Verruköses Karzinom auf der Basis einer proliferativen verrukösen Leukoplakie
Eine 84-jährige Patientin war erstmalig vor zwei Jahren wegen multilokulärer Plattenepithelkarzinome der Zunge in frühen Stadien lokal reseziert worden. Neben den neoplastischen Befunden lagen bei der Patientin flächige, verruköse und papillomatöse Veränderungen der Mundschleimhaut vor, die insgesamt auf das Krankheitsbild der proliferativen verrukösen Leukoplakie hindeuteten. Nachdem die Patientin nur inkonstant im onkologischen Recall erschienen war und immer wieder exophytische Läsionen abgetragen werden mussten, stellte sich zuletzt eine erneute Größenzunahme und Vergröberung der verrukösen Areale, insbesondere im Bereich der Unterlippenschleimhaut, dar (Abb. 1 A bis C). Da klinisch keine sichere Abgrenzung zwischen den teilweise papillomartigen Veränderungen der proliferativen verrukösen Leukoplakie und einem verrukösen Karzinom möglich ist, und bei der Patientin bereits im Vorfeld mehrere Karzinome und Vorläuferläsionen aufgetreten waren, wurde der Befund der Lippenschleimhaut exzidiert und in mehreren Schritten an zahlreichen Stellen der Mundschleimhaut Biopsien gewonnen. Die übrigen papillomatösen Areale wurden flächig mit dem CO2-Laser abladiert.
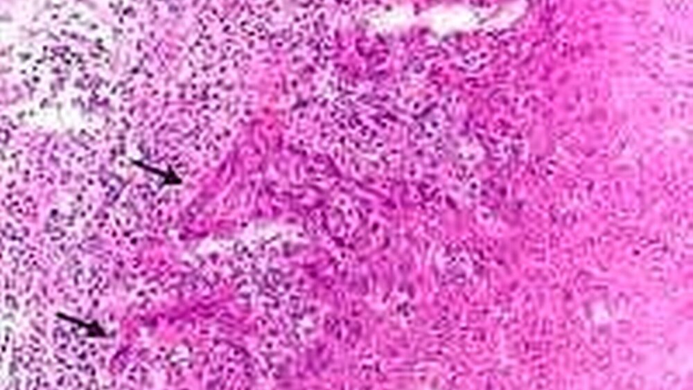
Histologisch ergaben sich simultan hyperkeratotische und akanthotische Papillome im Bereich des Mundbodens, ein verruköses Karzinom mit mikroskopischer Stromainvasion im Bereich der Unterlippenschleimhaut, ein separates verruköses Karzinom im vorderen Mundboden sowie an weiteren drei Lokalisationen bilateral an der Zunge und im seitlichen Mundboden invasive Plattenepithelkarzinome. Abbildung 2 zeigt die typische Morphologie eines verrukösen Karzinoms. In der Übersicht (A) wird der papillomatöse Charakter der Läsion mit deutlicher epithelialer Hyperplasie und Hyperbeziehungsweise Parakeratose deutlich. In der Detailaufnahme (B) zeigt sich an umschriebener Stelle der invasive Charakter des Tumors mit dem Tiefenwachstum der Epithelkomplexe ( ➞).
Unter dem Bild einer sehr weitgreifenden multizentrischen Kanzerisierung auf der Basis einer proliferativen verrukösen Leukoplakie erschien, auch in Anbetracht des hohen Alters und des Allgemeinzustandes der Patientin, eine chirurgische Sanierung nicht vertretbar. Aus diesem Grunde wurde trotz der Beteiligung eines verrukösen Karzinoms eine Strahlentherapie eingeleitet.
Diskussion
Die Differentialdiagnose papillomatöser und verruköser Mundschleimhauterkrankungen umfasst neben den häufigen benignen Schleimhautpapillomen und den ebenfalls häufigen einfachen Schleimhautwarzen auch eine Reihe von Erkrankungen mit einem relevanten Potential zur malignen Transformation. Eine besonders hohe Transformationsrate von bis zu über 70 Prozent wird dabei für die proliferierenden verrukösen Leukoplakien beschrieben [Neville and Day, 2002]. Diese Erkrankung betrifft bevorzugt Frauen im fortgeschrittenen Lebensalter [Reichart and H.P., 2003] und ist initial durch multifokale keratotische Plaques mit kontinuierlichem Progress bis hin zu umfangreichen exophytischen Läsionen gekennzeichnet [Neville et al., 2002]. Die fortgeschrittenen Stadien lassen sich dann, wie im vorliegenden Fall, klinisch nicht mehr von verrukösen Karzinomen unterscheiden. Neben der Wangenschleimhaut sind Gingiva, Zungenschleimhaut und Mundboden am häufigsten betroffen.
Die Therapie gestaltet sich ausgesprochen problematisch, da die in der Regel multifokalen, oft extrem ausgedehnten Läsionen praktisch nicht in toto zu exzidieren sind. Die maligne Transformation ist dann letztlich nahezu unvermeidbar. Auch im vorliegenden Fall kam es bereits früh nach der primären Therapie zu rezidivierenden verrukösen Läsionen, die immer wieder chirurgische Interventionen erforderten. Obwohl die Radiotherapie verruköser Karzinome mitunter kritisch betrachtet wird, da vereinzelt über eine Entdifferenzierung zu anaplastischen Karzinomen unter der Bestrahlung berichtet wurde, fiel nach der Entwicklung von zuletzt fünf simultanen Karzinomen an unterschiedlichen Stellen der Mundhöhle schließlich die Entscheidung zur einer Bestrahlungsbehandlung.
Für die zahnärztliche Praxis soll dieser Fall die Differentialdiagnose der verrukösen Mundschleimhauterkrankungen ins Gedächtnis rufen und auf die noch wenig beachtete Sonderform der proliferativen verrukösen Leukoplakie hinweisen.
PD Dr. Dr. Martin KunkelDr. Christian WalterKlinik für Mund-, Kiefer- und Gesichtschirurgieder Johannes Gutenberg-Universität MainzAugustusplatz 255131 Mainz




