Atypische Mykobakteriose beim Kleinkind
Bei einem zweijährigen Mädchen hatte eine Fistel links präauriculär über mehrere Monate bestanden. Nach Auskunft der Mutter war an der Stelle der jetzigen Fistelmündung (Abb. 1) zuvor eine umschriebene Rötung, später eine kleine Pustel und nachfolgend eine phasenweise produktive Fistel entstanden.
Nachdem in dem Sekret atypische Mykobakterien (Mycobakterium avium) gesichert werden konnten, war im Vorfeld der operativen Therapie zunächst der Versuch einer antibiotischen Therapie mit Clarithromycin und Rifampicin unternommen worden. Die Fistel hatte sich unter dieser Therapie nicht zurückgebildet. Zum Zeitpunkt der Aufnahme bestand eine knapp 2,5 x 1,5 Zentimeter durchmessende, leicht erhabene, derbe Hautinfiltration mit zentraler Fistel. Sonographisch zeigte sich im Parotisgewebe unmittelbar unter dem Hautbefund ein intraglandulärer Lymphknoten als Ausgangspunkt des cutanen Fistelganges (Abb. 2).
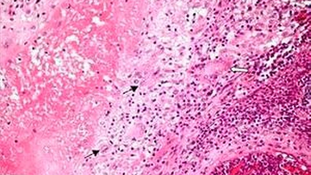
Die Indikation zur chirurgischen Revision ergab sich durch die Persistenz des Befundes unter der spezifischen antibiotischen Therapie. Es erfolgte eine spindelförmige Umschneidung der Infiltratzone sowie die Exstirpation des Fistelganges gemeinsam mit dem die Entzündung unterhaltenden Lymphknoten (Abb. 3). Im Anschnitt des Op-Präparates (Abb. 4) stellen sich sowohl im Lymphknoten als auch unmittelbar subkutan typische granulomatöse Herde dar. In der histopathologischen Aufarbeitung zeigten sich entsprechend ausgedehnte Granulome mit zentralen käsigen Nekrosen, umgeben von einem Lymphozytenwall mit Epitheloidzellen und histiozytären Riesenzellen vom Langhans-Typ (Abb.5).
Nach vollständiger Exstirpation verlief die Wundheilung ungestört. Zuletzt drei Monate nach der chirurgischen Therapie ergab sich bislang kein Hinweis auf einen erneuten Progress.
Diskussion
Infektionen durch atypische Mykobakterien sind in Mitteleuropa vergleichsweise seltene Erkrankungen. Während im Erwachsenenalter vorwiegend Patienten mit Einschränkungen der Immunantwort, beispielsweise unter therapeutischer Immunsuppression, aber auch im Rahmen schwerer konsumierender Grunderkrankungen betroffen sind [O´Brien et al., 2000], spielt der Immunstatus bei Kindern offensichtlich eine untergeordnete Rolle [Danielidis et al., 2002]. Atypische Mykobakteriosen zeigen sich im Kindesalter typischerweise unter dem klinischen Bild einer eher symptomarmen, langsam progredienten, zervikalen Lymphadenitis [Hazra et al., 1999]. Eine primär kutane Verlaufsform ist ausgesprochen selten [Moergel et al., 2004], sehr viel häufiger entsteht eine kutane Beteiligung wie im vorliegenden Fall sekundär auf der Basis chronisch fistelnder Lymphadenitiden. Eintrittspforten in der Kiefer-Gesichtsregion sind meist unbemerkte kleine und kleinste Verletzungen der Haut und sehr selten ein enoraler transmukosaler Infektionsweg [Fischer et al., 2002].
Therapeutisch galt in der Vergangenheit die chirurgische Sanierung, insbesondere bei zervikalen Lymphknotenmanifestationen atypischer Mykobakteriosen, als Therapie der ersten Wahl. Mit der Einführung von Clarithromycin ist aber in den letzten Jahren gerade bei kutanen Verlaufsformen, deren chirurgische Sanierung ästhetische Risiken birgt, ein Wandel hin zu einer konservativen Primärtherapie zu beobachten. Wie im vorliegenden Fall bleibt die vollständige chirurgische Exzision des erkranken Gewebes damit heute eher auf therapierefraktäre Fälle beschränkt.
Differentialdiagnostisch sind für die zahnärztliche Praxis vor allem kutane Fisteln im Zusammenhang mit dentogenen chronischen Infektionen abzugrenzen, wie sie im Verlauf dieser Serie bereits wiederholt als „chronisch granulierende Parodontitis nach Partsch“ angesprochen wurden. Eine klassische fistelnde Lymphknoten/Hauttuberkulose (Skrofuloderm) sollte trotz der ausgesprochenen Seltenheit in Westeuropa zumindest bei Risikogruppen (immunkompromittierte Patienten, Migranten) bedacht werden.
PD Dr. Dr. Martin KunkelDr. Maximilian MoergelKlinik für Mund-, Kiefer- und Gesichtschirurgie der Johannes Gutenberg-Unversität MainzAugustusplatz 2, 55131 Mainz




