Polymyalgia rheumatica
Polymyalgia rheumatica, Arteriitis temporalis und Riesenzellarteriitis – diese drei Krankheitsbegriffe werden oft annähernd synonym gebraucht. Es ist bislang nicht eindeutig klar, ob es sich um unterschiedliche Erkrankungen handelt, die jedoch häufig gemeinsam auftreten, oder ob die Arteriitis temporalis und die Riesenzellarteriitis eine fortgeschrittene Form oder gar eine Komplikation der Polymyalgia rheumatica darstellen. Gebräuchliche Bezeichnungen der entzündlich- rheumatischen Erkrankung sind ferner die Begriffe „Arteriitis capitis“ oder auch „Arteriitis cranialis“.
Bei der Polymyalgia rheumatica handelt es sich um eine chronisch entzündliche Erkrankung, die sich vor allem bei Menschen im höheren Lebensalter manifestiert und primär mit „Muskelschmerzen“ und „Muskelsteifigkeit“ einhergeht.
Charakteristikum des Krankheitsbildes sind Entzündungen der Blutgefäße, die die Muskeln durchziehen.
Krankheitsbild
Der Begriff „Polymyalgia rheumatica“ beschreibt in erster Linie die Beschwerden der Patienten, den vermeintlichen „Muskelschmerz“. Bei genauer Untersuchung finden sich allerdings keine pathologischen Befunde des Muskelgewebes, wohl aber der dieses Gewebe durchziehenden Blutgefäße. Diese sind entzündlich verändert, wobei zunächst von einer Arteriitis beziehungsweise beim Nachweis so genannter Riesenzellen von einer Riesenzellarteriitis auszugehen ist. Die Erkrankung gehört damit zu den Vaskulitiden.
Bei der Pathogenese der Arteriitis kommt es zur Einwanderung von Entzündungszellen in die Gefäßwände, die sich verdicken und damit verengen. Dies geschieht nicht gleichmäßig, sondern nur segmental in einigen Gefäßabschnitten, was den Nachweis bei Gewebeentnahmen verständlicherweise sehr erschwert.
Die Ursachen der Erkrankung sind bislang noch unbekannt. Es wird allgemein von einer genetischen Prädisposition ausgegangen, konkrete Gendefekte, auf die die Erkrankung zurückzuführen wäre, gibt es aber offenbar nicht. Vielmehr wird vermutet, dass die permanent im Blut zirkulierenden Immunzellen aus bislang unbekannten Gründen im Alter dazu neigen, außer Kontrolle zu geraten. Es kommt dabei augenscheinlich zur Bildung proinflammatorischer Zytokine, die als Botenstoffe im ganzen Körper Entzündungsprozesse induzieren können.
Ein bekannter Risikofaktor ist das Rauchen, wobei sowohl aktive Raucher als auch Exraucher überdurchschnittlich häufig erkranken. Außerdem weisen Menschen mit Untergewicht sowie Frauen mit besonders früh eingetretener Menopause ein erhöhtes Krankheitsrisiko auf. Es wird daher auch diskutiert, dass möglicherweise ein Östrogenmangel an der Pathogenese beteiligt sein könnte.
Beschwerdebild
Bei der Manifestation der Störung kommt es relativ akut im Verlauf weniger Tage bis hin zu zwei Wochen zu starken Schmerzen vor allem im Bereich des Nackens, des Schultergürtels und der Oberarme. Die Schmerzen können auf den Hüftbereich, die Oberschenkel und auf den Lendenbereich übergehen sowie vom Nacken in die Schläfen und in den Augenbereich ausstrahlen. Die Schmerzen, die zum Teil auch als Berührungsschmerz geschildert werden, treten meist beidseitig als Ruheschmerz auf, auch ohne Belastung und zumeist während des Tages wie auch während der Nacht. Dabei klagen viele Patienten vor allem über reißende Schmerzen. Im weiteren Verlauf kann sich der Schmerzcharakter verändern und einen wellenförmigen Verlauf annehmen
Insbesondere in den Morgenstunden sind die Muskeln meist steif und unbeweglich, wobei jedoch anders als bei direkten Muskelentzündungen die Muskelkraft nicht eingeschränkt ist. Allerdings geben die Patienten häufig an, nicht mehr alleine aus dem Bett zu kommen. Auch haben sie Schwierigkeiten beim Anziehen oder beim Haarekämmen. Ebenso wird häufig über eine Muskelschwäche geklagt, die aber nicht primär der Erkrankung, sondern der durch den Schmerz bedingten Schonhaltung zuzuschreiben ist.
Patienten mit Polymyalgia rheumatica fühlen sich zusätzlich müde, abgeschlagen und in ihrer Leistungsfähigkeit spürbar eingeschränkt. Sie haben zum Teil ein ganz enormes Krankheitsgefühl, ähnlich wie bei einer schweren Infektion. Eine Antriebsschwäche bis hin zur Depression kann als Symptom hinzukommen ebenso wie Appetitlosigkeit, Gewichtsverlust, Fieber und vermehrtes Schwitzen.
Epidemiologie
Jährlich erkranken in Deutschland den Berichten zufolge zwischen 16000 und 40 000 Menschen an einer Polymyalgia rheumatica, was einer Inzidenz von 20 bis 50/100 000 Einwohnern entspricht.
Die Erkrankung manifestiert sich meist erst im höheren Lebensalter, weshalb die Beschwerden oft zunächst als „Verschleißerscheinung“ der Gelenke und des Knochensystems fehlgedeutet werden. Die krankhafte Veränderung tritt so gut wie nie vor dem 50. Lebensjahr und meist erst um das 70. Lebensjahr herum auf. Frauen sind etwa viermal häufiger betroffen als Männer.
Komplikationen
Die entzündlichen Veränderungen der Gefäßwände führen zu Verdickungen und zu Stenosen und damit auch dazu, dass die durch den betroffenen Gefäßabschnitt zu versorgenden Organe nur noch eingeschränkt durchblutet werden. Es kommt zu einer Minderperfusion, was erhebliche Organschäden bis hin zu Nekrosen zur Folge haben kann. Prinzipiell ist dies in praktisch allen Organen möglich, doch scheinen einzelne Gefäßabschnitte bevorzugt zu erkranken.
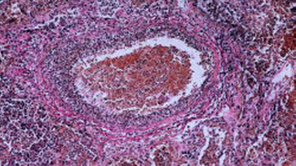
Besonders häufig betroffen sind die Schläfenarterie sowie weitere Blutgefäße des Kopfes. Konkret spricht man von einer Arteriitis temporalis, auch Horton-Krankheit genannt, wenn vorwiegend die Schläfenschlagader mit Entzündungszellen und Riesenzellen durchsetzt ist. Typisch sind schwere, über Tage und Wochen zunehmende Kopfschmerzen, meist über beiden Schläfenarterien, wobei das betroffene Blutgefäß druckempfindlich reagiert und knötchenförmig verdickt ist. Wird die Gefäßentzündung nicht adäquat behandelt, droht ein Gefäßverschluss, was die Erblindung des Patienten bedeuten kann. Aus zahnmedizinischer Sicht interessant ist vor allem die Tatsache, dass im Rahmen der Erkrankung auch Kieferschmerzen beim Reden, Kauen oder Schlucken auftreten können, was durch eine Entzündung von Gefäßen in der Kaumuskulatur, der Zunge und des Gaumens bedingt sein kann.
Ist vor allem der Aortenbogen betroffen, so liegt als Sonderform eine Takayasu-Krankheit vor. Die Erkrankung betrifft vor allem jüngere Frauen, sie tritt meist vor dem 40. Lebensjahr auf und das neun Mal häufiger bei Frauen als bei Männern. Die Takayasu-Krankheit, auch Takayasu-Arteriitis oder entzündliches Aortenbogensyndrom genannt, ist eine spezielle Form der Riesenzellarteriitis, bei der die Aorta und ihre abzweigenden Arterienstämme von der Gefäßentzündung befallen sind. Pathogenetisch wird eine Autoimmunerkrankung angenommen. Die Takayasu-Arteriitis ist ein ernst zu nehmendes Krankheitsbild, da ein Verschluss der Halsschlagader und ihrer Aufzweigungen droht. Es kommt bei deren Verengung zu zentralnervösen Ausfällen, zu Schwindel, Kopfschmerzen, Sehstörungen und häufig auch zu Synkopen.
Je nachdem welche Gefäßabschnitte vom Entzündungsprozess und sich als Komplikation darauf bildenden Stenosen betroffen sind, drohen den Erkrankten unter Umständen auch ein Herzinfarkt und bei einer Mangeldurchblutung des Gehirns ein Schlaganfall.
Kopfschmerzen, Schmerzen beim Kauen, Schwindel sowie vorübergehende Seh- und Bewusstseinsstörungen können Prodromi solcher Komplikationen darstellen und auf einen drohenden Schlaganfall und ebenso auf eine Arteriitis temporalis als Komplikation hinweisen.
Diagnostik
Neben der klinischen Symptomatik und der anamnestischen Befundung sind vor allem eine erhöhte Blutsenkungsgeschwindigkeit und ein erhöhtes C-reaktives Protein als Entzündungsmarker wegweisend für die Diagnostik. Anders als bei der Muskelentzündung ist das Muskelenzym Creatininkinase (CK), das einen Untergang von Muskelgewebe anzeigt, nicht erhöht. Allerdings liegen häufig eine Leukozytose sowie eine Anämie vor.
Eine eindeutige Diagnostik speziell der Riesenzellarteriitis ist allerdings nur durch eine histologische Untersuchung bei Entnahme von Gewebe der Schläfenarterie möglich. Dabei schließt ein negativer Befund wegen des multisegmentalen Befalls eine Arteriitis temporalis nicht aus. Der Sicherung der Diagnose dient eine Angiographie.
In aller Regel wird die Diagnose aufgrund der Anamnese, der Klinik sowie der Laborbefunde gestellt. Aus einer britischen Multicenterstudie wurde eine Rangfolge von sieben Diagnosekriterien abgeleitet, die eine hohe Sensibilität und Spezifität für eine Polymyalgia rheumatica aufweisen. Die Diagnose gilt als wahrscheinlich, wenn mindestens drei der folgenden Kriterien erfüllt sind:
• Beidseitige Schulterschmerzen und/ oder Steifigkeit oder Schmerzen in Nacken, Oberarmen, Gesäß oder Oberschenkel,
• Akuter Krankheitsbeginn innerhalb von zwei Wochen
• Erhöhung der Blutsenkungsgeschwindigkeit auf mehr als 40 mm/Stunde
• Morgendliche Steifigkeit der Muskeln von mehr als einer Stunde
• Alter über 65 Jahre
• Depression und/ oder Gewichtsverlust
• Beidseitiger Oberarmdruckschmerz.
Differentialdiagnostisch ist die Polymyalgia rheumatica von der chronischen Polyarthritis abzugrenzen sowie von einer Borreliose mit ausgeprägtem polymyalgischem Bild und von einer Cytomegalie- oder Epstein-Barr-Virusinfektion. Auch muss an eine Polymyositis gedacht werden, an Kollagenosen und an eine Fibromylagie.
Therapie mit Kortikoiden
Die Basistherapie der Polymyalgia rheumatica besteht in der Gabe von Glukokortikoiden, auf welche die Patienten in aller Regel gut und auch rasch ansprechen. Bei ausreichender Dosierung bildet sich die Symptomatik meist innerhalb von Stunden oder Tagen bis hin zur Beschwerdefreiheit zurück, was als indirektes diagnostisches Kriterium zu werten ist. Parallel dazu ist eine Normalisierung der Entzündungsparameter zu sehen. Bleiben jedoch Beschwerden und/oder erhöhte Entzündungsmarker bestehen, so muss zunächst die Dosierung des Kortisons erhöht werden.
Üblicherweise werden initial Kortisondosen von 60 bis 100 mg täglich verabreicht, die dann allmählich nach Abklingen der Symptomatik aber wieder reduziert werden können. Die Behandlung muss im Allgemeinen langjährig mit einer Dosierung von meist 5 bis 10 mg Prednison täglich erfolgen. Dabei wird versucht, die Kortisondosierung möglichst gering zu halten, jedoch hoch genug, damit der Patient keine Beschwerden entwickelt und die Entzündungsparameter unauffällig bleiben.
Zu beachten ist, dass unter der Behandlung Komplikationen durch die Kortikoidtherapie auftreten können. Den Patienten drohen neben den kosmetischen Veränderungen wie Vollmondgesicht und Stiernacken eine Osteoporose, eine Hypertonie sowie metabolische Störungen bis hin zur Manifestation eines Diabetes mellitus.
Vor dem Hintergrund dieser möglichen Nebenwirkungen wird üblicherweise immer wieder versucht, die Kortisondosierung zurückzunehmen. Dies aber darf nur vorsichtig geschehen, um nicht ein Wiederaufflammen der Erkrankung zu provozieren. Ist eine Reduktion der Kortikoiddosis nicht problemlos möglich, so muss eine Therapie mit Methotrexat oder mit dem Immunsuppressivum Azathioprin erwogen werden. Dies ist auch dann der Fall, wenn sich mit Kortikoiden alleine die Erkrankung nicht kontrollieren lässt. Weder durch die Kortikoide noch durch Immunsuppressiva wird jedoch eine Heilung der Störung erzielt. Vielmehr handelt es sich um eine symptomatische Therapie.
Im Falle eines bereits eingetretenen Gefäßverschlusses kann außerdem eine Ballondilatation mit Implantation eines Gefäßstents indiziert sein. Auch kann eine Behandlung mit Laser oder Ultrafräsen zur Gefäßwiedereröffnung oder eine Bypassoperation notwendig werden.
Krankheitsverlauf
Die Polymyalgia rheumatica hält meist mindestens ein Jahr lang an. Typisch sind Verläufe über drei bis vier Jahre, in Einzelfällen ist auch eine Krankheitsdauer von bis zu zehn Jahren und sogar mehr beschrieben worden. Langfristig aber ist die Prognose insgesamt günstig, die Zehn-Jahres-Überlebenszeit liegt bei mehr als 90 Prozent.
Die Autorin der Rubrik „Repetitorium“ist gerne bereit, Fragen zu ihren Beiträgenzu beantworten
Christine VetterMerkenicher Str. 22450735 Köln




