit gegenüber Paracetamol, Ibuprofen, Aspirin sowie Penicillin wurde von ihr angegeben.
Klinischer Befund
Die Patientin befand sich in einem gutem Ernährungs- und Allgemeinzustand. Bei der orientierenden körperlichen Untersuchung zeigten sich extraoral keine Auffälligkeiten. Enoral imponierten die sichtbaren Schleimhäute blass rosa, mäßig feucht. Aus den Ausführungsgängen der Speicheldrüsen ließ sich klarer Speichel exprimieren. Die zahnlose Patientin war mit Totalprothesen suffizient versorgt. Im anterioren Mundboden links unter der Zunge tasteten wir eine leicht verschiebliche, indolente, längliche, verdickte Raumforderung tasten.
In der unmittelbar durchgeführten Sonografie zeigte sich die Glandula sublingualis links im Seitenvergleich mit einem Durchmesser von etwa 2,4 x 1,6 cm deutlich vergrößert, aufgetrieben und echoreicher bei homogener Echostruktur. Die übrigen großen Speicheldrüsen erschienen im Ultraschall unauffällig. Zudem konnte sonografisch keine Lymphknotenvergrößerung am Hals festgestellt werden.
Zum Ausschluss eines Sjögren-Syndroms erfolgte zunächst eine Blutabnahme mit Antikörperbestimmung (antinukleäre Antikörper (ANA), SSA-Ak (Anti-Ro) und SSB-Ak (Anti-La)). Darüber hinaus wurde eine komplementäre Bildgebung (Computertomografie) durchgeführt.
Befunde
Bei der Antikörperbestimmung waren lediglich die ANA mit 1:360 (Norm < 1:80) erhöht. Im CT zeigte sich die Glandula sublingualis links glatt begrenzt und homogen kontrastmittelanreichernd mit einer Gesamtgröße von ca. 2,1 x 1,1 x 1,4 cm (Abbildungen 1a, b).
Verlauf und Therapie
Aufgrund des fortgeschrittenen Alters und fehlender klinischer Beschwerden sowie subjektiv nicht vorhandener Größenprogredienz stand die Patientin bezüglich einer histologischen Sicherung ablehnend gegenüber und favorisierte ein Watchful-Waiting-Konzept. Nach mehreren Aufklärungsgesprächen und Darstellung der differenzialdiagnostischen Krankheitsbilder entschied sie sich aufgrund eines chirurgisch gut zugänglichen Befundes jedoch letztlich für eine operative Diagnosesicherung.
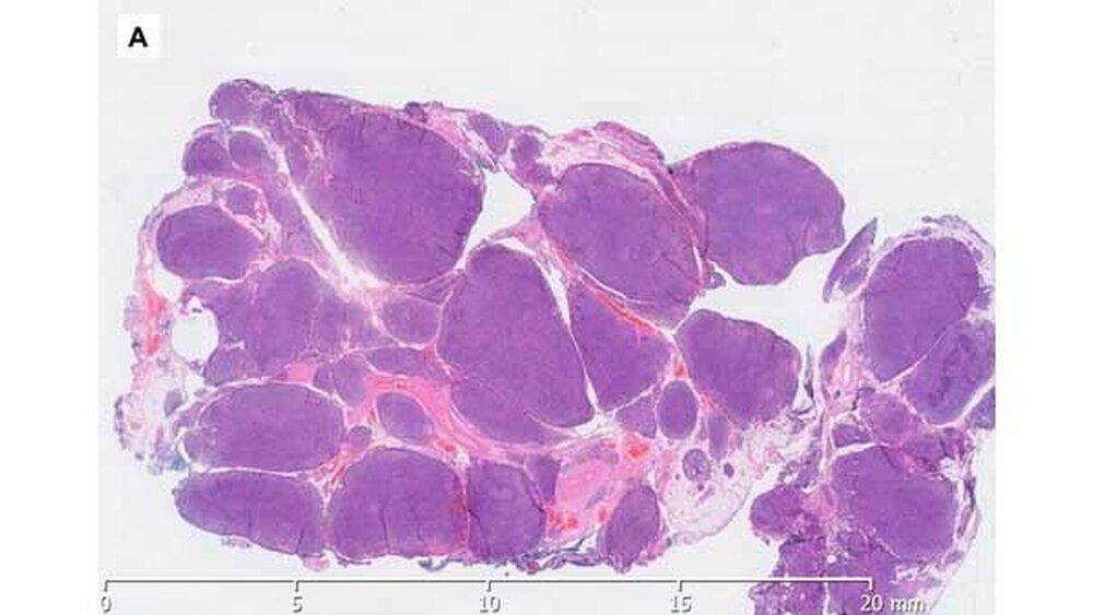
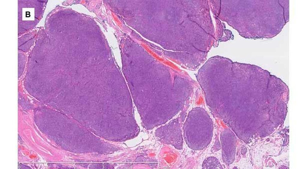
Nach den üblichen präoperativen Narkosevorbereitungen führten wir die Exstirpation der Glandula sublingualis in Intubationsnarkose unter stationären Bedingungen durch. Der Eingriff selbst sowie der unmittelbare postoperative Verlauf gestalteten sich regelrecht, so dass die Patientin bereits am Folgetag in unsere ambulante Nachsorge entlassen werden konnte. Die histopathologische Aufarbeitung des Operationsresektates ergab die Diagnose eines indolenten Non-Hodgkin-Lymphoms vom Typ des glandulären MALT-Lymphoms, Stadium nach ANN-Arbor Ia.
Nach der komplementären Lymphom-Abklärung (KM-Punktion, CT-Thorax/Abdomen, ausgedehnte Labordiagnostik) durch die onkologische Klinik und der konsiliarischen Vorstellung in der rheumatologischen Klinik im Haus wurde bei der Patientin eine adjuvante Strahlentherapie eingeleitet.
Nach computergestützter Planung erfolgte bei ihr im Bereich der Speicheldrüsenloge und der hoch zervikalen Lymphknoten die Applikation einer Gesamtdosis von 30 Gy. Die Bestrahlung wurde von der Patientin mäßig gut vertragen. Es kam im Anschluss zu einer leichten Weichteilschwellung und generalisierten Lymphknotenvergrößerung im Bestrahlungsareal. Die Speichelproduktion und der Geschmackssinn waren nur geringfügig beeinträchtigt.
Lymphom-Abklärung
Die Infektionsserologie
ergab folgende Befunde: EBV-, CMV- und HAV-IgG positiv und IgM negativ; HCV, HBV und HIV waren negativ.
Knochenmark Histologie, Zytologie und Immunphänotypisierung:
Knochenmarksstanze mit trilineär ausreifender Hämatopoese mit leichter Marklymphozytose und vereinzelt unreifen Formen sowie reduziertem Speichereisen. Immunphänotypisch fanden sich im vorliegenden Material (KM) keine Vermehrung CD34 positiver hämatopoetischer Vorläuferzellen, keine monoklonale B-Zellpopulation oder T-Zellpopulation mit auffälliger/aberranter Oberflächenmarkerexpression.
CT-Diagnostik von Hals, Thorax und Abdomen
ergaben keinen Nachweis einer sicheren Raumforderung cervical, thorakal oder abdominell. Es zeigte sich aber eine strähnige Osteopenie des Knochenskeletts ohne ossäre Filiae.
Histologische Abklärung:
Aufgrund der erhöhten ANA-Werte wurden die histologischen Präparate in einem Referenzzentrum der Uniklinik Würzburg in Bezug auf das Vorliegen eines Sjögren-Syndroms vorgestellt, wobei jedoch nur die Diagnose eines MALT-Lymphoms bestätigt werden konnte.
Prognose
Hierbei handelt es sich um ein niedrig malignes B-Zell-Lymphom vom Typ des extranodalen Marginalzonen-Lymphoms des mukosa-assoziierten lymphatischen Gewebes (MALT Lymphom). Bei lokalisiertem Stadium, ohne Begleitsymptomatik im Sinne einer B-Symptomatik sowie nach Durchführung der lokalen Radiatio, liegen die Zehn-Jahresüberlebensraten nach Literaturangaben zwischen 80 und 90 Prozent.
Diskussion
Obwohl die extranodalen Lymphome mit einer Gesamtprävalenz von fünf Prozent eine eher seltene Tumorentität im Kopf/Hals-Bereich darstellen, stellt diese Region nach dem Gastrointestinaltrakt die zweithäufigste Prädilektionsstelle für Primärmanifestationen dar (33 Prozent der Fälle [Silva TD et al., 2016] von allen extranodalen Lymphomen im menschlichen Körper).
Bei den MALT-Lymphomen (Mucosa Associated Lymphoid Tissue / Schleimhaut-assoziiertes lymphatisches Gewebe) handelt es sich um einen speziellen Subtyp von Non-Hodgkin-Lyphomen, meistens des B-Zell-Typs. Im Kopf/Hals-Bereich ist nach Literaturangaben in 60 bis 80 Prozent der Fälle die Glandula parotis einseitig oder gelegentlich sogar beidseitig betroffen. Am zweit häufigsten mit etwa zehn Prozent wird die Glandula submandibularis befallen.
In den restlichen Fällen werden der Waldeyersche Rachenring, die Nasen- und Rachenschleimhaut sowie nicht näher in der Literatur differenzierte Lokalisationen im Kopf- und Halsbereich genannt.
Das Auftreten der extranodalen Lymphome im Kopf-Hals-Bereich ist sehr häufig mit Autoimmunerkrankungen, wie dem Sjögren-Syndrom, der Hashimoto-Thyreoiditis und der Rheumatoiden Arthritis, aber auch mit Infektionserkrankungen wie HIV oder HCV assoziiert.
Patienten mit einem primären Sjögren-Syndrom haben ein bis zu 13-fach erhöhtes Risiko, an einem malignen Non-Hodgkin-Lymphom (NHLM) zu erkranken als die vergleichbare Normalbevölkerung [Metwaly H et al., 2003]. Die orale Manifestation der Lymphome stellt nach den Plattenepithelkarzinomen und Speicheldrüsenmalignomen die dritthäufigste maligne Erkrankung im Bereich der Mundhöhle dar.
Bei Patienten mit AIDS besteht im Vergleich zur gesunden Population mit vier Prozent eine etwas höhere Prädispositionsrate [Levine AM et al., 2000]. Die Manifestation von oralen Lymphomen ist häufig schwierig zu diagnostizieren, da ihre klinischen Symptome andere Erkrankungen, wie Parodontitis, Osteomyelitis und Schleimhauterkrankungen nachahmen können. Das kann leicht die korrekte Behandlung verzögern und somit auch die Prognose verschlechtern [Richards A, et al., 2000].
Eine aktuelle Literaturübersicht [Silva TD et al., 2016] ergab in Bezug auf die orale Manifestation der extranodalen Lymphome, dass die Erkrankung am meisten durch eine persistierende Schwellung, lokale Schmerzen und oberflächliche Ulzerationen auffällt und in 50 Prozent der Fälle zunächst mit einer lokalen Infektion wie Tonsillitis, Parodontitis oder Gingivitis verwechselt wird. Das führt dazu, dass die Diagnose häufig verschleppt wird. Daraus schlussfolgern die Autoren, dass bei einem isolierten, einseitigen, Therapie resistenten und entzündlichen Geschehen im Bereich der Mundschleimhaut, des Zahnhalteapparats oder der Tonsillen eine exakte allgemeine Anamneseerhebung und Probegewinnung erfolgen sollte.
Konkret sollte bei einer nicht heilenden Extraktionsalveole mit lokaler Destruktion des Alveolarknochens mit Entzündungszeichen spätestens nach zwei Wochen eine Probegewinnung erfolgen. Da die lymphoproliferativen Malignome häufig nur durch spezielle Färbemethoden von den unspezifischen Entzündungszellinfiltraten abgegrenzt werden können, sind die Pathologen bei der Begutachtung noch mehr als sonst auf die klinischen Angaben des Behandlers angewiesen.
Fazit
Die Primärmanifestation von Lymphomen im Kopf-Hals-Bereich stellt ein relevantes Erkrankungsbild dar. Eine frühzeitige histologische Sicherung der Raumforderung im Bereich der Speicheldrüsen und/oder persistierend vergrößerten Lymphknoten kann eine rechtzeitige Diagnosestellung ermöglichen und die Überlebensprognose signifikant verbessern.
Dr. Evgeny GoloborodkoJulius SteegmannPD Dr.Dr. Bernd LethausPD Dr. Dr. Ali ModabberUniv-Prof. Dr.Dr. Frank HölzleKlinik für Mund-,Kiefer- und Gesichtschirurgie Uniklinik RWTH AachenPauwelsstr. 30, 52074 Aachenegoloborodko@ukaachen.de
Dr. Till BraunschweigInstitut für Pathologie Uniklinik RWTH AachenPauwelsstr. 30, 52074 Aachen.
Literatur
Silva TD, Ferreira CB, Leite GB, de Menezes Pontes JR, Antunes HS. Oral manifestations of lymphoma: a systematic review. Ecancermedicalscience. 2016;10:665
Metwaly H, Cheng J, Ida-Yonemochi H, Ohshiro K, Jen KY, Liu AR, et al. Vascular endothelial cell participation in formation of lymphoepithelial lesions (epi-myoepithelial islands) in lymphoepithelial sialadenitis (benign lymphoepithelial lesion). Virchows Arch. 2003 Jul;443(1):17-27.
Levine AM, Seneviratne L, Espina BM, Wohl AR, Tulpule A, Nathwani BN, et al. Evolving characteristics of AIDS-related lymphoma. Blood. 2000 Dec 15;96(13):4084-90.
Richards A, Costelloe MA, Eveson JW, Scully C, Irvine GH, Rooney N. Oral mucosal non-Hodgkin's lymphoma--a dangerous mimic. Oral Oncol. 2000 Nov;36(6):556-8.






