Veränderte Blutgefäße im Auge geben Hinweise auf Long COVID
Eines der Merkmale einer COVID-Erkrankung sind Veränderungen der Blutgefäße. Betroffen ist dort insbesondere das Endothel, die Gefäßinnenwand. Durch Veränderungen hier werden Organe nicht ausreichend mit Blut versorgt. Bislang wurden allerdings vor allem große Blutgefäße erforscht. In einer neuen Studie haben Forschende nun die kleineren Gefäße näher untersucht und dabei einen neuen Ansatz entwickelt, um Long COVID festzustellen.
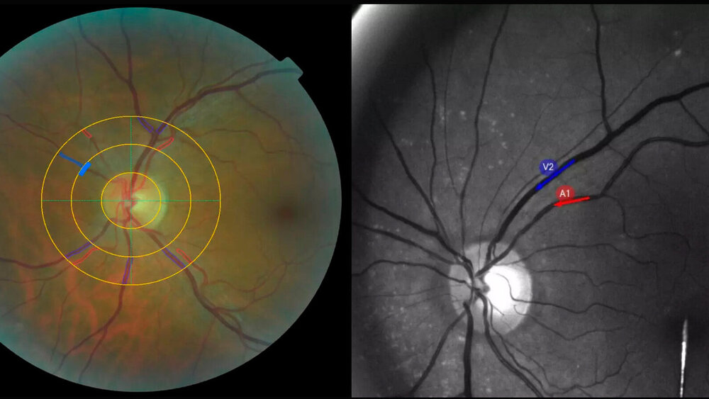
Denn „90 Prozent der Endothelzellen des Körpers befinden sich in kleinen und kleinsten Äderchen. Was mit diesen Blutgefäßen bei Long COVID geschieht, ist kaum bekannt“, erklärt Studienleiter Prof. Christoph Schmaderer vom Universitätsklinikum der TUM. Dabei könnten Blutgefäße im Auge einen Hinweis auf den Zustand der kleinen Blutgefäße im gesamten Körper bieten. Sie seien für Untersuchungen leicht zugänglich, die notwendigen Verfahren und Geräte sind erprobt und erfordern keinen Eingriff in den Körper, so Schmaderer.
Äderchen sind verengt oder erweitern sich weniger
Besonders zwei Werte zeigten einen starken Zusammenhang mit Long-COVID-Erkrankungen: Zum einen waren Arteriolen, also kleinste Arterien, im Vergleich zur gesunden Kontrollgruppe deutlich verengt. Zum anderen zeigten Venolen, nicht jedoch die Arteriolen, eine veränderte Reaktion auf Lichtreize. Leuchtet man mit einem flackernden Licht ins Auge, erweitern sich die Blutgefäße. Bei Patienten mit Long COVID war diese Reaktion deutlich verringert.
Je mehr Entzündungsmarker im Blut der Studienteilnehmenden gemessen wurden, desto ausgeprägter waren die Veränderungen, berichten die Wissenschaftlerinnen und Wissenschaftler. Anhaltende Entzündungsreaktionen sind Studien zufolge vermutlich ein weiterer wichtiger Faktor für Long COVID.
Da die Studie mit 41 Teilnehmenden vergleichsweise klein ist und nur in einer einzelnen Klinik durchgeführt wurde, lässt sich aus den Ergebnissen noch kein zuverlässiger Test auf Long COVID ableiten. Aus Sicht der Forschenden sind weitere Studien notwendig, um die Ergebnisse zu verifizieren. „Ich bin zuversichtlich, dass auf Grundlage unserer Ergebnisse ein Werkzeug entwickelt werden kann, um Long COVID sicher zu diagnostizieren“, erklärt der Studienleiter. „Wir gehen zudem davon aus, dass die Mikrozirkulation nicht nur im Auge, sondern auch in anderen Teilen des Körpers eingeschränkt ist. Dadurch könnte die Methode insbesondere dafür geeignet sein, um die Wirksamkeit zukünftiger Therapien für Long COVID zu beurteilen.“
Kuchler, T., Günthner, R., Ribeiro, A. et al. „Persistent endothelial dysfunction in post-COVID-19 syndrome and its associations with symptom severity and chronic inflammation“. Angiogenesis (2023). DOI: 10.1007/s10456-023-09885-6



