Polen verbietet Energydrinks für Minderjährige
„Polen nimmt die eindringlichen Warnungen der Wissenschaft ernst und macht das einzig Richtige: Red Bull und Co. gibt’s erst ab 18. In Deutschland hingegen dürfen die gefährlichen Wachmacher weiter uneingeschränkt an Kinder und Jugendliche verkauft werden“, kritisierte Luise Molling von foodwatch.
Die Verbraucherorganisation forderte Bundesernährungsminister Cem Özdemir (Die Grünen) auf, endlich auch in Deutschland einen Verkaufsstopp der Getränke an Minderjährige umzusetzen. Özdemir sieht aber offenbar keinen Handlungsdruck. Die Dosen seien mit ausreichend Warnhinweisen versehen, antwortete sein Ministerium dem ARD-Morgenmagazin auf Anfrage.
Dabei sind die Polen nicht die ersten, die den Zugang zu Energydrinks reglementieren: Die EU-Mitgliedsstaaten Lettland und Litauen hatten schon vor Jahren eine Altersgrenze von 18 Jahren für die umstrittenen Getränke eingeführt (Litauen Ende 2014 und Lettland im Sommer 2016). Hierzulande sprechen sich neben foodwatch auch Ärzteverbände wie die Gesellschaft der Europäischen Kinderkardiologen sowie der Verbraucherzentrale Bundesverband seit Jahren für eine Altersgrenze aus, ebenso Expertinnen und Experten der Weltgesundheitsorganisation WHO.
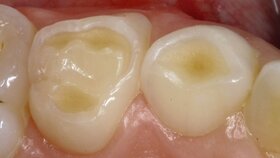
Wie eine Schweizer Arbeitsgruppe um Prof. Adrian Lussi aus Bern 2023 zeigte, weisen Energydrinks neben einem zum Teil extrem hohen Zucker- und Koffeingehalt auch ein ein bedenklich hohes erosives Potenzial auf.
So wie Energydrinks zum Massenphänomen geworden sind, steigt auch die Zahl der Intensivnutzer: Bereits 2017 berichtete das Bundeszentrum für Ernährung (BZfE), dass in Deutschland rund 17 Prozent der jugendlichen Energydrink-Konsumenten zu den „Hoch-Akut-Trinkern“ gehören. Das bedeutet, sie nehmen mehr als einen Liter bei einer Gelegenheit zu sich. Das Problem: Diese Jugendlichen überschreiten damit die unbedenkliche Koffeinmenge von drei Milligramm Koffein pro Kilogramm Körpergewicht deutlich.
Durch den süßen Geschmack und das Marketing über Social-Media-Influencer sind die Produkte gerade bei Kindern und Jugendlichen beliebt. Einer Untersuchung der Europäischen Behörde für Lebensmittelsicherheit (EFSA) zufolge griffen bereits 2013 rund 68 Prozent von ihnen in der EU zu den Getränken. Laut EFSA verzehren sie dabei nachweislich gefährlich große Mengen: Jeder vierte junge Konsument trinkt drei oder mehr Dosen auf einmal und überschreitet damit selbst die für Erwachsene maximal empfohlene Koffein-Dosis von 200 Milligramm.
Das Bundesinstitut für Risikobewertung warnt – vergeblich
Das Bundesinstitut für Risikobewertung (BfR) warnte bereits 2019, dass übermäßiger Konsum von Energydrinks ein Gesundheitsrisiko für Herz und Kreislauf von Kinder und Jugendlichen darstellt. Selbst bei jungen Erwachsenen seien zum Teil schwerwiegendere unerwünschte Wirkungen beobachtet worden: „Palpitationen, Kurzatmigkeit, unkontrolliertes Muskelzittern, schwere Übelkeit, Angstzustände, Nervosität sowie auch Veränderungen im Elektrokardiogramm."
Bürgerrat fordert Abgabe erst ab 16 Jahren
Der Bürgerrat mit dem Namen „Ernährung im Wandel“ hat Mitte Januar sein erstes Bürgergutachten erstellt und dem Bundestag übergeben. Die 160 per Los ausgewählten Bürgerinnen und Bürger erarbeiteten neun konkrete Handlungsempfehlungen für den Bereich Lebensmittel, unter anderem fordern sie ein verpflichtendes staatliches Lebensmittellabel, das auf einen Blick über Effekte für Klima, Tierwohl und Gesundheit informiert. Außerdem soll Zucker – egal aus welcher Ursprungs- oder Herstellungsform – nicht mehr als Grundnahrungsmittel eingestuft werden, was zu einer Anhebung der Mehrwertsteuer auf Zucker von sieben auf 19 Prozent führt. Und das Gremium fordert eine stärkere Regulierung von Energydrinks: Diese sollen erst ab einem Mindestalter von 16 Jahren gekauft werden dürfen und außerdem deutliche Warnhinweise tragen, die auf die gesundheitlichen Risiken der Inhaltsstoffe hinweisen.
Den Kritikern bleibt vorerst nur, darauf zu hoffen, dass die Ergebnisse der sogenannten EDKAR-Studie einen wichtigen Impuls für eine Regulierung liefern. Die Datenerhebung untersucht den Energydrink-Konsum unter Jugendlichen in Berlin und soll dazu beitragen, dessen gesundheitlichen Auswirkungen bei der Zielgruppe besser einschätzen zu können. Die Studie erfolgt unter Regie des BfR in Zusammenarbeit mit der Charité. Sie startete 2021.






