Zahnmedizin
Mit der Schiene das Gelenk entlasten
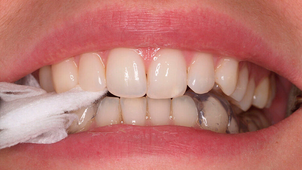
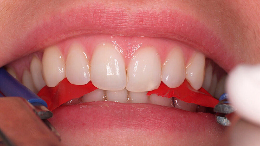
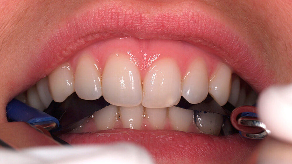
Bei der Therapie funktionellen Erkrankunger des kraniomandibulären Systems kommt als zahnärztliche Maßnahme auch die reversible Behandlung mittels konstruierter Okklusionsschienen in Betracht. Die Bilderstrecke zeigt Beispiele.
Zahnärztliche Mitteilungen















