SARS-CoV-2 könnte zu Hirnveränderungen führen
Mediziner sind irritiert, denn zum einen gibt es Fälle von verstorbenen COVID-19-Patienten, deren Lunge nicht versagt hat oder die keine Symptome einer Lungenerkrankung zeigten. Zum anderen sind auch immer häufiger Fälle von leicht erkrankten Patienten dokumentiert, die plötzlich in Atemnot geraten.
Ob die Beteiligung des Gehirns unter Virusbefall die Ursache dafür sein kann, sollte daher genauer untersucht werden. Die zentrale Frage dabei lautete: Wieso haben Patienten bereits im frühen Stadium der Erkrankung Atemnot und Schwierigkeiten bei Luft holen, obwohl ihre Lunge kaum krankheitsbedingt beeinträchtigt ist. Kurz: Was steckt hinter der Atemantriebsstörung?
Langanhaltende neuronale Schäden geben Rätsel auf
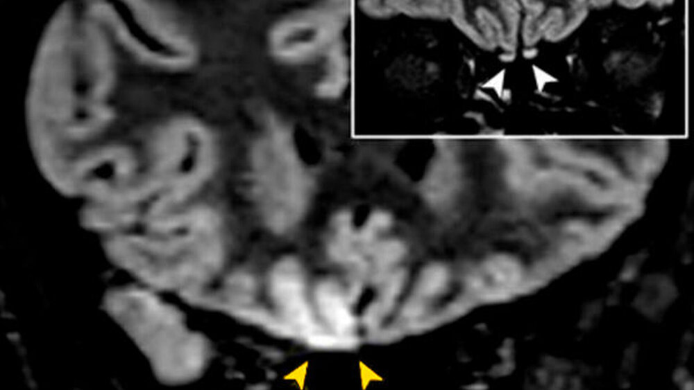
Ende Mai veröffentlichen Wissenschaftler aus Italien die Auswertung von MRT-Bildern einer 26-jährigen Patientin, die zunächst nur einen leichten Husten als Symptom aufwies und später ihren Geruchssinn verlor. Die Bilder zeigen Anomalien, welche den Verdacht nähren, dass das neuartige Coronavirus SARS-CoV-2 auch das Gehirn, hier vor allem den Kortex, befallen kann. Es besteht vermutlich ein Zusammenhang zwischen der Anosmie, also der eingeschränkten Geruchswahrnehmung, oder sogar des Verlustes des Geruchssinns und dem Virusbefall im Gehirn.
In der Studie erklären die Forscher: „Wir fanden den Nachweis einer in vivo-Hirnveränderung mittels MRT, die vermutlich auf SARS-CoV-2 zurückzuführen ist, und zeigen, dass Anosmie das vorherrschende Symptom bei COVID-19 darstellen kann.“ Bereits beim ersten SARS-Ausbruch 2001/2002 wurden neuronale Veränderungen bei Untersuchungen von Kleintieren festgestellt.
Virus kann olfaktorische Dysfunktion sensorineuralen Ursprungs verursachen
Weiter schlussfolgern die Wissenschaftler: „Basierend auf den MRT-Befunden (...) können wir mutmaßen, dass SARS-CoV-2 über den Riechweg in das Gehirn eindringen und eine olfaktorische Dysfunktion sensorineuralen Ursprungs verursachen könnte.“ Der verlorene Geruchssinn ist einer der neuronalen Symptome und lässt auf den Befall des Gehirns schließen. Für weitere Erkenntnisse zum Einfluss des Virus auf das Gehirn müsse nun weiterführend geforscht werden, so die Studienautoren.
Virus hat das Potenzial, Steuerungsprozesse im Gehirn lahm zu legen In der ZDF-Nachrichtensendung „heute Journal“ wurden COVID-19-Patienten mit neuronalen Schäden nach ihrer Erkrankung begleitet, die unter anderem an Gedächtnisverlust beziehungsweise Vergesslichkeit, Übelkeit beim Lesen und Atemaussetzern leiden. Prof. Dr. Peter Berlit von der Deutschen Gesellschaft für Neurologie wertete für den Beitrag MRT-Bilder von deutschen Patienten aus und erklärte: „Es gibt erste Hinweise darauf, dass eine besondere Affinität zum Atemsteuerungszentrum besteht.“ Kommt es hier zu einer Ansammlung von Viren, entwickelt sich die Gefahr, dass die automatische Atemfunktion beeinträchtigt wird.
Weitere Erkenntnisse zum Einfluss der COVID-19-Erkrankung auf das Gehirn werden am Dienstag, 23. Juni, um 21 Uhr im ZDF in der Sendung „frontal21“ gezeigt.
Politi LS, Salsano E, Grimaldi M. Magnetic Resonance Imaging Alteration of the Brain in a Patient With Coronavirus Disease 2019 (COVID-19) and Anosmia. JAMA Neurol. Published online May 29, 2020.doi:10.1001/jamaneurol.2020.2125




