Therapiealternativen bei kariösen Milchmolaren (1)
Bei dem hier vorgestellten Fall wurde die Hall-Technik als Therapiealternative zur Füllung an einem mehrflächig kariösen Milchmolaren angewandt wurde. Das Besondere an der Hall-Technik ist, dass der kariöse Zahn dabei ohne vorherige Zahnpräparation und ohne Kariesexkavation mit einer Stahlkrone versorgt wird.
Der Fall: Ein fünfjähriges Mädchen mit mangelhafter Compliance
Ein fünfjähriges Mädchen stellte sich mit seiner Mutter in der Abteilung für Präventive Zahnmedizin & Kinderzahnheilkunde des Zentrums für Zahn-, Mund- und Kieferheilkunde (ZZMK) der Universitätsmedizin Greifswald vor, nachdem es bei vorherigen Zahnarztbesuchen alio loco nach einer negativen Zahnerfahrung aufgrund von einer Füllung an Zahn 84 die weitere Mitarbeit verweigert hatte. Laut Aussagen der Mutter hat das Kind nie Zahnschmerzen gehabt, jetzt jedoch große Angst vor Spritzen und Bohrern. Es lagen keine für die Behandlung relevanten Allgemeinerkrankungen vor.
Aufgrund der Angst des Kindes wurden bei den ersten Terminen einfache Prozeduren, wie die klinische Untersuchung, ein Anfärben der Zähne und Zähneputzen, durchgeführt, damit eine sukzessive Gewöhnung beziehungsweise Desensibilisierung des Kindes an die zahnärztliche Behandlung erfolgen konnte.
Klinischer und röntgenologischer Befund
Die klinische Untersuchung des Mundraums zeigte eine gesunde Mundschleimhaut, eine gesunde Zunge und ein vollständiges jedoch kariöses Milchgebiss:
caries media (ICDAS 5) an den Zähnen 64 (okklusale und distale Fläche, Abb. 1a) und 75 (okklusal)
eine insuffiziente Füllung an 84 (okklusale und distale Fläche)
weitere nicht kavitierte Läsionen an 75, 85 und an den Oberkiefer-Frontzähnen (bukkale Fläche; ICDAS 2), die als inaktiv eingestuft wurden.
Alle Approximalflächen wurden mittels der faseroptischen Translumination (FOTI) untersucht, ohne Hinweis auf weitere approximale Dentinläsionen. Röntgenologisch war bei dem Zahn 64 keine pulpale Beteiligung sowie eine Dentinbrücke zwischen der kariösen Läsion und der Pulpa sichtbar (Abb. 1b). Die Schmerzanamnese und die Perkussion für Zahn 64 waren ebenfalls negativ. Zahn 74 zeigt eine periapikale und interradikuläre Radioluzenz, was aufgrund der erkennbaren pulpalen Beteiligung die Hall-Technik explizit ausschließt.
Die Kooperation des Kindes für eine invasive Behandlung wurde beim Erstbesuch als niedrig eingestuft (Frankl-Skala „negativ“ : Behandlungsverweigerung/unkooperativ). Der erste Termin zur Desensibilisierung erfolgte auf dem Schoß der Mutter.
Kariesrisikobewertung
Die Mutter berichtete, dass das Kind gelegentlich gesüßte Getränke trinkt und seine Zähne in der Regel 1- bis 2-mal täglich mit fluoridhaltiger Kinderzahnpasta (500 ppm) putzt. Das Zähneputzen werde unregelmäßig von den Eltern kontrolliert.
Klinisch zeigte sich nach Anfärben eine mäßige bis gute Mundhygiene. Aufgrund der Karieserfahrung wurde eine aktuell hohe Kariesaktivität diagnostiziert. Ein Nachputzen durch die Eltern wurde instruiert und eine erhöhte Fluoridnutzung auf 2x täglich Juniorzahnpasta (>1000ppm Fluorid) [Walsh et al., 2010] zur häuslichen non-invasiven Kariestherapie empfohlen.
###more### ###title### Diagnose und Therapie ###title### ###more###
Diagnose und Therapie
Bei kontinuierlicher Symptomfreiheit des Zahns 64 und Einwilligung wurde angeboten, nach einer weiteren Desensibilierungs- und Prophylaxesitzung den kariösen Zahn „ohne bohren“ mithilfe der Hall-Technik zu therapieren. Die Mutter und das Kind wurden über die Technik umfänglich aufgeklärt. Zur Vorbereitung des Kindes auf die Therapie wurden Lexeme wie „Prinzessinnenzähne“ oder „Königskronen“ benutzt. Im Rahmen der Hall-Therapie wurde keine Lokalanästhesie, Präparation des Zahnes oder Kariesentfernung durchgeführt [Evans & Innes, 2010].
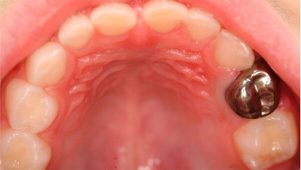
Für den Zahn wurde eine konfektionierte Stahlkrone (Größe 5) ausgewählt. Nach Reinigung des Zahnes wurde die konfektionierte Stahlkrone mit dünnfließendem Glasionomerzement zementiert. Dabei ist es wichtig dass die Krone den Zahn komplett bedeckt und die Ränder epi- bis leicht subgingival liegen (Abb. 2 a, b, c). Eine temporäre Bisserhöhung von circa zwei Millimetern ist häufig und korrigiert sich wie in diesem Fall in den ersten Wochen nach Applikation der Krone wieder vollständig [Van der Zee & van Amerongen, 2010].
Die Kooperation während der Applikation der Stahlkrone in der Hall-Technik wurde als „sehr positiv“ eingestuft. Die Mutter und das Kind waren sehr zufrieden mit der Behandlung und wünschten, wenn nötig und möglich, diese Therapie auch bei weiteren Behandlungen. Dies war allerdings aufgrund der pulpalen Beteiligung bei den Zähnen 85 und 74 nicht möglich.
Daher wurden nach dem positiven Start mit der Hall-Technik eine klassische Pulpotomie und Stahlkrone an 84 sowie eine Extraktion und ein fester Lückenhalter bei 74 durchgeführt. Die Kooperation des Kindes bei den weiteren Therapien wurde als positiv bis sehr positiv eingestuft. Der mittels Hall-Technik versorgt Zahn 64 ist physiologisch nach 36 Monaten exfoliert.
Diskussion
Durch die Anwendung der Hall-Technik, die der Inaktivierung von Dentinkaries ohne Kariesexkavation mithilfe von konfektionierten Stahlkronen dient, werden zentrale Ziele bei der Kariestherapie bei Kindern realisiert: Zunächst ist gemäß eines modernen biologischen Ansatzes davon auszugehen, dass eine Kontrolle des kariogenen Hauptfaktors, nämlich der bakteriellen Plaque, ermöglicht wird, da nach der Zementierung eine starke Reduktion kariogener Bakterien in der kariösen Läsion aufgrund der verminderten Substratzufuhr erfolgt.
Aktuelle Studien zeigen eine erfreulich hohe Erfolgsrate der Hall-Technik (90 Prozent bis 100 Prozent), die der Füllungstherapie (50 bis 80 Prozent) bei Approximalkaries an Milchmolaren deutlich überlegen ist [Santamaría et al., 2014; Innes et al., 2007]. Außerdem weist die Hall-Technik eine höhere Akzeptanz im Vergleich zu anderen Kariestherapieoptionen bei Kindern auf [Santamaría et al., 2015; Innes et al., 2007]. Besonders geeignet erweist sich diese Technik bei Kindern mit hoher Kariesaktivität und/oder ängstlichen Kindern, die unter spezifischen Ängsten vor Spritzen oder Bohrern wie im vorliegenden Fall leiden. Aufgrund der Tatsache, dass keine, insbesondere approximale Präparation des Zahns vorgenommen wird, ist bei circa 30 bis 50 Prozent der Patienten das Einsetzen der Krone in der Hall-Technik nicht immer sofort möglich [Santamaría et al., 2014]. Bei engen approximalen Kontakten können jedoch mesial und/oder distal Separiergummis für ein bis zwei Tage platziert werden und die Krone(n) dann in einem zweiten Termin eingesetzt werden. Außerdem ist von einer temporären Bisserhöhung um zwei Millimeter auszugehen. Jedoch passt sich die Okklusion nach wenigen Wochen wie bei jeder physiologischen Bisshebung im Rahmen des Zahndurchbruchs oder bei kieferorthopädischen Behandlungen wieder an [Van der Zee & van Amerogen, 2010].
Bis jetzt wurden weder kurz- oder langfristigen Komplikationen aufgrund der temporären Bisserhöhung identifiziert beziehungsweise publiziert noch Veränderungen bei der Exfoliation der überkronten Zähne oder beim Durchbruch der bleibenden Nachfolger festgestellt.
Zudem ist diese Technik insbesondere im Vergleich zur Füllungstherapie kosteneffizienter für den Kostenträger. Schwendicke et al. [2015] hatten in einer interessanten Studie die Kosteneffizienz verschiedener Kariestherapieoptionen bei Kindern analysiert, wobei unter anderem die konventionelle Füllung auch mit der „Hall-Technik“ verglichen wurde.
Fazit
Die Hall-Technik erweist sich als eine erfolgreiche und kosteneffiziente Therapieoption für kariöse Milchmolaren ohne Pulpabeteiligung, die in der klinischen Praxis gut praktikabel ist. Sie wird von Kindern gut akzeptiert und stellt vor allem auch bei mäßig kooperativen Kindern mit „Angst vor Spritze und Bohrer“ eine sehr hilfreiche Therapieoption dar.
Der zweite Beitrag zu dieser Thematik erscheint demnächst und befasst sich mit der nicht-restaurativen Karieskontrolle.
OÄ Dr. Ruth Santamaría, MSc, PhDAbt. für Präventive Zahnmedizin & KinderzahnheilkundePreventive & Pediatric DentistryUniversity of GreifswaldRotgerberstr. 8, 17487 Greifswald








