Vertikale Längsfraktur - und nun?
Die Patientin wurde aufgrund unklarer Beschwerden an Zahn 11 an die Poliklinik für Zahnerhaltung des Universitätsklinikums Münster überwiesen. Die allgemeine Anamnese war weitestgehend unauffällig. Bei der speziellen Anamnese gab sie an, dass in regio 11 seit einem Sturz auf das Gesicht vor etwa zwei Jahren Beschwerden bestehen.
Zahn 11 wurde daraufhin vom Hauszahnarzt endodontisch behandelt. Trotz der Wurzelkanalbehandlung konnte die Beschwerdesymptomatik nicht gelindert werden, woraufhin der Hauszahnarzt eine Wurzelspitzenresektion mit retrogradem Verschluss durchführte.
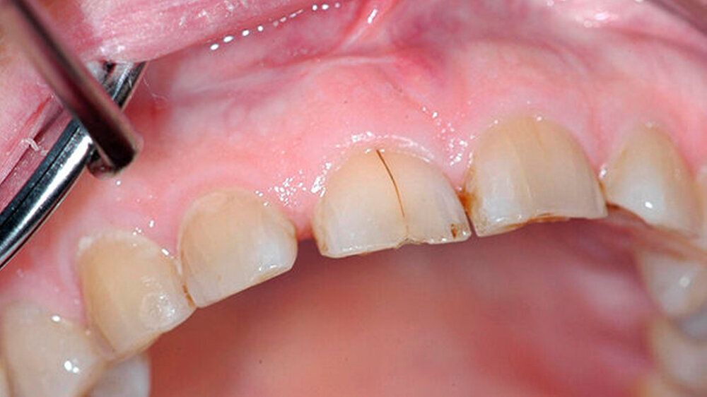
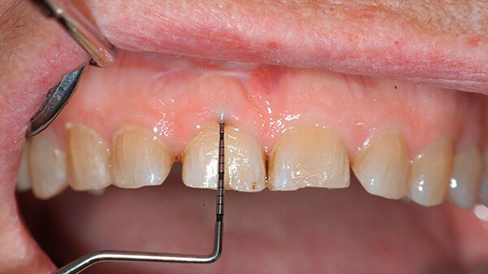
Bei der Vorstellung in der Poliklinik zeigte sich klinisch eine Schmelzfraktur auf der bukkalen Fläche des Zahns 11 (Abbildung 1). Die Messung der Taschensondierungstiefe (TST) ergab an dieser Stelle lokal begrenzt einen Wert von 7 mm (Abbildung 2). An allen übrigen Messpunkten lag eine physiologische TST von 3 mm vor.
Die Diagnose
Dies deutet klar auf die Diagnose einer Längsfraktur hin. Ein Zahn mit Längsfraktur wird in der Regel extrahiert und anschließend durch ein Implantat, eine Brücke oder eine Einzelzahnprothese versorgt. Alle drei Möglichkeiten wurden von der Patientin aufgrund von finanziellen (Implantat) oder ästhetischen Aspekten (Brücke), beziehungsweise aus Gründen des Tragekomforts (Einzelzahnprothese) abgelehnt. Für eine Brückenversorgung hätten überdies die zwei kariesfreien Nachbarzähne 12 und 21 präpariert werden müssen.
Therapie zum Zahnerhalt
Daher wurde der Patientin eine alternative Behandlungsmethode vorgeschlagen, mit dem Ziel, den Zahn langfristig zu erhalten. Unter Kofferdam wurde der koronale Anteil der Frakturlinie auf der Labialfläche mit einem feinen diamantierten Flammen förmigen Schleifkörper erweitert. Zusätzlich wurden die palatinale Füllung (Trepanationsöffnung) sowie zwei Drittel der vorhandenen Wurzelkanalfüllung entfernt.
Anschließend wurden diese Defekte mithilfe eines Dentinhaftvermittlers (Optibond All-In-One; Kerr, Orange) und einer Kompositrestauration (Grandio/Grandio Flow; VOCO, Cuxhaven) versorgt, um den Zahn sowohl koronal als auch intrakanalär zu stabilisieren. Nach Entfernung des Kofferdams und Herstellung eines Silikonschlüssels wurde eine Titan-Trauma-Schiene (TTS; Medartis, Basel) angepasst und der Bereich mithilfe einer Infiltrationsanästhesie anästhesiert.
Anschließend erfolgte die Extraktion des Zahns unter weitestgehender Schonung der umgebenden Hart- und Weichgewebe. Zur Vitalerhaltung der parodontalen Ligamentzellen wurde Zahn 11 direkt nach Extraktion in einem Zellnährmedium (Zahnrettungsbox; Medice Pharma, Iserlohn, Deutschland) gelagert.
Während die palatinale Fläche unbeschädigt war, zeigte die bukkale Fläche eine vertikale Frakturlinie (Abbildung 3), die mit einem feinen diamantierten Schleifkörper erweitert wurde (Abbildung 4). Zusätzlich erfolgte die Entfernung des retrograden Wurzelkanalfüllmaterials. Beide Defekte wurden mit Biodentine (Septodont, Niederkassel) aufgefüllt (Abbildung 5).
Während auf die initiale Abbindung des Materials gewartet wurde (etwa 15 min), erfolgte ein kontinuierliches druckloses Anfeuchten der restlichen Wurzeloberfläche mit Zellnährlösung aus der Zahnrettungsbox.
Anschließend wurde der Zahn replantiert (Abbildung 6) und mithilfe einer Titan-Trauma-Schiene für zwölf Tage semirigide geschient (Abbildung 7).
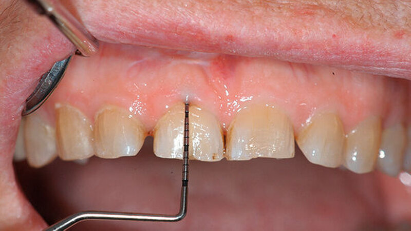
Sowohl klinisch als auch röntgenologisch zeigte sich nach der Behandlung ein erfolgreich replantierter Zahn (Abbildung 8). Bereits nach dreimonatiger Einheilungsphase reduzierte sich die Taschensondierungstiefe von 7 mm auf 3 mm (Abbildung 9).
Bei weiteren Kontrollen nach 6, 12 und 24 Monaten blieb der Zahn sowohl klinisch symptomlos als auch röntgenologisch durchgehend unauffällig (Abbildung 10). Die Perkussionsprobe ergab keinen Hinweis auf eine pathologische Veränderung. Zeichen einer Ankylose waren nicht zu erkennen.
###more### ###title### Diskussion ###title### ###more###
Diskussion
Bis heute führt die Diagnose einer vertikalen Längsfraktur in fast jedem Fall zur Extraktion des entsprechenden Zahns, da es aktuell keine zuverlässige Behandlungsmethode gibt [Malhotra N et al., 2011; Haueisen H et al., 2013; Berman LH et al., 2006; Bargholz C, 2007; Castellucci A, 2009].
Die chirurgische Exploration der Frakturlinie ist in diesem Fall nicht indiziert, da es zu ungünstigen ästhetischen Ergebnissen im diesem Bereich kommen kann und für die komplette Darstellung des Defekts zusätzlicher Knochen entfernt werden muss, was einer Ausheilung entgegenwirken würde und die Option einer Implantation zum späteren Zeitpunkt deutlich negativ beeinflusst. Somit bleibt als Option für die Versorgung der Längsfraktur die intentionelle Explantation, extraorale Versorgung des Defekts und schließlich die Replantation.
Als sinnvolles Material für die Versorgung von Defekten der Wurzeloberfläche haben sich in den letzten Jahren Kalzium-Silikat-Zemente bewährt. Auch wenn ProRoot MTA (Dentsply) als wahrscheinlich bekanntester Vertreter dieser Gruppe sich seit seiner Einführung sehr gut im Rahmen von Behandlungen, wie zum Beispiel Apexifikationen oder Verschluss von Perforationen im Bereich der Wurzel bewährt hat, birgt es auch Nachteile: schwierige Handhabung, lange Abbindezeit, mögliche Verfärbung bei Verwendung im Kronenbereich, geringere Druck- und Biegefestigkeit als Dentin und seine hohen Kosten [Karabucak B et al., 2005; Stropko J, 2009; Belobrov I et al., 2001; Dammaschke T, 2011].
15 Minuten initiale Abbindezeit
Biodentine (Septodont, Niederkassel) hat gegenüber ProRoot MTA bei der vorgeschlagenen Behandlungsmethode einige entscheidende Vorteile. Zunächst liegt die initiale Abbindezeit bei lediglich 15 Minuten [Dammaschke T, 2011; Laurent P et al., 2008]. Auch wenn Grech et al. feststellen konnten, dass die definitive Abbindezeit von Biodentine bei 45 Minuten liegt (entsprechend ISO 9917-1:2007) [Grech L et al., 2013], ist dies deutlich schneller als die Abbindezeit von ProRoot MTA mit 165 ± 5 min [Torabinejad M et al., 1995].
Für die extraorale Versorgung des Defektes spielt die Abbindezeit eine entscheidende Rolle, da so das Risiko der Austrocknung der Parodontalen Ligament (PDL) Zellen reduziert wird und ein widerstandsfähiger Defektverschluss zum Zeitpunkt der Replantation vorhanden ist. Weiterer Vorteil ist die Mikrohärte nach Vickers (HV), welche bei ungefähr 60 HV und damit ähnlich der des Dentins ist, während ProRoot MTA einen Wert von lediglich 40 HV aufweist [Pradelle-Ülasse N et al., 2009; Danesh G et al., 2006].
Außerdem zeigt das verwendete Material eine signifikant höhere Kalzium- und Siliziumionen-Freigabe als MTA [Han L et al., 2011; Han L et al., 2013]. Besonders Silizium spielt eine wichtige Rolle bei der Bioaktivität verwendeten Zements. Es fördert die Knochenkalzifizierung [Carlisle EM, 1970; Carlisle EM, 1988] und stimuliert das Knochenwachstum [Patel N et al., 2002; Porter AE et al., 2004; Porter AE et al., 2004].
Bezüglich der Regeneration von bei der Extraktion beschädigter PDL-Zellen konnte ex vivo nachgewiesen werden, dass diese bei direktem Kontakt mit Biodentine im Vergleich zu ProRoot MTA nach 8 d, 13 d und 20 d in einer signifikant höheren Anzahl proliferieren (p < 0,05) [Jung S et al., 2013].
Das Fazit
Auch wenn die vertikale Längsfraktur eine äußerst ungünstige Prognose nach sich zieht, scheinen mithilfe des Materials und seinen positiven physiologischen und bioaktiven Eigenschaften eine Versorgung und der Erhalt des betroffenen Zahns möglich.
Dr. Paul Hadrossek, Prof. Dr. Till DamaschkeUniversitätsklinikum MünsterZentrum für Zahn-, Mund- und KieferheilkundePoliklinik für
ZahnerhaltungAlbert-Schweitzer-Campus 1, Gebäude W 30Waldeyerstraße 30, 48149 Münsterdr.paul@hadrossek.com
Dieser Beitrag ist erschienen im Septodont Biodentine Handbuch als Fall 8.
###more### ###title### Literaturverzeichnis ###title### ###more###
Literaturverzeichnis
Malhotra N, Kundabala M, Acharaya S. A review of root fractures: diagnosis, treatment and prognosis. Dent Update 2011; 38: 615–628.
Haueisen H, Heidemann D. Vertical root fracture: Prevalence, etiology, and diagnosis. Quintessence Int 2013; 44: 467–474.
Berman LH, Hartwell GR. Diagnosis. In: Choen S, Hargraves KM (eds). Pathways of the Pulp. 9th ed. St. Louis: Mosby Elsevier 2006: 23–34.
Bargholz C. Zahn- und Wurzellängsfrakturen. In: Hülsmann M, Schäfer E (Hrsg.). Probleme in der Endodontie: Prävention, Identifikation und Management. Berlin: Quintessenz 2007: 383–400.
Castellucci A. Endodontic-periodontal interrelationship. In: Castellucci A (ed). Endodontics. Vol. 3. Florence: Edizioni Odontoiatriche Il Tridente, 2009: 756–829.
Karabucak B, Li D, Lim J, Iqbal M. Vital pulp therapy with mineral trioxide aggregate. Dent Traumatol 2005; 21: 240–243.
Stropko J. Micro-surgical endodontics. In: Castellucci A (ed). Endodontics. Vol. 3. Florence: Il Tridente, 2009: 1118–1125.
Belobrov I, Parashos P. Treatment of tooth discoloration after the use of white mineral trioxide aggregate. J Endod 2011; 37: 1017–1020.
Dammaschke T. Direct pulp capping. Dentist 2011; 27(8): 88–94.
Laurent P, Camps J, De Meo M, Dejou J, About I. Induction of specific cell responses to a Ca3SiO5-based posterior restorative material. Dent Mater 2008; 24: 1486–1494.
Grech L, Mallia B, Camilleri J. Characterization of set Intermediate Restorative Material, Biodentine, Bioaggregate and a prototype calcium silicate cement for use as root-end filling materials. Int Endod J 2013; 46: 632–641.
Torabinejad M, Hong CU, McDonald F, Pitt Ford TR. Physical and chemical properties of a new root-end filling material. J Endod 1995; 21: 349–353.
Pradelle-Plasse N, Tran X-V, Colon P. Physico-chemical properties. In: Goldberg M (ed). Biocompatibility or cytotoxic effects of dental composites. Oxford: Coxmoor, 2009: 184–194.
Danesh G, Dammaschke T, Gerth HU, Zandbiglari T, Schäfer E. A comparative study of selected properties of ProRoot mineral trioxide aggregate and two Portland cements. Int Endod J 2006; 39: 213–219.
Han L, Okiji T. Uptake of calcium and silicon released from calcium silicate-based endodontic materials into root canal dentine. Int Endod J 2011; 44: 1081–1087.
Han L, Okiji T. Bioactivity evaluation of three calcium silicate-based endodontic materials. Int Endod J 2013; 46: 808–814.
Carlisle EM. Silicon: a possible factor in bone calcification. Science 1970; 167: 279–280.
Carlisle EM. Silicon as a trace nutrient. Sci Total Environ 1988; 73: 95–106.
Patel N, Best SM, Bonfield W, Gibson IR, Hing KA, Damien E et al. A comparative study on the in vivo behavior of hydroxyapatite and silicon substituted hydroxyapatite granules. J Mater Sci Mater Med 2002; 13: 1199–1206.
Porter AE, Best SM, Bonfield W. Ultrastructural comparison of hydroxyapatite and silicon-substituted hydroxyapatite for biomedical applications. J Biomed Mater Res A 2004; 68: 133–141.
Porter AE, Bothelo CM, Lopes MA, Santos JD, Best SM, Bonfield W. Ultrastructural comparison of dissolution and apatite precipitation on hydroxyapatite and silicon-substituted hydroxyapatite in vitro and in vivo. J Biomed Mater Res A 2004; 69: 670–679.
Jung S, Mielert J, Dammaschke T. Human oral cells’ response to different endodontic restorative materials: An ex vivo study. Int Endod J 2013; 46 (Suppl. 100): 39 (R114).













