Neue Defis gegen den plötzlichen Herztod
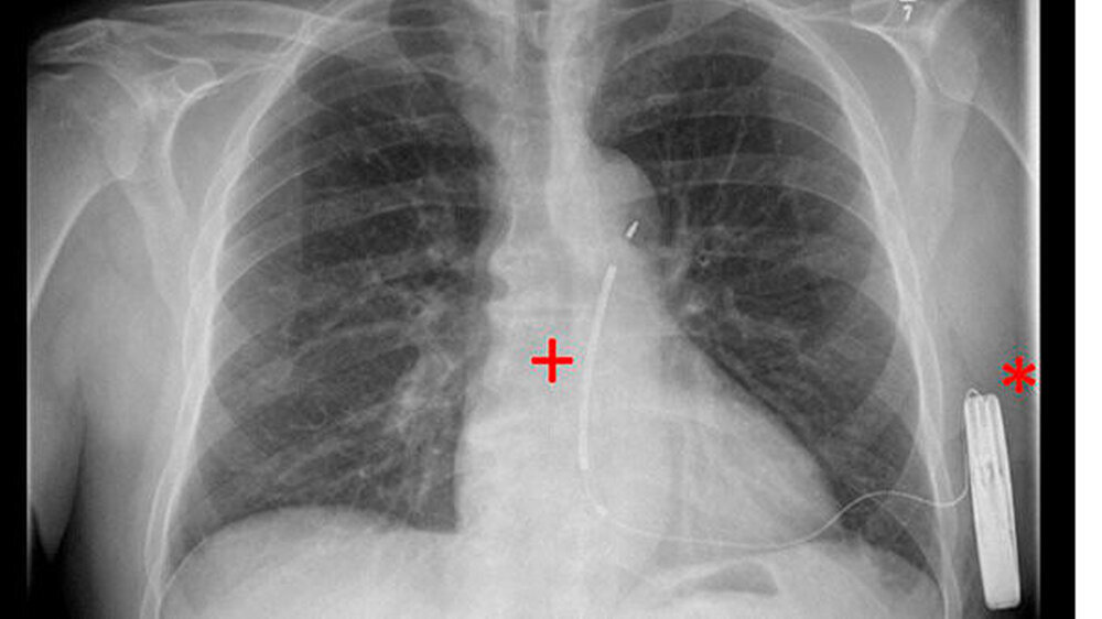
Implantierbare Defibrillatoren, auch Schockgeber genannt, sind seit den 1980er-Jahren eine anerkannte Therapieform zur Prophylaxe des plötzlichen Herztodes. Seitdem wurden vorwiegend "transvenöse Defibrillatoren" verwendet, bei denen das Aggregat unter dem Schlüsselbein implantiert und die Elektrode über die Vene zum Herz vorgeführt und dort in der rechten Herzkammer verankert wurde.
Rund 20 Prozent flacher als die Vorgänger
Seit 2009 steht mit den sogenannten subkutanen Defibrillatoren ein neuer technologischer Ansatz zur Verfügung: Die Aggregate werden auf der linken Seite des Brustkorbes implantiert, die Elektrode verläuft dabei nur noch unter der Haut vor dem Herzen. Seit Februar 2015 ist die zweite Generation dieser Defi-Variante verfügbar und jetzt weltweit erstmals im Herzzentrum Leipzig eingesetzt worden. Das Gerät ist rund 20 Prozent flacher und weist im Vergleich zu seinem Vorgänger eine um 40 Prozent längere Batterielaufzeit auf.
„Es ist sehr positiv, dass nunmehr eine sehr kompakte und noch viel schonender zu implantierende Technologie zur Verfügung steht, mit der lebensgefährliche Herz-Rhythmusstörungen bis hin zum plötzlichen Herztod wirksam verhindert werden können“, sagt Prof. Dr. Gerhard Hindricks, Chefarzt der Abteilung für Rhythmologie im Herzzentrum Leipzig. „Wir sind sehr zuversichtlich, dass damit noch mehr betroffene beziehungsweise gefährdete Patienten von dieser Therapieform profitieren können.“
Der Eingriff dauert nur 30 Minuten
Die Implantation wurde von den Oberärzten Dr. Michael Döring und Dr. Sergio Richter aus der Abteilung für Rhythmologie durchgeführt. Der minimal-invasive Eingriff erfolgte in Narkose, verlief völlig komplikationslos und dauerte nur 30 Minuten. Bereits am Folgetag konnte der Patient aus der Klinik entlassen werden und wird nun ambulant weiterbehandelt.




