Rinderknochen eignet sich langfristig für Sinuslift
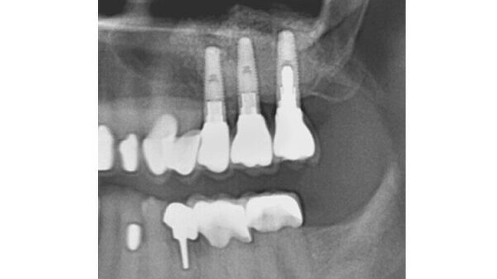
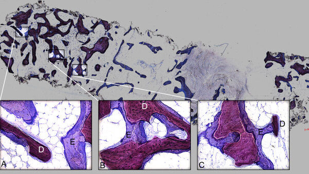
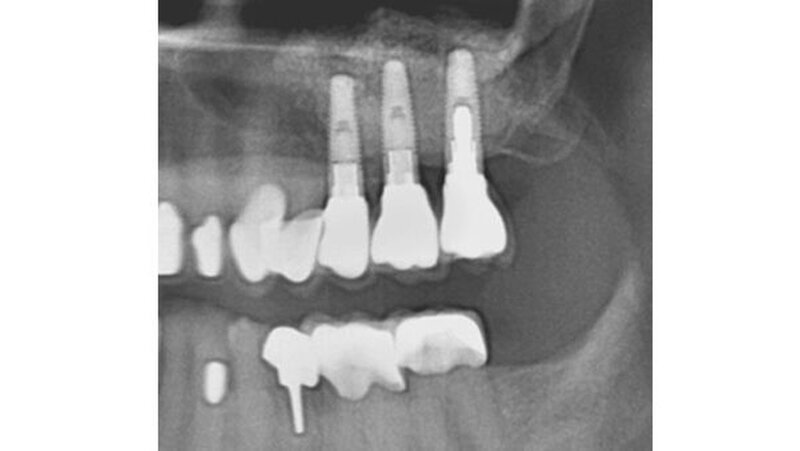
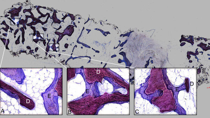
Ayna dokumentierte die chirurgisch aufwendige Behandlung eines Duisburger Patienten. Dabei handelte es sich um den Knochenaufbau in der Kieferhöhle, den Sinuslift. 14 Jahre nach dem Einsatz des anorganischen Rinderknochen-Materials (ABBM) führte Ayna eine histologische und eine mikroradiografische Untersuchung des eingelagerten Materials durch.
Der Eigenknochenanteil beträgt mindestens 14 Prozent!
Ergebnis: Das Material wurde auch nach diesem langen Zeitraum nicht vom Körper aufgelöst. Vielmehr kam es zu einer erfolgreichen Knochenneubildung. Aynas Untersuchung weist in dem aufgebauten Knochenbereich einen Eigenknochenanteil von mindestens 14 Prozent nach. Die histologischen Untersuchungen lassen darauf schließen, dass der Sinuslift in den zentralen Bereichen aus vitalem Knochen besteht.
Für seine Arbeit "Fate of a Bovine-Derived Xenograft in Maxillary Sinus Floor Elevation After 14 Years: Histologic and Radiologic Analysis“ ("Schicksal eines Knochenaufbaumaterials nach 14 Jahren in der Kieferhöhle: Histologische und radiologische Analyse“) wurde Ayna Ende April in Monaco im Rahmen desInternationalen Osteology Symposiumsvom Unternehmen Geistlich Pharma AG prämiert. Der Duisburger Zahnarzt erhielt ein Preisgeld in Höhe von 1.000 Schweizer Franken, das er zugunsten der Initiative „Doctors of the World“ spendete. Das Symposium ist der internationale Treffpunkt für Mund- und Kieferchirurgen, Parodontologen und weiteren internationalen Experten auf dem Gebiet der Zahngesundheit.
Hintergrund: Im unbezahnten Seitenbereich des Oberkiefers folgt meist unvermeidbar der Abbau des Knochenvolumens. Für das Einsetzen von Implantaten etwa ist die Qualität und Quantität des Knochenmaterials ausschlaggebend.
Die Publikation zu dieser Untersuchung wurde von Dr. Mustafa Ayna, Prof. Dr. rer. nat. Yahya Açil, Leiter der wissenschaftlichen Laboratorien der Klinik für Mund-, Kiefer- und Gesichtschirurgie Campus Kiel und Assoc Prof Dr Aydin Gulses, DDS PhD, Gulhane Military Medical Academy, Department of Oral and Maxillofacial Surgery im International Journal of Periodontics & Restorative Dentistry (Volume 35 Number 4 2015) veröffentlicht.







