Mediane Halszyste
Ein damals 47-jähriger Patient stellte sich erstmals in unserer Klinik zum Ausschluss einer odontogenen Ursache der Schluckbeschwerden vor. Der Patient beklagte ein persistierendes Globusgefühl und eine größenprogrediente Raumforderung oberhalb des Kehlkopfes mit begleitender Zunahme von Schluck- und Atembeeinträchtigungen im Verlauf von einem Vierteljahr.
Er beklagte auch eine leichte Anhebung des Mundbodens und Einschränkung der Zungenbeweglichkeit. Anamnestisch wurde eine Geschwulstspunktion in der gleichen Lokalisation vor zehn Jahren berichtet. Das Ergebnis der damals durchgeführten Punktion konnte nicht in Erfahrung gebracht werden.
Diagnostik
Die klinische Untersuchung mittels bimanueller Palpation zeigte eine weiche, fluktuierende, indolente, verschiebliche Raumforderung in unmittelbarer Nachbarschaft zum Zungenbein lokalisiert (Abbildungen 1a und b). Die intraorale Inspektion ergab keine Auffälligkeiten der Schleimhaut und des Zahnstatus. Das exprimierte Sekret aus den Speicheldrüsenausführungsgängen war klar und optisch von unauffälliger Konsistenz.
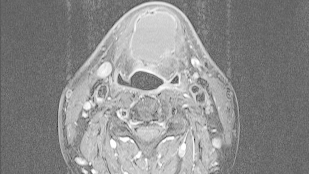
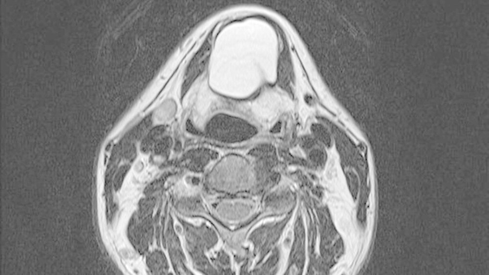
Die unter ambulanten Bedingungen angefertigte schnittbildgebende MRT-Untersuchung des Halses zeigte eine 41x35x27 mm große, gut abgrenzbare, und abgekapselte Raumforderung mit homogener Binnenstruktur. Die Dichtewertemessung wies anhand der Verteilung der Hounsfield-Einheiten einen mit flüssigkeits-äquivalentem, gefüllten Hohlraum auf (Abbildung 2a). Dieser war mit einer mittigen Einschnürung in der Medianebene des Halses und in der Mitte des Os hyoideum lokalisiert (Abbildung 2b). Dabei wird die Verdrängung des aerodigistiven, benachbarten Raumes sowie die Anhebung des Mundbodens und der Zungengrundmuskulatur deutlich (Abbildung 2c).
Durch die Befunde der anamnestischen, klinischen und MRT-Untersuchungen konnte die Diagnose einer medianen Halszyste gesichert werden.
Therapie
Die operative Entfernung der zervikalen Raumforderung wurde anschließend mit dem Patienten vereinbart und dann in Allgemeinnarkose über einen extraoralen Zugang durchgeführt (Abbildung 3a). Bei der intraoperativen Enukleation des zystisch imponierenden Gewebes konnte die Verbindung zum Os hyoideum eindeutig dargestellt werden (Abbildung 3b).
Das raumfordernde Gewebe wurde dann mit dem gesamten medianen Anteil des Zungenbeines durch kontinuitätsunterbrechende Resektion entfernt (Abbildungen 3c).
Die feingewebliche Begutachtung des entnommenen Gewebes bestätigte in den histopathologischen Präparaten die klinisch und radiologisch gesicherte Diagnose einer medianen Halszyste (Abbildung 4).Der perioperative Verlauf blieb unauffällig und der Patient konnte am vierten postoperativen Tag in die ambulante Weiterbehandlung entlassen werden.
Nach einem Jahr
Ein Jahr postoperativ berichtet der Patient bei der Kontrolle über keinerlei Beschwerden im ehemaligen Operationsgebiet. Die präoperativ vom Patienten angegebenen Schluck-, Atembeschwerden und Globusgefühl wurden als nicht mehr vorhanden beschrieben (Abbildung 5).
###more### ###title### Diskussion ###title### ###more###
Diskussion
Die mediane Halszyste zählt zu den angeborenen Halszysten und stellt ein Rest des Ductus thyreoglossus im Abstiegspfad der Schilddrüse während der Embryogenese dar. In der fünften Gestationswoche entsteht aus einer Aussprossung im Pharynx die schlauchförmige Schilddrüsenanlage. Bei der Entwicklung der Zunge nimmt die Schilddrüse durch kaudale Verlagerung etwa in der siebten Embryonalwoche ihre endgültige Lage vor der Trachea ein. Danach obliteriert in der Regel der Gewebeschlauch, Ductus thyreoglossus.
Davon bleibt lediglich das Foramen caecum als eine kleine Vertiefung im Zungengrund [Todd 1993; Ozolek, 2009]. In seltenen Fällen bleibt der Obliterationsvorgang des Ductus thyreoglossus aus. Die partielle Obliteration erklärt die unpaare Entwicklung der medianen Halszyste [LaRiviere und Waldhausen 2012; Ozolek, 2009], was die mediane von der lateralen Halszyste unterscheidet. Die Letzte kann paarig auftreten.
In 80 Prozent der Fälle [Ahuja et al., 2005] ist die mediane Halszyste in der Mittellinie des Halses lokalisiert. Andere Lokalisationen werden paramedian und zwischen dem M. mylohyiodeus und dem infrahyiodalen Raum beschrieben [Todd, 1993; Ahuja et al., 2005; Rosa et al., 2008]. Im vorliegenden Fall reihen sich die Manifestationsbefunde der klinischen und MRT-Untersuchungen sowie die intraoperativen Befunde innerhalb der von Literatur mit 15 Prozent angegebenen Lokalisation der medianen Halszyste im Niveau des Os hyoideum ein. Die Mehrheit der medianen Halszysten (65 Prozent) werden im infrahyoidalen Halsabschnitt beschrieben [Imhof et al., 2004]. In 50 Prozent der Fälle liegt das Manifestationsalter vor dem 20. Lebensjahr [Ahuja et al., 2005 (a); Koch, 2005].
Bei Patienten im mittleren Alter muss eine besondere Aufmerksamkeit dem differenzialdiagnostischen Ausschluss von malignen Neoplasien zum Beispiel in der Schilddrüse oder im zervikopharyngealen Bereich eingeräumt werden [Chala et al., 2016; Zizic et al., 2016]. Die Patientenangaben über ein neu auftretendes Globusgefühl, Schluck- und Atemstörungen, wie hier bei dem 47-jährigen Patienten, lassen den Verdacht auf einen oropharyngealen Tumor und insbesondere Plattenepithelkarzinom des Zungengrundes zu. Dieses muss vorrangig ausgeschlossen werden.
Andere Neubildungen wie die gutartigen Lipome, Neurofibrome, Hämangiome und Teratome gelten im vorliegenden Fall als unwahrscheinlich, müssen jedoch differenzialdia-gnostisch einbezogen werden.
Eine Begleitentzündung im Falle einer medianen Halszyste kann eine odontogen verursachte zervikale Schwellung kopieren [Glosser et al., 2003]. Auch eine maligne Transformation einer medianen Halszyste soll diffenzialdiagnostisch besonders bei Patienten mittleren Alters in Betracht gezogen werden [Flavo et al, 2006; Gordini et al., 2015; Chala et al., 2016; Zizic et al., 2016].
Entzündliche Prozesse wie ein Abszess, Phlegmone und Lymphadenitiden konnten im präsentierten Fall anhand intra- und extraoraler Untersuchungen sowie anhand der laborchemischen Untersuchungen ausgeschlossen werden. Beim extraoralen Befund ergaben sich außer der hyoidalen Schwellung keine weiteren Hinweise auf einen entzündlichen Prozess.
Auch der intraorale Befund zeigte einen entzündungsfreien Zahnstatus beziehungsweise keine odontogene Ursachen. Trotz der schnell verfügbaren und nebenwirkungsarmen diagnostischen Untersuchungsmethode mittels B-Mode-Sonografie mit relativ sicherer Diagnose bei einer abgekapselten zystischen Läsion kann eine eindeutige Zuordnung und eine genaue Ausdehnung des Befunds nur mit Hilfe eines schnittbildgebenden Verfahrens wie das MRT und das CT erreicht werden [Allard, 1982; Koeller et al., 1999; Jones und Koch, 1999; Ahuja et al., 2005 (b); Ahuja und Ying, 2005; Koeller et al., 1999]. Dabei stellt die MRT-Untersuchung aus strahlenhygienischer Sicht das bevorzugte Darstellungsverfahren dar [Koch, 2005; Acierno und Waldhausen, 2007].
Das operative Vorgehen darf im Normalfall keine ausgedehnte Narben- beziehungsweise störende Zungenbeinfixierung im Operationsgebiet verursachen. Insbesondere bei jungen Patienten soll der Verlauf der Schnittführung im Einklang mit dem Verlauf der „Relaxed Skin Tension Lines“ (RSTL) beziehungsweise einer Hautfalte stehen. Somit lässt sich postoperativ ein unangenehmes Spannungsgefühl im Halsbereich vermeiden und die Bildung ungünstiger Narben minimieren.
Die Verletzung von Nerven und Blutgefäßen des Halses zählt zu den Hauptrisiken des Eingriffs, insbesondere bei ausgedehnten Befunden mit postoperativer Blutung oder atmungsbeeinträchtigendem Ödem. Das Rezidivrisiko ist bei unvollständiger Resektion mit 19 Prozent relativ hoch, insbesondere bei unvollständiger Ausräumung des angrenzenden Zystenbereiches und in der Nachbarschaft des Os hyoideum [Knipping und Goetze, 2008].
Fazit für die Praxis
Ein Globusgefühl oder eine schmerzlose, progredient wachsende Raumforderung bei Patienten mittleren Alters müssen vorrangig auf mögliche Neoplasien abgeklärt werden,
Bei fehlenden diagnostischen Hinweisen auf eine Neoplasie oder odontogene Ursache nach eingehender klinischer Untersuchung bei einer medianen Halsschwellung stellt die mediane Halszyste als eine embryonale Fehlentwicklung eine wahrscheinliche Ursache dar und muss in die zentralen differenzialdiagnostischen Überlegungen einbezogen werden.
Bei der genauen Bestimmung der Lokalisation und Ausdehnung ersetzt die Sonografie trotz der hohen Zuverlässigkeit diagnostischer Hinweise bezüglich der Beschaffenheit und Größe der Raumforderung nicht die Schnittbildgebung, wie MRT oder CT.
Therapie der Wahl einer medianen Halszyste bleibt die operative Entfernung. Eine kontinuitätsunterbrechende Resektion des Os hyoideum zur Vermeidung von Rezidiven ist in den meisten Fällen erforderlich. Zur Diagnosesicherung ist die Durchführung der histologischen Aufarbeitung des Resektates notwendig.
PD Dr. Dr. Bassam SakaDr. Birte Julia SiegmundDr. Ferenc ÖriKlinik für Mund-, Kiefer- und Plastische GesichtschirurgieSchillingallee 35, 18055 RostockBassam.saka@med.uni-rostock.de
PD Dr. Stine-Kathrein KraeftInstitut für Pathologie Universitätsmedizin RostockSchillingallee 35, 18055 Rostock
Acierno SP, Waldhausen JH.Congenital cervical cysts, sinuses and fistulae. Otolaryngol Clin North Am. 2007, 40:161–76.
Ahuja AT, Wong KT, King AD, Yuen EH.Imaging for thyroglossal duct cyst: the bare essentials. Clin Radiol. 2005 (a), 60:141–8.
Ahuja AT, Wong KT, King AD, Yuen EH.
Imaging for thyroglossal duct cyst: the bare essentials. Clin Radiol. 2005 (b), 60:141–8.
Ahuja AT, Ying M.Sonographic evaluation of cervical lymph nodes. AJR Am J Roentgenol. 2005, 184:1691–9.
Allard RH.The hyroglossal cyst. Head Neck Surg. 1982, 5:134–46.
Chala A, Álvarez A, Sanabria Á, Gaitán A.Primary papillary carcinoma in thyroglossal cysts. Case reports and literature review.
Acta Otorrinolaringol Esp. 2016, 67:102–106.
Falvo L, Giacomelli L, Vanni B, Marzollo A, Guerriero G, De Antoni E.
Papillary thyroid carcinoma in thyroglossal duct cyst: case reports and literature review. Int Surg. 2006, 91:141–6.
Glosser JW1, Pires CA, Feinberg SE. Branchial cleft or cervical lymphoepithelial cysts: etiology and management. J Am Dent Assoc. 2003 Jan;134(1):81–6.
Gordini L, Podda F, Medas F, Lai ML, Longheu A, Pisano G, Calò PG.
Tall cell carcinoma arising in a thyroglossal duct cyst: A case report. Ann Med Surg (Lond). 2015, 4:129–32.
Imhof H, Czerny C, Hörmann M, Krestan C.
Tumors and tumor-like lesions of the neck: from childhood to adult. Eur Radiol. 2004, 14 Suppl 4:155–65.
Jones BV, Koch BL.
Magnetic resonance imaging of the pediatric head and neck. Top Magn Reson Imaging. 1999, 10:348–61.
Koch BL. Cystic malformations of the neck in children. Pediatr Radiol. 2005, 35:463–77.
Koeller KK, Alamo L, Adair CF, Smirniotopoulos JG.
Congenital cystic masses of the neck: radiologic-pathologic correlation. Radiographics. 1999, 19:121–46.
Knipping S, Goetze G. [Sclerotherapy for cystic lesions of the head and neck region]. HNO. 2008, 56:349–60
LaRiviere CA, Waldhausen JH.
Congenital cervical cysts, sinuses, and fistulae in pediatric surgery. Surg Clin North Am. 2012, 92:583–97.
Ozolek JA.
Selective pathologies of the head and neck in children: a developmental perspective. Adv Anat Pathol. 2009, 16:332–58.
Rosa PA, Hirsch DL, Dierks EJ.Congenital neck masses. Oral Maxillofac Surg Clin North Am. 2008, 20:339–52.
Todd NW. Common congenital anomalies of the neck. Embryology and surgical anatomy. Surg Clin North Am. 1993, 73:599–610.
Zizic M, Faquin W, Stephen AE, Kamani D, Nehme R, Slough CM, Randolph GW.
Upper neck papillary thyroid cancer (UPTC): A new proposed term for the composite of thyroglossal duct cyst-associated papillary thyroid cancer, pyramidal lobe papillary thyroid cancer, and Delphian node papillary thyroid cancer metastasis. Laryngoscope. 2016, 126:1709–14.
















