Metastase eines Nierenzellkarzinoms unter dem klinischen Bild einer Perikoronitis
Ein 61-jähriger Patient wurde aufgrund einer akut schmerzhaften Perikoronitis an Zahn 48 zugewiesen. Enoral zeigte sich sowohl lateral als auch distal des Zahnes eine exophytische Gewebewucherung mit deutlicher Fibrinbelegung. Besonders auffällig war, dass die umgebende Schleimhaut keinerlei entzündliche Rötung aufwies (Abb. 1). Dem zuweisenden Kollegen war bereits eine ungewöhnlich konfigurierte Osteolyse distal des Zahnes aufgefallen, die sich vom erwartbaren Bild einer perikoronaren, entzündlichen Resorption unterschied. Diese Osteolyse war unscharf begrenzt, vorwiegend zum aufsteigende Unterkieferast hin ausgedehnt und zeigte keine klare Beziehung zur Krone des Weisheitszahnes (Abb. 2). Die CT-Bildgebung zeigt die diffuse, unregelmäßig begrenzte Osteolyse, die insbesondere die linguale Kortikalislamelle bereits vollständig aufgebraucht hat (Abb. 3).
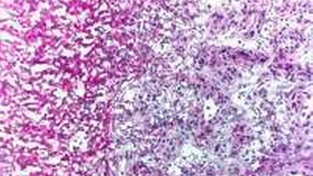
In der Anamnese berichtet der Patient über eine chronisch myeloische Leukämie vor acht Jahren, die sich nach autologer peripherer Blutstammzell-Transplantation in Vollremission befindet. Sieben Monate vor dem aktuellen Ereignis war der Patient an einem klarzelligen Nierenzellkarzinom operiert worden. Vor vier Monaten waren erste Knochenmetastasen im Os sacrum aufgetreten, die mit einer Gesamtdosis von 40 Gy bestrahlt und zusätzlich antiangiogenetisch behandelt wurde. Unter der Verdachtsdiagnose einer Metastase im Unterkiefer erfolgte eine Biopsie des perikoronaren Gewebes, die oberflächlich zunächst lediglich ein entzündliches Infiltrat, in der Tiefe der Läsion schließlich aber den Nachweis einer Metastase des bekannten Nierenzellkarzinoms ergab (Abb. 4).
Aufgrund der Vorgeschichte und in Anbetracht der praktisch infausten Prognose bei einer unter der systemischen Therapie kurzfristig aufgetretenen erneuten Metastasierung, entschied sich der Patient gegen einen chirurgischen Eingriff zugunsten einer palliativen Therapie.
Diskussion
Orale Metastasen peripherer solider Tumoren sind insgesamt selten und machen nur etwa ein Prozent der Tumoren der Mundhöhle aus [Van der Waal et al., 2003]. Sie betreffen dann überwiegend Patienten im fortgeschrittenen Alter. Am häufigsten manifestieren sie sich im Knochen, insbesondere in der Molarenregion der Mandibula [Hirshberg et al., 1994]. Metastasen in der oralen Schleimhaut werden ebenfalls beschrieben, sind aber noch ungleich seltener [Hirshberg et al., 1993]. Die Prognose ist in diesen Fällen ausgesprochen schlecht, die Patienten versterben in aller Regel in den nächsten sechs bis zwölf Monaten [Neville et al., 2002; Van der Waal et al., 2003].
Entsprechend der Häufigkeit ossär metastasierender Tumoren in der Bevölkerung handelt es sich bei den Knochenmetastasen der Kiefer-Gesichtsregion am häufigsten um Filiae von Bronchial- oder Mammakarzinomen, kolorektalen Karzinomen oder Prostatakarzinomen. Auffällig ist allerdings der, gemessen an der allgemeinen Inzidenz, große Anteil von Nierenzellkarzinom-Metastasen und Nebennierenkarzinom-Metastasen [Hirshberg et al., 1994; Hirshberg et al., 1993; Van der Waal et al., 2003]. Die Tatsache, dass bei rund einem Drittel aller oralen Metastasen der Primärtumor noch nicht bekannt ist, macht die Bedeutung einer differentialdiagnostischen Zuordnung unklarer Osteolysen im Röntgenbild deutlich. Hinweise auf ein neoplastisches Geschehen ergaben sich im vorliegenden Fall neben der Anamnese vor allem durch die ungewöhnliche Form und Lage der Osteolyse, aber auch durch das Fehlen der typischen entzündlichen Umgebungsreaktion einer Dentitio difficilis. Für die zahnärztliche Praxis soll dieser Fall an die Problematik der zahlreichen Pathologien erinnern, die sich hinter dem klinischen Bild einer Dentitio difficilis verbergen können.
Dr. Felix KochPriv.-Doz. Dr. Dr. Martin KunkelKlinik für Mund-, Kiefer- und GesichtschirurgieKlinikum der Johannes Gutenberg-UniversitätAugustuplatz 2, 55131 MainzE-Mail:Kunkel@mkg.klinik.uni-mainz.de




