Ossäre Dysplasie am Unterkiefer
Eine 39-jährige Patientin stellte sich im Rahmen einer Kontrolluntersuchung in unserer Ambulanz vor, nachdem bei ihr vor sechs Jahren ein intraossäres Osteom im Bereich des Unterkiefers auf der linken Seite entfernt worden war.
Bei der klinischen Untersuchung ließ sich enoral keine pathologische Veränderung diagnostizieren. Schmerzen lagen nicht vor. Parästhesien im Ausbreitungsgebiet des N. alveolaris inferior bestanden nicht. Im angefertigten Orthopantomogramm zeigte sich eine etwa zwei Zentimeter große, scharf begrenzte, zementartige Verschattung mit transluzenten Arealen in der Region des linken Kieferwinkels, die sich unmittelbar auf das Dach des Kanalis mandibulae projizierte (Abbildung 1).
Anamnestisch war bereits vor sechs Jahren ein knöcherner Befund in derselben Region entfernt worden, dessen feingewebliche Untersuchung damals ein enossales spongiöses Osteom (Osteoma spongiosum) beschrieb.
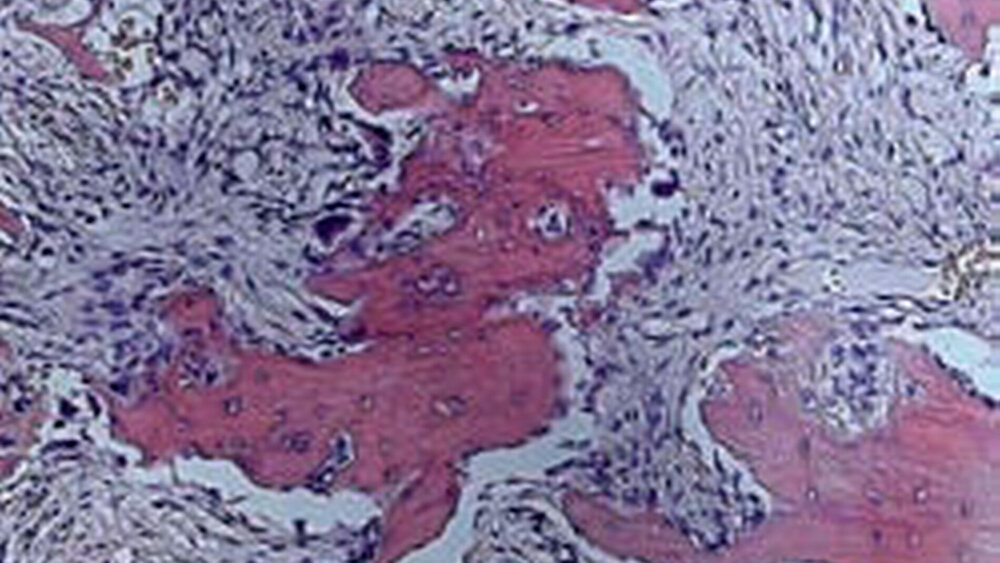
Da Rezidive bei Osteomen in der Regel nicht vorkommen [Neville, 2002], wurde eine Exzisionsbiopsie der Knochenveränderung bei der Patientin durchgeführt. Intraoperativ ließ sich der Befund nur schwierig vom umgebenden Knochengewebe abgrenzen. Die histologische Untersuchung zeigte zementtypische, plattenartig konfigurierte Hartsubstanzablagerungen, die mit ortsständigem, im Umbau befindlichem Knochen teilweise fusionierten, welches zur Diagnose einer so genannten fokalen zemento-ossären Dysplasie führte.
Diskussion
Die über Jahre bestehende Anamnese der Patientin und die geringe bis fehlende klinische Symptomatik ist für einen langsam wachsenden und damit eher benignen Tumor typisch.
Die fokale zemento-ossäre Dysplasie (Synonyme: periapikale Zementdysplasie, periapikales Osteofibrom, periapikale fibröse Dysplasie, periapikales Fibro-Osteom, periapikales Fibro-Osteo-Zementom, Zementom, Fibrozementom, sklerosierendes Zementom) [Reichart, 2004] stellt eine nicht neoplastische knochenassoziierte Läsion des Kiefers dar, die ihren Ursprung wahrscheinlich im periodontalen Ligament hat [Reichart, 2004; Kawai, 1999]. Ihr Verbindungsglied schienen bisher unterschiedlich stark ausgeprägte Zementablagerungen mit relativ typischem Röntgenbefund zu sein (Abbildung 1). Die neue WHO-Klassifikation der Kopf-Hals-Tumoren vereinfacht die mannigfaltige Nomenklatur, indem sie diese Entitäten unter dem Begriff Ossäre Dysplasie (OD) zusammenfasst [Slootweg, 2005]. Die jahrzehntelange Diskussion zur Frage, ob Zement vorliegt oder nicht, wurde hiermit in vereinfachender Weise geklärt [Reichart, 2006]. Ihre Ätiologie ist größtenteils unbekannt [Jundt, 1997], ein traumatisches Ereignis, wie eine vorausgegangene Zahnentfernung, wird diskutiert [Waal, 1993]. Im vorliegenden Fall war der linke untere Weisheitszahn etwa zwanzig Jahre zuvor entfernt worden.
Die OD ist, wie im vorliegenden Fall, üblicherweise asymptomatisch. Sie wird in den meisten Fällen als Zufallsdiagnose im Orthopantomogramm gestellt und kommt, wie im vorliegenden Fall, vor allem bei Frauen im mittleren Alter in der Seitenzahnregion vor [Summerlin, 1994; Reichart, 2004]. Radiologisch zeigt sich im Anfangsstadium zunächst eine periapikale Radioluzenz, die als apikaler Prozess fehlgedeutet werden kann. Bei der OD reagieren die Zähne jedoch vital [Reichart, 2004], Wurzelresorptionen werden nicht beobachtet. Später treten radioopake Foci und transluzente Areale auf. Im Endstadium kommt es zum charakteristischen Bild gut definierter Radioopazitäten, die von einem radioluzenten Randsaum umgeben und selten größer als zwei Zentimeter sind [Reichart, 2004; Jundt, 1997]. Ein multifokales Auftreten wurde wiederholt beschrieben. Im vorliegenden Fall ist, bei wurzelbehandeltem Zahn 36, ein apikales Granulom nicht von einer weiteren Lokalisation der OD zu unterscheiden und eine Verlaufskontrolle erforderlich (Abbildung 2).
Ihre Ähnlichkeit mit zentralen zementierenden und/oder ossifizierenden Fibromen, die zu den neoplastischen Läsionen des Knochens gezählt werden und einer chirurgischen Therapie bedürfen, ist ebenfalls in die differentialdiagnostische Betrachtung mit einzubeziehen [Summerlin, 1994]. Im Gegensatz zu diesen ist die OD, wie oben beschrieben, jedoch fest mit dem umgebenden Knochen verbunden und deshalb schwer zu entfernen [Jundt, 1997].
Die OD erfordert, neben regelmäßigen Kontrollen mit Vitalitätsproben involvierter Zähne, im Allgemeinen keine Behandlung. Eine Biopsie zur histologischen Diagnosesicherung wird jedoch, falls Zweifel an der Verdachtsdiagnose bestehen, empfohlen [Galgano, 2003].
Bei Beschwerden, zum Beispiel einer Schwellung der betroffenen Kieferregion, ist die operative Entfernung der Ossären Dysplasie angezeigt.
Dr. Dr. Rainer S. R. BuchDr. Dr. Oliver DriemelProf. Dr. Dr. Torsten E. ReichertKlinik und Poliklinik für Mund-,Kiefer- und GesichtschirurgieFranz-Josef-Strauss-Alle 1193053 RegensburgRainer.buch@klinik.uni-regensburg.de




