Schwere Parodontitis kann heute erfolgreich behandelt werden
Liebe Kolleginnen und Kollegen,
gerade erst wurden die Ergebnisse der 6. Deutschen Mundgesundheitsstudie (DMS • 6) vorgestellt. Bei allen großartigen Erfolgen der deutschen Zahnmedizin auf dem Gebiet der Kariesprävention bleiben die Daten für die Volkskrankheit Parodontitis besorgniserregend. In der Gruppe der jüngeren Senioren (65 bis 74 Jahre) zeigen 52,7 Prozent der Patienten schwere Formen der Parodontitis – etwa hälftig aufgeteilt auf die Stadien III (26,3 Prozent) und IV (26,4 Prozent). Beide Stadien erfordern zumeist parodontalchirurgische Therapiemaßnahmen, deren Indikationen in der DG-PARO-Leitlinie zur Behandlung der Parodontitis Stadium I–III wissenschaftlich dargestellt wurden und in die Behandlungsstrecke der aktuellen PAR-Richtlinie eingeflossen sind. Mehr als jeder vierte Patient in der Altersgruppe der jüngeren Senioren, die aufgrund des demografischen Wandels zahlenmäßig immer größer wird, zeigt das Stadium IV der Parodontitis und damit einen weit fortgeschrittenen parodontalen Krankheitszustand mit gravierendem Funktionsverlust und hohem Therapiebedarf.
Hier geht es direkt zur Fortbildung „Einführung: Krankheitsbild und therapeutische Optionen und Falltyp 1: Hypermobile Zähne“ sowie „Falltyp 2: Die kombiniert parodontal-kieferorthopädische Behandlung“.
Da trifft es sich gut, dass die Deutsche Gesellschaft für Parodontologie (DG PARO) im Verbund mit einer großen Zahl von wissenschaftlichen Fachgesellschaften und Organisationen nun auch eine S3-Leitlinie zur Therapie der Parodontitis im Stadium IV vorlegt. Es handelt sich dabei um eine an die deutschen Verhältnisse angepasste Versioneiner europäischen Leitlinie, an der seinerzeit bereits viele deutsche Experten aus allen Bereichen der ZMK-Heilkunde (Parodontologie, Zahnerhaltung, Prothetik, Implantologie, Kieferorthopädie und MKG-Chirurgie) mitgewirkt hatten.
Die neue Leitlinie enthält eine Vielzahl von Evidenz- und Experten-basierten Konsensusempfehlungen, welche eine Orientierung für die komplexe und zumeist interdisziplinäre Therapie geben und Behandlungspfade aufzeigen, um diesem komplexen Krankheitsbild auf dem aktuellen Stand der Wissenschaft in der Praxis gerecht zu werden.
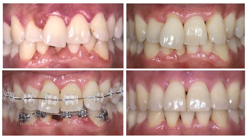
Die Parodontitis im Stadium IV ähnelt in Schwere und Komplexität derjenigen im Stadium III, allerdings leiden die Patienten als Folge der Erkrankung zusätzlich entweder unter multiplen Zahnverlusten (≥ 5 Zähne) oder anderen weiteren Komplexitätsfaktoren wie dem Verlust der vertikalen Dimension durch eine fehlende posteriore Abstützung, pathologischen Zahnwanderungen, Elongationen von Zähnen, einer stark erhöhten Mobilität und einer eingeschränkten mastikatorischen Funktion. Eine alleinige Parodontaltherapie reicht bei diesen Patienten nicht aus, um die Kaufunktion und die Ästhetik wiederherzustellen. Vielmehr ist eine enge interdisziplinäre Zusammenarbeit mit anderen zahnmedizinischen Fachexpertisen erforderlich.
Die zentrale Botschaft der neuen Leitlinie lautet: Parodontitis Stadium IV kann heute erfolgreich behandelt werden. Mit dem vorliegenden Fortbildungsteil wollen wir Ihnen deshalb Mut machen und Sie inspirieren, sich mit dem Thema näher zu beschäftigen. Es lohnt sich, denn mit präziser Diagnostik und dem richtigen Einsatz der Therapieoptionen können wir die Kaufunktion der Betroffenen wiederherstellen und lange Zeit erhalten. Ihre Patienten werden es Ihnen danken. Wir wünschen Ihnen eine anregende und erkenntnisreiche Lektüre.
Ihr Søren Jepsen








